Cada vez son más los pacientes que solicitan tratamientos de estética dental, y se necesita de un especialista experimentado que le ofrezca resultados satisfactorios. Los tratamientos de estética dental consiguen cambios de color, forma y tamaño de los dientes. En la actualidad cada vez son más frecuentes los tratamientos de estética dental, bien sean por salud, o por querer dar un cambio estético de nuestra boca y sonrisa. No importa que tu caso sea complicado, no importa que se necesiten varios tipos de tratamiento para poder conseguir tu sonrisa perfecta.
En toda clínica dental, te atenderán dentistas profesionales, especializados en distintos tratamientos como el blanqueamiento dental, y capaces de ofrecer siempre la solución que mejor se adapte a las necesidades de nuestros pacientes, a un precio económico. Consigue más información sobre los tratamientos de salud bucodental y estética que ofrecemos contactando por web o teléfono. El equipo humano en clínica dental es una de las diferencias con las que contamos.
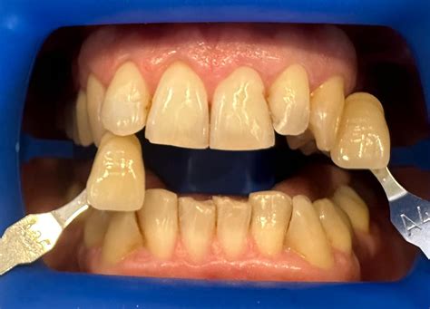
¡LO QUE NADIE TE DICE 🚫 DEL BLANQUEAMIENTO DENTAL 💔! Deberías ver este vídeo 👀.
Tipos de Blanqueamiento Dental
Existen diversas opciones de blanqueamiento dental, cada una adaptada a las necesidades y preferencias de cada paciente. A continuación, exploramos los tipos más comunes disponibles en Guadalajara:
Blanqueamiento Dental en Clínica
Si deseas una sonrisa radiante sin esperar semanas, el blanqueamiento dental en clínica es tu solución ideal. Nuestro tratamiento de blanqueamiento dental es una maravilla para quienes aspiran a una sonrisa que deslumbre sin el tedioso y prolongado proceso de espera. Este tratamiento, realizado en una sola sesión, utiliza un gel de peróxido de hidrógeno que, potenciado por una luz LED, aclara tus dientes de manera efectiva. Y lo mejor de todo: todo esto ocurre en lo que parecen solo unos minutos. Así que, si buscas transformar tu sonrisa en tiempo récord, ¡ven a visitarnos!
El precio del blanqueamiento dental con tecnología ZOOM! oscila entre los 250€, para el blanqueamiento domiciliario, y los 550€, para el blanqueamiento en clínica. En Caredent, durante todo este mes dispones de un descuento del 25% en toda la gama de blanqueamientos ZOOM!:
- Blanqueamiento por fotoactivación (en clínica) Philips ZOOM!

Blanqueamiento Dental Domiciliario con Férula
Si eres de los que prefiere la comodidad del hogar, el blanqueamiento dental domiciliario con férula es tu mejor opción. Si eres de los que prefiere la comodidad de tu casa, entonces el blanqueamiento dental con férula a domicilio es, sin duda, tu mejor aliado. Este método utiliza férulas personalizadas y un gel blanqueador que trabaja mientras duermes, aclarando tus dientes poco a poco. Este proceso incluye férulas diseñadas a tu medida y un gel blanqueador que hace su magia mientras duermes. Sí, leíste bien, ¡aclara tus dientes mientras descansas plácidamente!
- Blanqueamiento domiciliario Philips ZOOM!

Blanqueamiento Dental Mixto
Para los que buscan lo mejor de ambos mundos, el blanqueamiento dental mixto combina el poder de una sesión en clínica con el mantenimiento del tratamiento en casa. Para quienes desean lo mejor de ambos mundos, el blanqueamiento dental mixto es la solución perfecta. Este enfoque dual asegura una sonrisa aún más blanca y duradera, aprovechando lo mejor de cada técnica. Combina el poder de una sesión en la clínica con el mantenimiento desde la comodidad de tu casa. Este enfoque dual garantiza una sonrisa aún más blanca y duradera, aprovechando lo mejor de ambas técnicas.
- Blanqueamiento combinado Philips ZOOM!

Financiación
Para facilitar el acceso a estos tratamientos, ofrecemos opciones de financiación:
- Importe mínimo: 90€. Ejemplo de financiación para un importe de 237,00 € en 6 meses. Comisión de formalización del 2,00%: 4,74€ a pagar en la primera cuota. Importe financiado: 237,00€. Primera cuota de 45,10€. 04 cuotas de 40,36€ y una última cuota de 40,38€. TIN 7,45% TAE 15,40%. Total intereses: 5,18€. Coste total del crédito: 9,92€. Importe total adeudado y precio total a plazos: 246,92€. Precio de adquisición al contado: 237,00€. Sistema de amortización francés. Financiación ofrecida por Banco Cetelem S.A.U.
- Importe mínimo: 144€. Ejemplo de financiación para un importe de 604,00€ en 12 meses. Comisión de formalización del 2,00%: 12,08€ a pagar en la primera cuota. Importe financiado: 604,00€. Primera cuota de 64,47€. 10 cuotas de 52,39€ y una última cuota de 52,35€. TIN 7,45% TAE 11,82%. Total intereses: 24,64€. Coste total del crédito: 36,72€. Importe total adeudado y precio total a plazos: 640,72€. Precio de adquisición al contado: 604,00€. Sistema de amortización francés. Financiación ofrecida por Banco Cetelem S.A.U.
- Ortodoncia invisible desde 29,95€/mes: Financiación ofrecida por ABANCA Servicios Financieros E.F.C. SA. Ejemplo de financiación para 1415€ en 60 meses. Precio de adquisición al contado: 1415€. Comisión de estudio financiada 2% (28,30€), cuyo coste se distribuirá entre las distintas cuotas de la financiación. Importe total del crédito 1443,30€. 59 cuotas de 29,95€ y una última cuota de 30,23€. TIN: 8,99%. TAE: 10,29%. El coste total del préstamo es de 382,28€ (siendo 353,98 € de intereses). Importe total adeudado y precio total a plazos: 1797,28€. Sistema amortización francés.

tags: #blanqueamiento #dental #guadalajara