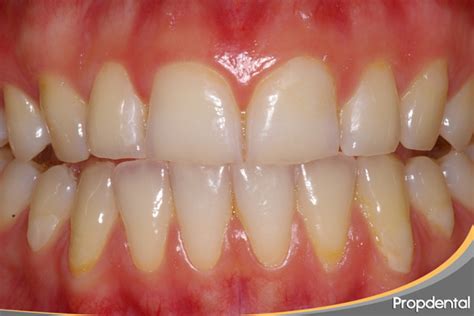
La odontología estética se encuentra en un punto intermedio entre la ciencia y el arte. Es fundamental fusionar los aspectos matemáticos aplicados en la clínica odontológica y en el laboratorio protésico, pero estas leyes geométricas deben adaptarse a la individualidad de cada paciente, sirviendo como guía en lugar de aplicarse rígidamente.
La belleza es subjetiva, y para crear una sonrisa natural, es esencial considerar el carácter y estilo de vida del paciente. El odontólogo y su equipo deben emplear sus habilidades artísticas y percepciones personales para personalizar cada caso. La individualidad es crucial, especialmente en los dientes anteriores.
En una era donde la estética dental es cada vez más importante, es esencial comprender a fondo las reglas de la estética. Este artículo ofrece una visión general de los métodos y medios para ayudar a los pacientes a lograr una sonrisa atractiva.
¿Cuáles son las partes de un diente? | Dr. Alvaro Campos
Anatomía de la Sonrisa
La sonrisa depende principalmente de los dientes. Por lo tanto, un conocimiento profundo de los dientes, su forma y anatomía es esencial para cualquier tratamiento. Los dientes están dispuestos como una unidad en la boca, con el tejido blando circundante formando el marco de su apariencia.
Para evaluar una sonrisa "bonita", es útil observar los contornos internos y externos de las estructuras involucradas. Los artistas utilizan un marco definido con contornos aproximados y puntos de orientación para dibujar, de modo que todos los elementos tengan una relación interna y con el marco. Este principio también se aplica a la odontología estética.
Debemos orientarnos por "marcos": los rebordes marginales e inclinaciones axiales para cada diente, el margen gingival para la arcada dentaria y los labios para la unión dentogingival. El rostro es el marco principal para la interacción de los dientes naturales o restaurados con los demás elementos. La sonrisa encuentra su verdadera expresión en el rostro.

Es crucial diferenciar entre estructuras anatómicas "estáticas" como los dientes y la encía, y estructuras "dinámicas" como los labios y la musculatura facial. Para la apariencia de la sonrisa, debemos considerar puntos de referencia fonéticos y líneas imaginarias como la línea media dental, la línea media facial, la línea labial, la línea de la comisura y la línea interpupilar.
Estas líneas están interrelacionadas y deben entenderse como una expresión integral de la composición conjunta y la personalidad individual. Una sonrisa armoniosa requiere proporciones equilibradas entre estas líneas y estructuras anatómicas. Es posible mejorarla modificando estas proporciones, utilizando efectos ópticos y optimizando la disposición de los dientes, la encía y los labios.
Para comprender completamente estos elementos y relaciones, es necesario analizar detalladamente todos los aspectos ópticos que determinan la apariencia de los dientes.
¿Cuáles son las diferentes caras de los dientes?
Los dientes tienen varias caras, cada una con un nombre distinto:
- Plano Oclusal: Es la parte que se ve cuando abrimos la boca, correspondiente a la superficie de masticación. La superficie oclusal varía entre los diferentes dientes.
- Cara Mesial: Para identificarla, se traza una línea imaginaria desde los dientes centrales, dividiendo la boca en dos partes iguales. La cara mesial es la que está orientada hacia esta línea media. Es la cara que está hacia la línea media del cuerpo. Por ejemplo, la cara mesial del incisivo central superior derecho sería la que está en contacto con el incisivo central superior izquierdo.
- Cara Distal: Es la opuesta a la cara mesial. Es la cara opuesta a la mesial, es decir, la que está más alejada de la línea media del cuerpo. Por ejemplo, la cara distal del segundo molar inferior derecho sería la que está en contacto con el tercer molar inferior derecho.
- Cara Vestibular: Es la cara externa de los dientes, la que mira hacia afuera. Las partes del diente vestibular son las que están orientadas hacia los labios o mejillas. También se conoce como cara facial o labial. Por ejemplo, la cara vestibular del canino superior izquierdo sería la que está en contacto con el labio superior.
- Cara Lingual: Se refiere a la zona interior de los dientes de las piezas dentales inferiores, como las muelas, se denomina cara lingual. Es la cara opuesta a la vestibular, es decir, la que está orientada hacia la lengua. También se conoce como cara palatina en los dientes posteriores. Por ejemplo, la cara lingual del incisivo central inferior derecho sería la que está en contacto con la lengua.
- Cara Palatina: En el caso de la cara interior del diente de las piezas superiores, ésta se denomina Palatina. Es la cara lingual de los dientes posteriores, es decir, la cara que está orientada hacia el paladar. Por ejemplo, la cara palatina del primer molar superior derecho sería la que está en contacto con el paladar.

Orientación Axial de los Dientes
En una sonrisa atractiva, los dientes anteriores están orientados de manera que sus ejes longitudinales discurren continuamente desde la línea media hacia la zona de los dientes posteriores. Los dientes anteriores superiores están ligeramente inclinados hacia mesial. Los labios conforman el marco de la composición estética.
El eje de los incisivos centrales suele estar ligeramente inclinado hacia distal en dirección apical con respecto a la línea media. La orientación labiolingual ideal de los incisivos centrales es cuando la superficie labial discurre verticalmente o está ligeramente inclinada hacia labial. El recorrido exacto varía según el tipo esquelético y el perfil facial.

Fig. 1. El eje de los incisivos centrales puede presentar una ligera inclinación apicodistal con respecto a la línea media vertical.
En los incisivos laterales, la inclinación distal en dirección apical se hace más pronunciada a partir de la mitad del diente. En personas con una sonrisa naturalmente atractiva, la orientación axial mesiodistal y anteroposterior de los incisivos laterales está dispuesta asimétricamente.

Fig. 2. En el caso de los incisivos laterales, esta inclinación apicodistal es más acusada.
Los caninos tienden a estar aún más inclinados hacia distal, aunque sólo desde la perspectiva facial. Vistos desde el lado, su eje longitudinal presenta una orientación desde vertical hasta ligeramente distal en la arcada dentaria. Al evaluar su recorrido axial, es mejor orientarse por los rasgos faciales relevantes.

Fig. 3. Vistos desde el lado, los caninos y los premolares están orientados verticalmente.
El eje del canino suele discurrir en paralelo a la línea imaginaria entre la comisura de la boca y el ángulo del ojo al sonreír, es decir, en paralelo al marco vestibular.
Zonas de Contacto y Puntos de Contacto Interdentales
La zona de contacto interdental es el área donde los dientes contiguos parecen tocarse. En el segmento anterior superior, estas zonas se acortan desde los incisivos centrales hacia los caninos, idealmente en la proporción 50:40:30 en relación con la longitud de la corona de los incisivos centrales.

Figs. 4 y 5. Las zonas de contacto interdentales en el segmento de los dientes anteriores presentan longitudes distintas.
La zona de contacto entre los incisivos centrales es del 50%, entre los incisivos centrales y laterales del 40%, y entre los incisivos laterales y los caninos del 30% de la longitud del incisivo central. Si los dientes son excesivamente largos, puede ser conveniente alargar la zona de contacto para reducir las distancias gingivales e incisales, haciendo que los dientes parezcan más anchos y cortos.

Fig. 6. Si no existe una base ósea adecuada, puede ocurrir que no pueda formarse una nueva papila para cerrar el espacio interdental cervical.

Fig. 7. En estos casos, en su lugar puede desplazarse el contacto interdental hacia apical.
Si no es posible crear una papila lo suficientemente larga, se puede alargar la zona de contacto hacia apical para cerrar el espacio interdental cervical abierto.
El punto de contacto interdental es el punto de la zona de contacto situado más hacia incisal. En dientes anteriores correctamente formados y dispuestos estéticamente, los puntos de contacto interdentales ascienden claramente hacia la zona de los dientes posteriores.
El punto de contacto entre los incisivos centrales se encuentra en la posición más hacia incisal, mientras que entre el incisivo central y el lateral se encuentra más hacia apical. La altura de este punto puede variar debido a la situación y la forma naturalmente asimétricas de los incisivos laterales.
Espacios Interdentales Incisales
Cuando se abre la boca al hablar o sonreír, se hace visible entre los bordes incisales de ambas arcadas dentarias el espacio negro de la cavidad oral. Este contraste con los dientes mejora el aspecto de los espacios interdentales incisales. La interacción entre luz y sombra a lo largo de la arcada dentaria superior es esencial para una sonrisa bonita y natural.
Los espacios interdentales incisales aumentan de tamaño desde la línea media hacia la zona de los dientes posteriores. El espacio interdental incisal es más pequeño y anguloso entre los incisivos centrales, creando un triángulo isósceles con un ángulo vertical apical agudo. El espacio interdental incisal entre el incisivo central y el lateral es mayor y menos agudo.

Fig. 8. El espacio interdental incisal entre los incisivos centrales es el más pequeño y anguloso.

Fig. 9. Los espacios interdentales aumentan de tamaño entre los premolares.

Fig. 10. El borde incisal del incisivo lateral se sitúa entre 0,5 y 1 mm más hacia apical con respecto al incisivo central y el canino.
Unos incisivos centrales simétricos y unos incisivos laterales asimétricos favorecen el aspecto estético de la sonrisa. El espacio interdental incisal es más grande entre el incisivo lateral y el canino. En las mujeres, este triángulo tiende a ser más redondeado, ensanchándose hacia el canino.
Los dientes son cada vez más grandes hacia la zona de los dientes posteriores. El ángulo en el punto de contacto alcanza casi los 90 grados entre los caninos y los premolares. Estos puntos de contacto y espacios interdentales incisales son importantes para una sonrisa de aspecto juvenil.

Fig. 11. Cuanto más se desgasten los bordes incisales, tanto más se reducen los espacios interdentales incisales.

Fig. 12. A fin de restituir a estos dientes un aspecto juvenil, es preciso alargarlos y restablecer los espacios interdentales incisales.
Cuando los bordes incisales se desgastan con la edad, los puntos de contacto desaparecen progresivamente, dando a la sonrisa un aspecto envejecido. Para restituir un aspecto juvenil, es preciso alargar los dientes y restablecer los espacios interdentales incisales.

Fig. 13. Cuando las coronas pierden su longitud, los espacios interdentales incisales disminuyen de tamaño y los propios dientes parecen no sólo más pequeños, sino también más anchos.

Fig. 14. En caso de que no sea posible un alargamiento de las coronas por el lado incisal -debido a la existencia de obstáculos funcionales o porque el paciente no lo desea-, pueden desplazarse más hacia apical los puntos de contacto y los espacios interdentales incisales.

Fig. 15. Una hermosa sonrisa irradia sobre todo el rostro.
Los espacios interdentales también pueden influir en la longitud y la anchura percibidas de los dientes y en el aspecto de los bordes incisales. Modificaciones en las formas de los bordes incisales pueden estrechar o ensanchar visualmente los dientes. Los dientes con recorridos de bordes mesioincisales y distoincisales redondeados parecen más largos de lo que son en realidad.
Proporciones Dentales
El principal objetivo de toda rehabilitación dental es crear un estado de los dientes lo más natural posible, de acuerdo con el paciente. Los incisivos centrales superiores desempeñan un papel importante al establecer la impresión visual del segmento de los dientes anteriores a partir de la distribución de formas y tamaños. Formas desproporcionadas pueden perturbar la armonía facial.
El requisito más importante para la esencia de la composición es la coherencia. Para fortalecer la composición, se refuerzan los elementos dominantes de orden superior mediante elementos dominantes subordinados. En rostros agraciados por una sonrisa bonita, lo que domina de la boca se sitúa por encima de lo que domina de los ojos.
Anatomía de las Partes del Diente
Las partes del diente son la corona, la raíz y la pulpa. Los dientes son estructuras complejas que desempeñan un papel importante en la masticación de los alimentos y la fonética. Están formados por varias partes, cada una con una función específica.
- Encía: Es el tejido blando que recubre y protege el hueso alveolar y la raíz del diente. También es responsable de mantener el diente en su lugar y prevenir la entrada de bacterias en el espacio entre la raíz y el hueso alveolar.
- Raíz: Es la parte del diente que se encuentra debajo de la encía y que se inserta en el hueso alveolar. La raíz está compuesta por una o varias raíces dentales, dependiendo del tipo de diente. Además, en la raíz se encuentran los conductos radiculares, que conectan la pulpa con el exterior del diente. Su función es proporcionar estabilidad y soporte al diente.
- Pulpa: Es la parte más interna del diente y está compuesta por tejido nervioso, vasos sanguíneos y células. La pulpa es la encargada de nutrir y proporcionar sensibilidad al diente. También es responsable de la formación y desarrollo de la dentina y el esmalte.
- Corona: La corona es la parte del diente que se encuentra por encima de las encías y está cubierta por esmalte. Su función es masticar los alimentos y proporcionar una superficie para la articulación de la mandíbula.
- Dentina: La dentina es una capa de tejido blando y poroso que se encuentra debajo del esmalte y rodea la pulpa del diente. Su función es proporcionar una estructura de soporte y protección para la pulpa del diente.
- Esmalte: El esmalte es la capa más externa y dura del diente y protege la dentina y la pulpa de daños externos. Su función es proporcionar una superficie dura y resistente para morder y triturar los alimentos.
Tanto los dientes de leche como los permanentes tienen raíz. La raíz es la parte del diente que se encuentra debajo de la encía y se ancla al hueso de la mandíbula o del maxilar. En los dientes de leche, la raíz es más corta y delgada que en los dientes permanentes debido al tamaño reducido de la mandíbula en los niños.
Un incisivo y una muela tienen las mismas partes del diente: la corona, la dentina, el esmalte, la pulpa y la raíz. Sin embargo, la forma y la función de cada una de estas partes pueden variar entre los diferentes tipos de dientes.
Las partes del diente humano más duras son el esmalte y la dentina. El esmalte es la capa más externa del diente y está compuesta principalmente de minerales como el calcio y el fósforo, lo que le otorga su dureza. La dentina, por su parte, se encuentra debajo del esmalte y es también muy dura gracias a la presencia de minerales como el calcio y el colágeno.