Los tratamientos de ortodoncia con brackets buscan corregir la posición de los dientes y mejorar la mordida. Estos tratamientos pueden durar entre 1 a 3 años dependiendo de la complicación de la mordida. El tratamiento se realiza colocando los brackets en los dientes y usando alambres para mover los dientes a la posición deseada. Los brackets son colocados en los dientes con un compuesto especial. El tratamiento de ortodoncia con brackets a menudo se combina con otros tratamientos como frenillos o extractos de dientes para obtener los mejores resultados.

La innovación en ortodoncia ha resultado en la introducción de varios tipos de brackets. Estos incluyen brackets estándar de metal, brackets de porcelana, brackets estéticos de resina y brackets linguales. Cada uno de estos brackets tiene ventajas y desventajas que deben considerarse antes de decidir cuál se usará para el tratamiento.
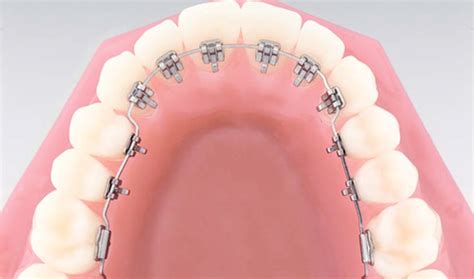
¿Qué son los brackets linguales?
La ortodoncia lingual es una técnica innovadora dentro de la odontología que se ha popularizado en los últimos años. La ortodoncia lingual está basada en unos brackets que se colocan en la cara interna (lingual) de los dientes. A diferencia de los brackets tradicionales que se colocan en la parte frontal de los dientes, los brackets de la ortodoncia lingual se adhieren en la parte posterior de los dientes, lo que los hace prácticamente invisibles a simple vista. Esto hace que los brackets sean invisibles ante los ojos de los demás.
La ortodoncia lingual es una excelente opción para corregir problemas de maloclusión, apiñamiento dental, mordida abierta o mordida cruzada, entre otros. Al igual que otros tratamientos de ortodoncia, los brackets linguales sirven para corregir problemas relacionados con la oclusión (mordida) y la alineación de los dientes. El funcionamiento de la ortodoncia lingual es muy similar al de los brackets convencionales, solo que la posición de los brackets varía.
Ventajas de los brackets linguales
Para la inmensa mayoría de los pacientes, el mayor beneficio de la ortodoncia lingual es su estética y discreción. Los brackets linguales son el tratamiento de ortodoncia más estético que existe actualmente, ya que es el único completamente invisible. Esta cualidad hace que los brackets linguales sean escogidos por los pacientes que priorizan la estética sobre cualquier otro aspecto. Entre sus ventajas lo que más destaca es que es la única opción 100% invisible.

Al estar colocados en la cara interna de los dientes, otro de los beneficios de los brackets linguales es que permiten observar la evolución de la sonrisa. Además, al colocarse en la cara interna de los dientes, no existe ningún riesgo de que puedan dañar o afear la parte más visible de la sonrisa.
Los brackets linguales están fabricados a medida de los dientes de cada paciente, al contrario de lo que ocurre con la ortodoncia tradicional. Además es un tratamiento adaptado a cada paciente ya que los brackets se hacen a medida de cada boca. Esto puede entenderse como una ventaja debido a la precisión que ofrece dicha personalización. Mejoran la mordida, evitan el desgaste prematuro, previenen caries y facilitan la higiene.
Desventajas de los brackets linguales
Como hemos mencionado, los tratamientos suelen ser más cortos, pero la duración de cada visita en la clínica del ortodoncista es mayor, puesto que el profesional debe dedicar mucho más tiempo al ajuste y activación de los aparatos. Sin embargo, a largo plazo esa disponibilidad limitada genera más inconvenientes ya que en caso de rotura o fractura del bracket el proceso de fabricación podría prolongar el tratamiento ya que requiere alta especialización y laboratorios específicos.
Precio: Este es el mayor inconveniente que encuentran las personas interesadas en el tratamiento. En España, la ortodoncia lingual tiene un precio que oscila entre los 4.000 y los 7.000 euros, aproximadamente. Por otro lado, hay que tener en cuenta que la ortodoncia lingual requiere más visitas al ortodoncista y estas, a su vez, tienen una duración mayor. El tiempo que tardan en colocarse los brackets linguales es superior al tiempo de colocación de los alineadores Invisalign. Todos estos factores hacen que, por norma general, la ortodoncia lingual sea más cara que Invisalign.
Tiempo de adaptación: Los brackets linguales requieren un periodo de adaptación de unas dos semanas. Esto se debe a que, al estar colocados en la parte trasera de los dientes, contactan con la lengua. En consecuencia, los primeros días pueden provocar pequeñas heridas o llagas en la lengua. Durante los primeros días, es normal que la persona experimente alguna dificultad para pronunciar determinadas palabras.
Los brackets linguales requieren un periodo de adaptación de dos semanas, aproximadamente. En el caso de los dientes, las molestias pueden aparecer tanto de manera espontánea como al masticar. Hay que tener en cuenta que los brackets ejercen presión sobre ellos, al igual que ocurre con el resto de tratamientos de ortodoncia. Por ello, entra dentro de la normalidad experimentar cierto grado de dolor e incomodidad. Por lo general, las molestias provocadas por la presión en los dientes se caracterizan por ser llevaderas e ir disminuyendo con el paso de los días. Por su parte, la incomodidad relativa a la lengua puede calmarse con el uso de cera de ortodoncia alrededor de los brackets. Pasadas las dos primeras semanas, lo normal es que la ortodoncia lingual no duela ni sea molesta.
Además, al igual que otros brackets, la ortodoncia lingual conlleva algunas restricciones en la alimentación. Y es que, como los brackets van adheridos al diente, se deben evitar determinados alimentos que puedan quedarse pegados a ellos (chicles, turrón blando…). También hay que restringir el consumo de ciertos alimentos duros que puedan provocar que los brackets se caigan o despeguen. Por último, se debe evitar la costumbre de comer bocadillos o manzanas a mordiscos.
Existen otras limitaciones como una higiene más compleja y un precio elevado que pueden frenar la elección de la ortodoncia lingual frente a cualquier otro sistema de ortodoncia. Por ejemplo, es fundamental cepillarse los dientes de manera cuidadosa después de cada comida, ya que el aparato impide llegar a todos los rincones de los dientes.
Proceso de colocación de los brackets linguales
El primer paso consiste en realizar el estudio de ortodoncia. Para ello, se hace una exploración bucodental al paciente y se toman una serie de fotografías (intraorales y extraorales) y radiografías (ortopantomografía y cefalometría). Tras realizar el estudio, el ortodoncista planifica el tratamiento y solicita la fabricación de los brackets linguales al laboratorio.

Antes de colocar los brackets linguales es necesario preparar los dientes. Estos se limpian, se secan y se aplica en ellos un producto adhesivo para poder fijar los brackets a la superficie dental.El cementado directo es el método de colocación tradicional. Para llevarlo a cabo, el ortodoncista debe colocar los brackets, uno a uno, en los dientes del paciente.
El cementado indirecto es una técnica de colocación más novedosa, rápida y cómoda para el paciente. Consiste en colocar todos los brackets fuera de la boca, en una férula. El ortodoncista escanea la boca del paciente mediante un escáner intraoral en tres dimensiones. Antes de la cita, los ortodoncistas colocan los brackets linguales en la férula que servirá para transferir la ortodoncia a los dientes del paciente.
El último paso del proceso consiste en la colocación del arco. Una vez que los brackets linguales han quedado correctamente sujetos, se coloca el arco entre ellos y se ajusta. Dicho todo lo anterior, conviene mencionar que, en muchos casos, la colocación completa de la ortodoncia lingual se realiza en dos sesiones. Esto resulta más beneficioso para el paciente por dos motivos. Por un lado, el proceso de adaptación a la ortodoncia es más sencillo y paulatino.
Alternativas a los brackets linguales: Invisalign
Si no se desea lidiar con estos inconvenientes diarios, una buena opción es recurrir a los alineadores invisibles. Además, los pacientes que los llevan no tienen que enfrentarse a los inconvenientes relacionados con el periodo de adaptación, la higiene y la alimentación. La ortodoncia lingual ha sido durante años una opción popular para quienes buscaban discreción en su tratamiento ortodóncico. Sin embargo, actualmente este tipo de tratamiento ha sido sustituido en nuestra clínica por alternativas más avanzadas y eficaces como Invisalign, que ofrece resultados similares con mayor comodidad para el paciente.
Los precios de la ortodoncia lingual y de Invisalign pueden variar en función de distintos factores, como la duración y la complejidad del tratamiento. Esto se debe a diferentes cuestiones relacionadas, por ejemplo, con el proceso de fabricación y el transcurso del tratamiento. Por último, Invisalign es un tratamiento en el que las urgencias son extremadamente infrecuentes.
En la Clínica Ferrus & Bratos fuimos pioneros en Madrid en ofrecer ortodoncia lingual. Preferencia de los pacientes por Invisalign un sistema que combina la estética invisible con mayor comodidad, higiene y rapidez en los resultados. Así, soluciona problemas de apiñamiento, mordida abierta, mordida cruzada, sobremordida, etc.
Alineadores invisibles vs. brackets tradicionales: ¿Cuál es el mejor para ti?
Tabla Comparativa: Brackets Linguales vs. Invisalign
Para ayudarte a tomar una decisión informada, aquí tienes una tabla comparativa que resume las principales diferencias entre los brackets linguales e Invisalign:
| Característica | Brackets Linguales | Invisalign |
|---|---|---|
| Visibilidad | Completamente invisible | Prácticamente invisible |
| Precio | Más caro | Generalmente más económico |
| Adaptación | Periodo de adaptación de 2 semanas | Sin periodo de adaptación significativo |
| Restricciones alimentarias | Sí | No |
| Higiene | Más compleja | Más sencilla |
| Eficacia | Alta | Alta |
Si quieres corregir tus dientes, mejorar tu sonrisa y lograr una mejor calidad de vida, acude a SMILELINE CLINIC estamos especializados en ortodoncia. Asegúrate siempre de ponerte en manos de auténticos profesionales con experiencia.