La búsqueda de una sonrisa perfecta es una constante en la vida de muchas personas. Modelos como Adriana Lima, con su deslumbrante sonrisa, nos inspiran a cuidar nuestra salud dental. En este artículo, exploraremos diversos tratamientos y consejos para lograr una sonrisa radiante, desde blanqueamientos dentales hasta carillas no prep, además de analizar el impacto de la dieta Keto en nuestra salud bucal.

Blanqueamientos Dentales: Todo lo que Siempre Quisiste Saber
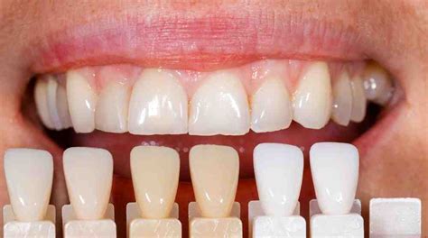
Los blanqueamientos dentales se han convertido en uno de los tratamientos más demandados para mejorar la estética de nuestra sonrisa. Sin embargo, existe mucha desinformación al respecto. Según un estudio, el 66% de los españoles ha cambiado sus rutinas de cuidado dental basándose en información encontrada en Internet o redes sociales. Es crucial consultar con un experto para evitar falsas expectativas y asegurar resultados profesionales y duraderos.
La doctora Cecilia Nieto, odontóloga especializada en ortodoncia, aclara que el blanqueamiento no altera la estructura del diente, sino que se basa en la oxidación de los cromóforos orgánicos responsables de las manchas. Los resultados varían según la causa de la pigmentación, el tipo de esmalte y la técnica utilizada, pero en promedio se puede esperar un aclaramiento de entre 2 a 8 tonos. La duración suele mantenerse de 1 a 3 años, dependiendo de los hábitos del paciente.
Mitos y Verdades sobre los Blanqueamientos Dentales
La doctora María Gámez, especialista en Odontología Estética, desvela algunos mitos y verdades sobre los blanqueamientos dentales:
- El blanqueamiento NO duele: Se protegen las encías para evitar el contacto con el gel blanqueador.
- El blanqueamiento NO daña el esmalte: Es seguro siempre y cuando se sigan las pautas del dentista.
- El blanqueamiento SÍ genera sensibilidad en los dientes: Es temporal y no dura más de 24 horas.
- Los dientes NO se pueden blanquear de forma casera: Los remedios caseros pueden dañar el esmalte.
- El blanqueamiento NO sustituye a una limpieza: La limpieza elimina el sarro y las manchas superficiales, pero no aclara el color del diente.
- El blanqueamiento NO te hará efecto si tomas según qué bebidas o alimentos: Los alimentos con pigmentos pueden reducir la duración del efecto.
Para que el resultado del blanqueamiento sea óptimo, es importante tener las superficies de los dientes limpias. El único hábito con el que no aconsejan realizar blanqueamiento es con el tabaco.

Carillas Dentales Sin Tallado: Una Opción Innovadora
¿Te imaginas poder transformar tu sonrisa sin dañar tus dientes naturales? Las carillas dentales sin tallado representan una de las opciones más innovadoras y conservadoras para mejorar tu sonrisa sin dolor ni desgaste. El éxito de las carillas no prep se debe a sus múltiples beneficios, tanto estéticos como funcionales.
Ventajas de las Carillas Sin Tallado
- La principal ventaja es que no se lima el diente.
- Las carillas se diseñan a medida para cada paciente, con un resultado natural, armónico y personalizado.
- Al no modificar el diente, el tratamiento es reversible.
- Son ideales para personas que desean mejorar la estética de su sonrisa sin procedimientos invasivos.
No todos los casos son aptos para este tratamiento. El proceso incluye un estudio fotográfico, escaneado 3D y toma de impresiones para analizar la estructura dental. Se realiza una prueba estética con una maqueta provisional (mock-up) sobre tus propios dientes. Una vez aprobado el diseño final, se fabrican las carillas en el laboratorio y se colocan mediante un sistema de adhesión de última generación.
En clínicas dentales especializadas, transforman sonrisas con tratamientos estéticos de alta calidad. Una sonrisa bonita no solo mejora tu apariencia, sino también tu autoestima. Son tratamientos de larga duración, pero no permanentes. Si se siguen las indicaciones del especialista, es muy poco probable que se despeguen.
Si el apiñamiento es leve, las carillas se pueden colocar directamente. Si estás pensando en renovar tu sonrisa, te invitamos a agendar una primera consulta gratuita.

La Dieta Cetogénica y la Salud Bucal
Lo que debes SABER antes de hacer DIETA KETO
La dieta Keto está de moda, pero ¿cómo afecta a nuestra salud bucal? Al reducir el consumo de hidratos de carbono, se limita la toma de vitaminas, minerales y fibra. La ingesta de nutrientes como el calcio, la vitamina D, el selenio, el magnesio, el zinc y el fósforo se ve comprometida. Estos nutrientes son esenciales para mantener los músculos sanos, asegurar una secreción hormonal adecuada, guardar la salud del sistema inmunitario y del corazón, y mantener el buen funcionamiento de los riñones.
El aliento cetogénico generalmente tiene un olor a acetona o afrutado, a menos que esté acompañado de bacterias en la boca, entonces puede tener un olor aún más desagradable, comúnmente conocido como «aliento de dragón». Casi siempre va acompañado de un olor desagradable. El aliento cetogénico suele ser un efecto secundario temporal cuando tu cuerpo todavía no está utilizando todas las cetonas que produce el hígado. Tu cuerpo se adaptará al ceto cuando comience a usar estas cetonas para alimentar los músculos y el cerebro. Cuando te adaptes a la dieta cetogénica, el mal aliento debería desaparecer.
La dieta cetogénica y la salud bucal son una excelente combinación porque las sugerencias para prevenir el aliento cetogénico son simplemente buenos hábitos de cuidado bucal que cualquiera debería adoptar:
- Beber mucha agua: Tu cuerpo deja de producir saliva cuando no comes, y al comenzar la dieta cetogénica, naturalmente comienzas a perder el apetito y comer menos. Cuanto menos comas, más seca se te va a poner la boca, por lo que es necesario beber mucha agua para evitar que se acumulen bacterias en la boca.
- Mantén una buena rutina de salud bucal: Aunque aún puedes experimentar aliento cetogénico después del cepillado, si no produces mucha saliva es una buena idea cepillarse después de cada comida. También es muy importante usar hilo dental e incluso usar un enjuague bucal sin alcohol a diario.
- Tómatelo con calma: En lugar de empezar de manera radical, elimina gradualmente los carbohidratos de tu dieta en lugar de eliminarlos drásticamente. Al hacer esto, le das tiempo a tu cuerpo para adaptarse al cambio y no liberar tantas cetonas a la vez.
- Mantén bajos los niveles de estrés: El estrés no solo reduce el flujo de saliva, sino que también ralentiza la digestión de las proteínas. La ansiedad también puede causar reflujo ácido, que se sabe que causa mal aliento.

Tabla Resumen: Tratamientos y Consejos para una Sonrisa Radiante
| Tratamiento/Consejo | Descripción | Beneficios |
|---|---|---|
| Blanqueamiento Dental | Oxidación de cromóforos para aclarar el color del diente | Sonrisa más blanca y luminosa |
| Carillas Sin Tallado | Láminas de porcelana que se adhieren al diente sin limar | Mejora estética sin procedimientos invasivos |
| Dieta Keto y Salud Bucal | Adaptación gradual y buena higiene bucal | Reduce el mal aliento y mantiene la salud dental |
| Higiene Bucal Diaria | Cepillado, hilo dental y enjuague bucal | Previene la acumulación de bacterias y mantiene las encías sanas |