Los problemas dentales conviene tratarlos cuanto antes para evitar que evolucionen en enfermedades más graves, de ahí que existan algunas ortodoncias que se utilizan en la fase de crecimiento infantil, como es el caso de la ortodoncia interceptiva. ¿Quieres saber qué es la ortodoncia interceptiva y qué tipos de ortodoncia interceptiva hay? ¡Aquí te lo contamos!
La ortodoncia interceptiva es un tipo de tratamiento de ortodoncia preventiva que tiene el objetivo de guiar el crecimiento de los huesos maxilares para prevenir malformaciones. Es decir, con este tipo de ortodoncia los dentistas tratan de evitar posibles problemas futuros relacionados con los huesos de la mandíbula o del maxilar, para que éstos crezcan de forma controlada.
La ortodoncia interceptiva se lleva a cabo antes de que salgan todos los dientes. Es decir, en pacientes infantiles de temprana edad (entre los 6 y 11 años de edad), ya que es cuando se puede guiar el crecimiento esquelético. Una vez hayan salido todos los dientes el paciente puede necesitar un tratamiento de ortodoncia correctiva como por ejemplo los brackets o el sistema invisalign para terminar de alinear la dentadura.
En esta primera fase se determina el problema que puedas tener por medio de un diagnóstico personalizado. Una vez que el diagnóstico personalizado se ha llevado a cabo, toca determinar el tipo de aparato que mejor y en menos tiempo corrija la maloclusión que padeces. Al terminar el tratamiento, recomendamos seguir utilizando el mismo aparato durante la noche hasta la erupción completa de los dientes definitivos. Preparamos la dentadura de los más pequeños para una correcta posición ósea.
Es cada vez más común que tanto adolescentes como adultos usen ortodoncia, ya sea con brackets o alineadores transparentes. No obstante, también hay una gran variedad de tratamientos de ortodoncia interceptiva que es a lo que llamamos tratamiento de ortopedia porque se hace mientras el niño está en crecimiento y jugando con esos factores. En ese periodo se pueden corregir maloclusiones dentales en etapas tempranas, evitando, así, problemas más serios en el futuro.
La ortodoncia interceptiva permite tratar el desarrollo de los huesos maxilares a tiempo, en cuanto a tamaño y posición, y evitar, así, futuros problemas. Entre las alteraciones más comunes que permite corregir se encuentran:
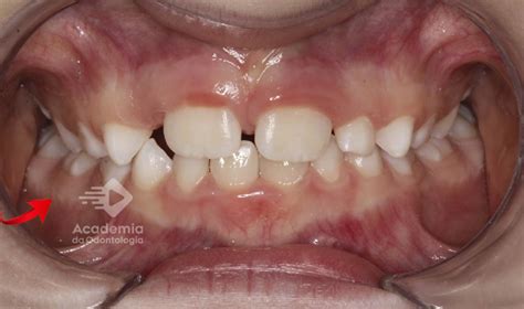
- Maxilar superior o mandíbula demasiado adelantados o retrasados. Esto da lugar a las llamadas clase II (maxilar superior adelantado) o clase III (mandíbula adelantada).
- Maxilar superior o mandíbula comprimido, con un desarrollo anómalo, ya sea por exceso o por defecto.
¿Sabías que es posible evitar varios años de ortodoncia y posibles cirugías si se tratan los problemas a tiempo? Esto es lo que hace la ortodoncia dental interceptiva, actuando a edades tempranas para guiar el crecimiento de los dientes y huesos antes de que los problemas se vuelvan más serios. Este enfoque preventivo no solo reduce el tiempo de futuros tratamientos de ortodoncia correctiva, sino que también elimina la necesidad de procedimientos invasivos en el futuro.
En definitiva, la edad para usar ortodoncia interceptiva, oscila entre los 6 y los 11 años. Es decir, antes de que los dientes permanentes se hayan desarrollado por completo.
Provenza Clínica Dental - ¿Qué es la ortodoncia interceptiva?
¿Cuándo es Necesaria la Ortodoncia Interceptiva?
No todos los niños necesitan un tratamiento de ortodoncia interceptiva. Los principales motivos por los que un niño deberá llevar un tipo de aparato interceptivo son que exista un crecimiento anormal en la estructura ósea de la mandíbula, por herencia genética, o por malos hábitos del infante como chuparse el dedo.
Pero todo dependerá de cada caso en particular, por eso es importante que lleves a tu hijo a revisiones periódicas en el dentista al menos a partir de los 6 años. Los doctores en la clínica dental podrán hacerle un escáner y ver el estado de su boca para evaluar su estructura ósea y determinar si existen problemas a corregir. Puedes aprovechar nuestra primera consulta gratuita para traer a tu hijo a nuestra clínica dental y que le echemos un vistazo a su boca.
Identificar problemas en el desarrollo de los dientes o de los huesos mandibulares y maxilares de los niños es clave para determinar si se requiere un tratamiento de ortodoncia interceptiva.
Algunos de los signos más comunes que presentan estos niños incluyen:
- Problemas al masticar o al morder
- Respiración frecuente por la boca
- Chuparse el dedo o abusar del chupete
- Dificultades para pronunciar ciertos sonidos o palabras
- Espacios excesivos entre los dientes
Estos síntomas pueden indicar la necesidad de una intervención temprana con ortodoncia interceptiva para corregir el desarrollo dental.
Tipos de Ortodoncia Interceptiva
La forma de corregir la posible maloclusión de forma preventiva es a través de aparatos de ortodoncia interceptiva. Vamos a distinguir dos tipos de aparatos interceptivos: intraorales y extraorales.
Según las necesidades de cada niño, en la ortodoncia interceptiva se pueden utilizar dos tipos de aparatos: fijos o extraíbles.
1. Aparatos Interceptivos Fijos
Los aparatos fijos se colocan de forma permanente en la boca del niño durante el tiempo que dure el tratamiento. Algunos de los más comunes son:
Disyuntor dental o expansor de paladar: es un dispositivo que se fija en el paladar y ayuda a ampliar el maxilar superior. Se utiliza cuando las anomalías se producen en el paladar. Esta expansión es crucial para corregir problemas de mordida cruzada y crear espacio para los dientes que están en desarrollo.
El anclaje extraoral: Se usa para proporcionar soporte adicional a los dientes y a los huesos. Su propósito es corregir problemas como la mordida cruzada o la alineación dental.
La máscara facial: Otro de los aparatos interceptivos en ortodoncia es esta máscara de metal externa que se usa para corregir problemas de crecimiento del maxilar. Este tipo de aparato es especialmente útil en casos de retrognatia (desplazamiento hacia atrás del maxilar superior).
Mentonera.

2. Aparatos Interceptivos Removibles
Estos aparatos pueden ser retirados por el propio niño, lo que facilita la higiene y la comodidad. Su eficacia depende del uso correcto y constante. Entre ellos destacan:
Invisalign First: La mejor ortodoncia interceptiva, se presenta como un método revolucionario que se pone a la cabeza de entre las diferentes opciones de ortodoncia interceptiva. Invisalign First, tratamiento de ortodoncia invisible removible, corrigen la mordida mientras permiten mantener la rutina diaria sin restricciones, lo que resulta muy cómodo para los peques. Por si aún no lo conoces, este tratamiento de ortodoncia está diseñado para niños de entre 6 y 10 años. Consiste en la utilización de alineadores transparentes removibles fabricados a medida para cada paciente.

Las férulas o alineadores que se utilizan se deberán ir cambiando secuencialmente cada cierto tiempo para, poco a poco, ir corrigiendo la dentadura infantil. La ortodoncia Invisalign First es la mejor opción para guiar y controlar correctamente el crecimiento de los huesos maxilares y los de la mandíbula, para así evitar problemas en el futuro. Se trata de una ortodoncia que resulta mucho más cómoda y práctica que el resto de ortodoncias interceptivas. Además a los niños también les encantan los alineadores de Invisalign First, no solo por su comodidad. Son totalmente estéticos ya que parece que no llevan aparato. También tienen la posibilidad de añadir algunos stickers para decorarlos a su gusto.
Placa removible de Hawley o Schwarz: se coloca en el paladar y puede incluir un tornillo expansor para ensanchar la arcada superior o inferior, para favorecer el espacio y corregir la mordida cruzada. Utilizada principalmente como retenedor para mantener los dientes en su nueva posición después del tratamiento, pero también puede tener funciones de expansión o alineación dependiendo de su diseño. Está realizada en un material acrílico y no está fijado a la boca. Este es un aparato de ortodoncia interceptiva removible utilizado para expandir la arcada superior o inferior mediante un tornillo que se ajusta gradualmente.

Dispositivos de control de hábitos: como la rejilla lingual, que ayuda a evitar la interposición lingual o succión digital.
Ventajas de la Ortodoncia Interceptiva
Este tratamiento de corrección bucodental aporta beneficios tanto a corto como a largo plazo.
- Previene problemas graves a largo plazo.
- Favorece el crecimiento equilibrado del rostro.
- Mejora la función masticatoria y el habla.
- Reduce la necesidad de extracciones o cirugías futuras.
- Facilita un tratamiento ortodóntico más corto y efectivo en la adolescencia.
Duración de la Ortodoncia Interceptiva
La duración del tratamiento de ortodoncia interceptiva puede variar en función de la gravedad del problema a tratar y de la edad de cada niño. Sin embargo, el tiempo aproximado es de 6 a 18 meses. Por lo general la ortodoncia interceptiva suele durar entre 6 u 18 meses aunque depende de cada caso. El dentista será quien determine la duración aproximada del tratamiento.
Normalmente, los tratamientos de ortodoncia interceptiva suelen requerir un tratamiento ortodóncico adicional como puede ser para alinear y nivelar el resto de los dientes o por estética, bien sea con alineadores invisibles o con brackets. Esto se debe a que la ortodoncia interceptiva actúa sobre los huesos.
Ten en cuenta que puede que posteriormente se deba realizar un segundo tratamiento de ortodoncia infantil pero esta vez para corregir la posición de los dientes si esto fuera necesario.
Ortodoncia Removible: Una Alternativa Cómoda y Discreta
La ortodoncia removible es una opción muy cómoda y discreta para corregir la posición de dientes o mandíbulas.
Cuando hablamos de ortodoncia removible, estamos hablando de tratamientos en los que se utilizan aparatos dentales que pueden ser retirados por el paciente para actividades diarias como pueden ser comer o cepillarse los dientes. Estos aparatos permiten alinear los dientes o corregir maloclusiones dentales (entre otros casos).
La ortodoncia removible es un tipo de aparatología para el tratamiento de las maloclusiones que puede ser retirada a voluntad por el propio paciente. Un aparato de ortodoncia removible es aquél que el paciente se puede poner y quitar.
¿Quién puede llevar una ortodoncia removible?
Tanto los más pequeños como los adultos pueden llevar aparatos ortodónticos removibles. Sin embargo, dependiendo de la edad del paciente hablamos de un tipo u otro de ortodoncia.
Generalmente, cuando hablamos de los más pequeños, podemos distinguir entre ortodoncia preventiva (hasta los 6 años o durante la salida de los dientes de leche) y ortodoncia interceptiva (de 6 a 11 años). En el caso de los adolescentes y adultos (a partir de los 12 años), solemos hablar de ortodoncia correctiva. Dependiendo de la edad del paciente y del caso a tratar, se podrá utilizar o no un aparato dental removible.
La mayoría de los pacientes que necesitan ortodoncia pueden llevar aparatos removibles. El objetivo principal de la ortodoncia removible es corregir maloclusiones y alinear los dientes. Además de éstos, hay otros problemas dentales que pueden tratarse con ortodoncia removible.
Tipos de aparatos removibles
Existen diferentes tipos de aparatos dentales dentro de la ortodoncia removible, algunos de los más comunes son la placa de Hawley o los alineadores.
¿Qué es la placa Hawley?
Es un aparato dental removible fabricado, generalmente, a base de resina y alambre. La parte fabricada con resina va pegada al paladar, junto a una pieza metálica que recorre los dientes para su fijación. Esta placa se puede modificar en función de la afección a tratar.
Alineadores dentales
Los alineadores son un tipo de férula dental utilizada en tratamientos de ortodoncia removible. Son novedosos y presentan una ventaja diferencial: son transparentes y por lo tanto, prácticamente imperceptibles a los demás. Esto los convierte en un tipo de ortodoncia que suele despertar el interés entre los más adultos.
Se fabrican a medida para cada caso y paciente y el material utilizado puede variar en función de cada marca. Además de los alineadores, a veces se puede necesitar lo que se denominan “ataches dentales”. Estos son unas pequeñas piezas de material compuesto cuya función es anclar los alineadores y permitir un movimiento controlado de los dientes durante el tratamiento.
¿Qué casos se pueden tratar?
Será un profesional quién determine si la ortodoncia removible puede ser una solución para tu caso. Dependiendo del problema a tratar, el especialista decidirá qué aparato dental es apto.
Algunos de los casos que se pueden corregir con este tipo de ortodoncia pueden ser:
- Sobremordida: es aquel tipo de maloclusión donde los dientes de arriba cubren excesivamente los dientes de abajo al cerrar la boca.
- Apiñamiento dental: este caso ocurre cuando varios dientes están en un espacio muy reducido, causando que se presionen y cambien de posición o giren con el tiempo.
- Diastema: es decir, la separación entre las piezas dentales.
Pros y contras de la ortodoncia removible
Algunas de las ventajas de los aparatos dentales de la ortodoncia removible son:
- Discreción: los aparatos son casi imperceptibles, especialmente en el caso de los alineadores dentales.
- Flexibilidad: permiten ajustar tu rutina diaria al tratamiento, ya que te los puedes poner o quitar según las diferentes necesidades del día a día como pueden ser comer o cepillarse los dientes. Al quitar el aparato para comer y cepillarte los dientes, su uso es más llevadero. Sin restricciones alimentarias.
- Más y mejor higiene.
- Revisiones sencillas.
- Reparación fácil.
- Fuerzas intermitentes.
- Más comodidad.
Algunas de las desventajas pueden ser:
- Riesgo de perder los aparatos, lo que puede retrasar el tratamiento y costar más dinero. Pérdidas del aparato.
- El éxito del tratamiento depende de que el paciente use los aparatos correctamente durante el tiempo recomendado. Responsabilidad del paciente. El éxito del tratamiento depende de tu constancia y de que sigas las instrucciones que te han dado.
- Pueden causar algo de dolor en la mandíbula o los dientes, especialmente después de ajustes.
- Alteraciones en el habla. Puede alargar el tratamiento.
Es importante hablar con un profesional dental sobre los pros y los contras de la ortodoncia removible antes de elegir.
Cómo limpiar los aparatos de ortodoncia removibles
Una vez iniciado el tratamiento, es importante cuidar y mantener los aparatos dentales. Algunos consejos a tener en cuenta son:
- Lavar el aparato dental cuando te los quites, así evitarás la acumulación de placa bacteriana.
- Usa los productos indicados para limpiarlos. Algunos ingredientes de la pasta de dientes pueden dañarlos.
- Si vas a usar algún remedio casero para limpiar tus aparatos removibles, consúltalo antes con tu especialista o pregunta por alguna solución de limpieza.
- Al igual que con los retenedores, asegúrate de si puedes utilizar agua caliente, ya que puede comprometer los materiales y, en consecuencia, su ajuste.
En resumen, los aparatos removibles en ortodoncia presentan importantes ventajas. Permiten aplicar fuerzas más fisiológicas y controladas, mejorando la higiene bucodental y ofreciendo una mayor comodidad al paciente. Además, brindan una mayor variedad de opciones de tratamiento, adaptándose a las necesidades individuales de cada persona.
Ortodoncia Invisible: Una Opción Discreta para Adultos
La ortodoncia invisible se presenta como una opción cada vez más popular para corregir problemas dentales de manera discreta y cómoda. El funcionamiento de la ortodoncia invisible se basa en el uso de alineadores personalizados que se fabrican mediante tecnología avanzada. Estos alineadores son prácticamente invisibles y se adaptan con precisión a los dientes del paciente.
Esta alternativa presenta diversos beneficios. En primer lugar, al no ser visibles, los pacientes pueden corregir sus problemas dentales de forma discreta, sin que sea evidente que están utilizando aparatos de ortodoncia. Otro beneficio importante es la comodidad que ofrece la ortodoncia invisible. Los alineadores son muy cómodos de llevar, ya que están fabricados con materiales suaves y no irritan las encías ni las mejillas como los aparatos tradicionales.
Los alineadores utilizados en la ortodoncia invisible son especialmente populares entre los adultos que buscan corregir sus problemas dentales. Además de su apariencia discreta, los alineadores permiten a los adultos llevar una vida normal sin interrupciones. Pueden ser retirados temporalmente para ocasiones especiales o para cepillarse los dientes, lo que proporciona una mayor flexibilidad en comparación con los aparatos fijos.
Retenedores Dentales Removibles: Claves para Mantener los Resultados
El uso de retenedores dentales removibles es crucial para mantener los resultados obtenidos con la ortodoncia removible.
Existen diferentes tipos de retenedores dentales removibles disponibles, cada uno con sus propias características y ventajas:
- Retenedor Hawley: este tipo de retenedor está hecho de alambre y acrílico. Es altamente personalizable y se ajusta cómodamente en la boca.
- Retenedor envolvente o clip on: este retenedor de plástico transparente se coloca sobre los dientes y se ajusta con clips.
El uso constante y correcto de los retenedores dentales removibles es esencial para mantener los resultados del tratamiento de ortodoncia removible. Es fundamental entender que la falta de uso de los retenedores puede permitir que los dientes vuelvan a su posición original, comprometiendo los resultados logrados con el tratamiento.
Puntos Clave sobre la Ortodoncia Interceptiva Removible
Aquí hay una tabla que resume los puntos clave sobre la ortodoncia interceptiva removible:
| Aspecto | Descripción |
|---|---|
| Definición | Tratamiento preventivo para guiar el crecimiento de los huesos maxilares en niños. |
| Edad Ideal | Entre 6 y 11 años, antes de que los dientes permanentes se desarrollen por completo. |
| Objetivos | Prevenir malformaciones, corregir problemas de mordida y facilitar futuros tratamientos ortodónticos. |
| Tipos de Aparatos | Fijos (ej. disyuntor palatino) y removibles (ej. Invisalign First, placa de Hawley). |
| Ventajas | Previene problemas graves, mejora la función masticatoria, reduce la necesidad de cirugías. |
| Duración | Generalmente entre 6 y 18 meses, dependiendo del caso. |
| Cuidado | Higiene bucal rigurosa y seguimiento de las indicaciones del ortodoncista. |
tags: #aparatos #de #ortodoncia #interceptiva #removibles