Por más que luchemos contra ello, los dentistas seguimos dando miedo. Un miedo que hoy en día no tiene razón de ser, pero que persiste en el imaginario colectivo. Lo que durante muchos años fue temor al dolor se ha ido transformando, poco a poco, en miedo al miedo. A este pánico inexplicable contribuyen, sin duda alguna, muchas películas que han hecho de las visitas al dentista un auténtico recurso para el cine de terror.
Los brackets y la ortodoncia, sin embargo, como mucho, se habían utilizado para burlarse o ridiculizar a algún personaje y, junto con las gafas, eran el atrezo del feo oficial de la película o de la serie de ficción. Y es que hay algo en los brackets que asociamos a la fealdad. Y a una terrible época de nuestra adolescencia.

Betty la Fea, un ícono de la televisión asociado a los brackets.
La Evolución Tecnológica de la Ortodoncia
La inteligencia artificial está transformando el mundo en el que vivimos y uno de los campos en los que más impacto tienen estas tecnologías es el de la salud. La ortodoncia es, en este sentido, una de las áreas que más se han transformado en los últimos años. «Los cambios más importantes han venido de la mano de dos elementos. Por un lado, están los materiales. Todos recordamos la imagen de Betty la Fea con los brackets, pero hoy en día la tendencia es a utilizar aparatología mucho más estética.
«Por otra parte, la tecnología 3D y la inteligencia artificial han cambiado nuestra forma de trabajar. Clásicamente, las impresiones de la boca se tomaban con una pasta de alginato que se batía en una taza, se hacía un molde y se vertía escayola. Este método lo utilizamos durante muchísimos años, pero hoy en día tenemos un escáner intraoral, que utiliza una tecnología en 3D. Con una cámara pequeña, va pasando y escaneando toda la boca hasta obtener una imagen tridimensional. A través de estas imágenes podemos hacer de todo.
La transformación de las técnicas de imagen gracias a la tecnología digital y la inteligencia artificial permite acceder a sitios del interior del cuerpo que antes no se podían ver. «Clásicamente, se hacían radiografías en 2D, que eran aquellas en blanco y negro. Hoy en día, tenemos una tecnología que se llama CBCT, que permite obtener imágenes en los tres tramos del espacio, en tres dimensiones. Podemos ver todo el cráneo, girarlo y analizarlo, e incluso podemos hacer un escáner de los tejidos blandos de la cara, unirlos a los tejidos duros y obtener una imagen tridimensional de la cara del paciente, viendo todo tipo de detalles anatómicos.
«Esto nos sirve para mejorar el diagnóstico, el pronóstico y el plan de tratamiento, al ser mucho más predecibles. Somos capaces de hacer tratamientos de manera más rápida y ganamos precisión, ya que podemos ver todas las estructuras anatómicas y controlar todo aquello que no nos permitían ver las técnicas de imagen en 2D. El doctor Juan Carlos Pérez Varela aplica la última tecnología 3D e inteligencia artificial al tratamiento de ortodoncia.
«A través de una scanbox que le damos al paciente, él mete su smartphone dentro del scanbox en casa y toma fotografías de su boca que son procesadas por un software que analiza todo tipo de detalles. A su vez, esto permite que los tratamientos puedan ser más eficientes, llevándose a cabo en menos tiempo. En este sentido, la ortodoncia, que siempre es individualizada para cada paciente, consigue ser incluso más personalizada, controlando síntomas y molestias que puedan aparecer.
«Con la tecnología en remoto podemos estar viendo todas las semanas qué está pasando en la boca: si tiene inflamación en una encía, si tiene una caries, si se desajusta el alineador, si se cae un bracket o se mueve un arco. La inteligencia artificial detecta estos detalles y le manda un mensaje al paciente y a nosotros.
«El control presencial es necesario, pero podemos hacerlo cada mes y monitorizarlos semanalmente de manera remota sin que tengan que venir a consulta.
«La inteligencia artificial ha venido para quedarse y nos va a ayudar a hacer diagnósticos basados en evidencia científica, porque se basa en la recogida de millones de datos. La tecnología 3D supone una inversión importante a las clínicas y tenemos que estar invirtiendo constantemente y apostamos por la excelencia y la innovación. Creemos que esta tecnología es uno de los pilares de la calidad de nuestra atención.

Escaneo intraoral 3D: una tecnología que transforma la ortodoncia moderna.
Brackets para Adultos: Una Tendencia en Ascenso
Hace años si alguien te hubiera dicho que llevar brackets pasados los treinta sería algo de lo más normal no te lo hubieras creído. Pero cada vez es más frecuente recurrir a este sistema e incluso está de moda. Hablamos con dentistas y clientes sobre los pros y los contras de llevar brackets años después de dejar el colegio o el instituto. Se lo debemos a la Reina Letizia, a Madonna y a otras celebrities. Cada vez son más los famosos que lucen o han lucido aparatos dentales sin ningún pudor y los brackets viven un momento dorado e incluso son más populares que otras opciones más discretas como la ortodoncia transparente.
Incluso los podemos encontrar falsos en internet, una tendencia que hasta hemos visto en la alfombra roja de mano de celebrities como Madonna, Katy Perry o Justin Bieber, y que los profesionales del ramo consideran peligrosa, ya que este tipo de aparatos están diseñados para mover y colocar los dientes, no para hacerse fotos en Instagram imitando a tus ídolos favoritos. “Por no mencionar que los tiene que recolocar un auténtico profesional”, nos comenta Teresa Rodríguez, ortodoncista.
Desde luego, bienvenida sea la moda, sobre todo porque estamos hablando de uno de los sistemas más sencillos y rápidos para recolocar las piezas dentales: “aunque se puede hacer a cualquier edad, es mucho más eficaz hacerlo antes de los 15 años.
¿Pero es igual llevarlos cuando hace años que dejaste el colegio y una vida muy distinta de la que llevabas entonces? ¿Cómo es ir al trabajo a diario llevando brackets? ¿Y conocer a gente nueva? ¿Y ligar?
“El aumento de demanda de los brackets ha provocado que se hayan buscado nuevas y mejores soluciones”, nos explica Teresa, “y ahora contamos con una gama de productos mucho más amplia, con distintos precios y posibilidades para todos los gustos”. Inés Miranda de las Heras, es también ortodoncista y nos cuenta que hoy en día colocarse los brackets a los treinta es un síntoma de que la persona se preocupa y cuida su salud e imagen: "muchos son pacientes que no se trataron en su día a pesar de necesitarlo. Por otro lado hoy en día se tiende a hacer menos extracciones en los tratamientos de ortodoncia de los que se hacían antes y esto anima a los pacientes a tratarse. Esta profesional además nos aclara que a veces los brackets son imprescindibles antes que otros tratamientos restauradores, como las coronas o las carillas o antes de la colocación de implantes.
"Otros pacientes se colocan brackets porque sus dientes se han desplazado con el tiempo como consecuencia a un problema periodontal. Según nos cuenta Teresa Rodríguez, las principales preocupaciones (y reticencias) de sus pacientes de más de treinta años, son dos: “por un lado, piensan que los brackets son dolorosos. Para Nuria, una de las pacientes que nos ha contado su experiencia, la principal molestia de llevar los brackets al principio era la presión “cuando me los ajustaban me molestaba bastante, pero luego me terminaba acostumbrado”.
Todos recordamos a algún compañero del colegio que llevó aparato en los dientes durante cursos (aguantando multitud de chistes y todo tipo de comentarios jocosos). Afortunadamente eso ha cambiado y hoy en día los casos que son más sencillos se pueden completar en seis u ocho meses: “son aquellos en los que encontramos un leve apiñamiento”, nos explica Teresa. “Y luego están los casos más complicados, que necesitan extracciones y más recolocamiento. En esos casos podemos llegar incluso a los treinta meses, pues hay que cerrar los espacios de los dientes que hemos extraído. Pero, vamos, lo más frecuente son entre 12 y 24 meses”.
Tipos de Brackets y Alineadores
"Los alineadores transparentes y removibles son una de las últimas tecnologías y de las favoritas tanto para los más pequeños como para los adultos", nos explica la ortodoncista Teresa Rodríguez. Se trata de un revolucionario sistema casi invisible a los ojos de los demás que además puede extraerse para comer, limpiarse, etc. Inés Miranda de las Heras también nos habla de este tipo de alineadores tipo Invisalign: "son unas férulas secuenciadas cada una con un movimiento que se van cambiando generalmente cada 2 semanas para conseguir los movimientos deseados. Pero también hay sistemas más tradicionales, como los típicos brackets metálicos, que siguen teniendo una gran demanda y que consiguen excelentes resultados. Como nos cuenta la doctora Inés Miranda de las Heras los brackets metálicos convencionales siguen siendo una buena elección para muchos casos, "sin las tradicionales incómodas bandas que había que introducir entre los molares.
"Los brackets estéticos pueden ser cerámicos (de porcelana) o de cristal de Zafiro", añade Inés. "Estos últimos al ser transparentes se mimetizan mejor con el diente. Son una buena opción para alérgicos a metales como el nickel. Son brackets que cada vez tienen más demanda en adultos al no ser tan caros como los brackets linguales o Invisalign. Hay tantas opciones que es normal que cueste tomar una decisión. Si no tenemos en cuenta el precio, claro.

Diferentes tipos de brackets disponibles en el mercado.
Aquí tienes una tabla comparativa de algunos tipos de brackets:
| Tipo de Bracket | Material | Estética | Precio | Ideal para |
|---|---|---|---|---|
| Metálicos | Acero inoxidable | Menos estéticos | Más económicos | Casos generales, adolescentes |
| Cerámicos | Porcelana | Más estéticos | Medio | Adultos que buscan discreción |
| Zafiro | Cristal de zafiro | Muy estéticos, transparentes | Medio-alto | Adultos que buscan máxima estética |
| Linguales | Metal o cerámica | Invisibles (colocados en la cara interna) | Alto | Quienes desean ortodoncia totalmente invisible |
| Invisalign | Plástico transparente | Removibles, muy estéticos | Alto | Casos leves a moderados, adultos con disciplina |
Experiencias y Consideraciones
El resultado estético es la principal preocupación de los pacientes adultos que llevan ortodoncia, la preocupación de parecer demasiado infantil. "Lo más importante, por encima de la estética", apunta Teresa, "es elegir el tratamiento más indicado según las necesidades de cada paciente". "Para mí la estética no ha sido ningún problema", nos cuenta Raquel, una paciente que ha llevado brackets durante año y medio por un problema más funcional que estético. "El primer día te ves un poco fea, qué horror, te dices. Pero luego cuando ves que el entorno no se da cuenta, que no es ningún impedimento ni nada anormal, se te pasa. Para mí era una forma de quererme. Y aunque la razón era por un problema funcional, la estética salió mejorada, claro".
Ante la pregunta de cuál es el tratamiento más invisible que existe de ortodoncia, Inés nos apunta a los alineadores transparentes y los brackets linguales. Ana lleva brackets desde hace seis meses y en general está muy contenta con la experiencia. “Me imaginaba que no podría comer absolutamente de nada y que la gente me señalaría por la calle, pero las cosas han cambiado mucho. Sí hay cosas que le resultan difíciles de comer: “por ejemplo, morder una manzana es imposible para mí, no puedo abrir tanto la boca. Y olvídate de los chicles y cosas pegajosas, que se enganchan en los brackets.
Por otro lado está la parte estética. A mí me encantan las algas wakame que sirven en los japoneses, pero comer eso con brackets es horroroso. A Nuria nadie le contó que la mezcla brackets y una noche de fiesta podría ser de lo más incómoda: “tras una noche tomando copas y hablando sin parar comencé a notar que los brackets me habían hecho un montón de rozaduras en las encías, que estaban más sensibles e hinchadas de lo normal y los brackets me hacían heriditas. Besarse es otro tema que puede parecer problemático cuando llevas brackets. “Pero no lo es, en realidad”, nos cuenta Ana.
Raquel nos cuenta entre risas que con brackets ha conocido a su novio actual y que podría decirse que hasta ha ligado más con ellos puestos. "yo creo que la gente se fija más, te mira más y piensa que eres alguien que se cuida. Ahora estamos todos muy concienciados con la estética y vernos mejor. Y por ese lado se aprecia que lleves puestos brackets. Ah, y es un tema de conversación estupendo. Te pregunta, te comentan que se lo están planteando o que ya los han llevado...", nos cuenta.
Molestias hay, está claro, pero como nos cuenta la ortodoncista Inés Miranda se presentan fundamentalmente los primeros días y desaparecen al poco tiempo. "Es especialmente una sensación de presión, sensibilidad de los dientes a la masticación, rozaduras, que se pueden prevenir usando cera o silicona de ortodoncia en esos primeros días...". Con el tiempo se diluyen y desaparecen estas molestias, nos explica. En definitiva, no hay una edad límite para usar brackets y nunca es tarde para cuidarse, tanto a nivel estético como de salud. "Los tratamientos de ortodoncia están indicados a cualquier edad siempre y cuando exista un buen estado de salud bucal", insiste Inés Miranda de las Heras. "La presencia de por ejemplo caries, o problemas de las encías como gingivitis o periodontitis debe ser tratada y controlada antes de iniciar cualquier tratamiento de ortodoncia".

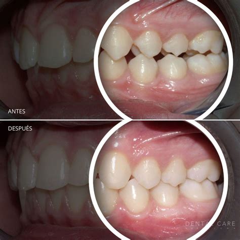
Transformación visible: antes y después de un tratamiento de ortodoncia.
En la búsqueda de la sonrisa perfecta, es crucial recordar que la salud bucal es primordial. La ortodoncia moderna ofrece una variedad de opciones para todas las edades y necesidades, desde los tradicionales brackets metálicos hasta los invisibles alineadores. La clave está en elegir un profesional cualificado que pueda guiarte hacia el tratamiento más adecuado para ti.