La ortodoncia es uno de los tratamientos más demandados para mejorar la sonrisa, ya que permite corregir las alteraciones en la oclusión (mordida) y alineación de los dientes. Los tratamientos ortodónticos, como los alineadores invisibles o los brackets, pueden transformar la apariencia de tu sonrisa y la funcionalidad de tus dientes. A nuestros pacientes les encanta ver sus fotografías del antes y después de sus tratamientos de ortodoncia. Este tipo de tratamientos dentales ofrecen resultados muy satisfactorios y que duran toda la vida, proporcionando a los pacientes calidad en su mordida y en la colocación de los dientes. Además de un tratamiento estético, muchas personas recurren a la ortodoncia por problemas de salud.
Si estás considerando este tratamiento, este artículo te interesa. A continuación, exploraremos diferentes malposiciones y maloclusiones dentales y cómo se solucionan con ortodoncia, ya sea con brackets o alineadores invisibles. Veremos fotos antes y después del tratamiento de ortodoncia con brackets metálicos, cerámicos, de zafiro e Invisalign.

Tipos de Ortodoncia y sus Resultados
Brackets Metálicos: Antes y Después
El tratamiento de brackets metálicos es el más visible de todos, pero cuenta con la ventaja de que su precio es inferior. Sirven para solucionar prácticamente todo tipo de problemas en la mordida, rotaciones de dientes, apiñamiento y separación entre dientes.

Brackets Estéticos: Zafiro y Porcelana
La ortodoncia estética ofrece la opción de escoger entre dos materiales: de zafiro y de porcelana. Son de las opciones más estéticas ya que son transparentes y los escogen pacientes que quieren obtener un aspecto estético durante el proceso de ortodoncia. Los resultados antes y después de la ortodoncia cerámica, hacen de ella una de las opciones estéticas más escogidas por adultos. Además, las abrazaderas usadas en esta ortodoncia son del mismo color que el diente, por lo que la ortodoncia pasa desapercibida.

Ortodoncia Invisible Invisalign®: Antes y Después
La ortodoncia invisible o Invisalign® es un procedimiento dental con férulas transparentes imperceptible a los demás, por lo que es el método de ortodoncia con un resultado más estético de todos los actuales. Dos de sus ventajas son que el propio paciente puede retirar la férula en casa y limpiar sus dientes de forma habitual. Estas férulas mueven las piezas dentales gradualmente en la boca de pacientes que presentan apiñamiento y sus dientes se colocan en las arcadas de forma correcta.

Maloclusiones y su Corrección con Ortodoncia
Diastema: Antes y Después
Se le llama diastema al espacio o hueco que hay entre dos dientes (normalmente los incisivos centrales superiores, también conocidos como “paletas”). Si los diastemas no se tratan, pueden conllevar caries, desalineamiento de la mandíbula, problemas de encías, etcétera. Los dientes separados antes y después del uso de ortodoncia invisible o brackets cambian muchísimo, ya que se consiguen juntar sin problema. Aplicar una ligera presión en los dientes con ortodoncia en dientes separados, es una buena opción.

Apiñamiento Dental: Antes y Después
El apiñamiento dental es una malposición en la que los dientes se han solapado por falta de espacio. Afortunadamente, la ortodoncia antes y después del apiñamiento dental se nota muchísimo. Gracias a los brackets o a los alineadores invisibles, se puede corregir fácilmente este problema que puede derivar en gingivitis, periodontitis, pérdida del hueso dental o dificultad para hablar, entre otros.

Mordida Abierta: Antes y Después
Una mordida abierta es un tipo de maloclusión o una desalineación en los dientes que hace que el arco dental superior y el inferior no hagan contacto al cerrar la boca. En los casos más complejos de mordida abierta se requiere cirugía. Sin embargo, en la mayoría de casos, la diferencia entre los brackets antes y después de la mordida abierta, es más que notable.

Sobremordida: Antes y Después
La sobremordida es una malposición en la que el arco dental superior cubre el arco inferior en exceso o casi por completo. Si la sobremordida (o sobremordida profunda) se origina en los huesos, tendremos que llevar a cabo una operación para poder ver los cambios del antes y después. Si, por el contrario, el problema solo está en los dientes y necesitan ser reposicionados, con un tratamiento ortodóntico ya se puede solucionar.

Prognatismo: Antes y Después
El prognatismo es una maloclusión dental, igual que la sobremordida, pero a la inversa. Es decir, que la mandíbula inferior sobresale de la superior cubriendo parcialmente los dientes superiores. En la infancia, antes de que los dientes estén totalmente desarrollados, es posible tratar el prognatismo con dispositivos de ortodoncia tradicionales como brackets o con ortodoncia invisible (alineadores transparentes). En adultos (después de que los dientes ya estén totalmente desarrollados), será mucho más probable tener que recurrir a una cirugía. Sin embargo, siempre dependerá de la gravedad del caso.
Overjet: Antes y Después
Decimos que una dentadura tiene overjet cuando los incisivos superiores tienen una ligera protuberancia respecto a los dientes de abajo y, además, crean un ángulo hacia fuera. Como en el caso de la sobremordida o del prognatismo, las principales consecuencias son problemas al masticar y el cambio en la forma de la cara. Depende de la gravedad del caso, se usará cirugía u ortodoncia para remediar este tipo de maloclusión.
Agenesia Dental: Antes y Después
Uno de los problemas dentales más desconocidos es la agenesia o ausencia dental. Este tipo de anomalía se refiere a la falta de alguna pieza dental. El motivo de la agenesia dental es que el diente no se forma y, por lo tanto, hay un hueco entre las piezas dentales contiguas. En algunos casos, la agenesia dental puede requerir solamente un tratamiento de ortodoncia invisible o brackets para solucionarlo.

Casos Específicos y Tratamientos Personalizados
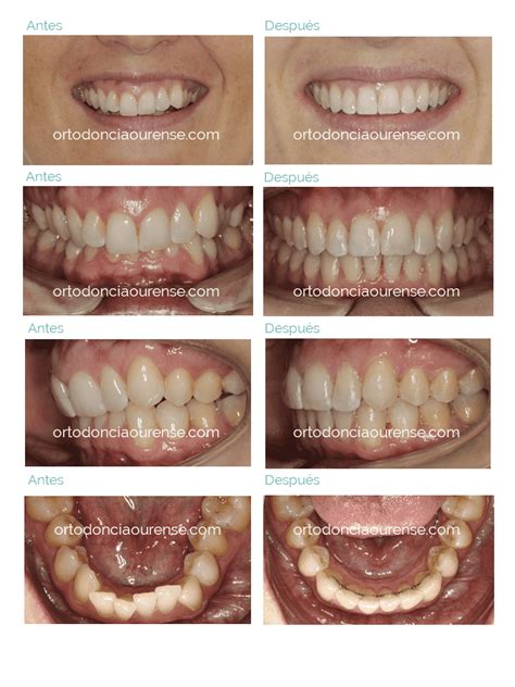
A continuación, te presentamos dos pacientes que, gracias a los tratamientos de ortodoncia que llevó a cabo nuestra doctora, Laura Pérez, lograron corregir sus maloclusiones y tener una sonrisa más saludable, estética y funcional.
- Paciente Adulta con Apiñamiento Dental: Se mejoró la alineación de los dientes y el engranaje de sus arcadas dentales mediante un tratamiento de ortodoncia discreto.
- Paciente Joven con Enfoque en Dos Fases:
- Ortodoncia Interceptiva: Tratamiento con disyuntor de paladar que duró 9 meses para ensanchar el maxilar superior y crear espacio para los caninos inferiores.
- Ortodoncia Fija: Iniciada tras corregir las bases óseas y ganar el espacio necesario.
Disyunción del maxilar superior: se utilizó un expansor palatino para corregir el estrechamiento del maxilar superior y armonizar la relación entre las dos arcadas dentarias. Recuperación de espacio para los caninos inferiores: en la arcada inferior, se emplearon técnicas de ganancia de espacio con aparatos funcionales para permitir la correcta erupción de los caninos.
Corrección de mordida y espacios dentales "Ortodoncia"
Invisalign: Casos Reales y Resultados Visibles
Si estás considerando someterte al tratamiento de ortodoncia invisible con Invisalign, es posible que te entusiasme saber que los resultados son visibles desde el primer alineador que colocas. Gracias a la avanzada tecnología de planificación digital, cada tratamiento con Invisalign está completamente personalizado para ajustarse a las necesidades específicas de tu sonrisa. A continuación, te mostramos algunos casos representativos de pacientes que han confiado en Travesí Ortodoncia para su tratamiento de Invisalign. Seguro que después de ver estas fotos de tratamientos Invisalign Teen, Invisalign Full e Invisalign Lite antes y después te habrás dado cuenta de que la ortodoncia invisible es capaz de solventar casi cualquier problema asociado a la posición de tus dientes.
Ejemplos de Casos Tratados con Invisalign:
- Apiñamiento en paciente adulta
- Mordida cruzada anterior en paciente infantil
- Incisivos laterales conoides y apiñamiento inferior en paciente adulta
- Mordida abierta anterior en paciente adulta
- Apiñamiento y mordida cruzada dentaria en paciente adulta
- Apiñamiento en paciente adolescente
Aquí te demostramos el buen hacer y los excelentes resultados conseguidos. En esta sección pueden apreciarse casos reales de éxito tratados en la Clínica Manzanera con distintas técnicas: brackets autoligables, brackets de zafiro, estéticos o cerámicos, Damon System, Invisalign y Ortodoncia lingual.

Consideraciones Finales
Aunque con fotos de casos reales de ortodoncia es fácil apreciar las diferencias antes y después de ponerse brackets, solo un especialista podrá asesorarnos sobre el tratamiento de ortodoncia que mejor resultados ofrecerá a nuestros dientes.
Tabla Resumen de Tipos de Ortodoncia y Maloclusiones
| Tipo de Ortodoncia | Maloclusiones Tratadas | Ventajas |
|---|---|---|
| Brackets Metálicos | Apiñamiento, rotaciones, mordida | Económico, versátil |
| Brackets Estéticos (Zafiro/Porcelana) | Apiñamiento, rotaciones, mordida | Estéticos, discretos |
| Invisalign | Apiñamiento, mordida abierta, diastema | Invisible, removible |
tags: #antes #y #despues #de #ortodoncia