Si estás considerando un blanqueamiento dental, seguramente te interese conocer los resultados que puedes esperar y ver ejemplos de pacientes reales. Con este tratamiento, es posible aclarar varios tonos el color de tu sonrisa, obteniendo resultados duraderos.

Tipos de Blanqueamiento Dental
Actualmente, existen diversos tratamientos para blanquear los dientes. Sin embargo, el blanqueamiento dental combinado es considerado uno de los más efectivos.
COMO BLANQUEAR los DIENTES 💜 LA MEJOR MANERA 🔥🔥🔥 - BLANQUEAMIENTO DENTAL MIXTO 🔥
Este tratamiento combina el uso de férulas con un gel blanqueador en casa (para usar de noche) y sesiones de lámpara de luz en la clínica dental. Además, se recomienda una higiene dental previa para optimizar los resultados.
Blanqueamiento Dental Combinado
En Ortodoncia Mirasierra llevamos a cabo un blanqueamiento dental combinado. Este combina una sesión de lámpara en la clínica dental, con la lámpara LED Philips Zoom, y el uso de férulas con gel blanqueador que deben utilizarse en casa. A día de hoy, el blanqueamiento dental combinado es el más eficaz para aclarar el color de los dientes, según han mostrado distintos estudios científicos.
¿Cuánto tiempo necesito para blanquear mis dientes?
El tiempo necesario para blanquear tus dientes puede variar en función del método que elijas. Por lo general, con el blanqueamiento dental combinadoque llevamos a cabo en Ortodoncia Mirasierra se necesitan entre 20-28 días para blanquear los dientes.

Esto se debe a que, en primer lugar, se realiza una sesión de lámpara en la clínica dental, la cual tiene una duración de una hora. Tras la sesión de lámpara se pauta el uso de unas férulas con gel blanqueador, las cuales deben ser utilizadas en casa durante unos 3-15 días, dependiendo de las necesidades del paciente. Para poder fabricar estas férulas personalizadas, se toman medidas de la boca del paciente (previamente al día de la sesión de lámpara en la clínica).
Una vez que las férulas han sido confeccionadas, el paciente acude a su cita de blanqueamiento en la clínica. Ese mismo día se lleva las férulas para empezar la fase del blanqueamiento que tiene lugar en su casa. Por tanto, en total se suelen necesitar entre 20-28 días para estabilizar el color de los dientes en el tiempo. De esta manera, los resultados serán más duraderos.
Como hemos avanzado, estos plazos hacen referencia al tratamiento que combina dos tipos de blanqueamiento: en clínica (con lámpara) y en casa (con férulas). Si se opta por un único blanqueamiento, los plazos disminuyen, pero en nuestra clínica dental no solemos recurrir a esta opción ya que, por lo general, no resulta eficaz ni duradera.
¿Cuándo se empieza a notar el blanqueamiento dental?
Al igual que en el caso anterior, el tiempo que se tarda en notar el blanqueamiento dental depende del método utilizado. Tras la sesión de lámpara de luz LED, de una hora aproximada de duración, ya se pueden notar resultados. Por tanto, podemos decir que los efectos son inmediatos.
Sin embargo, estos resultados serán mucho más notables y duraderos si, después de la sesión de lámpara se utilizan unas férulas con gel blanqueador durante unos días. En el caso de las férulas, los resultados empiezan a notarse de manera más evidente tras 3-5 días de uso continuo.
Factores que Influyen en los Resultados
Las circunstancias individuales, los hábitos y el tipo de blanqueamiento son factores clave en el resultado final del tratamiento. Cada persona tiene un esmalte con características únicas que influyen en el proceso. Además, el tipo de alimentación, el tabaquismo y las técnicas de higiene también afectan el resultado.
- Tipo de esmalte: El grosor y la porosidad del esmalte varían entre individuos.
- Hábitos: Fumar y consumir ciertos alimentos pueden manchar los dientes.
- Higiene: Una buena higiene bucal es fundamental para mantener los resultados.
Duración de los Resultados
La duración de los resultados de un blanqueamiento dental puede variar dependiendo de varios factores. Entre ellos, destacan el método utilizado, el tipo de alimentación, los hábitos de higiene dental y el tabaco.
Por lo general, con un blanqueamiento dental combinado los resultados pueden durar entre dos y cinco años. Pasado este tiempo es posible que se necesite un mantenimiento para alargar su duración y reavivar tanto el color blanco como el brillo de los dientes. Dicho mantenimiento consiste en volver a utilizar, durante unos días, las férulas con gel blanqueador en casa.
Por su parte, si se recurre a un blanqueamiento dental únicamente con lámpara o con férulas, los resultados son notablemente menos duraderos y más imprevisibles. Pero, además, se caracterizan por ser mucho menos notables.
Para alargar la duración de los resultados de un blanqueamiento dental es recomendable no fumar, cepillarse los dientes después de cada comida y reducir el consumo de alimentos y bebidas con mucha coloración (café, vino tinto, té, refrescos de cola, salsa de soja, curry, cúrcuma…).
¿Cuántos Tonos se Aclaran los Dientes?
El número de tonos que se pueden aclarar los dientes depende del tipo de blanqueamiento utilizado, el estado inicial de los dientes y el origen de las manchas (extrínsecas o intrínsecas). El blanqueamiento dental combinado es el tratamiento que consigue unos resultados más notables, ya que permite aclarar hasta ocho tonos el color de los dientes. Por lo general, el resto de tratamientos disponibles (con lámpara de luz LED, con férulas…) solo suelen aclarar entre uno y dos tonos.
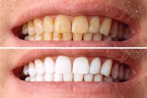
Resultados Reales: Antes y Después
A continuación, te mostramos ejemplos de casos reales de pacientes que se han sometido a blanqueamiento dental. Observa la diferencia antes y después del tratamiento.
Paciente 1: Resultados tras un blanqueamiento dental combinado


Paciente 2: Resultados tras un blanqueamiento dental combinado


Paciente 3: Resultados tras un blanqueamiento dental combinado


Mantenimiento del Blanqueamiento Dental
Una vez finalizado el tratamiento, se recomienda realizar un mantenimiento cada 2-5 años para asegurar el color y el brillo de la sonrisa a largo plazo. Es importante evitar el consumo de alimentos y bebidas que tiñen los dientes, como el café, el té y el vino tinto. Además, es fundamental evitar fumar.
Una vez se ha realizado un blanqueamiento, los dientes siempre se mantendrán más blancos de lo que estaban antes de iniciarlo.
Posibles Efectos Secundarios
En algunos casos, los pacientes pueden experimentar sensibilidad dental, que generalmente desaparece en poco tiempo (1-2 días). Para aliviar la sensibilidad, se pueden utilizar pastas dentífricas o colutorios específicos. Los agentes blanqueadores suelen contener nitrato potásico, cloruro potásico o fluoruros, que son desensibilizantes.
Consideraciones Adicionales
Las obturaciones, reconstrucciones de composite, carillas o coronas de cerámica no cambian de color con el blanqueamiento. Es importante que un profesional evalúe si el tratamiento es adecuado en cada caso.
Estudios indican que los peróxidos de carbamida a baja concentración no alteran la estructura del esmalte. Los refrescos y zumos pueden tener un mayor poder para desmineralizar el esmalte que los blanqueadores.
Tabla Resumen: Tipos de Blanqueamiento Dental y Duración de Resultados
| Tipo de Blanqueamiento | Duración Aproximada | Aclaración de Tonos |
|---|---|---|
| Combinado (Clínica + Férulas) | 2 a 5 años (con mantenimiento) | Hasta 8 tonos |
| Con Lámpara LED | Menos duradero | 1 a 2 tonos |
| Con Férulas | Menos duradero | 1 a 2 tonos |
tags: #blanqueamiento #dental #resultados