Las caries dentales son uno de los problemas bucodentales más frecuentes, pero también uno de los más evitables. Las cavidades, también conocidas como caries, son agujeros en los dientes. Estas lesiones destruyen el esmalte y la dentina de los dientes y están causadas por bacterias que transforman los azúcares de la comida en ácidos. A menudo, las caries se desarrollan de forma silenciosa, sin dolor ni molestias aparentes, hasta que ya han afectado a capas profundas del diente.
Si como paciente te preguntas qué hacer si tengo un agujero en el diente, en Clínica Dental Urbina te explicamos. La salud bucal es fundamental en nuestro bienestar general, y uno de los problemas más comunes que nos altera nuestra salud son los agujeros en los dientes, también conocidos como caries dentales o cavidades.
En este artículo, explicaremos en detalle qué son los agujeros en los dientes, cómo se forman y cuáles son las medidas preventivas y de tratamiento que debemos conocer para mantener nuestras sonrisas radiantes y saludables.

¿Qué son los agujeros en los dientes?
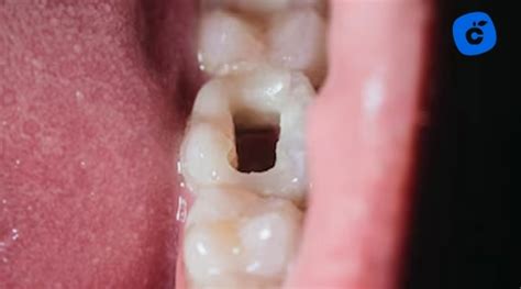
Cuando aparecen cavidades en los dientes significa que se está formando una caries. Comienzan siendo muy pequeños, casi imperceptibles, y cuando las notamos es porque ya el daño ha avanzado. Los agujeros son más comunes en las muelas, pero también aparecen en los dientes frontales.
¿Por qué aparecen los agujeros en los dientes?
La caries dental es una enfermedad infecciosa que destruye progresivamente los tejidos duros del diente. Está causada por los ácidos que generan las bacterias presentes en la boca al descomponer los azúcares de los alimentos. Las caries aparecen cuando la higiene bucal no es suficiente para eliminar la placa bacteriana. Por tanto, la placa bacteriana es la principal responsable de la aparición de la caries. Las caries se forman cuando las bacterias, presentes de manera natural en la boca, se juntan con los restos de alimentos que se quedan en la cavidad oral después de las comidas, creando ácidos que dañan el esmalte.

Además de no cepillarse dos veces al día, utilizar hilo dental y acudir al odontólogo cada seis meses, existen otros factores que pueden hacerte más susceptible a tener caries. Entre ellos mencionaremos:
- Consumir alimentos azucarados: Tener malos hábitos alimenticios aumenta las probabilidades de sufrir caries. Si en nuestra dieta diaria incluimos una gran cantidad de alimentos y bebidas con alto contenido en azúcar, estamos ayudando a que se forme placa ácida. Es el caso de los dulces y las bebidas azucaradas. Las bacterias convierten el azúcar en ácido y de ahí viene la placa dental. Esta sustancia se pega a los dientes, se endurece y produce el sarro. Todo este proceso favorece la aparición de caries. Mantener una buena alimentación te proporcionará todas las vitaminas y minerales que necesitan los dientes para estar sanos. Pero también hay alimentos que aumentan el riesgo de caries.
- Poca saliva: La saliva es un elemento natural que ayuda a la boca a deshacerse de bacterias y a lavar la placa dental. Además, impide que se produzca el efecto ácido de la placa sobre los dientes. Cuando se tiene la boca seca, es más difícil eliminar la placa dental que se acumula en los dientes, lo que puede resultar en formación de caries. Las razones para que se produzca poca saliva son:
- Consumo de medicamentos, como antidepresivos y relajantes musculares.
- Condiciones médicas subyacentes.
- Consumir poca agua.
- La edad: Las personas que tienen mayores probabilidades de desarrollar caries, son los bebés, niños pequeños y los adultos mayores. La razón de esto, es que los bebés y niños pequeños toman biberón y es difícil mantener una higiene dental adecuada. Y en el caso de los adultos mayores, debido a la edad sufren de encías retraídas y dientes desgastados.
- Falta de flúor: El fluoruro es un compuesto mineral, muy importante para el cuidado de la salud bucal, ya que ayuda a evitar que la caries avance. Además, ayuda a fortalecer el esmalte de los dientes, con lo cual los dientes se hacen más resistentes a los efectos que pueden producir los ácidos de la placa sobre los dientes. En una etapa temprana, incluso puede revertir o impedir que se formen las caries. El odontólogo en su chequeo de rutina puede verificar si le hace falta flúor. Para lo cual puede aplicar en los consultorios algún gel con flúor, indicar tomar tabletas que compensen la falta de este compuesto, o sugerir que utilices algún enjuague bucal que contenga flúor.
- El bruxismo también puede provocar roturas o huecos en los dientes.
¿Cómo saber si tengo un agujero en los dientes?
Es posible que en la parte externa el agujero se vea pequeño, pero en el interior sea mucho más grave. Si alcanza el nervio producirá un dolor intenso y será necesario destruirlo durante el tratamiento. Asimismo, dependiendo de la gravedad, puede llevar a que se desprenda una parte del diente.
Los síntomas de la caries dental no aparecen sino cuando el daño ha avanzado. En este caso, mientras más rápido acudas al dentista, hay más posibilidades de detener su avance. Es difícil detectar el agujero en sus primeras etapas porque esté es muy pequeño. Sin embargo, con el tiempo comienzan a aparecer algunas señales:
- Dolor en el diente o la muela donde está el agujero.
- Sensibilidad dental al consumir alimentos o bebidas frías y calientes, o dulces.
- Cambios de color en la pieza dental afectada.
- Bultos en las encías, estos abscesos se forman cuando hay una infección.
- Fracturas en el diente y sensibilidad al morder.
- Mal aliento y mal sabor constante en la boca.
¿Por qué tengo un agujero en la muela pero no me duele?
Un agujero en la muela suele ser señal de caries dental, que es básicamente la destrucción del tejido del diente causada por bacterias. Ahora bien, te preguntarás por qué no sientes dolor si hay un daño en el diente.
Caries incipiente o moderada (no ha alcanzado el nervio): En las etapas iniciales, la caries afecta solo el esmalte o la capa superficial de la muela, donde no hay terminaciones nerviosas. Incluso cuando avanza a la dentina (la capa interna), el dolor puede ser imperceptible o manifestarse solo como una leve sensibilidad con lo frío, caliente o dulce. Por eso, muchas caries no duelen hasta que ya están bastante avanzadas.
Caries avanzada con nervio dañado o muerto: Paradójicamente, una caries muy profunda tampoco duele en ciertos casos, y eso no es una buena señal. Puede suceder que la infección haya alcanzado la pulpa (la parte viva del diente donde está el nervio) y la haya necrosado (matado). Si el nervio muere, deja de haber sensibilidad en esa pieza dental, por lo que dejas de sentir dolor.
El agujero sigue ahí (incluso puede ser grande) pero tú no notas nada porque el diente ha perdido vitalidad. Es importante entender que, aunque no duela, la infección puede estar activa debajo: el nervio muerto se puede infectar y formar un absceso en el hueso o provocar molestias posteriormente.
Otras posibles causas de un hueco sin dolor: En casos menos comunes, el “agujero” podría deberse a una pequeña fractura o desgaste del diente (por ejemplo, por bruxismo - rechinar los dientes - o morder algo duro). Si la fractura es superficial, puede que no duela al no alcanzar zonas sensibles. Asimismo, a veces un empaste antiguo caído deja un hueco; si ese diente tenía tratamiento de nervio (endodoncia) previamente, no dolerá porque ya no tiene sensibilidad.
La ausencia de dolor no significa que no haya problema. Puede ser que la caries esté en una fase temprana o que el diente esté seriamente dañado internamente. En ambos casos, el agujero indica que la muela está picada y necesita atención. De hecho, se considera que las caries generalmente no duelen a menos que ya estén muy avanzadas y afecten al nervio o causen fractura. Por eso, es fácil que pasen desapercibidas hasta que el daño es considerable.
Aunque por ahora no sientas molestia, ignorar un agujero en el diente es arriesgado. Las caries son procesos activos: el ácido de la placa bacteriana sigue “comiéndose” tu diente día tras día.

Riesgos de no tratar un agujero en el diente
- Avance de la caries hacia capas profundas: La caries continuará extendiéndose desde el esmalte hacia la dentina y finalmente llegará a la pulpa (donde está el nervio). Cuando esto ocurre, aparecerá dolor intenso (especialmente con estímulos térmicos o al morder) y posiblemente infección.
- Infección y absceso dental: Si las bacterias invaden la pulpa, pueden generar un absceso (infección en la raíz y el hueso). Un absceso causa dolor muy fuerte, inflamación de la encía o cara, e incluso fiebre.
- Destrucción extensa del diente: Cuanto más tiempo pase, más parte de la muela será destruida por la caries. Un agujero que era pequeño puede convertirse en una cavidad grande que debilita la estructura del diente. Eventualmente, partes de la corona dental pueden romperse (quedas con la muela fracturada o medio diente).
- Pérdida de la pieza dental: Si la destrucción es muy severa, puede que no se pueda salvar la muela y haya que extraerla. Perder un diente molar es algo que queremos evitar, porque luego necesitarás sustituirlo (por ejemplo, con un implante o puente) para no comprometer tu mordida.
- Problemas en dientes vecinos o generales: Una caries no tratada puede afectar indirectamente a otros dientes. Por ejemplo, un foco de infección crónica en una muela puede eventualmente impactar la encía o el hueso circundante. Además, los restos de comida que se acumulan en el agujero causan mal aliento y mal sabor de boca persistente.

¿Qué hacer si tengo un agujero en el diente?
Al momento que detectas que tienes un agujero o presentas alguno de los síntomas debes contactar a tu odontólogo. Durante una consulta con el especialista, este determinará cuál es el tratamiento más adecuado para curar la muela picada con agujero. Si detectas que tienes un hueco o notas algún síntoma debes acudir a tu odontólogo en Salamanca . Incluso si tienes un agujero en la muela, pero no te duele, hay que concertar una cita para recibir tratamiento oportuno.
Si ya has detectado un agujero en tu muela, aunque no te duela, no debes esperar a que duela para pedir cita con tu dentista. No tratar una caries a tiempo siempre complica la solución. Pasar de un simple empaste a una endodoncia o a una extracción con implante supone más invasión, más costo y más molestias para ti. Por eso insistimos tanto los dentistas: cuando notes un agujero, no esperes a que aparezca el dolor para actuar.
La respuesta corta es: lo antes posible.
¿Cuándo acudir al dentista?
- Al primer indicio de caries visible: En cuanto notes una cavidad, hueco o mancha oscura inusual en un diente, programa una revisión. Ten en cuenta que cuando tú logras ver un agujero a simple vista, suele significar que la caries ya tiene un tamaño considerable (aunque aún no duela). Cuanto antes se trate, más sencilla será la solución.
- Si empiezas a notar cualquier síntoma leve: No ignores señales tempranas. ¿Sientes quizás alguna sensibilidad ocasional al tomar algo frío o muy dulce en esa muela? ¿Notas mal sabor en esa zona o se te queda comida atascada en el hueco? Esos son indicios de que la lesión está activa. No esperes a que sea un dolor fuerte constante. En el momento que notes “algo raro” en ese diente, es el momento de ir al dentista.
- Control dental periódico si no estás seguro: A veces el paciente no nota el agujero pero el dentista sí, mediante revisión o radiografías. Por ello, es fundamental acudir a tus revisiones periódicas (al menos una vez al año, idealmente cada 6 meses). Los dentistas podemos detectar caries incipientes antes de que tú las notes y actuar preventivamente.
Primeros pasos en casa
Mientras esperas por la cita con el dentista, debes mantener una adecuada rutina de higiene bucal, en la que te cepilles al menos dos veces al día, y complementes con el uso de hilo dental y enjuague bucal antiséptico. De este modo disminuyes la acumulación de bacterias en la boca. Además, puedes disminuir el consumo de alimentos azucarados y carbohidratos, que estos contribuyen a la formación de bacterias, que forman las caries.
¿Y si realmente no puedo ir de inmediato?
Sabemos que a veces por temas de agenda o económicos no se acude al instante. Si por alguna razón debes posponer unos días tu visita, toma precauciones: mantén una higiene rigurosa en esa zona (cepillado suave pero minucioso después de cada comida, uso de hilo dental con cuidado de no romper la frágil estructura, y enjuague bucal con flúor para ayudar a remineralizar). Evita masticar cosas duras o pegajosas con esa muela para que el agujero no se fracture más o se impacten restos. Pero considera esto solo un paliativo temporal - no es solución definitiva.
Cuándo acudir al dentista con urgencia
Siempre que notes un agujero en los dientes, deberías acudir al dentista, ya que es una caries avanzada. Pero las señales de alarma de que requieres atención urgente son: dolor intenso y constante, inflamación en la encía o la cara, presencia de pus o mal sabor en la boca, fiebre o sangrado frecuente.
Muchas veces me preguntan: “Doctor, ¿y si espero a ver si duele?”. Mi respuesta es que eso sería un error: si esperas al dolor, ya la caries estará en etapa avanzada y el tratamiento será más complicado.
✅ ¿Cómo prevenir las caries? Haz esto para no tener caries!! 👈😳
¿Cómo se arregla un agujero en la muela?
El tratamiento dependerá del tamaño y profundidad de la caries. Tras evaluar tu diente (con exploración visual y a veces radiografía para ver el alcance bajo el esmalte), el odontólogo te propondrá una solución.
Será necesario que el dentista haga una exploración para determinar qué camino tomar. Hay casos en los que se tiene que hacer una radiografía para ver la magnitud del daño. Es importante tratar la caries antes de que llegue a la raíz.
Tratamientos para un agujero en el diente
- Empaste dental (obturación): Es la solución para caries pequeñas o moderadas. Consiste en limpiar toda la caries, eliminando el tejido dañado, y luego rellenar el agujero con un material de obturación, normalmente resina compuesta (un tipo de composite del color del diente). Un empaste dental devuelve la forma y función a tu muela y detiene el avance de la caries. Este procedimiento es rápido, generalmente indoloro con anestesia local, y te permite conservar la pieza sin mayor complicación.
- Endodoncia (tratamiento de conducto): Si la caries es profunda y ha afectado la pulpa (nervio), será necesario realizar una endodoncia. Esto coloquialmente se conoce como “matar el nervio”. En este tratamiento el dentista elimina el tejido pulpar infectado, limpia los conductos radiculares y luego los sella. Después de una endodoncia, la muela queda sin nervio (sin sensibilidad), pero podemos salvar la estructura del diente. Normalmente, tras endodonciar, reconstruimos la muela; a veces se aconseja colocar una corona (funda) sobre esa muela tratada para reforzarla, especialmente si perdió mucha estructura. No temas a la palabra endodoncia: se realiza con anestesia y alivia definitivamente el dolor de una caries avanzada, aunque el proceso es más largo que un empaste.
- Extracción dental: Es el último recurso y solo se recomienda si la muela está muy destruida o la infección es tan severa que no es posible recuperarla. Significa remover la pieza por completo. Tras la extracción, se valora cómo reponer ese diente faltante, ya que dejar el espacio vacío puede ocasionar movimientos indeseados de los demás dientes o problemas masticatorios. La reposición puede ser con un implante dental, un puente fijo, etc., pero idealmente tratamos de evitar llegar a este punto.
En tu caso específico de «agujero en muela sin dolor», lo más probable es que estemos en la primera situación (caries aún empastable). Cuanto antes hagamos el empaste, mejor será el pronóstico. Si por desgracia la evaluación revela que el nervio ya está dañado o muerto, tocará la segunda opción (endodoncia) para limpiar la infección interna. En cualquier caso, el objetivo es salvar tu diente.
Nota: A veces me preguntan si existe una forma de “remineralizar” o curar la caries en casa sin taladrar. Lamentablemente, una vez que hay un agujero visible, significa que la estructura dental ya está perdida en esa zona; no hay enjuague ni pasta que la regenere por completo. Los productos con flúor pueden ayudar en caries muy iniciales (manchas blancas sin cavitación), pero si ya tienes un hueco, necesitamos intervenir clínicamente.
¿Se puede curar un agujero en el diente de forma natural?
La respuesta definitiva es no. Luego de que se forma un agujero en el diente, no hay forma de que por proceso natural el diente se autorregenere, tal como ocurre con otros tejidos del cuerpo.
No te confíes: como hemos insistido, que no haya dolor no significa que esté todo bien.
¿Qué puedo hacer mientras tanto?
- Mantén una excelente higiene bucal: cepilla suavemente esa zona después de cada comida para que no queden restos en el agujero.
- Usa hilo dental para limpiar bien entre esa muela y las adyacentes, ya que la comida atrapada puede acelerar la caries y causar inflamación en la encía.
- Evita ciertos alimentos: mientras esperas la consulta, procura no masticar cosas muy duras o crujientes con ese lado, ya que el diente está más frágil y podría astillarse.
- Revisa cambios: presta atención a cualquier cambio: si de pronto comienzas a sentir ligeras punzadas, sensibilidad o notas el agujero más grande, no lo dudes y adelanta tu visita al dentista.
- No aguantes el dolor innecesariamente: el dolor dental suele indicar que la caries ya avanzó bastante o hay infección. Programa una visita de urgencia.
- Alivio temporal del dolor: mientras acudes al odontólogo, puedes tomar un analgésico de venta libre (como ibuprofeno o paracetamol) siguiendo la dosis indicada, para manejar el dolor. Aplicar frío externo suave en la mejilla puede calmar una inflamación, pero no apliques calor porque podría extender una infección.
- No introduzcas nada en el agujero: hay quien se pone aspirina machacada, alcohol u otros remedios caseros directamente en la muela cariada - no lo hagas, podrías irritar aún más el tejido o quemar la encía.
- Mantén la cabeza elevada al dormir si el dolor empeora acostado (a veces pasa, por el aumento de presión sanguínea en la zona al estar horizontal).
En cualquier caso, con dolor o sin él, la solución definitiva es tratar la caries dental profesionalmente.
Complicaciones de los agujeros en los dientes
Tener un agujero en los dientes puede convertirse en un problema si no se trata a tiempo. Entre las complicaciones que puede presentar son:
- Pérdida del diente.
- Daño en los dientes, como fractura o dientes rotos.
- Infección en el hueso de los dientes, o en los tejidos que se encuentran alrededor.
- Hinchazón.
- Sangrado.
- Formación de abscesos dentales.
- Dolor agudo de dientes o muelas.
- Dificultad para morder.
- Problemas para masticar, y por consiguiente dejar de comer y tener problemas de alimentación y nutrición.
Para evitar llegar al extremo de tener alguna o varias de estas complicaciones, lo más recomendable es acudir inmediatamente al dentista, si sientes alguno de los síntomas que mencionamos anteriormente. Además, de la prevención con una buena higiene bucal.
¿Cómo evitar los huecos en los dientes?
Ya explicamos qué hacer si tienes un hueco en el diente; sin embargo, lo mejor es prevenir que aparezcan. Tener una rutina de higiene correcta es la mejor manera de evitar la aparición de caries. En ese sentido, cepilla tus dientes dos o tres veces al día, durante dos minutos, después de cada comida y antes de dormir. Esto te ayudará a eliminar la placa bacteriana que producen las caries.Además, debes usar enjuague bucal y seda dental ayudará a limpiar mejor tu boca y llegar hasta donde los cepillos no pueden. Al comprar la pasta dental y el enjuague, verifica que tenga flúor, ya que ayudará a fortalecer el esmalte.
Después de resolver este contratiempo, lo ideal es prevenir que vuelva a suceder. La prevención de caries es fundamental, dado que la caries dental es una de las enfermedades más comunes del mundo (afecta a prácticamente toda la población en algún momento).

- Higiene oral estricta: Cepíllate los dientes al menos 2-3 veces al día (sobre todo antes de dormir, ya que por la noche la placa bacteriana puede hacer más daño si no eliminas los restos de comida). Usa pasta dentífrica con fluoruro para reforzar el esmalte. Completa la limpieza con hilo dental o cepillos interdentales una vez al día, para remover la placa entre los dientes donde el cepillo no llega.
- Alimentación saludable y baja en azúcares: Reduce el consumo de azúcar y dulces pegajosos, ya que son el principal combustible de las bacterias que causan caries. Intenta reservar los dulces solo para momentos puntuales (postres, celebraciones) en lugar de picar todo el día. Evita beber refrescos azucarados de forma habitual; opta por agua o infusiones sin azúcar. Llevar una dieta equilibrada, rica en verduras, frutas, proteínas y lácteos, ayuda a tus dientes a estar más fuertes (por los minerales y vitaminas).
- Visitas regulares al dentista: No esperes a que algo duela para ir. Hazte revisiones periódicas cada 6 meses o al menos 1 vez al año. Tu odontólogo puede detectar caries incipientes y aplicar tratamientos preventivos (por ejemplo, selladores de fosas y fisuras en muelas, o aplicaciones tópicas de flúor) para evitar que se formen agujeros.
- Uso de sellantes y flúor (según recomendación profesional): Los sellantes dentales son una capa protectora que se coloca en las superficies masticatorias de las muelas (especialmente en niños o adultos con alto riesgo de caries) para prevenir que se acumulen bacterias en las fosas naturales.
- Evita el tabaco y controla la sequedad bucal: Fumar contribuye a enfermedades bucales y puede agravar problemas dentales (además de manchar tus dientes). Por otro lado, tener boca seca (falta de saliva) aumenta el riesgo de caries, porque la saliva ayuda a neutralizar ácidos.
Estos hábitos no solo previenen caries, también cuidan tus encías y salud general. Tu sonrisa te lo agradecerá.