Nunca es tarde para conseguir una sonrisa bonita y saludable. Por eso, hoy queremos darte varias razones de peso para que te animes a probar las ventajas de la ortodoncia. Una técnica que te permitirá ganar seguridad y confianza en ti mismo.

¿Por Qué Optar por la Ortodoncia?
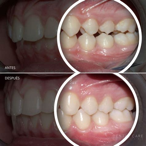
Detrás de toda ortodoncia existe un componente estético. La mayoría de pacientes deciden apostar por este sistema debido a una deformidad dental como dientes mal alineados, apiñamiento, inclinación o maloclusión dental. Así que, si es tu caso, adelante. Lo primero que deberás hacer es someterte a una exploración dental para comprobar el estado de tus encías y determinar qué tipo de tratamiento es el más adecuado para tu caso. A cualquier edad, la ortodoncia ofrece unos resultados óptimos.
Tipos de Ortodoncia: Desde los Brackets Tradicionales hasta Invisalign
Los tipos de ortodoncia varían desde la más tradicional, los conocidos como brackets metálicos hasta la ortodoncia lingual, los brackets de zafiro o el sistema Invisalign. El primero de ellos, es el más utilizado en los niños. Si buscamos algo más estético, los brackets de zafiro pueden ser una opción aconsejable. Son transparentes y no se manchan con ciertas comidas o bebidas -a diferencia de los fabricados con cerámica-.

Un paso más hacia la discreción nos lleva a la ortodoncia lingual, que recibe su nombre precisamente porque los brackets se instalan en la parte lingual o interna de los dientes. Quedan escondidos y, excepto el propio paciente, nadie sabrá de su existencia. Por último, la ortodoncia Invisalign es la que ofrece mayor comodidad al paciente, ya que no solo es transparente, sino también removible. Podremos quitarnos las férulas siempre que sea necesario, por ejemplo, para asistir a un evento importante o para la higiene dental diaria.
Hasta ahora, hablar de ortodoncias era evocar el patio del colegio, la merienda en el parque y los dibujos animados. Sin embargo, cada vez más recuerda a la mesa de oficina, a la máquina de café y al atasco en hora punta. Se ha roto la barrera generacional y, desde hace unas dos décadas, el metal de los brackets brilla tanto en los dientes adultos como en los infantiles.
El Aumento de Pacientes Adultos
«En 15 años, mis pacientes adultos han pasado de ser el 1% a prácticamente el 14% y la tendencia sigue aumentando a un ritmo vertiginoso», afirma Joaquín de Vicente, ortodoncista y profesor en la Facultad de Odontología de la Universidad de Salamanca. «No es que hayamos descubierto nuevas técnicas de aplicación en adultos. En realidad, los tipos de aparato y la forma de aplicarlos no varían en función de la etapa vital. En mi opinión sucede que hemos alcanzado tal nivel de bienestar económico que nos preocupamos por asuntos que antes resultaban frívolos o secundarios, como la estética y la salud bucodental.
La tendencia al alza es tal en España que, según una encuesta del Ministerio de Sanidad, el 48% de los usuarios tiene más de 25 años y el 29%, menos de 15. El resto se encuentra entre 15 y 25 años.
ALINEADORES INVISIBLES 🦷| ¿Valen la Pena?👎👍
Historias de Éxito con Ortodoncia
Candelaria Pardo, una malagueña desparpajada de 44 años, era una niña cuyos padres no podían permitirse pagar una ortodoncia. Ahora, con sus brackets cerámicos semitransparentes arriba y abajo, se ha quitado la espinita que tanto tiempo llevaba clavada. Nada le impide hacer una vida normal. Desayuna cada día pan tostado, bien crujiente, con tomate, y no hay fruto seco que se le resista: «El truco está en ir a mordisquitos», dice. «Siempre he tenido los dientes torcidos. Así que, después de hablar con una amiga que se había puesto ortodoncia y estaba encantada, me animé. Fui al dentista y, con un poco de miedo, le pedí que me la pusiera. Llevo casi un año y medio y es lo mejor que he podido hacer. Además, te dan muchas facilidades de pago.
Todos, menos el esposo. Candelaria es la tercera de la familia que se atreve con la ortodoncia. El primero fue Carlos, su hijo mayor, que empezó después de hacer la comunión y ahora sólo tiene que ir a revisión para comprobar que los dientes siguen en su sitio. La segunda fue Lucía, de 13 años, que estará unos dos años en tratamiento. El caso de Candelaria, según su odontólogo, Leandro Fernández, es el más común entre los talluditos: «A diferencia de los niños, a los que hay que llevar a rastras, las personas mayores van al dentista por iniciativa propia».

Consideraciones Específicas para Adultos y Niños
Su colega Sabino Ochandiano le da la razón y añade: «Claro que, a veces, acuden a ti por pura estética y acabas por tener que decirles que les pones la ortodoncia, pero sobre todo porque tienen unos problemas tremendos de oclusión (mordida). El doctor Ochandiano habla de sus pacientes en femenino y lo hace a conciencia: «De cada 10 mayores de 18 años, al menos en mi caso, ocho son mujeres». La enorme desproporción entre sexos se confirma en todas las consultas. «Es como en la universidad, como en todas partes. Las mujeres están monopolizando casi todas las áreas; tienen más iniciativa y se cuidan más. Además, ellos son mucho más quejicas.
Más allá de la guerra de sexos, afirma con contundencia: «Donde esté un adulto, que quiten a los niños. El adulto dispuesto a enfundarse una ortodoncia está concienciado de que tiene que seguir una disciplina germana de principio a fin. Tiene un objetivo claro y va a por todas, seguramente, porque lleva media vida deseando lucir unos dientes alineados. Lo de los niños es otro cantar. En cuanto te das la vuelta, transgreden todas las normas. Por eso, yo a un niño, a menos que no quede más remedio, nunca le pongo ortodoncia removible -de quita y pon-, sino brackets.
La Experiencia de los Niños con Ortodoncia
Carolina, 8 años, encarna las peores pesadillas del doctor De Vicente. Mientras calienta plastilina entre sus manos (es la hora de Plástica), en un ejercicio de lucimiento y exhibición de sus habilidades, se quita y se pone su ortodoncia removible con los ojos cerrados y habla de ella como quien narra las excelencias de un juguete fascinante: «El dentista te prohíbe comer lo más rico: pipas, chicle, chocolate, gominolas... Lo bueno es que te deja elegir el color. Yo llevo morado arriba y naranja abajo. Y cuando tenía brackets, alternaba el color de las gomas: verde, amarillo, verde, amarillo, que la verdad, me sientan muy bien. Lleva ortodoncia desde los 6 años y se siente feliz. Se siente, en definitiva, especial. Porque afortunadamente, la ortodoncia ya no es el tormento de los niños de ayer, condenados a las burlas de sus compañeros. Hoy, la ortodoncia «mola».
Sin embargo, y aunque Carolina «la llevaría toda la vida», tiene sus inconvenientes. Ruth, su compi de clase, que ahora lleva un ensanchador del paladar y después se pondrá brackets, recuerda con amargura las molestias de los primeros días: «Al principio, pronunciaba muy raro, sobre todo, las eses y las erres y me dolía la tripa de tanto tragar saliva». Ruth sabe que no puede mascar chicle, pero un día lo hizo «por probar». Y las consecuencias fueron tales que asegura haber aprendido la lección para siempre. «Jolín, me arrepiento muchísimo. Se me quedó todo el chicle pegado a la ortodoncia y me pasé 20 minutos rascándola con el cepillo de dientes. Cuando mi madre entró al baño y vio lo que había pasado, se enfadó tanto que me obligó a decírselo al dentista.
Ahora, sí 'mola'. Mientras Ruth narra la infinidad de anécdotas que ha vivido en un mes de ortodoncia, varios de sus compañeros se arremolinan alrededor del pupitre: «¡A mí me la ponen dentro de poquito». «¡A mí también!».
Desafíos y Soluciones en el Proceso de Ortodoncia
A sus 35 años, acaba de quitarse los brackets y sólo conserva un hierro fijador encargado de que la alineación permanezca constante. Hace dos años acudió al dentista para acabar con unos dientes torcidos que su hija ha heredado y que coartaban su ahora amplia sonrisa. «Al principio, parece genial, yo hasta adelgacé. Como me costaba comer... Pero luego empiezan las molestias. El dolor y la tirantez cada vez que te aprietan el arco, las ulcerillas... Ruth se ha adaptado mejor que yo. Al menos, con más ilusión. Entre los problemas más frecuentes generados por la ortodoncia están la aparición de llagas y heridas por el roce del metal, que requiere del uso de una cera comestible (unos 3,35 euros el paquete).

Ortodoncia Invisible: Una Opción Discreta
Con todo, ya no hay excusa, ni siquiera para los más presumidos. Gracias a la ortodoncia invisible o Invisalign, sólo el propio usuario sabe que lleva aparato dental. El inconveniente: su precio. Puede costar entre 10.000 y 12.000 euros; unas tres o cuatro veces más que la metálica de toda la vida. Pero ya se sabe, para estar bello, hasta el bolsillo tiene que sufrir. Y más si uno vive de su imagen... Precisamente por eso, son legión los famosos, sobre todo ellas, que han pasado por el dulce calvario de la ortodoncia. Desde Miriam Díaz Aroca en su etapa del Un, dos, tres, hasta Alaska, las triunfitas Rosa y Soraya, Isabel Preysler o el Príncipe Felipe.
Cada vez más discretas, cada vez más estéticas, las ortodoncias han dejado de ser el tormento de la infancia para convertirse en un tratamiento médico más, accesible y recomendable a todas las edades. Cuando pensamos en tener una dentadura perfecta, lo normal es que pensemos en sistemas como los brackets. Sin embargo, en la actualidad esto ha cambiado mucho y contamos con numerosos sistemas que nos ayudan a conseguir una dentadura perfecta.
Brackets vs. Invisalign: ¿Cuál es la Mejor Opción para Ti?
Aunque los brackets son sistemas de ortodoncia muy populares, en los últimos años una nueva manera de corregir la dentadura se ha impuesto en el ámbito de la ortodoncia. Se trata de la técnica invisalign, un sistema con el que conseguiremos alinear nuestros dientes sin dolor y sin molestias.
Aquí te presentamos algunas diferencias clave entre brackets e Invisalign:
- Removilidad: Los brackets son sistemas fijos, mientras que Invisalign es un sistema que te permite poner y quitar los correctores siempre que lo necesites.
- Estética: Invisalign es transparente, por lo que no aporta elementos antiestéticos que puedan provocar malestar en la persona que los usa.
- Tecnología: Invisalign tiene un software que permite realizar los cálculos necesarios para crear una pieza dental que se adapte perfectamente a nuestra boca.
- Material: Invisalign está realizado en plástico, lo que permite que no haya desgaste o no haya problemas derivados de la colocación de sistemas fijos como la descementación.
- Seguimiento: En ambos casos, el dentista debe realizar un seguimiento del paciente aunque es menor entre quienes emplean Invisalign. De ahí que esté especialmente indicado para quienes pasan mucho tiempo fuera de su localidad, pues las consultas se espacian mucho en el tiempo.

Brackets Estéticos: Una Alternativa Discreta
La ortodoncia estética cada vez ofrece más posibilidades. Con todas las opciones que existen para corregir la dentadura sin sacrificar la estética, a veces es difícil decidirse por una. Los brackets zafiro son bastante similares a los tradicionales de metal. Cuentan con la enorme ventaja de la estética que aportan. Es una ortodoncia transparentes en la que se emplea el cristal de zafiro. Hasta el momento es uno de los aparatos de ortodoncia estética más utilizados. Otra de las razones por las que se continúan recomendando es la nobleza del material con el que se fabrican. La principal ventaja que presentan los brackets zafiro dentro de las soluciones estéticas de ortodoncia es su excelente relación calidad precio. No obstante y como ya he comentado, como todos los aparatos de brackets, es un sistema permanente que acompaña al paciente las 24 horas del día. Aunque esto es favorable a la hora de asegurar el buen funcionamiento de la ortodoncia, resulta un poco incómodo para comer o beber y en ocasiones puede generar roces o heridas. Se recomienda en todos los casos mantener una muy buena higiene dental para evitar infecciones.
Invisalign: Comodidad y Eficiencia
Llegados a este punto, y después de ver las características de los brackets zafiro, es normal preguntarse ¿por qué ortodoncia apostar? Lo que debes saber, es que la mejor recomendación se hace siempre tras un diagnóstico previo. Como especialista en invisalign, estudiaré tu caso. Sin embargo, cabe recalcar que, afortunadamente, Invisalign ofrece la posibilidad de corregir desde las maloclusiones más simples, hasta las más complejas. Como ya os he comentado en más de una ocasión, el uso de Invisaling es un método de lo más eficiente para todo tipo de movimientos dentales. Entre sus ventajas, destaca que son prácticamente invisibles e imperceptibles, como ya sabéis. Además, este sistema no afecta a la forma expresarse. Evita el clásico siseo al hablar que en ocasiones notamos a la gente que utiliza brackets. Respecto a los brackets, como hemos dicho no se trata de una ortodoncia removible. Es decir, no puede ser retirado por el paciente a voluntad. Esto garantiza el resultado que se busca, en el tiempo en que se pretende.
Por otro lado, Invisalign ofrece un tratamiento cómodo y más suave, evitando así las posibles molestias comunes y provocadas por los brackets. Asimismo, las consultas a la clínica con la invisalign pueden estar más espaciadas en el tiempo, por ejemplo una consulta cada 2-3 meses. Pero el punto clave de Invisalign es que el ortodoncista tendrá un gran control del tratamiento y conocerá todos los detalles necesarios para un proceso personalizado. La mejor opción siempre es acudir a consulta y ponerte en las manos de un profesional. Este o esta, te ayudará a encontrar el tratamiento más acorde a tus problemas. Si tienes dudas sobre qué ortodoncia estética es mejor para ti, te recomiendo que pidas cita en cualquiera de mis consultas y veamos juntos qué opciones son las más adecuadas teniendo en cuenta tu caso. Yo siempre recomiendo Invisalign por sus facilidades y sus ventajas a largo plazo tanto estéticas como de salud. No esperes más y ponle fin a tus problemas dentales poniéndote en las mejores manos:
