En Dentista Marin Plaza Ibiza, encontrarás un equipo de profesionales con gran experiencia en el área, dedicados a cubrir todas las necesidades referentes a tu salud dental. El objetivo último es conservar los dientes propios del paciente, por eso realizaremos tratamientos conservadores como control de fisuras, obturaciones y reconstrucciones, endodoncias, muñones colados, fundas o estructuras para fortalecer la estructura dentaria.

Nuestros Servicios
Disponemos de los últimos avances en implantología, para ofrecer un tratamiento seguro y confiado para el paciente. Aquí te presentamos una visión general de los servicios que ofrecemos:
- Implantología: Tratamientos innovadores para reemplazar dientes perdidos y recuperar tu sonrisa.
- Prótesis dental: Tratamientos para restaurar uno o varios dientes y recuperar la funcionalidad de tu boca.
- Ortodoncia: Corrige la colocación de tus dientes y mandíbula para lucir una increíble sonrisa.
- Ortodoncia infantil: Corrige los dientes y la mandíbula de los más peques con nuestros tratamientos.
- Estética dental: Luce una sonrisa perfecta con nuestros tratamientos de estética dental.
- Endodoncia: Tratamientos para eliminar la parte profunda del diente cuando se encuentra lesionado. Es la desvitalización de un diente para evitar su extracción y conservarlo durante más tiempo. Con la limpieza interior de los conductos de las raíces por donde va el paquete vasculonervioso, conseguimos sellarlo para que no penetren en el diente bacterias que pueden causarle más infecciones.
- Caries: Evita problemas en tus dientes realizando visitas de prevención para detectar posibles caries.
- Periodoncia: Tratamientos para prevenir y tratar problemas en las encías. Hoy en dia ya sabemos la importancia de cuidar las encías por su intima relación con la aparición de HTA, diabetes, enfermedades cardíacas como el ictus o infartos o anginas de pecho. O el deterioro de estas encías por el tabaco o la higiene deficiente, o la ingesta de medicaciones como los antiepilepticos, etc.
- Cirugía Maxilofacial: Prevención, diagnóstico y tratamiento para corregir cualquier problema maxilofacial. En este ultimo año hemos instalado un quirófano en clinica DentalMarín, para tener toda la infraestructura disponible en cualquier cirugía oral, Con desfibrilador DAE, con pulsioximetro y monitor que nos ofrece las constantes vitales en todo momento, con centrífuga e incubadora para preparar los factores de crecimiento procedentes del plasma rico en plaquetas, extraído por venopunción.

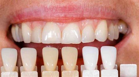
Estética Dental: Carillas
Si buscas mejorar la estética de tu sonrisa, las carillas son una excelente opción. Podemos recuperar la estética de la boca, con una forma dentaría proporcionada y armónica y hacer que los dientes se vean más blancos dando como resultado una nueva sonrisa perfecta que deseaba nuestro paciente. Las carillas de porcelana requieren una mínima preparación del diente y podemos conseguir este resultado en tan solo 2 citas.
Según el color del diente y las manchas que tenga, las soluciones estéticas varían, si el color es uniforme, con un blanqueamiento será suficiente, pero si ha de enmascarar algo más grave, como tinciones por medicamentos o tetraciclinas, fluorosis, hemos de recurrir a las carillas.

La Importancia de la Ortodoncia
La ortodoncia engloba todos los tratamientos que sirven para mejorar la posición de los dientes ya sea para mejorar la funcionalidad de la boca y su cierre, mejorar el estado de las encías, y la estética de la sonrisa del paciente.
Atención Infantil
Es importante que los más pequeños acompañen a sus padres en las visitas al dentista y se cepillen con ellos los dientes en los hogares para que por imitación consigan una conducta positiva frente al dentista.

Rehabilitación con Coronas
Nuestro paciente tenía piezas dentales erosionadas, numerosas fracturas y color amarillento en dientes. Con las coronas de Zirconio pudimos mejorar la estética y función de la paciente. Las coronas dentales están ideadas para proteger y mejorar la apariencia del diente. Son restauraciones individuales para cada diente, recubriendo y reconstruyendo en su totalidad la pieza dental.
Alargamiento Coronario
Nuestra paciente estaba acomplejada por la gran exposición de encía cuando sonríe. Esta paciente presentaba signos de erupción pasiva alterada, tales como exceso de encía que recubre el diente, o apariencia de dientes demasiado pequeños.
Implantes Dentales: Una Solución Duradera
En ocasiones, los malos hábitos de higiene bucodental, la falta de un tratamiento dental a tiempo, un traumatismo o simplemente una predisposición genética, pueden provocar que un adulto pierda uno o varios dientes.

¿Cómo se ponen los implantes dentales paso a paso? | Clínica dental en Alcobendas Avodent
Historias de Éxito
Algunos testimonios de clientes satisfechos:
- "Excellent service, from the reception to Dr. Kristina, who provided impeccable treatment!" - Rosa Magaña
- "Profesionales y trato exquisito de todo su personal"
Casos de rehabilitación:
- Rehabilitación completa con implantes: En esta rehabilitación completa hemos rehabilitado 14 piezas existentes en una arcada y para ello utilizamos implantes de carga inmediata,que permite colocar implantes y coronas fijas en una única intervención. Esta tecnología nos permite reducir al máximo los tiempos de espera para volver a tener una sonrisa natural desde el primer día.
- Rehabilitación superior completa con implantes: Os presentamos el caso clínico de nuestra paciente que había perdido sus piezas dentales. Con la colocación de 6 implantes dentales conseguimos rehabilitar a la paciente y devolverle la sonrisa
Responsabilidad Social Corporativa
En vivantadental somos conscientes del impacto que tiene nuestra actividad en nuestros pacientes, empleados y en la sociedad en la que estamos integrados. Nos sumamos a la acción de la Agenda 2030 para el Desarrollo Sostenible y ponemos en marcha actividades de Responsabilidad Social para contribuir a mejorar nuestro entorno y las vidas de las personas que nos rodean.
Acerca de Vivantadental
vivantadental es una compañía independiente de odontología con más de 150 clínicas en todo el territorio español. Nuestro objetivo es conseguir la mayor satisfacción en la experiencia y atención de nuestros pacientes, buscando la excelencia en la praxis odontológica, con calidad garantizada.
vivantadental lo integran un conjunto de cualificados profesionales que ofrecen como valor diferencial un servicio de alta calidad y atención personalizada.