En las últimas décadas del siglo XX, se produjo un aumento importante de la prevalencia de personas de edad avanzada en la población, así como de la esperanza de vida, tal y como lo describía la Organización Mundial de la Salud en su Informe Anual 2004. La condición de edentulismo ejerce un impacto negativo sobre la calidad de vida en relación con la salud oral.
Los pacientes que llevan muchos años usando prótesis completas, sobre todo en la mandíbula, suelen mostrar a menudo insatisfacción debido a la inestabilidad de las prótesis durante el habla y la ingesta. Muchos pacientes registran dolor durante la masticación, sobre todo los que presentan una atrofia extrema de la mandíbula posterior con el nervio alveolar localizado justo por debajo de la cresta residual.
Alternativas de Tratamiento
Para solventar estas limitaciones, se han propuesto distintas alternativas terapéuticas, como los implantes intraforaminales (puente de Toronto) con cantilever distal largo, o los implantes cortos. Cualquiera de estos procedimientos requiere un nivel de experiencia quirúrgica considerable y presenta sus propias ventajas, límites, riesgos quirúrgicos y complicaciones que implican costes biológicos y económicos.
En los últimos años, algunos autores han reseñado resultados excelentes empleando fijaciones tanto anguladas como rectas con procedimientos de carga inmediata en la rehabilitación de maxilares edéntulos. El clínico puede elegir la inclinación de las fijaciones aprovechando el hueso disponible pero evitando el daño de las estructuras neurovasculares. Si se determina bien la longitud y el eje de inserción adecuados de las fijaciones, se puede conseguir una buena estabilidad primaria, y se puede colocar la prótesis con el protocolo de carga inmediata. Los pacientes aceptan con mayor facilidad este tipo de tratamientos que los que implican carga diferida, ya que les permiten ahorrarse meses de edentulismo parcial o completo.
El presente estudio clínico se planteó para evaluar una técnica de tratamiento para mandíbulas edéntulas extremadamente atróficas basada en la rehabilitación con prótesis completa fija de carga inmediata soportada por cuatro implantes colocados en la región intraforaminal.

Tipos de Prótesis Dentales
Lo primero es saber distinguir entre los dos tipos de prótesis dentales que existen: las prótesis fijas y las prótesis removibles (dentaduras postizas). Los planes de tratamiento con implantes dentales comienzan con la decisión conjunta entre el paciente y los profesionales del tipo de prótesis que desea el paciente. Según sea el tipo de prótesis elegida, establecemos un número determinado de implantes dentales que van a soportar esa prótesis. Estos implantes son distribuidos e insertados en posiciones clave en la mandíbula o el maxilar.
Prótesis Removibles
Las prótesis removibles, también conocidas como dentaduras postizas, son una opción común para reemplazar dientes perdidos. La rotura puede ser de un gancho, de un diente de la prótesis o de la estructura base del aparato. Para este tipo de rotura, la prótesis se repara con el uso de una resina de termopolimerización o una resina acrílica de autopolimerización. La resina acrílica, es la que se utiliza con mayor frecuencia, ya que seca y endurece más rápido. Para las prótesis dentales removibles, también existe diagnóstico y nosotros determinamos cómo actuar en cada caso. Podemos repararla de inmediato o ofrecer una solución provisional al problema. Si se trata de una rotura simple, como puede ser un diente saltado o un gancho roto, nos encargamos de la reparación de tu prótesis dental en el acto, es un motivo de urgencias bastante habitual en nuestra clínica dental. La solución es la misma que en el caso anterior, aplicar un poco de resina para restaurarla. Aunque en este caso, sí se pueden reparar con mayor facilidad y en muchos casos no es necesario adquirir una nueva prótesis.
Prótesis Fijas
Una prótesis dental fija, es la que está colocada sobre otros dientes o sobre implantes dentales, para extraerlas necesitamos la intervención de un especialista.
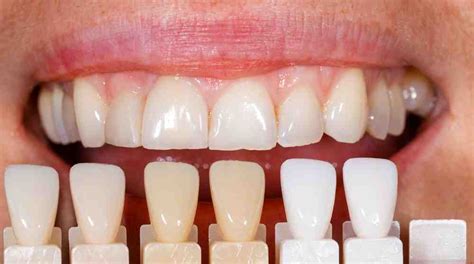
Carillas Dentales
Como ya hemos comentado al inicio de este artículo, las carillas son unas finas láminas que se adhieren al diente por la parte frontal. Sin embargo, pueden estar hechas de distintos materiales como la porcelana o el composite. Entre las principales ventajas de este material destaca el efecto de naturalidad que se consigue. La porcelana es el material estético por excelencia en odontología, ya que recrea las mismas propiedades del diente natural. Las carillas de porcelana se recomiendan cuando el paciente necesita un cambio global de la sonrisa, ya que el resultado estético va a ser muy satisfactorio. El composite es una resina con óptimas propiedades estéticas. Las carillas de composite se recomiendan en casos en los que el objetivo es realizar pequeñas modificaciones en la forma y el tamaño de los dientes. Asimismo, también se utilizan para subsanar fracturas dentales en pacientes jóvenes. Las carillas dentales se pueden utilizar en distintas ocasiones y su uso conlleva diversos beneficios. Además, el tratamiento se puede probar, es decir, el paciente puede visualizar en su boca el resultado antes de que se coloquen de forma definitiva. Sin duda, las carillas son la solución perfecta para muchas sonrisas.

Implantes Dentales
Los implantes dentales son estructuras similares a un tornillo de titanio, material biocompatible con el cuerpo humano, que se insertan en la mandíbula o el maxilar y que funcionan como la raíz del diente. Tienen la ventaja de ser estructuras estables que no se mueven al masticar ni al hablar, siendo similares a los dientes que sustituyen. Desde que se produce la pérdida de un diente o se realiza una extracción comienza un periodo de remodelación ósea que, si se prolonga en el tiempo, termina en una atrofia. La atrofia es una disminución de volumen, de densidad ósea y de encía o mucosa oral en esa zona.
Todo lo que necesita saber sobre los implantes dentales antes de decidirse
Materiales Utilizados
Los materiales más comunes para las prótesis dentales incluyen:
- Resina acrílica: Utilizada para la base de las prótesis removibles y para reparaciones.
- Porcelana: Ideal para carillas y coronas debido a su estética y durabilidad.
- Composite: Resina estética utilizada para carillas y reparaciones menores.
- Titanio: Material biocompatible utilizado para implantes dentales.
Costos y Consideraciones
El costo de las prótesis dentales varía según el tipo y los materiales utilizados. Aquí hay una comparación general:
| Característica | Prótesis Removible | Implantes Dentales |
|---|---|---|
| Costo | Más económico inicialmente | Costo inicial más alto |
| Comodidad y Funcionalidad | Puede causar molestias e inestabilidad | Más cómodos y estables |
| Durabilidad | Vida útil de 5 a 10 años | Pueden durar 15 años o más |
| Mantenimiento | Requiere limpieza diaria y ajustes regulares | Cuidados similares a los dientes naturales |
| Estética | Puede ser menos estética | Apariencia más natural |
| Salud Bucal | Requiere buena higiene para evitar irritación | Beneficiosos para la salud ósea |
Mantenimiento y Reparación
A veces es inevitable que ocurra un accidente o con el paso del tiempo, nuestra prótesis dental puede dañarse o aflojarse, por cambios naturales en la forma del rostro y la mandíbula. Para las prótesis esqueléticas que hayan sufrido una caída o accidente, realizamos la reparación en la mayoría de los casos con una soldadura. Si lo permite el aparato lo podemos hacer con láser, por puntos, y si no, con soldadura convencional. Así ahorramos el desembolso adicional que supondría una nueva prótesis, alargando la vida de la nuestra.
Otros Tratamientos Dentales Relevantes
Además de las prótesis dentales, es importante considerar otros tratamientos para mantener una salud bucal óptima:
- Extracción de muelas del juicio: Los procesos que cursan con dolor e inflamación de la zona de las muelas del juicio, terceros molares o cordales requieren, en muchas ocasiones, la extracción de dicha muela para resolver el problema definitivamente.
- Cirugía ortognática: La maloclusión tiene tratamiento con los diferentes tipos de aparatos de ortodoncia que consiguen reordenar los dientes y alinearlos. Sin embargo, muchas veces el problema no se debe exclusivamente a la mala ubicación de los dientes en el hueso, sino que es el propio hueso el que está mal posicionado siendo el responsable de la maloclusión. En estos casos, con los aparatos de ortodoncia no se consigue reestablecer la oclusión, sino que precisa de la cirugía ortognática para conseguir una correcta posición del maxilar y de la mandíbula.
- Trastornos de la articulación temporomandibular: Generalmente, los problemas de ruidos articulares y molestias localizadas en la zona del oído, cara y cuello tienen solución mediante tratamientos no invasivos.
En Clínica Dental Aparicio ponemos a tu alcance todo tipo de tratamientos en Tenerife, para que puedas presumir de dientes sanos y bonitos. Hemos reunido a un equipo de profesionales con una formación extensa y complementaria. Así podemos dar respuesta a todas tus necesidades dentales. Todos los miembros de la clínica compartimos una visión conservadora y estética de la profesión. Por un lado, defendemos la boca del paciente más que el paciente mismo. Por eso siempre peleamos hasta el final por seguir los tratamientos conservadores y sólo dejamos como último recurso aquellos que son irreversibles, como son las extracciones. Porque nuestra filosofía es tratar a todos los pacientes como si fueran un buen amigo o un familiar. Por otro lado, siempre buscamos la mejor solución estética para el paciente. Porque entendemos que la estética y la funcionalidad no tienen por qué estar reñidas. Y porque entendemos también la importancia de la confianza que debemos tener en nuestra sonrisa.