Un puente dental fijo es una excelente opción para restaurar tu sonrisa y funcionalidad si te faltan dientes. Es una prótesis dental fija que se utiliza para reemplazar uno o varios dientes perdidos. Esta estructura protésica actúa como un "puente" entre dos piezas dentales y el espacio vacío dejado por los dientes naturales perdidos.
Para realizar esta función, el puente puede apoyarse tanto en los dientes naturales que el paciente conserva en la boca como en implantes dentales. En Ruiz de Gopegui abogamos por restauraciones de alta calidad y biocompatibles, que se ajusten siempre a tus necesidades.

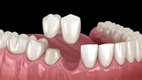
Ejemplo de un puente dental fijo.
¿Qué es un Puente Dental Fijo?
Un puente dental fijo es un diente o dientes postizos que se fabrican para cubrir el hueco causado por la falta de uno o varios dientes. Un diente postizo que se fija a los dientes adyacentes suele denominarse puente dental. Un puente es un puente dental fijo si los dientes postizos están cementados o unidos a tus dientes.
Ventajas de un Puente Dental Fijo
- Aspecto natural: Los puentes dentales fijos son una gran opción si quieres un aspecto natural.
- Fácil mantenimiento: Requieren menos mantenimiento que otros puentes dentales. Se fijan a los dientes y no se caen.
- Resistentes y duraderos: Son fuertes y duraderos.
- Sin pérdida de hueso: A diferencia de los puentes dentales removibles, los puentes dentales fijos no requieren injertos óseos.
- Sin cirugía oral: No necesitan ser retirados.
- Bajo coste: Los puentes dentales fijos son más baratos que los puentes dentales removibles o de quita y pon.
- No se mueven los dientes: Cuando te colocas un puente dental, los dientes que lo rodean no se mueven.
Componentes de un Puente Dental
El puente dental está compuesto, básicamente, de dos elementos: el póntico y el pilar.
- Póntico: Es el diente artificial o dientes que ocuparán el lugar que han dejado las piezas dentales naturales que se han caído. Para fijarse con éxito en la cavidad oral y repartir bien las fuerzas masticatorias, deben de contar con la ayuda de un pilar.
- Pilar: Son los dientes o implantes que reciben la fuerza del póntico. En los pilares es donde fijamos el puente dental con seguridad, ya que actúan como soporte para la prótesis.

Componentes principales de un puente dental: póntico y pilar.
Tipos de Puentes Dentales
Existen varios tipos de puentes dentales, cada uno con sus propias características y indicaciones. Estos son algunos de los más comunes:
- Puente tradicional: Este tipo de puente está compuesto por uno o más dientes artificiales suspendidos entre dos coronas dentales. Las coronas se colocan en los dientes adyacentes al espacio vacío y actúan como pilares de soporte para el puente.
- Puente adherido (Maryland o de resina): Este tipo de puente utiliza una estructura metálica o de porcelana que se adhiere a la parte posterior de los dientes adyacentes al espacio vacío. Los dientes artificiales están unidos a esta estructura, creando un puente fijo.
- Puente implantosoportado: En este tipo de puente, se colocan implantes dentales en los huesos maxilares para servir como pilares de soporte. Los dientes artificiales están unidos a los implantes, creando un puente fijo y estable. Los puentes implantosoportados ofrecen una excelente estabilidad y función, y no requieren apoyarse en los dientes adyacentes.
- Puente de Maryland de fibra de vidrio: Esta variante del puente de Maryland utiliza una estructura de fibra de vidrio en lugar de metal o porcelana.

Diferentes tipos de puentes dentales.
¿Cuándo se Recomienda un Puente Dental de 4 Piezas?
Un puente dental de 4 piezas se recomienda principalmente en situaciones donde has perdido dos o tres dientes contiguos y aún conservas dientes naturales fuertes a ambos extremos del espacio.
- Pérdida de dientes adyacentes: Si te faltan dos dientes seguidos, un puente fijo de 4 unidades apoyado en los dientes vecinos puede ser una excelente solución. Por ejemplo, ausencia de dos molares o premolares consecutivos; tallamos el diente anterior y posterior al hueco, y colocamos un puente que repone esas dos muelas perdidas. Incluso si faltan tres dientes seguidos, a veces podemos hacer un puente de 5 piezas (tres pónticos en medio y dos pilares).
- Dientes pilares en buen estado: Es importante que los dientes naturales que servirán de soporte (pilares) estén sanos y firmes. Si esos dientes adyacentes tienen raíces débiles, enfermedad periodontal avanzada o gran destrucción, quizá no sean buenos candidatos para soportar un puente. En tal caso, primero habría que tratarlos (por ejemplo con endodoncia, reconstrucciones o incluso considerar implantes si no sirven).
- Alternativa más rápida a implantes: Algunas personas eligen el puente fijo porque no quieren someterse a cirugías de implantes o no pueden esperar los meses que tarda un tratamiento con implantes dentales. Colocar un puente convencional suele llevar solo un par de semanas, mientras que reponer varios dientes con implantes puede llevar varios meses (por tiempos de cicatrización ósea).
- Cuestiones de presupuesto: Un puente de varias piezas suele ser más económico que colocar varios implantes dentales (lo veremos en detalle en la sección de precios). Si el costo es una preocupación, un puente dental de 4 piezas puede brindar una solución más asequible para reemplazar múltiples dientes.
Materiales Utilizados en la Fabricación de Puentes Dentales
Al igual que las coronas individuales, los puentes dentales pueden fabricarse en distintos materiales, o combinaciones de materiales, que afectan tanto la estética como la resistencia y el precio.

Puente dental de zirconio.
- Metal-porcelana (porcelana fundida sobre metal): Es posiblemente el material más tradicional. Consiste en una estructura interna metálica (aleación de metales) que brinda resistencia, recubierta por porcelana dental del color del diente para la estética.
- Cerámica pura (porcelana sin metal): Aquí la estructura del puente es 100% cerámica (por ejemplo, disilicato de litio u otras porcelanas de alta resistencia). La ausencia de metal hace que la estética sea superior, logrando puentes muy traslúcidos y naturales, ideales para dientes anteriores.
- Zirconio: El zirconio dental es un material cerámico de última generación, extremadamente duro y resistente, pero con un color blanco que permite una buena estética.
- Resina acrílica (provisional): Cabe mencionar que existen puentes de resina acrílica o materiales plásticos, pero generalmente se usan como puentes temporales.
Para zonas posteriores (molares): se suele priorizar la resistencia, por lo que un puente de metal-cerámica o zirconio es ideal. Para zonas anteriores (incisivos/caninos): la estética manda, así que podríamos optar por cerámica pura o zirconio cerámico, que brindan una apariencia muy natural.
NO TE HAGAS PUENTES DENTALES FIJOS, sin evaluar primero opciones más conservadoras.
Procedimiento Paso a Paso para la Colocación de un Puente Dental Fijo
El proceso de obtener un puente dental fijo suele requerir varias visitas al dentista. A continuación, se describen las etapas típicas para colocar un puente de 4 piezas sobre dientes (el procedimiento clásico):
- Evaluación inicial y planificación: En la primera consulta, el odontólogo realiza un examen completo. Se evalúa tu salud bucal general, el estado de los dientes pilares (los que sostendrán el puente) y de las encías. Es común tomar radiografías para ver raíces y hueso, y a veces escáner intraoral o moldes de estudio para planificar.
- Preparación (tallado) de los dientes pilares: Si todo está en orden, pasamos a preparar los dientes adyacentes al espacio. Bajo anestesia local (para que no sientas nada), se procede a tallar los dientes pilares. Básicamente, desgastamos y moldeamos esas piezas alrededor del hueco, reduciendo su tamaño unos milímetros, para crear espacio donde encajará la corona del puente.
- Toma de impresiones: Con los dientes pilares ya preparados, se realiza una impresión dental de la zona. Puede ser con material de molde (una pasta de silicona o alginato en una cubeta que se muerde) o mediante un escáner intraoral digital que crea un modelo 3D de tu boca.
- Colocación de un puente provisional: Dado que entre sesiones estarás con los dientes pilares tallados (más pequeños y sensibles), en la misma cita normalmente se te coloca un puente provisional de plástico o acrílico. Este puente temporal cubre los dientes tallados y ocupa el hueco, de modo que puedas hacer vida normal mientras esperas el definitivo.
- Fabricación en laboratorio: Aquí tú descansas en casa mientras los técnicos de laboratorio dental trabajan en tu puente. Con las impresiones o el modelo digital, el protésico fabrica el puente de 4 piezas con el material elegido.
- Prueba y ajustes del puente definitivo: Una vez listo el puente final, vuelves a la clínica para probarlo. El dentista retira el provisional.
- Cementación del puente definitivo: Una vez tanto tú como el dentista están conformes con cómo quedó, se fija permanentemente el puente con un cemento dental especial.
- Revisiones y ajustes posteriores: Te pediré que vuelvas en una semana aproximadamente para chequear cómo te has adaptado. En esa cita reviso las encías alrededor del puente (que estén sanas, sin irritación), confirmo la mordida de nuevo y hago ajustes menores si es necesario (por ejemplo, pulir algún puntito que moleste la lengua).
Cuidados y Mantenimiento de un Puente Dental Fijo
Al igual que con los dientes naturales, los pacientes portadores de prótesis fijas necesitan un cuidado e higiene rutinaria para mantenerlos en un estado saludable. Cobra más importancia si cabe la higiene en las zonas donde existen puentes, ya que es más fácil que los restos de comida y placa se acumulen.
Para poder higienizar los puentes correctamente existen diversos utensilios como el superfloss, el irrigador o los cepillos interproximales, que se introducen en el espacio que existe entre el póntico y la encía para limpiar los restos que puedan quedar atrapados. Además es recomendable evitar morder cosas duras con las prótesis fijas ya que pueden descementarse o incluso fracturarse.
Recomendaciones Adicionales
- Técnicas de cepillado, dentífricos no abrasivos y enjuagues bucales se combinan con la regularidad del hábito de limpieza para la correcta higiene de la boca.
- Es recomendable evitar golosinas y alimentos duros o pastosos, como los caramelos masticables, las nueces, las palomitas de maíz acarameladas, etc. Asimismo, es adecuado minimizar el consumo de azúcares, que pueden alojarse en la parte interna de las coronas y generar caries.
- Otro punto a cuidar son las bebidas de colores fuertes, como el vino o el café.
- Evitar todas aquellas acciones que las personas suelen llevar a cabo con sus dientes y que no cumplen ninguna función. Por ejemplo, abrir botellas, masticar trozos de plástico, morder uñas, masticar hielo, entre otros.
- Se hace referencia directa al acto de fumar: el cigarrillo es extremadamente agresivo. Ennegrece las encías, promueve la halitosis y el edentulismo, al igual que mancha la superficie dental. Cuando se tienen implantes, el fumar resulta más riesgoso, ya que sus químicos interfieren con la osteointegración.
- Las visitas frecuentes al odontólogo son esenciales para alargar la vida útil de los puentes dentales. En cada revisión, el especialista podrá detectar cualquier anormalidad y establecer las medidas necesarias.
Coste de un Puente Dental Fijo
El coste de un puente dental fijo varía de una persona a otra. También depende de varios factores, como el número de dientes que le faltan, el tamaño del hueco, los materiales utilizados y el laboratorio dental que crea el puente.
El coste de la prótesis dental depende de los factores listados a continuación, pero aún asi, en nuestra consulta odontológica te ofrecemos la primera visita gratis, con el fin de realizarte un completo estudio bucal y ofrecerte un presupuesto personalizado y sin compromiso.

El precio de un puente dental puede variar significativamente.
Factores que Influyen en el Precio
- Complejidad del caso: El número de dientes que deben ser reemplazados y la condición de los dientes adyacentes, puede influir en el precio.
- Materiales: No es lo mismo un puente de metal-porcelana (más económico) que uno totalmente cerámico o de zirconio (más caro). El zirconio suele encarecer el tratamiento, pero ofrece mejor estética y durabilidad.
- Número de piezas: Cuantas más coronas y pónticos, mayor será el costo, porque básicamente se cobra por pieza adicional.
- Dientes naturales vs. Implantes: No es lo mismo hacer un puente apoyado en dientes que ya tienes, que hacer un puente sobre implantes dentales. Si necesitas implantes, el precio se dispara porque incluye las cirugías de implante, aditamentos protésicos y más sesiones.
- Tratamientos previos: Puede que antes de colocarte el puente haya que realizar otros procedimientos, y eso sumará al costo. Por ejemplo, si los dientes pilares tienen caries o empastes antiguos, quizás haya que hacer reconstrucciones o endodoncias (tratamiento de nervio) para dejarlos aptos y fuertes.
- Puente provisional: Algunos presupuestos incluyen este provisional, otros lo cobran aparte.
- Clínica y profesional: La reputación y ubicación de la clínica también influyen. Una clínica de barrio podría tener tarifas más bajas que una clínica de alta tecnología.
- País o región: No costará lo mismo en España, México o Estados Unidos.
| País | Material | Precio (USD) |
|---|---|---|
| España | Metal-Porcelana | 1000 - 1800 |
| España | Zirconio | 1200 - 2000 |
| México | Zirconio | 900 - 1900 |
| Latinoamérica (Promedio) | Varios | 500 - 1500 |
| Estados Unidos | Varios | 2000 - 5000 |