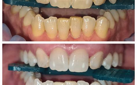
Las técnicas de blanqueamiento dental permiten eliminar las manchas o coloraciones de los dientes, mejorando notablemente su apariencia y recuperando la sonrisa.

Técnicas de Blanqueamiento Dental
Existen varias técnicas, pero las más extendidas en la actualidad son:
- Blanqueamiento con luz LED: Utiliza una luz especial para activar el gel blanqueador.
- Blanqueamiento con tecnología láser: Similar al LED, pero con láser para acelerar el proceso.
¿Qué tipos de blanqueamiento dental hay?
Además del blanqueamiento dental, existen otros procedimientos llevados a cabo por clínicas dentales que se relacionan con la higiene dental y la radiología digital para detectar daños y patologías no visibles durante exámenes dentales.
Blanqueamiento Dental Combinado
En algunas clínicas se realiza el blanqueamiento dental combinado, considerado un protocolo eficaz y duradero. El procedimiento incluye una higiene profesional inicial y un seguimiento personalizado para garantizar la seguridad y la eficacia de los resultados.
¿Cómo elegir el mejor tratamiento?
Esta elección debe estar basada en la calidad y la eficiencia, factores que caracterizan a muchas clínicas dentales de referencia. El enfoque principal debe ser ofrecer un servicio integral de calidad para todas las personas que tenga en cuenta todos los factores que inciden en el desarrollo de afecciones o patologías de la zona bucodental.
Precios del Blanqueamiento Dental
El precio de este tratamiento es orientativo y dependerá de si se realiza íntegramente en la consulta del dentista, a domicilio o una combinación de ambas opciones.
Importante: No te fíes de blanqueamientos dentales que se venden por internet, ya que pueden ser peligrosos para tus dientes y tu salud.
Clínicas Dentales Recomendadas
Es importante destacar que la estética dental no es solo una cuestión de apariencia, sino también de salud, ya que se encarga de arreglar y mejorar dientes rotos, gastados, demasiado pequeños o mal colocados. Por esta razón, las clínicas dentales ofrecen diferentes tratamientos que se ajustan a las necesidades de cada paciente.

La importancia de la salud dental
La estética dental no es solo una cuestión de apariencia, sino también de salud, ya que se encarga de arreglar y mejorar dientes rotos, gastados, demasiado pequeños o mal colocados.
Alternativas Peligrosas
¡Cuidado! Coserse la lengua para causarse dolor desde luego no es la solución para bajar de peso. Se trata de una dieta temporal en la que nadie nos ha enseñado a llevar unos hábitos saludables, por lo que, tras esta dieta, probablemente se recupere todo el peso perdido. Se trata, sin duda, de una dieta extremadamente peligrosa.
tags: #blanqueamiento #dental #cali