¿Quieres una sonrisa radiante y llena de confianza? El blanqueamiento dental es el tratamiento más demandado a la hora de mejorar y perfeccionar una sonrisa sana y correctamente alineada. En Face Clinic Huelva te ofrecemos el tratamiento ideal para ti. Así, muchos pacientes lo solicitan de forma complementaria a un tratamiento de ortodoncia o tras realizarse una higiene bucodental.

El blanqueamiento dental es un procedimiento estético que permite aclarar varios tonos el color original de los dientes, logrando un aspecto más blanco y luminoso. Es un procedimiento odontológico estético diseñado para aclarar el tono de los dientes, eliminando manchas y decoloraciones superficiales. El blanqueamiento dental es uno de los tratamientos más populares en la Estética Dental, ya que es totalmente seguro para los dientes y ofrece resultados muy notables.
Pero, ¿sabes que existen varios tipos de blanqueamiento dental? En este artículo te explicamos los distintos tratamientos y tipos de blanqueamiento dental que existen y en qué consisten cada uno de ellos.
Cuál es el MEJOR BLANQUEADOR DENTAL en 2023 🦷✌️
Tipos de Blanqueamiento Dental en Huelva
En Aire Estudio Dental ofrecemos ambos tipos de blanqueamiento dental en Huelva. Es posible realizar un blanqueamiento dental que combine las sesiones en clínica con el procedimiento en tu domicilio. Un buen blanqueamiento tiene que alcanzar la estabilidad y, para conseguir llegar a ese punto, contamos con un sistema de blanqueamiento que combina dos fases, una fase en clínica y otra que realiza el paciente en casa tras recibir todas las pautas.
Blanqueamiento Dental en Clínica
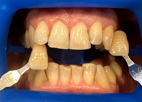
El blanqueamiento dental en clínica es la opción más atractiva si puedes reservar algún hueco en tu agenda para acudir a tu odontólogo. En clínica: Realizado por un dentista en Huelva, este método proporciona resultados rápidos y efectivos. Consiste en la aplicación de un agente blanqueador que, en contacto con una luz fría como la que emite la lámpara LED, actúa eliminando manchas y devolviendo un tono más blanco a tus dientes. Se aplica el gel blanqueador en la superficie de los dientes. El gel se enjuaga y se evalúa el progreso.

Blanqueamiento Dental en Domicilio
El blanqueamiento dental realizado desde casa es uno de los más solicitados por las múltiples ventajas que tiene. Es un tratamiento completamente personalizado que cada paciente puede elegir cuándo, cómo y dónde quiere hacerlo. En domicilio: Se proporciona al paciente una férula dental personalizada y un gel blanqueador menos concentrado que el utilizado en el de clínica. Entramos en detalle, actualmente son muchas las marcas del mercado odontológico que ofrecen la posibilidad de blanquear tus dientes desde tu propia casa con la comodidad que eso conlleva. ¿Cómo? Mediante una férula fabricada a medida de la boca de cada paciente y el uso de un gel blanqueante. Esta férula se sitúa en la dentadura el tiempo diario pautado por el dentista en un periodo aproximado de tres-cuatro semanas. En este caso, se usan férulas personalizadas con gel blanqueador de menor concentración. Aunque el proceso es lento y requiere constancia, si se sigue correctamente siguiendo las pautas, puede ser efectivo.

Blanqueamiento Dental Combinado
El blanqueamiento dental combinado es una técnica que combina el uso de férulas con gel blanqueador en casa y una sesión en clínica para potenciar los resultados. Esta opción combina una sesión en clínica con un tratamiento de refuerzo en casa.
Blanqueamiento Interno
Se realiza desde dentro del diente hacia fuera, lo que requiere de una endodoncia previa. Esta opción es poco frecuente, aunque se suele aplicar en un único diente que se ha oscurecido.
Consideraciones Importantes sobre el Blanqueamiento Dental
- Es importante ser consciente de que el blanqueamiento actuará en tus dientes devolviéndoles una tonalidad más blanca pero totalmente natural.
- La duración de los resultados varía según los hábitos de cada persona.
- Los blanqueamientos dentales tienen efecto hasta dos años después.
- En este caso, el producto se aplica en la cara externa del diente. Es la opción más habitual, incluye tratamientos como férulas, geles específicos o sesiones de luz LED.
Mitos y Realidades del Blanqueamiento Dental
El blanqueamiento dental es uno de los tratamientos más buscados en estética dental, pero también uno de los que más dudas genera. Algunas de las preguntas que más se repiten son: ¿Es seguro? ¿Cuánto cuesta realmente?
- ❌ «El blanqueamiento desgasta el esmalte.» FALSO. Si se realiza con un dentista, el esmalte no se ve afectado.
- ❌ «Puedo blanquear mis dientes con carbón activado o bicarbonato.» ERROR. Estos métodos caseros son abrasivos y pueden dañar el esmalte.
- ✅ «Los dientes pueden volverse sensibles después del tratamiento.» VERDAD. Es temporal y desaparece en unos días.
- ❌ «El blanqueamiento deja los dientes blancos de forma permanente.» NO SI NO CUIDAS TU HIGIENE. Los efectos del blanqueamiento pueden durar entre 6 meses y 2 años, dependiendo de los hábitos del paciente.
Si buscas una sonrisa más blanca y brillante, el blanqueamiento dental es un tratamiento seguro y eficaz siempre que lo realice un profesional. Si te interesa hacerte un blanqueamiento dental profesional, en Asisa Dental contamos con especialistas que pueden asesorarte sobre el mejor tratamiento para ti.
Clínicas Dentales en Huelva
Dental Company Huelva te da la bienvenida a la página de una clínica dental que lleva desde 2011 buscando la mejor sonrisa de miles de pacientes onubenses. Desde la Calle Puerto 44 nos esforzamos por llevar la odontología de calidad a todos. Ese esfuerzo se ha traducido, con el tiempo, en la confianza que se desprende de saber que más de la mitad de nuestros pacientes vienen recomendados por otros pacientes. Para que no tengas que preocuparte por nada, cubrimos todas las especialidades odontológicas: implantes, prótesis dentales, ortodoncia, periodoncia, endodoncia o tratamientos de estética dental como el blanqueamiento. Todo ello con la posibilidad de realizar anestesia por sedación. Por último, para que tu bolsillo no constituya una preocupación, aquí podrás financiar el 100% de tu tratamiento hasta en 60 meses. Además, la primera visita es gratis y sin compromiso.
Dirección: Calle Puerto, 44 bajo 21002, Huelva Huelva - España.
Horario: Lunes a Viernes de 9.00h a 21.00h.
Pide tu cita ahora
Si buscas un dentista en Huelva, las opiniones de nuestros pacientes te pueden ayudar a decidirte.
Financiación de Tratamientos Dentales
Para facilitar el acceso a los tratamientos, muchas clínicas ofrecen opciones de financiación. Aquí tienes algunos ejemplos ofrecidos por Dental Company Huelva:
Ejemplo 1:
- Importe mínimo: 90€.
- Ejemplo de financiación para un importe de 237,00 € en 6 meses.
- Comisión de formalización del 2,00%: 4,74€ a pagar en la primera cuota.
- Importe financiado: 237,00€.
- Primera cuota de 45,10€.
- 04 cuotas de 40,36€ y una última cuota de 40,38€.
- TIN 7,45% TAE 15,40%.
- Total intereses: 5,18€.
- Coste total del crédito: 9,92€.
- Importe total adeudado y precio total a plazos: 246,92€.
- Precio de adquisición al contado: 237,00€.
- Sistema de amortización francés.
- Financiación ofrecida por Banco Cetelem S.A.U.
Ejemplo 2:
- Importe mínimo: 144€.
- Ejemplo de financiación para un importe de 604,00€ en 12 meses.
- Comisión de formalización del 2,00%: 12,08€ a pagar en la primera cuota.
- Importe financiado: 604,00€.
- Primera cuota de 64,47€.
- 10 cuotas de 52,39€ y una última cuota de 52,35€.
- TIN 7,45% TAE 11,82%.
- Total intereses: 24,64€.
- Coste total del crédito: 36,72€.
- Importe total adeudado y precio total a plazos: 640,72€.
- Precio de adquisición al contado: 604,00€.
- Sistema de amortización francés.
- Financiación ofrecida por Banco Cetelem S.A.U.
tags: #blanqueamiento #dental #huelva