Bad Bunny ha dejado una huella imborrable en la historia de la música en vivo en España. El artista puertorriqueño ha logrado agotar las entradas de 12 conciertos consecutivos entre Madrid y Barcelona, un hito que ningún otro músico había alcanzado antes. Esta serie de presentaciones, programadas para el verano de 2026, forman parte de su gira "Debí Tirar Más Fotos" y representan una residencia artística sin precedentes. Se espera que más de medio millón de personas disfruten de su espectáculo en vivo, consolidando a Madrid como uno de los puntos clave de su gira europea.
Durante una entrevista con la revista Variety, Bad Bunny compartió sus reflexiones sobre esta etapa de su carrera. Reconoció sentirse abrumado en ocasiones y admitió que prefiere no enfocarse demasiado en las cifras o expectativas. "Prefiero no pensar en el peso de todo, porque si no me empiezo a preguntar: ¿Debería estar orgulloso? ¿Debería estar nervioso?", expresó.
También manifestó su sorpresa al observar la cantidad de conciertos programados, incluso en países donde no anticipaba tanta demanda. “¿Dos noches en Suecia? Pensé que era una broma”, comentó entre risas. A pesar de incluir canciones conocidas en su repertorio, el artista aclaró que su gira se centra principalmente en su proyecto más reciente, "Debí Tirar Más Fotos".
"No soy Taylor Swift. Quiero dejar eso claro para que nadie se haga falsas expectativas", declaró con franqueza. Con esta gira, Bad Bunny busca exhibir una faceta más actual y directa de su música, conectando con el presente en lugar de la nostalgia.
"A veces, cabrón, pienso que me estoy metiendo en un lío. Pero, como yo lo veo, no soy médico; no soy profesor; no soy alguien que tenga que levantarse cada mañana a las 5 de la mañana para poner cemento en una calle concurrida para sobrevivir. Mi trabajo es cantar, y aunque conlleva sus propios sacrificios, me parece ridículo quejarme", explicó, valorando su posición sin perder el contacto con la realidad.
Durante la entrevista, el cantante reflexionó también sobre su relación con el trabajo y la fama. Aseguró sentirse afortunado por poder vivir de la música, aunque sea exigente. Para él, actuar sigue siendo una necesidad vital. “El escenario es donde me siento más presente y más feliz. Seguramente lo seguiré haciendo hasta que sea viejo”, concluyó.
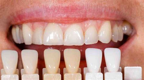
La Importancia de una Sonrisa: Bad Bunny y su Transformación
Al igual que muchos artistas, Bad Bunny ha cuidado su imagen a lo largo de su carrera, y su sonrisa no ha sido la excepción. Una sonrisa atractiva puede influir significativamente en la percepción pública y la confianza personal. Aunque no hay información oficial disponible sobre los procedimientos dentales específicos que Bad Bunny haya realizado, es común que las celebridades recurran a tratamientos como:
- Blanqueamiento dental: Para lograr una sonrisa más brillante y blanca.
- Carillas dentales: Para corregir imperfecciones como dientes desalineados, astillados o con manchas.
- Ortodoncia invisible: Para alinear los dientes de manera discreta.
Estos tratamientos pueden transformar significativamente la apariencia de una sonrisa, contribuyendo a una imagen más pulida y atractiva. A continuación, una tabla comparativa de los tratamientos dentales más comunes:

En Espai Rambla, tu clínica dental en Gavà, ofrecemos una experiencia diferente. Aquí no hay prisas ni trato impersonal. Queremos que te sientas cómodo desde el primer momento. Diseñamos tratamientos dentales personalizados, pensados para realzar tu sonrisa y tu bienestar. En Espai Rambla, tu dentista en Gavà, cuidamos de ti en un entorno tranquilo y acogedor. Nos tomamos el tiempo para escucharte y acompañarte. En Espai Rambla fomentamos una relación de confianza entre paciente y profesional. No eres un paciente más. Eres una persona a la que queremos cuidar.
| Tratamiento Dental | Propósito | Beneficios |
|---|---|---|
| Blanqueamiento Dental | Aclarar el color de los dientes | Sonrisa más brillante, mejora la apariencia |
| Carillas Dentales | Corregir imperfecciones (alineación, forma, color) | Sonrisa uniforme, mejora la estética dental |
| Ortodoncia Invisible | Alinear los dientes | Mejora la mordida, facilita la higiene, estética discreta |
BAD BUNNY - ANTES QUE SE ACABE | EL ÚLTIMO TOUR DEL MUNDO [Visualizer]
Más Allá de la Música: Bad Bunny y su Compromiso Social
En tres años, Benito Antonio pasó de trabajar como repartidor en un supermercado a gozar de fama mundial sin dejarse ninguna experiencia por el camino: con 26 años ya había ganado un Grammy, actuado en el escenario principal del festival Coachella, colaborado con J Balvin, Drake y demás estrellas del trap y el reguetón; ayudado a destronar al gobernador de Puerto Rico (junto a Ricky Martin y Residente) y actuado con Shakira y JLo en la Super Bowl, posicionándose como uno de los pocos latinos capaces de entrar en un espacio reservado casi en exclusivo para artistas anglosajones.

Una semana antes de que George Floyd fuera asesinado (el 25 de mayo), encendiendo la mecha del movimiento Black Lives Matter (BLM) en todo Estados Unidos y a nivel global, Bad Bunny se había aislado a causa de una crisis personal. «Cuando estoy llegando al límite me desconecto para no quebrar, para no explotar, para no caer en una depresión o volverme loco. Dejé las redes, el teléfono, me fui». No estaba conectado con el mundo, pero la gente que estaba alrededor suyo sí, y le contaron. «No sé ni cómo explicarte. En ese momento sentí tanta angustia, tanta furia, tanto miedo, tanta impotencia. Es una sensación bien extraña que me ha pasado pocas veces en mi vida».
Durante aquellos días intensos, en los que la indignación por la violencia policial y por el racismo sistemático sacudía tanto las calles como las redes, Bad Bunny estuvo callado. Y su silencio empezó a pesar. Sus seguidores le empezaron a atacar pidiéndole una demostración de apoyo. La prensa le acusaba de hipocresía y hablaba de la falta de coherencia entre haber construido su fama en base a sus posiciones de concienciación e inclusión y su desaparición en un momento tan importante. «Tenía mucho que decir pero, al mismo tiempo, no me sentía bien diciéndolo. Había tanta emoción y tanta furia, se iban a mezclar cosas personales. Era como un ruido cabrón. Quería ayudar a arreglar el problema, pero me sentía tan, tan pequeño. Me sentía tan débil. Si a eso le mezclas problemas personales y mi estado de ánimo... La gente no sabe por lo que uno está pasando. Se olvida que eres un ser humano».
El movimiento no dejaba de crecer y él seguía en silencio. «Me escondí. No quería salir, le tenía miedo al exterior, a la gente, a las noticias, le tenía miedo al mundo. No me sentía bien». Pocas semanas después, muchos ya habían dejado de postear sus declaraciones de empatía, sus memes de apoyo y sus cuadraditos negros.
«Pienso que es un poco injusto -comenta sobre la presión que se ejerció contra él-. "Siento que eso hace que muchos artistas y figuras públicas se expresen solamente por complacer a la gente, por quedar bien ante la opinión pública y por tener a sus fans tranquilos. Me expresé, puse un cuadrito negro, saldé mi deuda". Eso yo lo encuentro mal» Aunque su intención era hablar, no sabía cómo ni cuándo. «He aprendido esto: si tú no te sientes preparado para hablar de un tema, no lo hagas porque te haces daño. Hazlo cuando te sientas bien contigo. Cuando ya me sentía un poco mejor quería escribir, pero no me salió. En ese momento no me salía ni una canción».
Las relacionadas con el movimiento BLM no fueron las únicas críticas que le llovieron. Tras ser nombrado Compositor del Año por la Sociedad Americana de Compositores Autores y Editores, la respuesta de las redes fue durísima. Entonces, utilizando como pretexto los reproches por el premio, Bad Bunny publicó para sorpresa de todos un tema que dejaba claro, con vehemencia, cuáles eran los problemas por los que él creía que valía de verdad la pena pelear.
«Fue como un pequeño desahogo de todo lo que había estado atravesando durante ese tiempo.» Con una letra cáustica y una voz dura, la canción Compositor del año aprovechaba para poner el dedo sobre la herida y rapear con furia sobre racismo, violencia policial, injusticias políticas, división social, cuestiones de género, feminicidios, la crisis de los migrantes y la pandemia. «Era una rabia que tenía guardada y no había podido salir. Y a eso súmale las críticas de la gente, sin saber, sin conocer, sin leer la historia. Siento que esa canción era bien necesaria para yo sacarme eso del pecho».
Pese a ello, no sirvió para cancelar cierta amargura. «Cuando terminé la canción pensé en ese momento en el que la gente me estaba exigiendo algo y me decía: "¿Por qué lo hicieron?". Cuando ahora es que yo me siento bien, ahora es que yo encontré la manera de decir lo que quiero decir, ahora es que yo me siento con fuerza para decir algo tan importante, ahora es que yo siento que tengo el valor... Pues ahora lo hago. No me hubiera sentido complacido subiendo un cuadrito negro para que todo el mundo se calle la boca. Yo quiero hacer acción, ser parte de la acción verdadera. No estoy hablando mal de los que subieron el cuadrito, que es una muestra de apoyo y de solidaridad. Pero yo quería hacer más y empecé a ver con mi equipo de trabajo en qué podía aportar. Sin hacer mucho ruido, por debajo del agua, estamos trabajando en otros proyectos y cosas que benefician a la causa».
Este espíritu de compromiso social no es nada nuevo para Bad Bunny, que lleva tiempo tratando de incluir mensajes relevantes en su música. Por eso en Puerto Rico es muy amado tanto por su trabajo en el estudio como fuera de él. No ha dejado nunca de mostrar solidaridad por las causas de la isla, criticó públicamente a Estados Unidos por su mal manejo de la crisis provocada por el huracán María y pausó su gira para salir a la calle y pedir la renuncia del ahora exgobernador Ricardo Rosselló.
Benito es consciente de su alcance y de su influencia, y justo esa es la razón de que reivindique su derecho de hacerlo desde su propio punto de vista sin tener que convertirse en un activista tout court. «Tienen ese mal concepto de que solo los artistas sociales son artistas sociales. Parece que si no eres de ese corrillo no puedes aportar, no puedes decir nada, cuando es lo contrario: yo tengo un público gigantesco al que le gusta bailar, al que le gusta joder, al que le gusta ir para la discoteca; pero también hay muchos a los que les interesa el progreso de la sociedad, a los que les interesa aportar, a los que les interesa crecer. Yo he tratado de mezclar eso. Es lo que he tratado de implementar en mi música y es lo que seguiré haciendo mientras me siga llegando de aquí, del corazón y de la mente».
Dentro de géneros tradicionalmente marcados por la hipermasculinidad, como el reguetón y el trap, Bad Bunny está tratando de contar una historia diferente y expandiendo, así, el significado de «ser un hombre» para toda una generación. Con sus vídeos, sus letras y su estética está contribuyendo a dibujar otra masculinidad. «Creo que muchos hombres son así como yo, pero se quieren alzar cuando en realidad no son así. Esos hombres tienen miedo de algo. Yo no le tengo miedo a nada. Soy yo donde quiera que vaya y sé cuánto valgo, cuánto vale mi palabra, cuánto valen mis ideas, mis sentimientos».
Un niño que crece rodeado de una idea fija de lo que supone ser un hombre, alimentada por la necesidad de formar parte, por la presión social y por la aparente ausencia de otros modelos, tiene muy difícil perseguir otros caminos. Lo más probable es que se fuerce a ser alguien que quizás no quería ser. Y, una vez convertido, empezará a defender ese modelo de hipermasculinidad con dientes y uñas; eso sí, cortas.
Es cierto que unas pelucas en unos vídeos tampoco harán la revolución pero, para muchos, eso ya es una liberación. «Me siento bien por aquellos que se sienten identificados, por los que sienten que he sido un respiro dentro de todo. Mucha gente en la calle me lo dice, fans, incluso activistas. La industria musical ha cambiado mucho. No quisiera decir que yo soy el culpable pero sí he visto gente que se ha inspirado y ha sentido quizás la libertad de ir contra. "Si Bunny hizo eso y tuvo éxito y es uno de los grandes, ¿por qué yo no puedo ser como yo soy?". Hay mucha gente que sentía que si no eran de esa manera no podían lograr algo o no podían exigir respeto. Hubo gente que trató y no pudo».
El reguetón, el hip hop latino, el dembow y el trap nunca han brillado por sus reivindicaciones sociales, ni por su capacidad de inclusión. Todo lo contrario. Los géneros que ha abarcado hasta ahora la definición de música urbana han estado, con frecuencia, en el centro del debate por sus componentes machistas, homófobos y misóginos, favorecedores de la cosificación y el desapoderamiento. ¿Puede el reguetón, con una mochila tan pesada como esta, ser ahora agente de liberación?
«Considero que soy el ejemplo de eso. He mantenido la esencia de lo que son el género reggaetón y el género urbano, y simplemente les he dado un update que era muy necesario. Conciencia, sensibilidad, realidad».
Si bien la inclusión de un espectro de estilos más amplio es crucial para la evolución de un género, también lo es una redefinición de los temas cantados; rediseñar las letras y los topos típicos del reguetón con el filtro de una sociedad plural. No se le puede quitar el perreo al perreo, pero sí se puede reimaginar su ritual y dejar de dirigirse siempre al mismo público. «Trato de que mis letras sean lo más neutral posibles, que puedan ser dedicadas a una mujer o a un hombre».
Vistas desde una óptica más precisa, es cierto que algunas de sus reivindicaciones pueden parecer de dudoso valor. Como también es cierto que los movimientos feministas y LGTBIQ+ no deberían buscar en la figura de una estrella pop heterosexual y blanca, que de vez en cuando se viste de drag y da visibilidad a ciertos temas, un impecable representante de sus luchas políticas. Ni siquiera cuando le recuerda a un público principalmente masculino que una mujer puede perrear sola, o altera estereotipos situando en el centro el placer femenino, o utiliza su presencia en un talkshow para denunciar el asesinato de una mujer trans, Bad Bunny no está haciendo la revolución.