Dentro de la Odontología conservadora, el alargamiento coronario es un procedimiento que tiene como objetivo incrementar la longitud de la corona dental. Esta técnica quirúrgica se realiza para remodelar el contorno de la encía y el hueso, aumentando así la superficie dental visible.

¿Qué es el Alargamiento Coronario?
El alargamiento coronario es un procedimiento de cirugía periodontal que puede realizarse tanto para tratar una caries o poner una corona o una carilla, como para corregir estéticamente una sonrisa gingival. Esta cirugía periodontal permite aumentar la corona clínica del diente afectado, es decir, toda la superficie dental que es visible.
El odontólogo trabaja sobre las encías y el hueso para exponer una mayor parte de la pieza dental. En la mayoría de las ocasiones, el alargamiento coronario se realiza de forma previa a la colocación de una corona dental tras la reparación de una caries. En estética se efectúa cuando la línea de la encía es irregular o demasiado baja, de modo que los dientes parecen de diferente tamaño o muy pequeños.
Avance vídeo completo "Alargamiento Coronario" - PerioPixel
¿Cuándo se Necesita un Alargamiento de Corona?
Hay muchos motivos por los que podemos recomendarte este tratamiento. En estética se efectúa cuando la línea de la encía es irregular o demasiado baja, de modo que los dientes parecen de diferente tamaño o muy pequeños.
Aquí algunos casos en los que se puede requerir un alargamiento coronario:
- Sonrisa gingival: Cuando al sonreír se aprecia una cantidad desproporcionada de encía respecto al tamaño de los dientes.
- Malformaciones dentales: Dientes demasiado cortos o cuadrados, o un exceso de hueso.
- Caries subgingivales: Caries que afectan al diente por debajo de la línea de la encía.
- Restauraciones bajo la encía: Para poder hacer restauraciones bajo la encía o por motivos higiénicos.
- Línea de la encía irregular: Cuando los dientes parecen de diferente tamaño o muy pequeños.
Procedimiento del Alargamiento Coronario
El alargamiento coronario es una técnica de cirugía menor, por lo que únicamente requiere anestesia local y es completamente ambulatoria. Se puede realizar en uno o varios dientes, dependiendo de cuál sea lo que ha motivado la intervención y el objetivo final de la misma. El procedimiento implica una microcirugía periodontal para practicar la eliminación selectiva del tejido gingival (encías) y/o del hueso alrededor del diente para exponer una mayor cantidad de la corona dental.
Pasos del Procedimiento:
- Anestesia local: La cirugía se aborda con anestesia local para asegurar la comodidad del paciente durante el proceso.
- Incisiones y eliminación de tejido: Se realizan pequeñas incisiones en la encía para separarla del diente y el hueso subyacente.
- Remodelado óseo y sutura: Con fresas especiales para el remodelado óseo, se perfila la zona del hueso para que la encía se adapte más alta y darle una apariencia natural a los dientes.
- Finalización: Se coloca una gasa para proteger la zona tratada durante 30 minutos y se pauta la medicación y recomendaciones locales.

Técnicas Utilizadas en la Cirugía
En la cirugía del alargamiento de corona se pueden utilizar diferentes técnicas. El profesional realizará una exploración exhaustiva para determinar dónde quedará la nueva línea de la encía.
- Gingivectomía: Técnica sencilla y rápida de eliminación del tejido de las encías que no incluye recontorneado óseo.
- Colgajo de reposición apical: Se utiliza para varios dientes y consiste en hacer una incisión en la encía para crear un colgajo. Este se puede levantar para eliminar tejido, incluido el óseo.
- Extrusión quirúrgica: Consiste en mover la pieza dental para colocarla en la posición adecuada en la línea gingival. Es ideal, por ejemplo, cuando hay una fractura debajo de la encía.
¿Duele el Alargamiento Coronario?
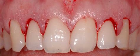
Esta técnica odontológica no es dolorosa, ya que se utiliza anestesia local durante la cirugía. En ese caso, el profesional puede recomendar el uso de fármacos antiinflamatorios o analgésicos. También resulta útil aplicar una compresa fría en la zona. En los días posteriores puede haber inflamación e incluso pequeños sangrados.
Postoperatorio y Recuperación
El tiempo de recuperación varía según el caso, pero puede tener una duración orientativa de tres meses, aunque en general la persona podrá hacer vida normal mucho antes. En este periodo el tejido blando de las encías finalizará su proceso de adaptación.
El postoperatorio de un alargamiento coronario no es excesivamente molesto, aunque habitualmente se prescriben antiinflamatorios para reducir el dolor y la inflamación de la herida.
Cuidados Postoperatorios:
- Higiene bucal: Mantén una buena higiene bucal, pero evita cepillar directamente la zona tratada durante las primeras 24 horas.
- Alimentación: Evita alimentos duros, pegajosos o muy calientes/fríos durante los primeros días. Recomendamos evitar los sólidos y, al menos durante los primeros días, ingerir alimentos líquidos y llevar una dieta blanda.
- Medicación: En primer lugar, te recomendará la ingesta de medicamentos analgésicos y antiinflamatorios, ya que será normal que sientas molestias y que se produzca hinchazón cuando se te pase el efecto de la anestesia.
- Reposo: Además, te recomendaremos guardar reposo durante los primeros dos días y evitar el ejercicio físico durante la primera semana.
Generalmente, la cicatrización inicial de la encía supone entre 7 y 10 días. Sin embargo, la cicatrización completa del tejido gingival y óseo puede tardar de 6 a 12 semanas.

Posibles Consecuencias No Deseadas
El alargamiento coronario es un procedimiento seguro y efectivo cuando es realizado por un periodoncista formado y experimentado. Sin embargo, como con cualquier procedimiento dental o médico, existen algunas consecuencias no deseadas que podrían surgir en casos excepcionales o si no se realiza correctamente.
- Sensibilidad dental: Después del procedimiento, es común experimentar sensibilidad dental temporal en los dientes tratados. Esto puede deberse a la exposición de la dentina (la capa más interna del diente) durante el alargamiento coronario.
- Infecciones: Si no se sigue una adecuada higiene oral después del procedimiento, podría aumentar el riesgo de infecciones en las encías o alrededor del área tratada.
- Retracción gingival excesiva: En algunos casos, puede ocurrir una reacción excesiva de las encías, lo que resulta en una retracción gingival importante, dejando las raíces dentales expuestas.
- Problemas en la corona: Un alargamiento coronario mal hecho puede causar problemas en la corona.
Gingivectomía vs Alargamiento de Corona
La gingivectomía y alargamiento de corona son técnicas de cirugía plástica periodontal enfocadas a corregir problemas relacionados con las encías. El periodoncista después de hacer el diagnóstico del problema puede aplicar cualquiera de estos dos procedimientos.
Gingivectomía: Se refiere a la eliminación del exceso de tejido gingival (encías) que rodea los dientes. Se puede requerir una gingivectomía cuando las encías son desiguales o asimétricas, lo que afecta la apariencia de la sonrisa.
Alargamiento de Corona: Es un procedimiento quirúrgico que se utiliza para remodelar y contornear la encía y, en algunos casos, el hueso subyacente. Se necesita un alargamiento de corona para corregir la «sonrisa gingival» o para exponer más superficie del diente y la encía.
En resumen, la gingivectomía se centra en eliminar el exceso de encía, mientras que el alargamiento de corona puede implicar remodelar las encías existentes y, en algunos casos, el hueso.
| Procedimiento | Objetivo | Indicaciones |
|---|---|---|
| Gingivectomía | Eliminar el exceso de tejido gingival | Encías desiguales o asimétricas |
| Alargamiento de Corona | Remodelar encía y hueso para exponer más diente | Sonrisa gingival, caries subgingivales |
Precio del Alargamiento Coronario
Para saber cuánto cuesta un alargamiento coronario debes solicitar una evaluación con el odontólogo. Para que podamos darte un precio cerrado para un alargamiento de corona, tendremos que valorar tu caso de forma individual. Te invitamos a que solicites una cita con un odontólogo para que puedas asesorarte sobre el procedimiento de alargamiento coronario.
tags: #alargamiento #de #corona #dental