¿Quieres resultados rápidos y duraderos para mejorar el color de tus dientes? El blanqueamiento dental combinado es la mejor opción para lograr una sonrisa radiante y que se mantenga en el tiempo. Esta técnica reúne lo mejor de dos mundos: una sesión en clínica con peróxido de hidrógeno de alta concentración para resultados inmediatos, complementada con un tratamiento personalizado en casa para mantener el brillo.

Ejemplo de blanqueamiento dental combinado.
El blanqueamiento dental combinado es un tratamiento que consta de dos fases las cuales permiten obtener dientes más blancos y mantener los resultados durante más tiempo. Es el blanqueamiento más utilizado gracias a que combina la efectividad del tratamiento en la clínica con la comodidad de continuar y potenciar los efectos del tratamiento desde casa. El blanqueamiento dental combinado persigue los mismos objetivos que cualquier otro tipo de blanqueamiento. Su objetivo es el mismo que el de cualquier otro blanqueamiento dental. Es decir, este tratamiento consigue mejores resultados que otros procedimientos para aclarar el color de los dientes.
¿Cómo funciona el blanqueamiento dental mixto? Esta técnica une la acción del gel blanqueador aplicado en férulas dentales con una sesión en clínica utilizando luz LED o láser para potenciar sus efectos.
Fases del Blanqueamiento Dental Combinado
Las fases clínicas de este procedimiento no difieren con respecto a los tratamientos convencionales. La diferencia fundamental es que el tratamiento continúa en la casa del paciente. A continuación, detallamos cada fase:
Primera Fase: Blanqueamiento en Clínica
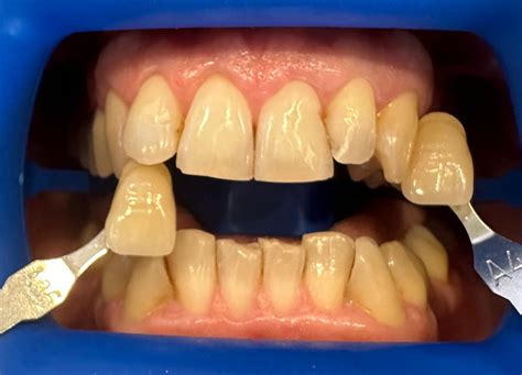
En esta etapa, se aplicará el peróxido de hidrógeno de alta concentración en los dientes, asegurando una cobertura completa y uniforme. Para ello, el especialista utiliza un compuesto químico conocido como peróxido de hidrógeno o de carbamida de alta concentración. Se aplica también un producto en las encías que ejerce de barrera entre éstas y el gel blanqueante. Esto se hace para evitar posibles irritaciones en las encías. Con luz LED, que activa las moléculas del gel blanqueador con una luz azul que emite la lámpara LED. Con luz láser, más rápido y eficaz al activar el gel blanqueador.

Blanqueamiento dental en clínica.
Segunda Fase: Blanqueamiento en Casa con Kit Personalizado
Tras el tratamiento en clínica, recibirás un kit de blanqueamiento con férulas adaptadas a la forma de tus dientes y un gel de menor concentración para aplicar en tu domicilio. Tras la limpieza bucodental profesional, se realiza la primera sesión del blanqueamiento dental en clínica. Después, se toma una muestra de la boca del paciente para confeccionar las dos férulas a medida. Estas férula se deben llevar puestas para dormir durante dos semanas.

Kit de blanqueamiento dental en casa.
Este tratamiento te permitirá continuar el blanqueamiento a tu propio ritmo durante un período recomendado de una a dos semanas. El tratamiento domiciliario, en el cual el paciente se aplica las férulas dentales blanqueadoras un número de horas al día que el especialista ha determinado y durante un plazo de aproximadamente quince días. En este caso, la concentración del peróxido es inferior al utilizado en la clínica, aunque dependerá del criterio del profesional, de los resultados de la fase en clínica y del tipo de blanqueamiento, entre otros.
Lo mejor es que en el pack que recibes vienen bastantes dosis del producto así que puedes distribuirlo en el tiempo en función de lo que desees. Después de la sesión en la clínica, puede ser necesario continuar con el uso del gel, incluido en el kit de blanqueamiento dental que te entregamos, durante unos días adicionales, esto puede variar en función de la casuística de cada paciente.
Tercera Fase: Toma de Muestra y Tono Actual
Consiste en tomar una muestra de toda la boca para comprobar cuál es el tono actual de los dientes y definir el tratamiento que se aplicará. Durante la misma, el especialista tomará una serie de fotografías que servirán como registros iniciales. De esta manera, podrá conocer el color del esmalte dental antes de empezar el tratamiento.
Cuarta Fase: Tratamiento Dual (Clínica y Casa)
Consiste en el tratamiento propiamente dicho, aunque, en realidad, se trata de dos tratamientos diferenciados, uno en la clínica y otro en casa. El tratamiento en la clínica consiste en la aplicación del peróxido de alta concentración. Este producto químico libera radicales libres de oxígeno que limpian el diente desde dentro. Se activa con luz LED fría o con un láser profesional que aumenta la potencia del tratamiento.
Quinta Fase: Revisión Final
Una vez terminado el tratamiento en casa, el paciente acude de nuevo a la consulta del especialista. Una vez que el paciente ha terminado con las férulas, acudirá a la clínica para que nuestros profesionales lleven a cabo la revisión final del blanqueamiento dental combinado.
Sexta Fase: Evaluación de Resultados
Para comprobar que los resultados son los esperados, el paciente volverá a la clínica para que el especialista compare las fotografías del antes y el después. Para evaluar los resultados obtenidos, te pediremos que regreses a la clínica para comparar las fotografías del antes y el después. El resultado te sorprenderá!
Tipos de Blanqueamiento Dental Profesional
Hay varios tipos de blanqueamientos dentales profesionales, aunque todos utilizan el mismo principio activo:
- Con luz LED: Se activa las moléculas del gel blanqueador con una luz azul que emite la lámpara LED.
- Con luz láser: Es más rápido y eficaz al activar el gel blanqueador.
Ventajas del Blanqueamiento Dental Combinado
El blanqueamiento dental combinado ofrece numerosas ventajas:
- Resultados Rápidos y Visibles: Gracias al tratamiento inicial en clínica, los dientes lucen notablemente más blancos desde la primera sesión.
- Mantenimiento Duradero en Casa: Con el kit totalmente personalizado, puedes continuar el blanqueamiento en casa a un ritmo adecuado y sin el riesgo de dañar el esmalte ni las encías.
- Efectividad: Al combinar el tratamiento en casa con una sesión en clínica, se logran resultados más efectivos y duraderos.
- Personalización: Con el blanqueamiento dental combinado, se confeccionan férulas a medida para cada paciente, asegurando un ajuste perfecto y una distribución uniforme del gel blanqueador.
- Supervisión profesional: Durante todo el proceso, un equipo de dentistas especializados supervisa de cerca el tratamiento, asegurándose de que se lleve a cabo de manera segura y efectiva.
- Comodidad: El blanqueamiento dental combinado ofrece la comodidad de realizar una parte del tratamiento en casa, adaptándose así a la rutina y horarios de cada paciente.
- Resultados duraderos: Gracias a la combinación de técnicas y la supervisión profesional, los resultados del blanqueamiento dental combinado son más duraderos en comparación con otros tratamientos.
- Aumento de la autoestima: Por lo general, el blanqueamiento dental combinado mejora significativamente el aspecto de la sonrisa, ya que aporta una apariencia más juvenil, cuidada y estética. Esta ventaja, a su vez, puede traducirse en un aumento de la autoestima del paciente.
Evidentemente, el blanqueamiento dental combinado también tiene las ventajas de otros tipos de blanqueamiento. Una sonrisa mucho más blanca, que es sin duda la verdadera razón de ser de este tipo de tratamiento. Es un proceso prácticamente indoloro y sin molestias para quien lo recibe. Tratamiento muy duradero a largo plazo si se mantiene unos hábitos apropiados.
¿Es Seguro el Blanqueamiento Dental Combinado?
Sí, el tratamiento es seguro cuando es realizado y supervisado por un especialista. Este tipo de blanqueamiento es adecuado para la mayoría de las personas que buscan resultados inmediatos y duraderos, sin comprometer la salud de sus dientes. En la clínica, creamos tratamientos a medida que se adaptan a tus necesidades, garantizando comodidad y eficacia.
Antes de someterte a cualquier tratamiento de blanqueamiento dental, es fundamental asegurarse de tener una buena salud oral. Antes de comenzar el blanqueamiento, es necesario asegurarse de que el paciente goza de una buena salud oral. Para ello, uno de nuestros dentistas examina el estado de los dientes y las encías. En caso de detectar algún problema o enfermedad (caries, gingivitis, periodontitis…) será fundamental programar los tratamientos necesarios para que la boca recupere su salud. De esa forma, nuestros profesionales pueden descartar la existencia de alguna enfermedad o problema bucodental que comprometa el éxito del tratamiento.
Aunque un blanqueamiento siempre dejará los dientes más claros que si nunca hubieras hecho el tratamiento, en este caso puede ser preferible optar por carillas dentales. Después de realizar una endodoncia el diente pierde su vitalidad porque vaciamos su cámara pulpar o nervio. Para devolver su estética, es posible realizar un blanqueamiento dental interno.
Duración de los Resultados
Los resultados pueden durar varios años, dependiendo de los hábitos del paciente. Los resultados del blanqueamiento combinado duran años, son muy estables en el tiempo. El diente irá cogiendo color por el paso del tiempo y los habitos que tengamos pero siempre tendremos los dientes mas blancos que si no nos hubieramos hecho un blanqueamiento. Son muchos los factores que influyen en que después de realizarse un tratamiento de blanqueamiento dental sus efectos perduren más o menos tiempo.
Con el paso del tiempo, es habitual que nuestros dientes se vayan decolorando y que no mantengan su blanco inicial. Después, se toma una muestra de la boca del paciente para confeccionar las dos férulas a medida. Estas férula se deben llevar puestas para dormir durante dos semanas. Tras esta visita, se hará entrega del segundo kit de blanqueamiento que el paciente deberá usar durante los próximos 15 días en casa. Para no perder el nuevo color de tus dientes, se podrán realizar mantenimientos.
En la siguiente tabla, se resumen los factores que influyen en la duración de los resultados:
| Factor | Descripción |
|---|---|
| Hábitos del Paciente | Consumo de alimentos y bebidas que manchan los dientes (café, té, vino tinto, etc.), tabaquismo. |
| Higiene Bucal | Rutina de higiene oral, frecuencia y técnica de cepillado, uso de hilo dental y enjuague bucal. |
| Mantenimiento Profesional | Frecuencia de visitas al dentista para limpiezas y mantenimientos. |
| Salud Bucal General | Presencia de caries, enfermedades de las encías u otros problemas dentales. |
Consideraciones Adicionales
- Sensibilidad Dental: Algunas personas pueden experimentar una leve sensibilidad dental durante el tratamiento. En ese caso, Usa pasta dental para dientes sensibles. Es recomendable que antes y después del tratamiento se utilice una pasta dentífrica para dientes sensibles. Si la sensibilidad es fuerte, puedes aplicar el gel durante menos tiempo de lo recomendado.
- Cuándo No se Recomienda: No está indicado para menores de 18 años, mujeres embarazadas, lactantes o personas con caries y enfermedades bucales sin tratar. El blanqueamiento dental está desaconsejado siempre que no se tenga la boca sana.
- Expectativas: Es importante tener expectativas realistas sobre los resultados del blanqueamiento dental.
- Compromiso con el Tratamiento: El blanqueamiento dental combinado implica un compromiso de tiempo, ya que generalmente requiere varias semanas para completar el proceso, incluyendo el uso de las férulas en casa y las sesiones en la clínica.
- Consulta con un Dentista: La mejor manera de determinar si el blanqueamiento dental combinado es adecuado para ti es programar una consulta con un dentista.
No es lo mismo blanquear unos dientes que gozan de plena salud, que unos dientes que han pasado por determinados procesos con anterioridad.
¿Cuántos Tonos de Diente Recuperaré?
La cantidad de tonos de diente que puedes recuperar con el blanqueamiento dental combinado varía según varios factores, incluyendo el estado inicial de tus dientes, la causa de la decoloración y la respuesta individual de tu esmalte dental al tratamiento. La cantidad de tonos de diente que puedes recuperar con el blanqueamiento dental combinado varía según varios factores, incluyendo el estado inicial de tus dientes, la causa de la decoloración y la respuesta individual de tu esmalte dental al tratamiento.
En realidad este tipo de tinciones dentales se eliminan con una limpieza dental. Al eliminar la tincion podemos dar sensación de mayor claridad pero el color del diente no habrá blanqueado. Sí, es posible realizar un blanqueamiento dental combinado incluso si tienes dientes sensibles.
Mantenimiento del Color Deseado
Una vez logrado el efecto deseado en el color de las piezas dentales, llega el momento de conservarlo el máximo tiempo posible. En este caso, más que realizar un blanqueamiento dental, hacemos referencia al mantenimiento y correcta conservación de las piezas dentales con tonalidades más claras.
Una correcta rutina de higiene oral es fundamental para mantener el blanco natural de los dientes. Es conveniente no demorar la higiene oral más de 20 minutos después de consumir alimentos y bebidas, sobre todo aquellos que sabemos que producen tinciones, como el café o el té.
En Laboratorios KIN contamos con varios productos específicamente diseñados para conservar el blanco de los dientes ya sea a través de agentes físicos o químicos. Es de uso diario y tiene un efecto estético, por lo que no es necesaria una receta para adquirirla ni requiere supervisión del dentista.
De esta manera, el paciente recibe un tratamiento acelerado en la clínica con la lámpara de luz LED Philips Zoom junto con unas férulas domiciliarias que ayudarán a estabilizar el color final. De esta manera, se consiguen resultados más visibles y duraderos.
¿Cómo se realiza un BLANQUEAMIENTO DENTAL combinado?

¡Consigue una sonrisa radiante con el blanqueamiento dental combinado!
tags: #blanqueamiento #dental #mixto