En la odontología moderna, es crucial estar bien informado sobre los medicamentos y tratamientos disponibles para mantener una salud bucal óptima. Este artículo aborda el uso de fármacos comunes como el Rhodogil y la tetraciclina, sus aplicaciones, efectos secundarios y soluciones para problemas como las manchas en los dientes.

Rhodogil: Un Antibiótico Común en Odontología
El Rhodogil es un antibiótico muy utilizado en odontología para tratar infecciones bacterianas, especialmente las patologías periodontales. Está compuesto por espiramicina y metronidazol, una combinación eficaz contra las bacterias orales.
¿Cuándo se receta Rhodogil?
Nuestros especialistas recetan este tipo de medicamentos cuando se ha detectado una infección bacteriana. En la Clínica Dental Vinateros te pautamos la ingesta de antibióticos en situaciones muy concretas. El Rhodogil nos permite tratar infecciones en la boca con éxito, evitando que las bacterias orales causen más daños en tu organismo.
- Patologías periodontales (gingivitis y periodontitis).
- Flemones o abscesos dentales.
- Como prevención en cirugías orales (exodoncias complejas).
Importancia de la prescripción médica
Es importante que sigas el tratamiento farmacológico tal y como te lo prescriba el odontólogo. El mejor consejo que podemos darte es que no te automediques nunca. Si tienes Rhodogil en casa de un tratamiento dental anterior, evita su ingesta descontrolada. Solo es efectivo ante infecciones bacterianas. Si sufres un dolor dental, puedes tomar un analgésico para paliar las molestias, pero visita al dentista siempre.
Nuestros dentistas apuestan siempre por la individualización de cada caso. Ante un dolor dental, encías inflamadas, la aparición de llagas en la boca u otras patologías orales, debes acudir a la clínica dental y someterte a una revisión bucal de calidad. Nuestros odontólogos te pautarán el mejor tratamiento oral.
Tetraciclina: Efectos Secundarios y Soluciones
La tetraciclina es un antibiótico de amplio espectro que se utilizó ampliamente en el pasado. Sin embargo, se descubrió que tiene un efecto secundario significativo: la coloración y las manchas en los dientes.

¿Cómo afecta la tetraciclina a los dientes?
Según estudios relacionados, la tinción se origina durante el proceso de formación de la dentina. La tetraciclina tiende a unirse con el calcio, por lo que oscurece la composición que conforma los dientes, huesos y articulaciones. En consecuencia, no se trata de una mancha superficial, sino que es parte del material que conforma la propia pieza dental al formarse. Dicho de otra manera, el diente es grisáceo desde su interior.
Este fenómeno puede afectar, principalmente, a las personas que, con ocho años o menos, consumieron este antibiótico. Sin embargo, también son objeto de estudio todos aquellos que recibieron el medicamento a través de su madre, ya sea en la gestación o durante la lactancia.
El grado de afección y, por lo tanto, de nivel y cantidad de manchas en los dientes depende de dos factores: de la cantidad de antibiótico suministrado y de la duración de ese tratamiento.
Grados de Afección de las Manchas por Tetraciclina
En función del grado de coloración se establecen cuatro categorías. Desde una leve variación cromática, que por lo general tiende a un color gris, hasta el nivel más extremo y poco común, que produce alteraciones en la textura dental y rallas horizontales que varían en cromatismo.
| Grado | Coloración |
|---|---|
| Primer Grado | Leve variación cromática, tiende a un color gris. |
| Segundo Grado | Manchas amarillentas o marrones. |
| Tercer Grado | Tono más oscuro de gris o azulado. |
| Cuarto Grado | Coloración fuerte que afecta a todo el diente. |
Tratamientos para las Manchas por Tetraciclina
¿Manchas en los Dientes por Tetraciclinas? ¡Solución Aquí! 😁#tetraciclinas #dientesblancos #dentist
Afortunadamente, existen soluciones efectivas para tratar las manchas causadas por tetraciclina. Los tratamientos varían según la gravedad de la tinción:
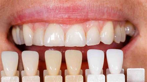
- Blanqueamiento Dental: El blanqueamiento tiene como objetivo aclarar el esmalte de los dientes y reduciendo así su tonalidad. De esta forma, se conseguirá quitar el tono amarillento o grisáceo de la tinción y llegar a tener una sonrisa más estética. Es probable que sea necesario realizar varias sesiones y, en algunos casos, complementar el tratamiento con blanqueamiento domiciliario.
- Carillas Dentales: Mediante unas finas láminas de cerámica o composite es posible modificar por completo el color o tamaño de las piezas dentales grisáceas. Las carillas dentales son unas láminas de cerámica o composite que se colocan sobre la cara del diente. Quedan cimentadas para que no se muevan y consiguen una estética dental óptima, en forma y color.

Consideraciones Adicionales
- Candidiasis Oral: Diabéticos y/o inmunodeprimidos: monitorizar.
- Profilaxis: Seguir procedimiento estándar para profilaxis en pacientes con riesgo de endocarditis bacteriana.
- Cuidados Post-Tratamiento: Evitar cepillado o uso de seda en área tratada, comidas duras o crujientes, chicles, tocar el área con lengua o dedos.
- Embarazo y Lactancia: No se han llevado a cabo estudios bien controlados en mujeres embarazadas con las fibras de tetraciclina. No se sabe si la tetraciclina es excretada en la leche humana después del uso de la fibra.
En la Clínica Dental Vinateros queremos que tu sonrisa esté perfectamente cuidada siempre. Pide cita en Vinateros si sufres cualquier problema bucodental. No tomes medicamentos, como el Rhodogil, sin la prescripción previa de un dentista especializado. En nuestra clínica dental de Madrid te realizamos un examen bucal personalizado, con el fin de someterte a tratamientos de alta calidad, que nos permitan garantizarte unos dientes perfectos, libres de patologías orales. Si aún no tienes nuestra Tarjeta Paciente, pregúntanos por ella, ya que contiene numerosas ventajas y promociones exclusivas para ti.
tags: #bristaciclina #dental #sin #receta