Hay un tratamiento odontológico cuya efectividad y beneficios son muy sencillos de demostrar: la ortodoncia. Este tipo de tratamientos dentales ofrecen resultados muy satisfactorios y que duran toda la vida, proporcionando a los pacientes calidad en su mordida y en la colocación de los dientes. Además, de un tratamiento estético, muchas personas recurren a la ortodoncia por problemas de salud.
La ortodoncia es una rama especializada de la odontología que se centra en corregir la posición de los dientes y la mandíbula para lograr una alineación dental óptima. En esencia, la ortodoncia se basa en el uso de diversos aparatos y técnicas para corregir la posición de los dientes y la mandíbula, llevándolos a una alineación adecuada.
La ortodoncia corrige diferentes problemas bucodentales como el apiñamiento, la mordida cruzada, bruxismo, sonrisa gingival, dolores temporomandibulares y problemas esqueléticos. Su fin es lograr una mejor oclusión, es decir, que la mordida sea correcta.
El proceso de tratamiento ortodóntico es una travesía personalizada que busca corregir y alinear la posición de los dientes y la mandíbula. En esta etapa, los especialistas en ortodoncia realizan una consulta exhaustiva, revisando los resultados de la evaluación inicial y discutiendo los objetivos del paciente. Dependiendo de las necesidades específicas, se selecciona el tipo de aparato ortodóntico más adecuado.
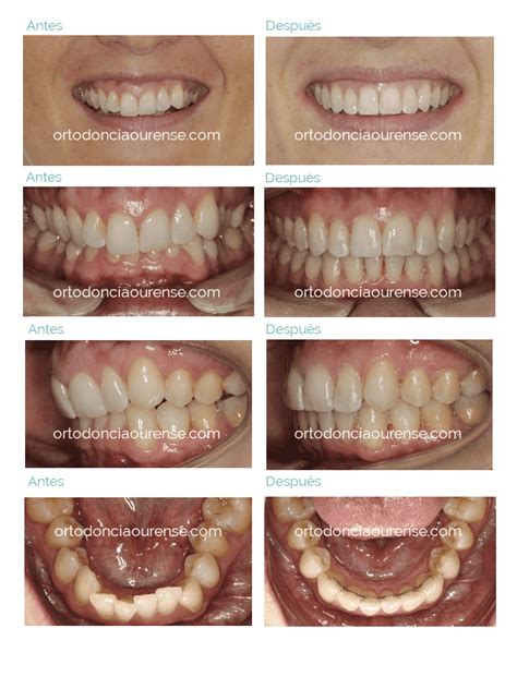
A nuestros pacientes les encanta ver sus fotografías del antes y después de sus tratamientos de ortodoncia. Aunque con fotos de casos reales de ortodoncia es fácil apreciar las diferencias antes y después de ponerse brackets, solo un especialista podrá asesorarnos sobre el tratamiento de ortodoncia que mejor resultados ofrecerá a nuestros dientes.
En este artículo profundizaremos en diferentes malposiciones y maloclusiones dentales (diastema o dientes separados, el apiñamiento, la agenesia, la sobremordida o la mordida cruzada) y veremos cómo se solucionan con ortodoncia (con brackets o alineadores invisibles).

Tipos de Brackets y sus Resultados
En Dental Care Barcelona, ofrecemos una variedad de opciones, desde brackets tradicionales hasta opciones más discretas como los alineadores transparentes. Reconociendo que las preferencias y necesidades de cada paciente son diferentes, ofrecemos una amplia variedad de opciones de aparatos ortodónticos.
A continuación, exploraremos los diferentes tipos de brackets y sus resultados:
Brackets Metálicos
El tratamiento de brackets metálicos es el más visible de todos, pero además cuenta con la ventaja de que su precio es inferior. Sirven para solucionar prácticamente todo tipo de problemas en la mordida, rotaciones de dientes, apiñamiento y separación entre dientes.

Brackets Estéticos
La ortodoncia estética ofrece la opción de escoger entre dos materiales: de zafiro y de porcelana. Son de las opciones más estéticas ya que son transparentes y los escogen pacientes que quieren obtener un aspecto estético durante el proceso de ortodoncia. Además las abrazaderas usadas en esta ortodoncia son del mismo color que el diente, por lo que la ortodoncia pasa desapercibida. Entre las opciones de ortodoncia estética son los que tienen un precio menor.
Los resultados antes y después de la ortodoncia cerámica, hacen de ella una de las opciones estéticas más escogidas por adultos.

Ortodoncia Invisalign®
La ortodoncia invisible o Invisalign® es un procedimiento dental con férulas transparentes es imperceptible a los demás, por lo que es el método de ortodoncia con un resultado más estético de todos los actuales. Dos de sus ventajas son que el propio paciente puede retirar la férula en casa y limpiar sus dientes de forma habitual. Estas férulas mueven las piezas dentales gradualmente en la boca de pacientes que presentan apiñamiento y sus dientes se colocan en las arcadas de forma correcta.

| Tipo de Bracket | Ventajas | Desventajas |
|---|---|---|
| Metálicos | Económicos, eficaces para diversos problemas | Más visibles |
| Estéticos (Zafiro/Porcelana) | Transparentes, aspecto estético | Mayor precio |
| Invisalign® | Imperceptibles, removibles | Requiere disciplina del paciente |
Problemas Dentales Comunes y su Corrección con Ortodoncia
La ortodoncia aborda una amplia variedad de problemas dentales que pueden afectar tanto la estética como la función oral.
Diastema
Se le llama diastema al espacio o hueco que hay entre dos dientes (normalmente los incisivos centrales superiores, también conocidos como “paletas”). Si los diastemas no se tratan, pueden conllevar caries, desalineamiento de la mandíbula, problemas de encías, etcétera. Los dientes separados antes y después del uso de ortodoncia invisible o brackets cambian muchísimo, ya que se consiguen juntar sin problema. Es por eso que, aplicar una ligera presión en los dientes con ortodoncia en dientes separados, es una buena opción.

Apiñamiento Dental
El apiñamiento dental es una malposición en la que los dientes se han solapado por falta de espacio. Afortunadamente, la ortodoncia antes y después del apiñamiento dental se nota muchísimo. Gracias a los brackets o a los alineadores invisibles, se puede corregir fácilmente este problema que puede derivar en gingivitis, periodontitis, pérdida del hueso dental o dificultad para hablar, entre otros.

Mordida Abierta
Una mordida abierta es un tipo de maloclusión o una desalineación en los dientes que hace que el arco dental superior y el inferior no hagan contacto al cerrar la boca. En los casos más complejos de mordida abierta se requiere cirugía. Sin embargo, en la mayoría de casos,la diferencia entre los brackets antes y después de la mordida abierta, es más que notable.

Sobremordida
La sobremordida es una malposición en la que el arco dental superior cubre el arco inferior en exceso o casi por completo. Si la sobremordida (o sobremordida profunda) se origina en los huesos, tendremos que llevar a cabo una operación para poder ver los cambios del antes y después. Si, por el contrario, el problema solo está en los dientes y necesitan ser reposicionados, con un tratamiento ortodóntico ya se puede solucionar. Es decir, que en este caso, el solo uso de brackets o de alineadores podría solucionarla.

Prognatismo
El prognatismo es una maloclusión dental, igual que la sobremordida, pero a la inversa. Es decir, que la mandíbula inferior sobresale de la superior cubriendo parcialmente los dientes superiores. En la infancia, antes de que los dientes estén totalmente desarrollados, es posible tratar el prognatismo con dispositivos de ortodoncia tradicionales como brackets o con ortodoncia invisible (alineadores transparentes). En adultos (después de que los dientes ya estén totalmente desarrollados), será mucho más probable tener que recurrir a una cirugía. Sin embargo, siempre dependerá de la gravedad del caso.
Overjet
Decimos que una dentadura tiene overjet cuando los incisivos superiores tienen una ligera protuberancia respecto a los dientes de abajo y, además, crean un ángulo hacia fuera. Como en el caso de la sobremordida o del prognatismo, las principales consecuencias son problemas al masticar y el cambio en la forma de la cara. Depende de la gravedad del caso, se usará cirugía u ortodoncia para remediar este tipo de maloclusión.
Agenesia Dental
Uno de los problemas dentales más desconocidos es la agenesia o ausencia dental. Este tipo de anomalía se refiere a, como el nombre indica, la falta de alguna pieza dental. El motivo de la agenesia dental es que el diente no se forma y, por lo tanto, hay un hueco entre las piezas dentales contiguas. En algunos casos, la agenesia dental puede requerir solamente un tratamiento de ortodoncia invisible o brackets para solucionarlo y poder ver los cambios entre el antes y el después.

Cuidados y Mantenimiento Durante y Después del Tratamiento
A lo largo del tratamiento, es crucial realizar ajustes regulares para garantizar que los dientes se muevan de manera adecuada. La fase de cuidado y mantenimiento comienza cuando se alcanzan los resultados deseados.
- Higiene bucal rigurosa: La limpieza dental adecuada es esencial.
- Alimentación consciente: Se proporcionan recomendaciones sobre alimentos que deben evitarse para prevenir daños a los aparatos.
Incomodidades Comunes
- Dolor o sensibilidad: Es común experimentar cierta sensibilidad o dolor después de la colocación de aparatos o ajustes.
- Úlceras bucales: Las llagas o úlceras pueden ocurrir inicialmente debido al roce con los aparatos.
- Algunas incomodidades al comer: Pueden surgir molestias al comer alimentos más duros o pegajosos.
Cuidados Post-Tratamiento
Después de retirar los aparatos ortodónticos, es crucial seguir ciertos cuidados post-tratamiento para mantener los resultados. El uso de retenedores es una parte integral del proceso post-tratamiento. Estos dispositivos ayudan a mantener los dientes en su nueva posición y evitan posibles cambios con el tiempo.
Aunque has alcanzado el final del tratamiento ortodóntico, el viaje hacia una sonrisa saludable continúa. Durante estas revisiones, el equipo verificará el estado de tus dientes y retenedores, proporcionando ajustes si es necesario. La atención dental continua es clave para mantener una sonrisa saludable a lo largo del tiempo.
El Impacto de los Brackets en los Labios
La relación entre los dientes y los labios es muy estrecha. Los dientes desempeñan un papel clave en el soporte y la forma de los labios, por lo que cualquier cambio en la posición dental puede reflejarse en su apariencia.
Antes de colocar los brackets, los labios se adaptan a la posición actual de los dientes. En casos de mordida protrusiva (donde los dientes superiores sobresalen), los labios superiores pueden parecer más pronunciados o incluso dificultar un cierre completo. Por otro lado, si los dientes están inclinados hacia adentro, los labios pueden lucir menos voluminosos o retraídos.
Al colocar los brackets, los labios deben adaptarse a la presencia de estos dispositivos en la superficie de los dientes. Esto puede generar una sensación inicial de volumen adicional o rigidez en los labios, especialmente al hablar o cerrar la boca. Este efecto es más evidente en los primeros meses, mientras los pacientes se acostumbran a los brackets.
A medida que el tratamiento avanza y los dientes comienzan a alinearse, los labios también se ajustan progresivamente. Una vez finalizado el tratamiento y retirados los brackets, los labios adoptan su nueva posición en función de la alineación dental lograda. En la mayoría de los casos, esto resulta en una apariencia más equilibrada y armónica.
Los brackets no solo mejoran la estética de la sonrisa, sino que también pueden influir en la funcionalidad de los labios. Una mordida correcta facilita el cierre completo de los labios, lo que puede prevenir problemas como la sequedad bucal o el exceso de saliva.
El uso de brackets requiere una mayor atención a la higiene bucal para prevenir complicaciones que puedan afectar los labios y los tejidos circundantes.
Existen muchas creencias erróneas sobre los efectos de los brackets en los labios. Algunos piensan que estos dispositivos pueden deformar permanentemente los labios o causar dolor continuo, pero la realidad es que los cambios son adaptativos y temporales.
El uso de brackets no solo transforma la sonrisa, sino que también puede influir positivamente en la apariencia de los labios y la estética facial general. Aunque durante el tratamiento es normal experimentar ciertos ajustes en la posición y sensación de los labios, los resultados finales suelen ser altamente satisfactorios.
Si estás considerando un tratamiento de ortodoncia, no dudes en consultar con un ortodoncista experimentado para resolver tus dudas y garantizar los mejores resultados.
Conclusión
La ortodoncia va más allá de simplemente corregir la alineación dental; es una inversión en tu salud y bienestar general. Tanto es así que algunos de nuestros pacientes, después de llevar un tratamiento de ortodoncia -Invisalign, ortodoncia lingual, brackets de zafiro, brackets metálicos- no recuerdan cómo era su sonrisa antes del procedimiento. Una mala mordida afecta tu estado general de salud.
En Dental Care Barcelona, no solo nos centramos en la estética dental; también consideramos la salud bucal en su conjunto. Nuestro enfoque integral asegura que cada paciente reciba la atención necesaria para lograr una sonrisa hermosa y funcional.