La estética dental se ha convertido en un aspecto crucial en la sociedad actual, especialmente en el mundo de las celebridades. Una sonrisa perfecta puede marcar la diferencia en la imagen pública y personal de un individuo. Este artículo explora diversos aspectos de la estética dental, desde tratamientos comunes hasta el impacto psicológico y social de una buena o mala dentadura.

La importancia de una sonrisa perfecta
En el mundo de la belleza mediática, una sonrisa perfecta se ha convertido en un símbolo de juventud y éxito. Celebridades como el cantante Rauw Alejandro, Tom Cruise, David Beckham, Amy Winehouse, Miley Cyrus o Zac Efron son conocidos por sus sonrisas impecables. Estas sonrisas suelen ser el resultado de tratamientos estéticos como carillas dentales, que proporcionan un aspecto uniforme y blanco a los dientes.
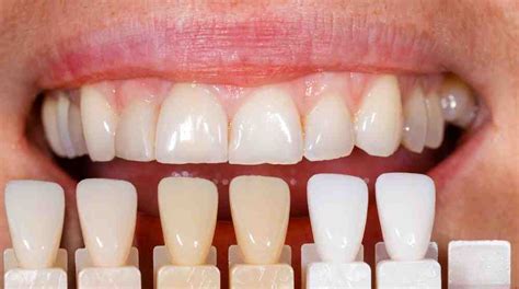
Las celebridades con dientes perfectamente rectos, albos y de apariencia uniforme, es probable que tengan carillas. A diferencia del blanqueamiento de dientes, las carillas son más permanentes. Se utilizan varios tipos de materiales, pero la porcelana y el composite son los tipos más comunes. Básicamente, son conchas delgadas del color de los dientes que se adhieren a la superficie de los dientes. Las carillas se pueden crear para adaptarse a sus requisitos estéticos, incluida la forma y el color. A diferencia del blanqueamiento de dientes, estos son permanentes. Sin embargo, se tratan como lo haría con sus dientes naturales. Para mantener una sonrisa de celebridad, también es necesario mantener una buena rutina de higiene bucal.
Es importante cepillarse al menos dos veces al día durante dos minutos con un cepillo de dientes de cerdas suaves. Se recomienda usar una pasta de dientes con flúor o cualquier otro tratamiento recetado por su dentista. Usar hilo dental al menos una vez al día y enjuague bucal después de comer.
Tratamientos comunes en estética dental
Existen diversos tratamientos para mejorar la estética dental, cada uno con sus propias ventajas y desventajas:
- Carillas dentales: Son láminas delgadas de porcelana o composite que se adhieren a la superficie de los dientes para mejorar su apariencia.
- Implantes dentales: Piezas de titanio que se fijan al hueso para reemplazar dientes perdidos, proporcionando una base firme para coronas.
- Blanqueamiento dental: Proceso para aclarar el color de los dientes, aunque sus resultados no son tan permanentes como las carillas.
- Ortodoncia: Tratamiento para corregir la alineación de los dientes, mejorando tanto la estética como la funcionalidad.

La línea media dentaria y su importancia
La línea media dentaria es una de las claves más importantes en la estética de la sonrisa de todos nuestros pacientes. Antes de iniciar un tratamiento de Ortodoncia es imprescindible realizar un correcto diagnóstico del caso y entre muchos otros factores a valorar, se encuentra el análisis de la línea media dentaría.
Este análisis nos permitirá a los Ortodoncistas, saber que movimientos dentarios debemos realizar para lograr el objetivo deseado. Debemos analizar por separado, la línea media dentaria superior y la línea media dentaria inferior:
Línea media dentaria superior
La línea media dentaria superior debe estar centrada con la línea media facial, siempre y cuando exista simetría facial. Puede existir una desviación de la línea media dentaria superior de hasta 3 mm hacia la derecha o hacia la izquierda, sin que esta sea perceptible por el resto de la población al mantener una conversación a una distancia normal. Aunque la línea media dentaria superior presente cierta desviación hacia un lado u otro, esta no debe estar inclinada con respecto a la línea media facial. Debe ser paralela a esta, de lo contrario podría parecer antiestética.
Línea media inferior
La línea media inferior debe estar centrada con la línea media superior y ambas con la línea media facial, pudiendo existir una desviación de ambas con la línea media facial de hasta 3 mm. Por otro lado la línea media inferior puede estar desviada con respecto a la línea media superior aunque la oclusión sea perfecta. Esto se produce en casos en los que existe una asimetría en el tamaño de los dientes.
Si la línea media dentaria inferior se encuentra desviada con respecto a la línea media facial, debemos analizar si es debido a una causa esquelética; dentaria o funcional:
- Causa esquelética: Se produce en aquellos casos en los que existe una asimetría mandibular con desviación del mentón hacia el lado izquierdo o derecho.
- Componente dentario: Si la línea media dentaria inferior no se encuentra centrada con el mentón, la causa de la desviación es la posición anómala de los dientes.
- Componente funcional: En algunos casos, como consecuencia de la maloclusión del paciente (muerde mal), para masticar, tiene que desplazar la mandíbula hacia los laterales o hacia delante. Este desplazamiento provoca una desviación «aparente» de la línea media inferior, pero que no es real.
Por esa razón los ortodoncistas analizamos la posición mandibular en relación céntrica, es decir, la posición idónea en la que los cóndilos mandibulares se encuentran centrados en las fosas glenoideas, sin forzar la musculatura ni los ligamentos.

Fases de un tratamiento de Ortodoncia 🦷 ¿Cuánto puede durar un tratamiento? 🤔 - Odontología Láser.
Consecuencias de la pérdida de piezas dentales
La pérdida de piezas dentales, en especial de las delanteras, afecta seriamente a la sonrisa. Pero sus consecuencias, más allá del aspecto estético, pueden propiciar problemas funcionales, psicológicos e incluso sociales. ¿Cuán grave puede ser esto? ¿Te puede suceder a ti? ¿Son los implantes la solución ideal?
Amy Leigh Mercree, escritora de libros de fama mundial y experta en salud holística, dijo: «¡Gran parte de nuestra salud comienza en nuestra boca! El estado de encías y dientes está directamente relacionado con el del corazón y el sistema inmunológico».
Algunas de las consecuencias de la pérdida de dientes incluyen:
- Fonación: Dificultades en la pronunciación.
- Masticación: Problemas de indigestión debido a la incapacidad de masticar bien los alimentos.
- Desgaste: Mayor presión sobre las encías.
- Pérdida ósea: Disminución del hueso maxilar.
- Movilidad: Desplazamiento de los dientes adyacentes.
- Enfermedades periodontales: Gingivitis y periodontitis.
Soluciones para la pérdida de dientes
En el pasado, la persona que perdía un diente o una muela tenía que conformarse con vivir sin ella o colocarse una prótesis incómoda, que muchas veces le creaba problemas adicionales. Actualmente, la mejor solución viene dada por los implantes dentales, que no son más que piezas de titanio que se fijan al hueso y se integran con el mismo, con lo cual proporcionan una base firme y permanente a la corona que se construirá a posteriori. El resultado en cuanto a resistencia y fuerza es tan bueno o incluso mejor de lo que se tenía con el diente natural. Otro punto positivo es que los implantes lucen totalmente naturales.
Casos de rehabilitación dental
Las clínicas dentales ofrecen diversas soluciones de rehabilitación según las necesidades de cada paciente. Algunos casos comunes incluyen:
- Prótesis de Zirkonio Prettau®: Para pacientes con enfermedad periodontal avanzada.
- Carillas dentales de Zirconio Prettau®: Para mejorar la estética y durabilidad de la sonrisa.
- Restauración completa superior: Para devolver la funcionalidad y calidad de vida a pacientes con pocas piezas dentales restantes.
- Rehabilitación por bruxismo: Para solucionar el desgaste dental causado por el bruxismo.
- Reconstrucción en composite: Para reparar piezas dentales desgastadas con un resultado realista.
- Rehabilitación monolítica de zirconio: Para restaurar la estética y funcionalidad dental en casos complejos.
- All on 4: Un sistema innovador para la rehabilitación completa de la arcada superior con solo cuatro implantes.
- Coronas individuales: Para preservar las raíces de los dientes afectados por caries profundas.

La salud bucal y el estilo de vida: El caso de Amy Winehouse
La vida de la cantante Amy Winehouse es un ejemplo trágico de cómo los problemas de salud mental y el abuso de sustancias pueden afectar la salud bucal y general. Winehouse, quien falleció en 2011 debido a una intoxicación etílica, sufrió de depresión, bulimia y adicciones. Su estilo de vida tuvo un impacto negativo en su dentadura, lo que se evidenciaba en su sonrisa.
Es importante recordar que la salud bucal es un reflejo del estado general de salud de una persona. Mantener una buena higiene dental, visitar regularmente al dentista y evitar hábitos perjudiciales son pasos clave para preservar una sonrisa saludable y una vida plena.
La importancia de la prevención
En las clínicas dentales se presta una especial atención a la prevención. Cepillarse los dientes después de cada comida previene caries, protege las encías y mejora el aliento. Nos ocupamos de solucionar sus problemas dentales de la forma más sencilla posible, y es por esto que le prestamos una especial atención a la prevención.
En conclusión, la estética dental es un campo en constante evolución que ofrece soluciones para mejorar la apariencia y funcionalidad de la sonrisa. Desde tratamientos sencillos como el blanqueamiento dental hasta procedimientos más complejos como los implantes y las carillas, existen opciones para cada necesidad y presupuesto. Mantener una buena salud bucal no solo mejora la estética, sino que también contribuye al bienestar general y la calidad de vida.