Una sonrisa saludable y armónica no solo refleja confianza, sino que también es un reflejo de bienestar. Sin embargo, muchas personas sienten inseguridad debido a una sonrisa gingival, una condición en la que las encías son más visibles de lo deseado al sonreír. Este problema, aunque común, puede afectar tanto la autoestima como la percepción de nuestra sonrisa.
En Diagonal Clinic Dental, en el corazón de Barcelona, nos especializamos en tratamientos avanzados para corregir la sonrisa gingival. Nuestro enfoque combina tecnología de vanguardia, técnicas mínimamente invasivas y un equipo de expertos comprometidos con transformar tu sonrisa en una que refleje seguridad y felicidad.
En este artículo, exploraremos las causas de la sonrisa gingival, las opciones de tratamiento disponibles y cómo podemos ayudarte a recuperar la confianza en tu sonrisa.

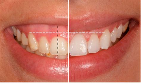
Ejemplo de una sonrisa gingival antes y después del tratamiento.
¿Qué es la Sonrisa Gingival?
La sonrisa gingival ocurre cuando al sonreír se muestra una cantidad excesiva de encía por encima de los dientes.
Debes saber que existen distintos tipos de sonrisa gingival:
- Un paciente presenta sonrisa gingival anterior cuando la encía visible es la situada por encima de los incisivos.
- Hablamos de sonrisa gingival posterior cuando la encía que se muestra es la situada desde el primer premolar hacía detrás.
- La sonrisa gingival mixta se produce cuando mostramos encía en la parte anterior y posterior.
Causas de la Sonrisa Gingival
Esto puede deberse a varias razones, como:
- Labio superior corto o hiperactivo: El labio superior se eleva más de lo normal al sonreír, exponiendo más encía.
- Crecimiento excesivo de encía (hiperplasia gingival): Cuando la encía crece por encima del diente.
- Maxilar superior largo: cuando el crecimiento del maxilar superior se ha excedido en sentido vertical.
La encía también queda más expuesta cuando se sufre de labio superior corto.
Comprender las causas que provocan una sonrisa gingival es fundamental para elegir la mejor opción, pues no todas se deben al mismo factor. Esta es una de las causas más comunes de sonrisa gingival. Se produce cuando los dientes no han “emergido” completamente hacia fuera de la encía después de su erupción natural. Como resultado, los dientes parecen más pequeños de lo que realmente son, y las encías cubren una mayor superficie dental de la que deberían.
Otra causa frecuente es el crecimiento anormal o excesivo de las encías, conocido como hiperplasia gingival. Este aumento de volumen puede deberse a varios factores, como una respuesta inflamatoria crónica, uso de ciertos medicamentos o incluso una higiene oral deficiente.
La hipermovilidad del labio superior es una causa anatómica que ocurre cuando el músculo que eleva el labio superior se contrae en exceso al sonreír; provocando que el labio suba más de lo habitual y exponga más encía de la esperada.
En algunos casos, la sonrisa gingival tiene su origen en un crecimiento excesivo de la parte vertical del hueso maxilar superior. Esta situación es de origen esquelético y provoca que la encía y los dientes se desplacen hacia abajo en relación al resto de la cara; haciendo que al sonreír se muestre una franja amplia de encía.
Aunque las anteriores son las causas más habituales, también pueden influir otros factores menos comunes: alteraciones en la erupción dental relacionadas con genética, cicatrices musculares o variaciones anatómicas individuales.

Ilustración de las posibles causas de la sonrisa gingival.
Opciones de Tratamiento para la Sonrisa Gingival
El tratamiento depende de la causa de la sonrisa gingival. Aquí te detallo las opciones más comunes:
- Tratamiento con bótox: Indicado para un labio hiperactivo, que es cuando el labio sube mucho al sonreír y se expone el diente por completo y también parte de la encía. El bótox relaja el músculo que eleva el labio superior, evitando que suba tanto al sonreír. Es un procedimiento rápido y temporal (efecto dura unos 4-6 meses). Este procedimiento lo debe realizar un médico o cirujano maxilofacial.
- Gingivectomía o gingivoplastia: Se realiza cuando hay un exceso de encía que cubre los dientes. En la erupción pasiva alterada, después de erupcionar los dientes la encía no se ha retirado lo suficiente y una parte del diente queda cubierto por encía. El dentista elimina el tejido gingival sobrante para exponer más diente, logrando una sonrisa más equilibrada. Es un procedimiento sencillo y con poco tiempo de recuperación.
- Cirugía de alargamiento coronario: Si los dientes parecen demasiado cortos, se realiza este procedimiento para retirar tanto encía como una pequeña cantidad de hueso.
- Cirugía ortognática: Para casos de exceso de crecimiento del hueso maxilar, realizado por un cirujano maxilofacial. Es una cirugía mayor en la que se ajusta la posición del hueso maxilar.
- Reposicionamiento labial: es una técnica quirúrgica menor que busca limitar la movilidad del labio superior para que no se eleve tanto al sonreír. Este procedimiento es menos invasivo que la cirugía ortognática, se realiza bajo anestesia local y su recuperación suele ser rápida. Es una alternativa eficaz en casos de hipermovilidad labial moderada, con resultados estéticos satisfactorios y permanentes.
Sonrisa Gingival: Causas y Soluciones Fáciles Explicadas
¿Cómo Arreglar la Sonrisa Gingival con Ortodoncia?
Cuando un paciente presenta sonrisa gingival podemos, únicamente con ortodoncia y sin necesidad de recurrir a cirugía, mejorar mucho el aspecto de su sonrisa. Haciendo un movimiento controlado de los dientes podemos conseguir modificar la posición de los tejidos blandos.
En un caso muy grave de sonrisa gingival deberemos recurrir a un tratamiento combinado de ortodoncia y periodoncia. Lo más importante de todo es hacer un estudio minucioso y pormenorizado de la situación del paciente para escoger la opción que mejor se adapte a él y que vaya a otorgarnos los mejores resultados.
Para ilustrar lo que hoy os estoy contando, os enseñaré un caso real de una paciente que presentaba sonrisa gingival y cuyo caso resolví únicamente con ortodoncia.
La paciente cuyas fotografías encuentras abajo acudió a nosotros buscando una solución estética a su sonrisa. Cuando se miraba al espejo no le gustaba lo que veía, enseñaba demasiada encía al sonreír, cosa que deseaba cambiar.
En el momento en el que realizamos la exploración de esta paciente vimos que existía una gran separación entre la comisura labial y sus dientes generando espacios negros muy antiestéticos que afeaban su sonrisa. El término médico para estos espacios negros es el de corredores bucales y están provocados por una sonrisa muy estrecha.
En las fotografías iniciales que le realizamos a la paciente observamos que tenía una maloclusión ligera clase II además de una mordida muy aumentada.
Tras estudiar el caso exhaustivamente decidimos tratar a la paciente con ortodoncia invisible Invisalign. Queríamos cambiar profundamente la forma de la arcada y realizar grandes cambios en la zona anterior. De esta forma modificaríamos la oclusión y además favoreceríamos la adaptación de los tejidos blandos logrando arreglar la sonrisa gingival con ortodoncia.
Tras el tratamiento en Clínica Peydro, y tal y como puede observarse en las fotografías de más abajo, logramos una oclusión perfecta y una forma de arcada también perfecta tanto a nivel superior como inferior. Al planificar minuciosamente los ángulos de los dientes que queríamos hemos conseguido disminuir prácticamente en su totalidad la sonrisa gingival que presentaba esta paciente. Ahora luce una sonrisa llena gracias al desarrollo perfecto de una arcada simétrica y armónica respecto a su cara.
Hemos conseguido que la paciente tenga una armonía perfecta entre sus dientes, sus labios y su sonrisa consiguiendo un resultado espectacular. La sonrisa gingival es un problema estético que puede afear tu sonrisa. ¿Se puede corregir la sonrisa gingival con ortodoncia invisible?
Resultados y Recuperación de los Tratamientos
Los resultados del tratamiento para sonrisa gingival suelen ser visibles de forma inmediata en los procedimientos más simples, como la gingivectomía; y progresivos en tratamientos más complejos como la ortodoncia o la cirugía ortognática.
En el caso de la gingivectomía (cirugía estética de encías), el cambio es casi instantáneo: tras eliminar el exceso de tejido gingival, los dientes se ven más largos y simétricos, y la encía expuesta al sonreír se reduce visiblemente.
La aplicación de toxina botulínica (botox) también proporciona resultados rápidos, generalmente perceptibles a los pocos días.
Por otro lado, los tratamientos que implican ortodoncia requieren mayor tiempo , ya que la corrección de la posición dentaria y la mordida es gradual.
La recuperación según el tratamiento:
- Gingivectomía: la recuperación suele ser rápida, con una leve molestia o sensibilidad durante los primeros días. Se recomienda evitar alimentos duros, muy calientes o picantes mientras cicatriza la encía, y mantener una buena higiene oral con cepillado suave y enjuagues.
- Botox: no requiere tiempo de recuperación.
- Ortodoncia: la adaptación inicial puede generar leves molestias o presión en los dientes.
- Cirugía ortognática: este tratamiento implica una recuperación más prolongada, que puede incluir inflamación, hematomas y molestias los primeros días. Se requieren controles postoperatorios frecuentes, dieta blanda durante las primeras semanas y cuidados específicos según las indicaciones del cirujano maxilofacial.
- Reposicionamiento labial: la recuperación es rápida y generalmente con molestias leves.
Para garantizar la durabilidad de los resultados tras un tratamiento para sonrisa gingival, es fundamental seguir las indicaciones del profesional y mantener controles periódicos.

Esquema de un tratamiento para la sonrisa gingival.
Preguntas Frecuentes sobre el Tratamiento para la Sonrisa Gingival
Si estás considerando un tratamiento para sonrisa gingival, es normal que surjan dudas e inquietudes sobre el proceso, los resultados y los cuidados necesarios. A continuación, respondemos a algunas de las preguntas más frecuentes que suelen plantearse quienes buscan corregir la exposición excesiva de encía al sonreír.
- ¿Duele el tratamiento? Los procedimientos no son dolorosos, ya que se realizan bajo anestesia local o, en el caso de la cirugía ortognática, con anestesia general. Durante la intervención, no se percibe dolor, y las molestias postoperatorias suelen ser leves y manejables con analgésicos prescritos por el especialista. En procedimientos más complejos, como la cirugía ortognática, el postoperatorio implica mayor inflamación y malestar. Pero siempre bajo control médico y con una pauta de analgesia adecuada.
- ¿Cuánto tiempo lleva la recuperación? La cirugía ortognática requiere un tiempo de recuperación más prolongado, con inflamación visible y dieta blanda inicial.
- ¿Cuáles son los riesgos? Algunos riesgos pueden incluir infección, inflamación prolongada, sangrado, sensibilidad dental o asimetrías.
- ¿Siempre es necesario tratar la sonrisa gingival? No todas las sonrisas gingivales requieren tratamiento. Si no sientes incomodidad estética ni limitaciones en tu confianza al sonreír, y no existe un problema funcional, no es necesario corregirla por motivos médicos. Sin embargo, si tu sonrisa afecta tu autoestima, tu vida social o tu satisfacción personal, puedes valorar las opciones de tratamiento con tu odontólogo.
Una sonrisa gingival ya no tiene por qué ser motivo de inseguridad. En Diagonal Clinic Dental, combinamos experiencia, tecnología de última generación y un enfoque personalizado para ofrecerte soluciones eficaces y cómodas. Nuestro objetivo es ayudarte a lograr una sonrisa armoniosa que refleje lo mejor de ti.
Si estás listo para transformar tu sonrisa y recuperar la confianza, ¡no esperes más! Contáctanos hoy mismo para una consulta personalizada. Nuestro equipo estará encantado de resolver tus dudas y acompañarte en cada paso del proceso.
Llámanos o reserva tu cita online y da el primer paso hacia una sonrisa que te haga sentir orgulloso. ¿Preparado para sonreír?