En la práctica odontológica moderna, la radiografía dental se ha convertido en una herramienta indispensable. Estas imágenes permiten a los odontólogos ver lo que a simple vista es imposible detectar, proporcionando una visión detallada de la estructura interna de los dientes, huesos y tejidos circundantes. Esto es crucial para el diagnóstico preciso de enfermedades y condiciones dentales, así como para la planificación de tratamientos efectivos.
Desde la detección temprana de caries hasta la evaluación de problemas periodontales y la planificación de tratamientos de ortodoncia, las radiografías son fundamentales para ofrecer una atención de calidad a los pacientes. En esta guía, exploraremos en detalle el fascinante mundo de la radiografía dental.
Analizaremos los diferentes tipos de radiografías disponibles, explicando para qué se utiliza cada una y cómo contribuyen al diagnóstico y tratamiento de diversas condiciones dentales. También revisaremos los requisitos para realizar una radiografía dental, incluyendo el equipo y la preparación necesarios. Además, destacaremos las precauciones importantes a tomar, la relevancia de las radiografías en la práctica odontológica y cómo han evolucionado con los avances tecnológicos, mejorando tanto la precisión del diagnóstico como la seguridad del paciente.
Por último, ofreceremos una visión general de los avances más recientes en radiología dental y cómo están transformando el campo de la odontología.
Las radiografías dentales son imágenes obtenidas mediante el uso de rayos X, que permiten a los odontólogos ver las estructuras internas de la boca, como los dientes, huesos maxilares y tejidos circundantes. Este método de diagnóstico es fundamental en la odontología dado que ayuda a identificar problemas que no son visibles durante un examen clínico regular.
La tecnología de rayos X funciona emitiendo una pequeña cantidad de radiación que atraviesa el cuerpo del paciente y es capturada en una película especial o, en el caso de las radiografías digitales, en un sensor electrónico.
Las distintas estructuras del cuerpo absorben los rayos X en diferentes grados: los dientes y huesos absorben más radiación y aparecen más blancos en la imagen resultante, mientras que los tejidos blandos y las cavidades absorben menos radiación y aparecen más oscuros.
Las radiografías dentales son esenciales para detectar caries ocultas, identificar infecciones en las raíces, evaluar la pérdida ósea causada por la enfermedad periodontal, planear tratamientos de ortodoncia y detectar quistes y tumores. Al ofrecer una visión detallada de la estructura interna de la boca, permiten diagnósticos precisos y una planificación de tratamientos efectiva, asegurando una atención de alta calidad para los pacientes.
Se clasifican en dos grandes grupos, intraorales y extraorales.
Radiografías Intraorales
Las radiografías intraorales son aquellas en las que la película o el sensor se coloca dentro de la boca. Son las más comunes y detalladas, proporcionando una visión precisa de los dientes y las estructuras adyacentes.
Las radiografías intraorales con película son una modalidad de diagnóstico en la que se utiliza una película sensible a los rayos X para obtener imágenes de los dientes, las raíces dentales y los tejidos óseos circundantes. En este procedimiento, la película se coloca directamente dentro de la cavidad oral, generalmente entre los dientes y las encías, mientras que una fuente de rayos X emite radiación sobre la zona a explorar.
Después de cada exposición, la película debe ser procesada (revelada) en un proceso químico que permite que la imagen latente se convierta en una imagen visible. Una vez revelada, la película se convierte en un registro único y definitivo de esa radiografía específica. Este tipo de radiografías son de uso único.
En esta modalidad, se utiliza tecnología digital para capturar y procesar imágenes. Las placas de fósforo están hechas de un material sensible a la radiación, similar a la película tradicional, pero con la ventaja de que pueden almacenar temporalmente la información capturada por los rayos X. Durante el procedimiento, la placa se coloca dentro de la cavidad oral, de la misma manera que una película convencional, pero en lugar de ser revelada químicamente, la imagen es leída mediante un escáner especial.
Este escáner digitaliza la imagen almacenada en la placa y la transfiere a un sistema informático, donde puede ser visualizada, almacenada y procesada para su diagnóstico y análisis posterior.
Los sensores digitales de radiografía directa (DR) son dispositivos electrónicos que capturan imágenes de rayos X y las convierten directamente en señales digitales. A diferencia de los sistemas convencionales (como las películas tradicionales o las placas de fósforo), estos sensores no requieren ningún tipo de revelado físico ni escaneo posterior.

Radiografía Digital
Tipos de Radiografías Intraorales
- Radiografías periapicales: El equipo de radiografía dental intraoral representa una mejora notable en comparación con los métodos tradicionales. En el contexto de la radiografía dental, el equipo de radiografía periapical destaca por su capacidad para capturar imágenes detalladas de un diente completo, desde la corona hasta la raíz. En el ámbito de la radiografía dental, la máquina de radiografía periapical se especializa en proporcionar imágenes detalladas de estructuras específicas alrededor de la raíz dental.
- Radiografías interproximales o de aleta de mordida (bitewing): Permiten observar las coronas de los dientes superiores e inferiores en una misma imagen, enfocándose en las áreas de contacto entre dientes.
- Radiografía Oclusal: Muestran una vista amplia del maxilar o la mandíbula, lo que facilita la observación de dientes en desarrollo, fracturas o cuerpos extraños.
Tamaños de Radiografías Intraorales
Los tamaños de las radiografías intraorales son prácticamente los mismos para las películas tradicionales, sensores digitales y placas de fósforo, la numeración de los dispositivos varía ligeramente dependiendo de la tecnología. Las películas tradicionales y las placas de fósforo comparten una numeración similar, mientras que los sensores digitales a menudo tienen una numeración diferente, pero en general, los tamaños corresponden a las mismas categorías de diagnóstico, como dientes anteriores, dientes posteriores y arcadas grandes.
Películas tradicionales y Placas de fosforo:
- Tamaño 0: Diseñado para niños pequeños.
- Tamaño 1: Adecuado para niños mayores y algunos adultos con bocas pequeñas.
- Tamaño 3: Más largo que el tamaño 2.
Sensor:
- Sensor Tipo 0: Este tamaño es el más pequeño y se utiliza principalmente para pacientes pediátricos debido a sus bocas más pequeñas. También es útil en áreas muy reducidas donde los sensores de mayor tamaño no caben cómodamente.
- Sensor Tipo 1: Este tamaño se utiliza para capturar imágenes de dientes anteriores en adultos. Es una opción intermedia que proporciona un buen equilibrio entre comodidad y cobertura de la zona a radiografiar.
- Sensor Tipo 2: Este es el tamaño más comúnmente utilizado tanto para niños mayores como para adultos. Es el tamaño estándar y cubre la mayoría de las necesidades de diagnóstico intraoral, incluyendo periapicales y bitewings.
- Sensor Tipo 3: Este tamaño no es tan comúnmente utilizado, pero es ideal para capturas bitewing extendidas. Permite obtener más información de áreas más grandes en una sola imagen, lo que puede ser práctico para ciertos diagnósticos periodontales y detección de caries interproximales.
Alta precisión y detalle: Proporcionan imágenes de alta resolución, lo que permite observar detalles minuciosos de los dientes, las raíces y las estructuras óseas circundantes.
¿Sabías que las radiografías dentales modernas, especialmente las digitales, emiten una cantidad de radiación extremadamente baja?
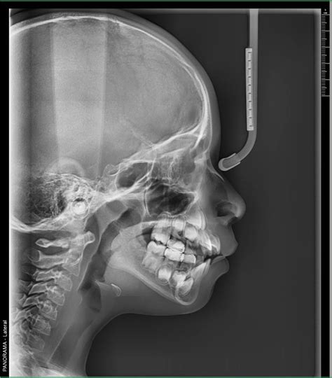
Radiografías Extraorales
Las radiografías extraorales son técnicas de diagnóstico por imagen en odontología en las que el sensor o película radiográfica se coloca fuera de la boca del paciente. Es fundamental para los análisis cefalométricos que determinan la posición y alineación de los dientes, así como la relación entre los maxilares y el cráneo.

Radiografías extraorales
Ortopantomografía: también llamada radiografía dental panorámica, es el tipo de radiografía dental más común. De hecho, lo más corriente es que se efectúe en la primera visita del paciente a la clínica, durante su revisión general. Con un aparato de rayos X, se toma una imagen completa de la boca del paciente. Gracias a las ortopantomografías, los dentistas pueden identificar patologías y anomalías en las raíces dentales o en dientes incluidos: que no han erupcionado de la encía. Muestra la totalidad de la estructura facial y mandibular (arcadas superior e inferior, huesos maxilares, mandíbula y estructuras de soporte).
TAC Dental: muy similar a los escáneres que se acostumbran a usar en medicina, el TAC Dental toma cientos de imágenes desde diferentes ángulos de la boca del paciente. Estas radiografías son enviadas a un ordenador, que genera una imagen virtual en 3 dimensiones de la boca del paciente.
Cefalometría o telerradiografía: es un tipo de radiografía que, en el ámbito odontológico, prácticamente solo se usa en los estudios previos a una ortodoncia.
Equipamiento y Materiales Complementarios
Para obtener radiografías de calidad, a parte de las películas o sensores, es fundamental contar con el equipamiento adecuado y los materiales complementarios. A continuación, se describen los elementos clave que garantizan una toma de imágenes radiográficas eficaz, segura y precisa.
- Máquina de Rayos X Dental: Es el equipo principal que emite los rayos X necesarios para crear las imágenes. La máquina de radiografía dental ha evolucionado para adaptarse a las demandas modernas de la práctica odontológica. La evolución hacia la máquina de radiografía odontológica ha marcado un hito en la radiología dental.
- Delantales de Plomo: Son utilizados por el paciente para proteger las áreas no irradiadas, como la zona abdominal, del impacto de los rayos X. Están hechos de plomo o materiales equivalentes que bloquean eficazmente la radiación.
- Protectores de Tiroides: Son dispositivos de protección que se colocan alrededor del cuello del paciente para proteger la tiroides, una glándula particularmente sensible a la radiación.
- Posicionadores de radiografía: Son dispositivos utilizados para colocar y mantener la película o el sensor en la posición correcta dentro de la boca del paciente. Los posicionadores ayudan a garantizar que las imágenes sean precisas y reproducibles, reduciendo la necesidad de repetir las radiografías debido a errores de posicionamiento. Los posicionadores intraorales para radiografía intraoral conocidos por las siglas XCP del inglés "Extension Cone Paralleling" son utilizados para mejorar la precisión y rapidez en la toma de imágenes de rayos X dental. El dispositivo XCP esta compuesto por un anillo colimador paralelo al plano de sujeción de la película radiográfica y el bloque de mordida intraoral o soporte de la placa. Existen en el mercado multitud de opciones y marcas, pero como norma general, antes de comprar un posicionador, debes saber que XCP es compatible con el sistema de Rayos X del que dispone tu clínica dental. En Dentaltix disponemos de un amplío catálogo de posicionadores XCP de diferentes marcas y además todo el instrumental y accesorios de radiología dental que necesitas.
- Procesador de imágenes: En el caso de las radiografías digitales, un procesador de imágenes es necesario para visualizar y analizar las radiografías en una computadora.
- Revelado (en sistemas analógicos): Liquido revelador para el proceso de radiografías analógicas.
RAYOS X - ¿Para qué sirven? ¿Son peligrosos? | Dentalk! ©️
Avances en Radiología Dental
La radiología dental ha avanzado significativamente en las últimas décadas, gracias a la adopción de tecnologías innovadoras que han transformado la obtención, procesamiento y análisis de imágenes. Destacan los sistemas digitales, que permiten obtener imágenes de alta resolución al instante, y las técnicas tridimensionales como la tomografía computarizada de haz cónico, que brindan una visión completa de las estructuras orales y maxilofaciales.
La integración de software especializado y herramientas de inteligencia artificial ha facilitado la detección automática de patologías y una planificación más precisa de tratamientos complejos, como implantes y ortodoncia.
tags: #aparatos #para #radiografias #dentales