El blanqueamiento dental se ha convertido en un procedimiento cada vez más popular en la búsqueda de una sonrisa más brillante y atractiva. Cada vez son más las personas que, además de cuidar su salud bucal, desean mejorar la estética de su sonrisa. Unos dientes más blancos pueden marcar la diferencia al hablar o sonreír, brindando confianza y comodidad.

El blanqueamiento dental es un tratamiento de estética dental que adecuadamente aplicado logra reducir en varias tonalidades el color de los dientes. Los procedimientos de blanqueamiento dental ofrecen resultados óptimos y tienen un efecto general muy positivo. Pero es muy importante que sea un profesional quien los realice. Solo así serán seguros y realmente beneficiosos.
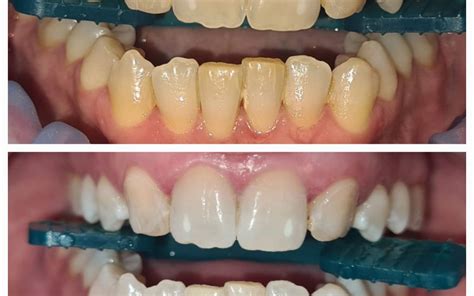
¡LO QUE NADIE TE DICE 🚫 DEL BLANQUEAMIENTO DENTAL 💔! Deberías ver este vídeo 👀.
Tipos de Blanqueamiento Dental
Existen distintas modalidades de tratamiento, pudiéndose realizar en consulta o domicilio, aunque lo más común es una combinación de los dos. En Clínica Curull combinamos tratamiento de blanqueamiento en nuestro centro con tratamiento domiciliario que deberá aplicarse el paciente en casa. Esta combinación garantizará que los resultados obtenidos perduren muchos años. En función de cuantos tonos se desee reducir se repiten las sesiones o se prescribe un tratamiento de blanqueamiento dental para continuar en el domicilio.
- Blanqueamiento interno: Exclusivamente en dientes desvitalizados, ya que el material blanqueador se coloca en el interior del diente. Se utiliza cuando el diente de forma unitaria ha perdido su tonalidad.
- Blanqueamiento externo: Se aplica en la superficie del diente en clínica aunque también se complementa con la utilización de férulas dentales en casa, para que el tratamiento sea más duradero.
Para efectuar el blanqueamiento dental se emplean unas sustancias llamadas agentes blanqueantes. Dichas sustancias llevan en su composición un principio activo llamado que varía en función del tipo de blanqueamiento que se realice. El peróxido de carbamida es utilizado para el blanqueamiento interno, mientras que el peróxido de hidrógeno se utiliza para los blanqueamientos externos. El blanqueamiento externo en consulta se activa con luz fría, por ello nos acorta el tiempo en el que actúa el gel.

Blanqueamiento Dental Profesional vs. Productos Caseros
¿Dientes más blancos con productos caseros o con blanqueamiento profesional? El blanqueamiento dental profesional es un procedimiento estético mínimamente invasivo que aclara el color de los dientes respetando su estructura. En González y Casado, somos especialistas en estética dental en Madrid y trabajamos con Philips Zoom WhiteSpeed, el tratamiento clínico más avanzado del mundo.
Productos Caseros para Blanqueamiento Dental
Los productos caseros para blanqueamiento dental son soluciones de libre venta que se utilizan sin supervisión profesional y que prometen aclarar el color de los dientes desde casa.
- Tiras adhesivas blanqueadoras: recubiertas con peróxidos de baja concentración, se colocan sobre los dientes durante unos minutos al día.
- Kits con gel blanqueador y férulas universales: imitan el tratamiento profesional pero sin control clínico.
- Remedios naturales: bicarbonato, carbón activado, limón o fresa.
Blanqueamiento Dental Profesional
- Eficacia: Aclara de 8 a 10 tonos.
- Seguridad: Sin riesgo de dañar el esmalte. Supervisado por un odontólogo.
El blanqueamiento dental más eficaz es el blanqueamiento combinado, que usa férulas personalizadas en casa combinado con el blanqueamiento en clínica con lámpara LED.
Requisitos y Contraindicaciones
Para ser susceptible de poder hacer un blanqueamiento dental el primer requisito es tener una boca sana. No es aconsejable el realizar un blanqueamiento dental en determinadas situaciones, por lo que es siempre de vital importancia acudir a un especialista para que realice el diagnóstico y prescriba el tratamiento adecuado. El blanqueamiento dental es una opción popular para lograr una sonrisa más luminosa, pero no es adecuado para todos y conlleva contraindicaciones que es esencial tener en cuenta.
Efectos Secundarios Comunes
El blanqueamiento dental es una opción popular para mejorar la apariencia de la sonrisa, pero como cualquier procedimiento médico o estético, conlleva algunos efectos secundarios que es importante conocer. Los más comunes incluyen sensibilidad dental temporal, irritación de las encías y posibles cambios en el color de las restauraciones dentales previas, como empastes o coronas. La sensibilidad dental suele ser el efecto secundario más reportado, pero generalmente desaparece en unos días o semanas después del tratamiento.
Uno de los efectos secundarios más comunes es la sensibilidad dental, que puede manifestarse como dolor o molestias temporales al consumir alimentos o bebidas frías, calientes o dulces. Suele ser temporal y se puede mitigar con productos desensibilizantes. El contacto prolongado del gel blanqueador con las encías puede causar irritación y enrojecimiento.
El uso excesivo de productos de blanqueamiento no supervisados o el uso indebido pueden dañar el esmalte dental, debilitando los dientes y aumentando la sensibilidad. Los resultados pueden variar según el tipo de manchas y la salud dental previa del paciente. Hay casos donde el blanqueamiento puede no eliminar todas las manchas o no ser tan efectivo como se esperaba.

Sensibilidad Dental
Algunas personas experimentan molestias o dolor temporal después del blanqueamiento, especialmente al consumir alimentos o bebidas frías, calientes o dulces. Esto suele ser pasajero y se puede aliviar con productos desensibilizantes.
Irritación de Encías
El gel blanqueador puede entrar en contacto con las encías, lo que puede causar irritación y enrojecimiento.
Variación en los Resultados
Los resultados pueden variar según la causa de la decoloración dental y la salud dental previa del paciente.
Consejos para Minimizar los Riesgos
- Antes de someterte al tratamiento, consulta a un dentista. Un profesional evaluará tu salud dental y determinará si el blanqueamiento es adecuado para ti.
- Si optas por tratamientos caseros, utiliza productos de calidad recomendados por tu dentista. Evita las soluciones no reguladas o de dudosa procedencia.
- Sigue cuidadosamente las instrucciones de tu dentista o del fabricante en cuanto al tiempo y la frecuencia del tratamiento.
- Tras el blanqueamiento, evita o limita el consumo de café, té, vino tinto y alimentos con alto contenido de colorantes para mantener los resultados.
- Mantén una buena higiene oral, incluyendo cepillado, uso de hilo dental y visitas regulares al dentista para mantener los dientes en su mejor estado.
- Si experimentas efectos secundarios inesperados o persistentes, comunícalo a tu dentista.
Recomendaciones Post-Blanqueamiento
Tras un tratamiento de blanqueamiento dental en Clínica Dental Curull, ofrecemos una serie de pautas a seguir en casa.
- Evitar consumir excesivamente alimentos y bebidas que manchan los dientes.
- Es crucial mantener una higiene bucal regular.
- Reducir o evitar el consumo de tabaco es fundamental.
- Puedes considerar el uso de un gel blanqueador suave de forma intermitente para realzar y mantener los efectos del tratamiento.
- Las revisiones periódicas con tu dentista no solo aseguran la salud bucodental, sino que también te permiten recibir recomendaciones y posibles retoques para mantener la estética dental que buscas.
Duración del Blanqueamiento Dental
El tiempo que perdura un blanqueamiento dental depende de varios factores, como el tipo de blanqueamiento elegido y los hábitos posteriores al tratamiento. Sin embargo, este período puede variar según tu rutina diaria y cómo cuides tu sonrisa. No debemos confundirlo con los tratamientos de blanqueamiento express de 1 hora realizados en clínica, cuyos resultados inmediatos desaparecerán a los pocos meses. No obstante, tenemos que destacar una ventaja notable de este procedimiento: puede repetirse sin ningún riesgo a intervalos regulares.
Mitos y Realidades
- ¿Es seguro el tratamiento de blanqueamiento dental? Totalmente. Numerosos estudios e investigaciones llevadas a cabo por las sociedades médicas indican que los blanqueamientos dentales que se realizan en las consultadas dentales supervisados por odontólogos son seguros.
- ¿Cuánto tiempo duran los resultados de un blanqueamiento dental? Con las recomendaciones que os damos en la consulta y con un mantenimiento mínimo tus dientes siempre estarán más blancos que antes del tratamiento.
- ¿Qué efectos secundarios tiene un blanqueamiento dental? Ninguno. Con el blanqueamiento de férulas no notarás ninguna incomodidad. Con el blanqueamiento de clínica, en el que activamos el gel con lámpara led de última tecnología, podrías notar cierta sensibilidad el día que realizamos el tratamiento en la clínica.
tags: #blanqueamiento #dental #express