El área interdental, también conocida como área interproximal, es el espacio situado entre los dientes. Este espacio incluye el área de contacto, el nicho interproximal y la papila interdental, que ocupa este espacio en forma de triángulo.

Importancia de los Puntos de Contacto
Los puntos de contacto en las restauraciones dentales son esenciales para mantener la salud oral, prevenir enfermedades periodontales y asegurar la estabilidad de los dientes. Utilizar matrices dentales es una solución eficaz para lograr estos objetivos y garantizar restauraciones de alta calidad.
- Protección de los Tejidos Blandos: Los contactos interproximales protegen los tejidos blandos de la boca.
- Prevención de Enfermedades: La acumulación de alimentos puede provocar enfermedades periodontales como gingivitis y periodontitis.
La clave para obtener contactos y contornos funcionales en restauraciones dentales es el uso de matrices dentales.
Funciones de las Matrices Dentales
La utilización de matrices en odontología nos permite reconstruir los dientes de acuerdo a su morfología original, manteniendo su forma, contorno y puntos de contacto, con el fin de preservar su función. Esta importante labor está a cargo de la odontología restauradora, que a lo largo del tiempo ha volcado sus esfuerzos en el desarrollo de nuevas técnicas y materiales que faciliten esta tarea.
Entre estos desarrollos encontramos los sistemas de matrices, de los cuales te hablaremos en este artículo. Pero primero, lo primero. ¿Por qué son importantes los puntos de contacto?
Material: Matrices metálicas de acero, bronce, titanio, etc. o matrices plásticas como las de acetato o celuloide, que, aunque son menos resistentes, permiten el paso de la luz de fotopolimerización.
Confección: Matrices universales fabricadas de forma estandarizada como las matrices Tofflemire o matrices individuales que son realizadas por el odontólogo según cada caso, por ejemplo, matriz individual de Hollemback.
Fabricación: Existen matrices conformadas que no pueden ser modificadas debido a su memoria elástica y, por otro lado, existen las matrices laminadas que sí son modificables para mejorar el contorno y el punto de contacto.
Sistema de adaptación: Hay matrices que no requieren porta matriz y no pierden su estabilidad y rigidez y otras en cambio, sí que necesitan de porta matriz para su adaptación apropiada.
Debe ser compatible con los materiales restauradores, por ejemplo, debes tener precaución con la incompatibilidad química de los materiales como es el caso de las matrices de celuloide, que pueden inhibir la reacción de fraguado de resinas acrílicas. También debes prestar atención a las incompatibilidades físico-químicas, como en el caso de algunos adhesivos que pueden adherir el material restaurador a la matriz, lo que evita su posterior desinserción sin la eliminación del material de relleno.
Probablemente conozcas muchos sistemas de matrices dentales y estés utilizando uno o dos de ellos. A continuación, te hablaremos sobre algunos sistemas, desde los más comunes y conocidos hasta otros más innovadores que tal vez aún no conozcas y merezca la pena probar. Cómo ves, empezamos por un clásico.
Este sistema de matriz universal fue creado por el Dr. Benjamin Franklin Tofflemire en el año 1946 y se utiliza hasta la actualidad. El sistema Tofflemire está indicado para restaurar superficies interproximales, cavidades clase II y cavidades mesio ocluso distales (MOD), tanto en dientes posteriores permanentes como temporales.

Sistemas de Matrices Seccionales
Ahora vamos a lo más actual, los sistemas de matrices seccionales son dispositivos avanzados utilizados en odontología restauradora para la reconstrucción precisa de los contactos interproximales en restauraciones clase II. Estos sistemas consisten en una matriz metálica delgada y flexible, que se adapta anatómicamente al contorno del diente, y una serie de anillos de separación que permiten una separación óptima de los dientes adyacentes.
La combinación de la matriz y los anillos asegura un punto de contacto preciso y una adaptación marginal superior, lo que facilita la reconstrucción de la anatomía proximal y reduce el riesgo de sobrecontorneado o subcontorneado de la restauración. Estos sistemas son especialmente útiles en procedimientos de resinas compuestas, ya que proporcionan una mayor visibilidad y acceso al área de trabajo, mejorando así la calidad y durabilidad de la restauración final.
¿Tienes casos clase II difíciles? El sistema de matrices seccionales Composi-Tight 3D Fusion podría ser la solución definitiva para obtener resultados predecibles y te contamos por qué.
Las matrices seccionales Composi-Tight 3D Fusion proporcionan contactos ajustados y perfectos gracias a su diseño avanzado, además este sistema cuenta con anillos con tecnología Soft Face para ceñir las matrices extrasuaves al contorno del diente para ayudarte a realizar una restauración perfecta sin que la matriz se mueva de su sitio.
El sistema de matrices seccionales myQuickmat Forte está diseñado para realizar una fuerte separación entre los dientes con el objetivo de crear puntos de contacto perfectos en la restauración de cavidades de Clase II. Su anillo de matriz seccional myRing Forte, fabricado en acero inoxidable, junto con sus extremos myTines permiten adaptarse tanto a preparaciones de caries anchas como a coronas de diferentes alturas. Los extremos myTines son esterilizables en autoclave.
El sistema de matrices seccionales Halo de Ultradent proporciona una separación ideal entre los dientes, gracias al diseño de su anillo que se ajusta con alta precisión y de la cuña que aporta una separación activa y siempre cuidadosa con los tejidos blandos. Quizá la ventaja más distintiva de este innovador sistema de matrices es que las cuñas son activas, es decir actúan separando los dientes de una forma cómoda para el paciente. Otra ventaja interesante es que el anillo del sistema Halo es universal, esto quiere decir que solo debes usar un anillo tanto para molares como para premolares.
La realización de laminados de composite directos en el sector anterior representa un desafío significativo para los odontólogos, incluso para los más experimentados, debido a su alta dependencia de la habilidad manual. Existen dos métodos principales para lograr un perfil cervical preciso: el modelado a mano alzada, que puede ser impredecible y difícil de reproducir, y el uso de matrices dentales adaptadas al cuello del diente.
En conclusión, lograr un buen punto de contacto sigue siendo uno de los mayores desafíos en la odontología restauradora moderna. Los sistemas de matrices seccionales se presentan como una excelente alternativa, ofreciendo múltiples beneficios pese a su costo superior. Estos sistemas permiten un ajuste óptimo en los espacios interproximales, logrando un mejor punto de contacto y un contorno más natural y anatómico.
Unica anterior sistema de matrices anteriores Polydentia
Higiene Interproximal
La limpieza interproximal suele ser la gran olvidada en nuestra rutina de higiene bucodental. Existen distintos métodos de limpieza interproximal.
- Hilo dental: Se indica para espacios interproximales estrechos o cerrados.
- Cepillos interdentales: Se fabrican en diferentes tamaños, lo que facilita la adaptación al espacio interdental de forma manual. El diámetro debe ser un poco mayor que el de las unidades gingivales, de forma que las cerdas o filamentos ejerzan presión sobre las superficies dentales.
- Cepillos helicoidales: Constituidos por cerdas o filamentos montadas en un alambre roscado, suelen ser pequeños y deben colocarse en un mango especial. Son efectivos para limpiar espacios moderadamente abiertos, y se utilizan a través de movimientos de entrada y salida del espacio.
- Cepillos monopenacho: Están indicados para ser utilizados en amplios espacios interdentales, para dientes en posiciones irregulares o con ortodoncia.
- Irrigadores bucales: Los irrigadores actúan por medio de agua y agentes químicos a presión, dirigiendo el chorro en forma perpendicular al eje longitudinal del diente, para evitar la lesión de los tejidos gingivales.
Más adecuados para pacientes con poca habilidad, prótesis fija o aparatos de ortodoncia, pero son una herramienta de higiene interdental útil de forma genérica. Pueden ayudar en la limpieza de las áreas proximales donde las superficies presentan contornos cóncavos o surcos radiculares, se emplean con movimientos de frotación y se activan con movimientos cortos de un lado a otro de los dientes. Ayudan a la eliminación de bacterias depositadas en la superficie de los dientes , espacios interproximales y lugares de difícil acceso. Resultan especialmente útiles en pacientes con prótesis fijas, con aparatos de ortodoncia o dientes en mala posición, pero es una herramienta complementaria útil de manera generalizada.
Se cortan de 40 a 50 cm de hilo y se enrollan las puntas alrededor de los dedos medios para su correcta manipulación. Si no conoces el PHD que corresponde al espacio interproximal, se aconseja inicialmente elegir el tamaño más pequeño e ir incrementando la talla si el cepillo trabaja holgadamente. Además si tienes diferentes localizaciones es importante que uses diferentes cepillos interproximales según el tamaño de cada uno de los espacios.
Cómo usar un irrigador bucal:
- Coloca la boquilla en el aparato e introdúcelo en tu boca, sobre los dientes y en el margen entre dientes y encías.
- Enciéndelo y ve moviendo el chorro de agua a lo largo de los dientes y margen entre encías y dientes.
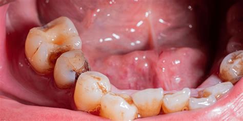
Caries Interproximal
Cuando el esmalte de los dientes se desgasta, hablamos de caries dentales. La caries entre los dientes se denomina «caries interproximal«. La carie se crea debido a la placa bacteriana que se acumula a causa de alimentos azucarados y de alto nivel de ácido. Sin embargo, hay otras razones por las que pueden aparecer las caries. ¿Qué es una carie interproximal? Una carie interproximal es una carie entre los dientes. Se produce cuando la placa se queda en el diente y se endurece, y las encías se recubren de sarro. El ácido de la placa elimina los minerales del esmalte externo. Esta erosión provoca que el esmalte se descaste, la cual se denominaría la primera fase de una caries. En cuanto una zona del esmalte es desgastada por las bacterias, el ácido entra en la siguiente capa de los dientes, la dentina.
Las personas con apiñamiento de dientes o que llevan ortodoncia o prótesis tienen más riesgo de padecer caries interproximales porque son más propensas a la acumulación de alimentos.
¿Cómo detectar una caries interproximal a tiempo?
Una forma de detectar la caries interproximal es cuando, al pasar el hilo dental, notamos que se engancha y provoca dolor. Las caries interproximales son más difíciles de detectar y, al afectar a más de un diente, son especialmente graves. Son muy importantes las revisiones periódicas en el dentista para poder detectar las caries interproximales de forma precoz. Será el especialista quien, mediante una radiografía, pueda hacer un diagnóstico y aplicar el tratamiento para las caries interproximales más adecuado.
Tratamientos para la caries interproximal
- Remineralización dental.
- Extracción de la caries.
Cuando la caries es más avanzada, habrá que extirpar la zona del diente afectada y reconstruir la pieza dental con un empaste.

Estética Dental y Análisis Facial
Tanto las clínicas dentales como los laboratorios de prótesis deben ofrecer un servicio acorde a las exigencias estéticas que nos impone el siglo XXI, ya que tener una buena imagen se considera un elemento diferenciador en las relaciones personales y profesionales. La armonía facial viene normalmente asociada a una dentadura perfecta. Así pues, realizaremos con profundidad un análisis facial, dentolabial y dental y aplicaremos estos puntos en varios casos concretos.
Cuando realizamos una prótesis la tendencia habitual es realizar unos dientes geométricos, rigiéndonos por esta única norma, y en la mayor parte de los casos es un error. Para realizar una correcta evaluación estética debemos colocar al observador frente al paciente, que deberá tener una posición natural, y a partir de ahí analizaremos todas las líneas de referencia.
Primero hallaremos la línea interpupilar, que será una línea recta que pase por el centro de los ojos. Si es paralela al plano horizontal será la referencia idónea para un análisis facial correcto. Otra línea importante es la línea media, que se dibuja trazando una línea vertical a través de la glabela, la nariz, el philtrum y el extremo de la barbilla. Generalmente, esta línea es perpendicular a la línea interpupilar, formando una T. Cuanto más centradas y perpendiculares son estas dos líneas, mayor es la sensación de armonía total sobre la cara.
Una sensación general de alineación es, por supuesto, deseable. Sin embargo, la presencia de diferencias moderadas o de irregularidades leves no compromete el resultado estético, incluso proporciona un aspecto natural y agradable. Una asimetría hasta del 3% entre las mitades derecha e izquierda de la cara puede ser bastante evidente a los ojos del espectador, pero no quiere decir que el aspecto estético del paciente se vea comprometido.
Perfil Facial
Para realizar una adecuada evaluación de la visión lateral, el paciente debe ponerse de perfil y fijar la mirada en el horizonte, de forma que el plano de Frankfort se eleve formando un ángulo de 8 grados con el plano horizontal.
- Perfil normal: Se determina midiendo el ángulo formado por tres puntos de referencia de la cara: la glabela, el subnasal y el extremo del mentón o la barbilla.
- Perfil convexo: En este perfil el valor del ángulo formado por los tres puntos de referencia se reduce creando una divergencia posterior marcada.
- Perfil cóncavo: El valor del ángulo formado por los tres puntos de referencia es mayor de 180 grados, creando una divergencia anterior.
Labios y Sonrisa
Los labios superior e inferior se encuentran lateralmente formando las comisuras labiales. Podemos clasificar los labios como delgados, medios o gruesos. Siempre se ha considerado como norma general que la altura del labio superior debía ser la mitad de la del labio inferior, aunque este canon estético también está sufriendo variaciones.
La curva incisiva normalmente es convexa y paralela a la concavidad del labio inferior, produciendo una simetría radiante. Cuando Mauro Fradeani expone el concepto de «irradiar simetría», debemos técnicamente interpretar que la convexidad de la curva incisiva junto a las proporciones ideales de los dientes transmite una radiación positiva y mucha luz. Esta simetría produce una sonrisa agradable, y habitualmente la encontramos en la gente joven. Pero ¿por qué no intentar que sea así en todos los pacientes?
Una sonrisa agradable se puede definir como aquélla que exponga totalmente los dientes maxilares junto con 1-3mm. (aproximadamente) de tejido gingival. Se llama así al tipo de sonrisa que expone una banda de tejido gingival superior a 3mm., y se considera muy poco atractiva estéticamente.
Cualquier inclinación de los incisivos maxilares hace que la línea interincisal sea una línea no fiable. Cuanto mayor es la diferencia entre estas líneas, mayor es el sentido de asimetría en la sonrisa. Los pacientes prefieren una correlación perfecta entre las líneas medias faciales y dentales, a pesar de que los expertos consideran que una total alineación crea una simetría excesiva, mientras que una desalineación leve proporciona al paciente un aspecto más natural.
Forma de los Dientes
Podemos categorizar la forma de los dientes en tres tipos fundamentales: ovoides, cuadrados y triangulares. Hay varias teorías sobre el por qué de las formas dentales. Hay algunos autores que opinan que las formas de los dientes vienen relacionadas con el sexo, personalidad y edad. También dicen que las formas redondeadas dan una imagen de simpatía y adaptabilidad y en cambio unos bordes afilados, como puede ser el de un diente con forma triangular, da aspecto de fuerte, agresivo y activo.
Clasificación de la Oclusión
- Clase I: El primer molar superior articula con el primer molar inferior de forma que la cúspide mesiovestibular del superior, encaja en el surco vestibular que separa las primeras cúspides vestibulares del primer molar inferior. A esto se le llama normoclusión.
- Clase II: Se llama también distoclusión. En posición de máxima intercuspidación, el primer molar permanente inferior ocluye a distal del superior, es decir, está más retrasado.
- Clase III: Se llama también mesioclusión. El primer molar inferior está más a mesial que el superior cuando los maxilares están en máxima intercuspidación.
El siglo XXI nos impone unas nuevas exigencias en materia de estética. Todos los seres humanos poseemos las mismas características faciales, pero cada uno de nosotros tenemos nuestras asimetrías y disarmonías que nos confieren los rasgos propios. No podemos generalizar nuestros conocimientos en prótesis y olvidar las particularidades de cada uno. Hay que analizar perfectamente todos los puntos que hemos estado tratando para conseguir una prótesis lo más armónica posible con el resto de la cara.
Proporciones del Área de Contacto Proximal (ACP)
El objetivo del presente estudio fue cuantificar la extensión incisoapical del área de contacto proximal (ACP) entre el octavo diente maxilar anterior. En 20 pacientes sanos se midió un total de 140 ACP y 160 longitudes de la corona. Se calculó y definió el cociente porcentual de la ACP:longitud de la corona clínica como la proporción del área de contacto proximal (PACP).
Las dimensiones medias de la ACP entre los incisivos centrales (IC/IC), los incisivos centrales y laterales (IC/IL), incisivos laterales y caninos (IL/CA), y caninos y primeros premolares (CA/PM) fueron de 4,2, 2,9, 2,0 y 1,5 mm, respectivamente. Las PACP medias mesiales fueron del 41 %, 32 %, 20 % y 18 %, respectivamente.
Mediante la prueba de la t para datos emparejados se demostraron diferencias significativas entre todas las ACP (p < 0,0001), excepto para los sitios CA/PM (p = 0,24). Entre los dientes maxilares anteriores vecinos se observaron áreas de contacto y no puntos de contacto. Las PACP naturales resultaron bien definidas en la dentición maxilar anterior bilateralmente.
Los estudios publicados sobre la anatomía y morfología dental han identificado la localización de los puntos de contacto entre la dentición maxilar anterior en una dirección incisoapical y han usado de modo intercambiable los términos punto y área de contacto. La importancia del punto de contacto es que define la tronera gingival y la altura de la papila interdental, al igual que la tronera incisal que se ensancha en dirección coronal desde el área de contacto. Las troneras incisales son relevantes tanto para una masticación eficiente como para proporcionar individualidad a la dentición anterior.
En los adultos, las áreas de contacto proximal (ACP) son habituales en la dentición anterior y su tamaño varía en relación con la forma de las superficies y el desgaste del diente de contacto.
En la tabla 1 se muestran los valores descriptivos de las ACP medidas en una dirección incisoapical. Las mayores alturas de la ACP se registraron entre los incisivos centrales (IC/IC) y las menores, entre los caninos y los primeros premolares (CA/PM). Las dimensiones medias de la ACP disminuyeron desde un sitio mesial a uno distal en la dentición maxilar anterior de forma bilateral.
En la tabla 2 se muestran los datos descriptivos de la ACP, definida por el PA y el PI de la ACP en relación con la longitud de la corona, con la obtención de la PACP. Las dimensiones medias (desviación estándar) de la ACP entre los incisivos centrales (IC/IC), incisivos centrales y laterales (IC/IL), incisivos laterales y caninos (IL/CA) y caninos y primeros premolares (CA/PM) fueron de 4,2 (± 0,86), 2,9 (± 0,72), 1,9 (± 0,47) y 1,5 mm (± 0,46), respectivamente.
En la tabla 3 se muestran las PACP clasificadas por la secuencia de los dientes [IC > IL > CA > PM] del 41 %, 32 %, 20 % y 18 %, respectivamente.
En las figuras 3 y 4 se ilustran las dimensiones absolutas de la ACP y las PACP en relación con las longitudes de la corona clínica. La prueba de la t para datos emparejados demostró diferencias significativas entre todas las ACP (p < 0,0001), excepto para los sitios CA/PM (p = 0,24).
En diversas guías publicadas de estética se aborda la importancia de unas localizaciones adecuadas de la ACP para restaurar la estética maxilar anterior pero no definen las dimensiones del área de contacto en relación con los puntos de referencia anatómicos reproducibles. La posición del punto de contacto en relación con el nivel de la cresta ósea adquirió interés en el mantenimiento y reconstrucción de la papila interdental.
Para la localización de cada área de contacto y, para las comparaciones, se utilizaron pruebas de la t para datos emparejados (a = 0,05). El estudio se efectuó de acuerdo con las directrices de la Declaración de Helsinki para las investigaciones clínicas.
Tablas de Datos
| Localización del ACP | Dimensión Media (mm) |
|---|---|
| Incisivo Central a Incisivo Central (IC/IC) | 4.2 |
| Incisivo Central a Incisivo Lateral (IC/IL) | 2.9 |
| Incisivo Lateral a Canino (IL/CA) | 2.0 |
| Canino a Primer Premolar (CA/PM) | 1.5 |
| Localización del ACP | PACP Media (%) |
|---|---|
| Incisivo Central (IC) | 41 |
| Incisivo Lateral (IL) | 32 |
| Canino (CA) | 20 |
| Primer Premolar (PM) | 18 |
tags: #caras #interproximales #de #los #dientes