Los elásticos en ortodoncia, también conocidos como gomas, son elementos esenciales para lograr resultados óptimos en tu tratamiento con aparatos dentales. Si sigues las indicaciones de tu ortodoncista y utilizas las gomas de manera constante y correcta, el éxito de tu tratamiento con brackets está garantizado, permitiéndote lucir una sonrisa espectacular.
En las Clínicas de Ortodoncia Novasmile en Alicante y Benidorm, te ofrecemos la ayuda necesaria para que alcances este objetivo.

¿Qué son las gomas para ortodoncia?
Existen dos tipos principales de elásticos en ortodoncia:
- Las gomas utilizadas para unir elementos específicos en determinadas ortodoncias.
- Las gomas empleadas para corregir problemas de mordida.
Nos centraremos en detalle en este último tipo de elásticos.
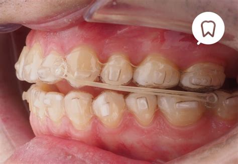
Gomas Elásticas Intermaxilares
Los elásticos intermaxilares, comúnmente llamados gomas, son elementos auxiliares que complementan los aparatos dentales. Estos elásticos facilitan movimientos específicos necesarios para corregir diversos problemas de maloclusión. La colocación de estos elásticos varía según el objetivo del tratamiento y la fase en la que te encuentres, siempre bajo la supervisión y prescripción de un profesional.
Las gomas son pequeñas y discretas, fabricadas en látex, silicona o materiales similares, con forma circular u ovalada según su uso y longitud. Generalmente, son de color neutro o transparente, aunque también existen versiones de colores para aquellos que desean una ortodoncia más llamativa.

¿Cómo se colocan las gomas en la ortodoncia?
Los elásticos pueden ser utilizados en diversos tipos de ortodoncia, incluyendo brackets tradicionales, ortodoncia invisible y estética. La colocación siempre se realiza entre las dos arcadas dentales para asegurar la tensión necesaria que corrija los problemas de mordida.
¿Cómo se utilizan los elásticos intermaxilares?
Por lo general, se enganchan a los hierros de ambas arcadas, uniendo las mandíbulas para ejercer presión y corregir la mordida, una función que los brackets no pueden realizar por sí solos. Tu ortodoncista te indicará la forma exacta de colocarlos, ya que una colocación incorrecta puede dilatar tu tratamiento.
5 Consejos para un Correcto Uso de los Elásticos
Es fundamental utilizar los elásticos de ortodoncia durante el tiempo prescrito por tu ortodoncista para evitar retrasos en el tratamiento con brackets.
- Sigue las instrucciones: Utiliza las gomas exactamente como te explicaron en la consulta.
- Sé constante: El uso debe ser diario y continuo.
- Uso prolongado: Llévalos la mayor parte del día, retirándolos solo para comer y realizar tu higiene bucal.
- Reemplazo regular: Cambia las gomas cada 24 horas, ya que pierden elasticidad con el uso.
- Persistencia: Las molestias iniciales son normales, pero piensa en el resultado final para mantenerte motivado.
Si algún día no los llevas el tiempo indicado, intenta compensarlo al día siguiente.
Recuerda que el uso correcto de los elásticos es crucial para lograr los resultados esperados en el menor tiempo posible, asegurando una sonrisa hermosa y una salud dental envidiable.
Importancia de los Elásticos en la Corrección de la Mordida
Los elásticos intermaxilares son cruciales para corregir problemas de mordida como la sobremordida, submordida y mordida cruzada. Estos problemas pueden afectar tanto la apariencia de tu sonrisa como tu capacidad para masticar y hablar correctamente.

La utilización adecuada de los elásticos puede prevenir problemas a largo plazo, como el desgaste desigual de los dientes, dolores en la mandíbula y trastornos de la articulación temporomandibular (ATM). En Novasmile Alicante, cada paciente recibe instrucciones precisas para el uso de sus elásticos, garantizando un tratamiento efectivo y eficiente.
Tipos de Problemas que Corrigen los Elásticos Intermaxilares
Dependiendo de la severidad y el tipo de maloclusión, tu ortodoncista te indicará el uso de elásticos específicos para tratar:
- Sobremordida: Cuando los dientes superiores cubren excesivamente los dientes inferiores.
- Submordida: Cuando los dientes inferiores sobresalen más allá de los dientes superiores.
- Mordida cruzada: Cuando algunos dientes superiores cierran por dentro de los dientes inferiores.
- Mordida abierta: Cuando los dientes superiores e inferiores no se tocan al morder.
Beneficios Adicionales de Usar Elásticos en Ortodoncia
Además de corregir problemas de mordida, el uso de elásticos en ortodoncia ofrece otros beneficios significativos. Ayudan a mejorar la alineación general de los dientes, promoviendo una sonrisa más equilibrada y estética. También pueden acelerar el progreso del tratamiento ortodóntico, reduciendo el tiempo total necesario para lograr los resultados deseados.
El uso constante de los elásticos también contribuye a una mejor salud bucal a largo plazo. Al mejorar la mordida y la alineación dental, se facilita la limpieza de los dientes y encías, lo que reduce el riesgo de caries y enfermedades periodontales. En Novasmile Alicante, promovemos el uso adecuado de los elásticos como parte integral de un tratamiento ortodóntico exitoso.
Compromiso y Responsabilidad del Paciente
El éxito de los tratamientos de ortodoncia con el uso de elásticos depende en gran medida del compromiso y la responsabilidad del paciente. Es fundamental seguir las indicaciones del ortodoncista y ser diligente en el uso diario de los elásticos. La colaboración entre el paciente y el profesional es esencial para alcanzar los mejores resultados en el menor tiempo posible.
En Novasmile Alicante, estamos aquí para apoyarte en cada paso del camino. Nuestro equipo de expertos te proporcionará todas las herramientas y el conocimiento necesario para que tu tratamiento sea un éxito. Recuerda, una sonrisa hermosa y saludable es el resultado de un esfuerzo compartido.

Tabla Resumen de Problemas de Mordida y Soluciones con Elásticos
| Problema de Mordida | Descripción | Solución con Elásticos |
|---|---|---|
| Sobremordida | Dientes superiores cubren excesivamente los inferiores | Elásticos verticales para intruir dientes superiores y extruir inferiores |
| Submordida | Dientes inferiores sobresalen más allá de los superiores | Elásticos de Clase III para retraer la mandíbula |
| Mordida cruzada | Dientes superiores cierran por dentro de los inferiores | Elásticos cruzados para alinear correctamente las arcadas |
| Mordida abierta | Dientes superiores e inferiores no se tocan al morder | Elásticos verticales para extruir dientes y cerrar la mordida |
Topes Oclusales en Ortodoncia
Durante el tratamiento de ortodoncia, ya sea con brackets o alineadores, es posible que tu ortodoncista te recomiende el uso de "topes oclusales" o "levantes de mordida". Estos pequeños elementos tienen la función de evitar que los dientes engranen completamente.
¿Qué son los topes oclusales?
Los topes oclusales se colocan en los dientes para prevenir el contacto excesivo entre los dientes superiores e inferiores, aliviando la presión en ciertas áreas de la boca.
Funciones de los topes oclusales
Los topes oclusales crean "desoclusión" (desengranan los dientes) y, dependiendo de su ubicación (anterior o posterior), tienen diferentes funciones:
- Desengranar los dientes para solventar mordidas cruzadas.
- Extrusión de los dientes posteriores e intrusión de los dientes anteriores.
- Evitar contactos entre los dientes superiores y los brackets inferiores.
- Estabilizar la mordida de forma temporal.

Recomendaciones para pacientes con topes oclusales
- Higiene Oral Rigurosa: Mantén una rutina de higiene bucal estricta para evitar la acumulación de placa.
- Evita Alimentos Duros o Pegajosos: Pueden dañar o desplazar los topes.
- Revisiones Periódicas: Asiste a todas tus citas programadas para ajustes o reemplazos.
- Periodo de Ajuste: Ten paciencia mientras te acostumbras a los topes.
Beneficios de los topes oclusales
- Mejora de la Mordida: Ayudan a corregir problemas de mordida.
- Prevención de Daños: Protegen contra el desgaste excesivo de los dientes.
Los levantes de mordida también pueden utilizarse con la ortodoncia invisible.
Los topes oclusales son una herramienta valiosa en ortodoncia. Aunque puede tomar un tiempo acostumbrarse a ellos, los beneficios a largo plazo son significativos.
Aditamentos en Ortodoncia: Botones, Muelles y Más
Los aditamentos para ortodoncia son piezas adicionales que se incorporan a la aparatología del tratamiento (brackets o alineadores) para reforzarla y optimizar su función. Estos aditamentos permiten dirigir el movimiento de los dientes en la dirección deseada y son cruciales tanto en ortodoncias comunes como en casos más complejos.
Los aditamentos se combinan con brackets y alineadores, adaptándose a las necesidades específicas de cada diente. Sus funciones incluyen:
- Mover dientes con tamaño, forma o ángulo inusual en direcciones específicas.
- Forzar la erupción de dientes que no han salido correctamente.
- Redirigir dientes girados en su base.
- Corregir problemas de mordida y mala oclusión mandibular.
Existen diversos modelos de aditamentos, cada uno diseñado para una función específica. A continuación, se detallan algunos de los más comunes:
Aditamentos para tratamientos con brackets
Botones: Aceleran los movimientos de rotación de los dientes o descruzan mordidas. También se utilizan para la extrusión de caninos ectópicos o incluidos. Se fijan a la cara lingual o vestibular de los dientes mediante adhesivos especiales.
Muelles: Resortes destinados a la apertura y cierre de espacios, ya sea por maloclusión o extracciones. Pueden ser de acero inoxidable o níquel-titanio, siendo estos últimos más avanzados y efectivos.
Crimpables y Stops: Los crimpables reemplazan los hooks de los brackets y generan puntos de apoyo necesarios a lo largo del arco. Los stops inmovilizan los arcos, evitando deslizamientos y molestias.
Resorte Warren: Controla la técnica de torque en dientes individuales de manera rápida y sencilla.
Aditamentos para ortodoncia con alineadores
Los aditamentos para alineadores transparentes complementan la ortodoncia invisible, haciéndola más eficaz. Incluyen botones, topes y ganchos linguales para fijar elásticos, cadenetas o alambres y realizar movimientos dentales auxiliares.
Por ejemplo, los botones y ganchos realizados con el Mini Molde son ideales para utilizar con cualquier tratamiento donde se requiere el uso de elásticos de Clase II. Estos aditamentos se pueden usar directamente sobre los alineadores (para lo que se recomienda utilizar el adhesivo Bond Aligner) o directamente sobre el esmalte (para lo que se recomienda utilizar Flowtain).
Cómo colocar los elásticos en ortodoncia
Bandas y Tubos Molares en Ortodoncia
Los tubos son aditamentos que se colocan en las muelas, a diferencia de los brackets que se usan en los demás dientes. El alambre se inserta a través de un agujero en el tubo. Estos tubos pueden cementarse directamente en los dientes o fijarse a unas anillas de metal llamadas bandas, que se colocan alrededor de cada muela.

El uso de bandas tiene una historia. Antes de las técnicas modernas de cementado, todos los brackets se colocaban con bandas debido a la limitada adhesión al esmalte dental. Con la aparición de nuevos sistemas de cementado, la adhesión directa al esmalte ofrece resultados muy buenos, permitiendo adherir los brackets sin necesidad de bandas.
Las bandas requieren la creación de pequeños espacios entre las muelas mediante gomas de separación, lo cual no es necesario con el cementado directo.