La odontología estética ha avanzado significativamente, ofreciendo soluciones innovadoras para mejorar la apariencia de nuestra sonrisa. Uno de los tratamientos más populares y efectivos son las carillas dentales. Estas finas láminas, generalmente de porcelana o composite, se adhieren a la superficie frontal de los dientes para corregir imperfecciones como manchas, astillas, desgaste o pequeñas malposiciones. Celebridades y figuras públicas, como el reconocido ciclista Alberto Contador, han recurrido a este tratamiento para lucir una sonrisa impecable.

¿Qué son las Carillas Dentales?
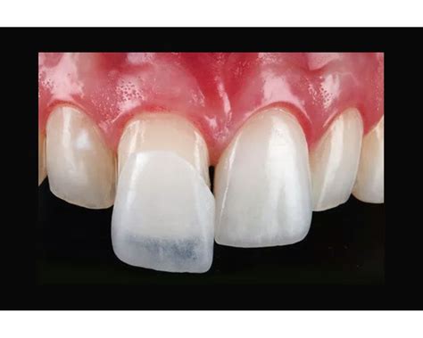
Las carillas dentales son láminas delgadas que se colocan sobre la superficie frontal de los dientes para mejorar su apariencia estética. Generalmente, están hechas de porcelana o composite, materiales que ofrecen durabilidad y un aspecto natural. Este tratamiento es ideal para corregir una variedad de imperfecciones dentales.
Tipos de Carillas Dentales
- Carillas de Porcelana: Ofrecen una mayor resistencia y durabilidad, además de un aspecto más natural y brillante.
- Carillas de Composite: Son más económicas y pueden repararse fácilmente, aunque su durabilidad es menor en comparación con las de porcelana.

Beneficios de las Carillas Dentales
Las carillas dentales ofrecen múltiples beneficios que van más allá de la simple estética. A continuación, se detallan algunos de los más importantes:
- Mejora la Apariencia: Corrigen manchas, astillas, desgaste y pequeñas malposiciones, proporcionando una sonrisa más uniforme y atractiva.
- Resultados Naturales: Los materiales utilizados imitan el aspecto del esmalte dental, ofreciendo un resultado muy natural.
- Durabilidad: Las carillas de porcelana son altamente duraderas y resistentes a las manchas.
- Mínimamente Invasivo: La colocación de carillas requiere una mínima preparación del diente, conservando la mayor parte de la estructura dental original.
- Aumento de la Confianza: Una sonrisa mejorada puede aumentar la autoestima y la confianza en uno mismo.
El Tratamiento Dental de Alberto Contador
Alberto Contador, conocido por su exitosa carrera en el ciclismo profesional, también ha optado por mejorar su sonrisa a través de carillas dentales. Este tratamiento le ha permitido corregir pequeñas imperfecciones y lucir una sonrisa más alineada y brillante. La decisión de Contador de someterse a este procedimiento refleja la creciente importancia de la estética dental en la imagen pública y personal.

El Proceso de Colocación de Carillas Dentales
El proceso de colocación de carillas dentales generalmente sigue estos pasos:
- Consulta y Planificación: El odontólogo evalúa la salud bucal del paciente y discute las expectativas y objetivos del tratamiento.
- Preparación del Diente: Se realiza una mínima preparación del diente, eliminando una pequeña cantidad de esmalte para asegurar una correcta adhesión de la carilla.
- Toma de Impresiones: Se toman impresiones del diente preparado para crear un modelo sobre el cual se fabricarán las carillas.
- Fabricación de las Carillas: Las carillas se fabrican en un laboratorio dental utilizando porcelana o composite.
- Adhesión de las Carillas: Una vez fabricadas, las carillas se adhieren a la superficie del diente con un cemento especial, asegurando una unión fuerte y duradera.
Cuidados Posteriores
Para mantener las carillas en óptimas condiciones y prolongar su vida útil, es importante seguir una serie de cuidados:
- Higiene Bucal: Cepillarse los dientes al menos dos veces al día y usar hilo dental diariamente.
- Revisiones Dentales: Acudir a revisiones periódicas con el odontólogo para evaluar el estado de las carillas y realizar una limpieza profesional.
- Evitar Hábitos Nocivos: Evitar morder objetos duros, rechinar los dientes (bruxismo) y consumir alimentos y bebidas que puedan manchar las carillas.
Conclusión
Las carillas dentales son una excelente opción para mejorar la estética de la sonrisa, corrigiendo imperfecciones y proporcionando un aspecto más armonioso y atractivo. El caso de Alberto Contador es un claro ejemplo de cómo este tratamiento puede transformar la sonrisa y aumentar la confianza en uno mismo. Si estás considerando mejorar tu sonrisa, consulta con un odontólogo especializado para determinar si las carillas dentales son la opción adecuada para ti.