Al considerar opciones de ortodoncia, es crucial evaluar los distintos tipos de brackets disponibles. Los brackets metálicos autoligables han ganado popularidad en los últimos años debido a sus características innovadoras. Este artículo explora a fondo las ventajas y desventajas de estos brackets, ofreciendo una visión completa para tomar una decisión informada.

¿Qué son los brackets autoligables?
Los brackets autoligables son una modalidad de brackets que se caracterizan por su capacidad de sujetarse directamente al arco ortodóncico sin necesidad de ligaduras o gomas. La diferencia fundamental entre los brackets autoligables y los tradicionales radica en el mecanismo de sujeción al arco.
En la ortodoncia convencional, unas ligaduras metálicas o elásticas (gomitas transparentes, brackets grises o de colores) unen los arcos a los brackets. En este caso, las gomas elásticas pierden su fuerza, se tiñen y cambian de color, por lo que hay que cambiarlas a menudo o cada cita.
Tipos de brackets autoligables
Los brackets autoligables pueden clasificarse según el sistema de ligado y su nivel de estética:
- Según el sistema de ligado:
- Activos: Utilizan un clip que ejerce presión sobre el arco de alineación dental.
- Pasivos: Permiten que el arco se deslice más libremente entre cada bracket.
- Según la estética:
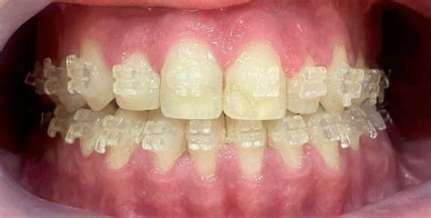
- Metálicos: La opción más clásica y extendida, más pequeños que los tradicionales.
- Transparentes: Hechos de materiales estéticos que se adaptan al tono del esmalte dental.

¿Cómo funcionan los brackets autoligables?
Cuando se usan brackets autoligables, la conexión entre los brackets y el arco que ejerce la presión sobre los dientes se realiza mediante clips que fijan el alambre del arco dental a los brackets. De esta manera se consiguen eliminar las ligaduras permanentes que se emplean en la ortodoncia tradicional.
El bracket es el pequeño artículo que se fija a tus dientes, tanto en la ortodoncia tradicional como en los autoligables. El alambre de metal va entre esos brackets, en mecanismos especializados dentro de una ranura en el bracket en sí, este se ajusta gradualmente aplicando fuerza, moviendo tus dientes a la posición deseada.
¿Por qué ahora todos quieren brackets de autoligado? Las ventajas de NO tener ligas.
Para un buen funcionamiento, este alambre debe permanecer bien asegurado entre los brackets. Esto facilita el control del movimiento del diente, mejora la eficiencia y el resultado final de la ortodoncia.
Ventajas de los brackets autoligables
La evolución y la revolución de los últimos diez años en la ortodoncia, además de la ortodoncia invisible con Invisalign y la ortodoncia lingual, ha venido de la mano de los brackets autoligables estéticos. Y la considero imparable porque las ventajas de los brackets autoligables son innegables, para el ortodoncista y para el paciente.
- Citas más espaciadas: Gracias a la eliminación de las gomitas o ligaduras metálicas, las visitas al ortodoncista pueden ser menos frecuentes, extendiéndose hasta cada 2 meses o incluso cada 2 meses y medio. Esto permite más tiempo entre citas para el paciente.
- Mejor higiene dental: Al no requerir gomitas, los brackets autoligables facilitan una mejor higiene dental durante el tratamiento, lo que puede reducir el riesgo de problemas como la acumulación de placa y la gingivitis.
- Mejor cepillado: Al no tener gomitas que puedan acumular placa, los brackets autoligables pueden facilitar un mejor cepillado dental, siempre y cuando se realice con una buena técnica y regularidad.
- Menor fricción: La ausencia de ligaduras reduce la fricción entre el bracket y el arco.
- Estética mejorada: Los brackets de autoligado son ligeramente más pequeños.
- El dispositivo es más pequeño: Menos voluminoso y por lo tanto más discreto.
- No hay riesgo de que los elásticos se vuelvan amarillos: El seguimiento es más rápido, el ortodoncista solo tiene que ajustar el arco y no perder tiempo en cambiar cada elástico.
- El tratamiento dura menos tiempo: Los brackets autoligables acortan el tratamiento de ortodoncia solamente en cierto tipo de maloclusiones, y solamente en una media de 4 a 6 meses menos.
Desventajas de los brackets autoligables
Como cualquier aparato de ortodoncia, los brackets autoligables también tienen algunas desventajas:
- Menor familiaridad: Debido a que los brackets autoligables son una innovación más reciente en comparación con los tradicionales, algunos ortodoncistas pueden tener menos práctica o estar menos acostumbrados a su manejo, lo que potencialmente podría influir en la calidad del tratamiento si es llevado a cabo por un profesional con menor experiencia.
- Precio: El precio de la ortodoncia con brackets autoligables puede ser ligeramente superior a la ortodoncia realizada con brackets normales de «gomitas».
- No son tan discretos como los alineadores invisibles: La higiene dental es mejor pero no perfecta, algunas áreas permanecen inaccesibles para el cepillo de dientes o el hilo dental, igual que pasa con el resto de brackets.
- Es necesario hacer un seguimiento presencial regular con el ortodoncista para ajustar el dispositivo.
- Las bisagras de los brackets autoligables pueden llegar a ceder y no permanecen bien cerrados, por tanto, será necesario reemplazar el bracket.
- Ninguna de las opciones de brackets autoligables es totalmente invisible, si buscas una ortodoncia de este tipo tienes que optar por el invisalign.
¿Quién puede usar los brackets de autoligado?
Todos los pacientes que necesiten un tratamiento de ortodoncia pueden optar por un sistema de autoligado. No importa la edad; niños, adolescentes y adultos pueden elegir este tipo de brackets para alinear sus dientes.
Los brackets autoligables son adecuados para casi cualquier persona que necesite corregir problemas de alineación dental o de mordida, como apiñamiento, mordida abierta, sobremordida, espacios interdentales, mordida cruzada, entre otros.

Costos de los brackets autoligables
El precio de los brackets autoligables en España se sitúa alrededor de los 3.000€ a 5.000€. Sin embargo, hay varios factores que pueden influir en el precio de los brackets de autoligado. Por ejemplo, el precio de este tipo de dispositivos puede variar considerablemente en función de la complejidad de cada caso o de en qué clínica decidas iniciar tu tratamiento.
En general, los brackets tradicionales son menos costosos que los autoligagbles, debido a que usan una tecnología más avanzada. El precio de los brackets autoligables puede variar entre 2000 y 7000 euros, este dependerá de distintos factores.
Factores que influyen en el precio
- Tipo de brackets: los brackets autoligables pueden ser metálicos o cerámicos, cada tipo tiene un costo diferente. Los metálicos son más comunes y generalmente más económicos que los transparentes.
- Duración del tratamiento: un tratamiento más largo implica más visitas y ajustes, lo que incrementa el costo total. La duración típica para los brackets autoligables es de 12 a 24 meses.
- Complejidad del caso: dependiendo de la complejidad y la corrección que necesites se determina el costo del tratamiento.
- Experiencia del ortodoncista: la especialización y experiencia del profesional también influyen en el precio.
Comparación de precios con otros tipos de ortodoncia
| Tipo de Ortodoncia | Precio (aproximado) |
|---|---|
| Brackets metálicos tradicionales | 2000 € - 3500 € |
| Brackets de cerámica o zafiro | 2000 € - 4500 € |
| Alineadores invisibles | 4000 € - 6000 € |
| Brackets linguales | >5000 € |
Procedimiento de colocación
El procedimiento para colocar brackets autoligables es similar al de cualquier tratamiento de ortodoncia fija:
- Estudio detallado del caso: Incluye exploración, radiografías, fotografías y toma de medidas.
- Preparación del espacio de trabajo: Se coloca un dique de goma para aislar los dientes y proteger los tejidos blancos, se limpian y secan los dientes. Por último, se pone un adhesivo en el diente.
- Elección de los brackets: Del tamaño y tipo correcto para cada diente.
- Colocación de los brackets: Se posiciona en el diente, y se utiliza una lámpara de luz para endurecer el adhesivo y fijar el bracket al diente.
- Autoligado: Se inserta el arco metálico y se activa el mecanismo de autoligado de cada bracket para que se mantenga en su lugar.
Mantenimiento y cuidados
Es importante seguir las recomendaciones del ortodoncista después de la colocación de los brackets metálicos con el fin de garantizar un tratamiento exitoso:
- Mantener una correcta higiene bucal: Cepillarse los dientes después de cada comida con un cepillo de cerdas suaves y utilizar hilo dental y cepillos interdentales para limpiar entre los dientes y debajo del arco.
- Evitar alimentos pegajosos o duros: Estos pueden dañar los brackets o incluso desprenderlos.
Conclusión
Los brackets autoligables representan una opción moderna y eficiente en el campo de la ortodoncia. Aunque su costo puede ser ligeramente superior, las ventajas en términos de higiene, comodidad y tiempo de tratamiento los convierten en una alternativa atractiva para muchos pacientes. Como siempre, la elección del tratamiento adecuado debe basarse en una evaluación individualizada realizada por un ortodoncista cualificado.
tags: #brackets #metalicos #autoligables