Las caries son uno de los problemas de salud bucodental más frecuentes entre la población general. Se presentan como perforaciones en los dientes, resultado de la desmineralización causada por los ácidos liberados por la placa bacteriana. Afortunadamente, existen diversas opciones de tratamiento y prevención para mantener una sonrisa saludable.

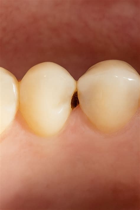
Caries interproximal.
¿Qué son las Caries?
Las cavidades características de la caries son consecuencia de la desmineralización del diente, producto de los ácidos que libera la actividad de la placa bacteriana. Sin embargo, la caries puede invadir también otras zonas de la pieza o el espacio que hay entre ellas. Las caries son un trastorno dental común, que se presenta como perforaciones en los dientes.
Tipos de Caries
- Caries de raíz: Se origina en la superficie de las raíces de los dientes.
- Caries en la superficie lisa: Esta caries se forma cuando la placa se acumula y las bacterias no se eliminan en la superficie plana de los dientes. Se puede tratar con flúor.
- Clase 1: Localizadas en la superficie oclusal del diente (por donde se mastica).
- Clase 2: Las caries se sitúan en los molares y los premolares.
- Clase 4: Las caries de esta clase sí que afectan del borde incisal.
Causas y Factores de Riesgo
La causa principal de una caries es la formación de placa, adherida a los dientes. Esta placa, cuando no se elimina, se convierte en sarro. Asimismo, el consumo excesivo de alimentos y bebidas ricos en azúcar y almidón también aumenta el riesgo de producir caries. Las personas con algún tipo de enfermedad periodontal (ya sea gingivitis o periodontitis, también vulgarmente denominada “piorrea”) tienen más riesgo de contraer este tipo de caries, ya que la destrucción del tejido periodontal expone las raíces de los dientes. Las raíces dentales son especialmente vulnerables a las bacterias de la placa porque tienen menos esmalte que las coronas que sostienen.
Las personas con apiñamiento de dientes o que llevan ortodoncia o prótesis tienen más riesgo de padecer caries interproximales porque son más propensas a la acumulación de alimentos.
Prevención de Caries
En la salud oral, prevenir es casi literalmente curar, y siguiendo unos hábitos correctos de prevención e higiene es posible evitar casi cualquier tipo de problema o complicación. Para prevenir las caries se recomienda mantener una higiene bucal y dental adecuada. Esta higiene consiste en una limpieza bucal cada 6 meses, cepillarse los dientes al menos 6 veces al día y usar hilo dental habitualmente.
Cepillarse los dientes después de cada comida y el uso diario de la seda dental son fundamentales para prevenir la caries en cualquiera de sus formas.

Uso del hilo dental.
Detección y Diagnóstico
Las caries normalmente no producen dolor. Cuando duelen es cuando son muy grandes y afectan a los nervios o fracturan el diente. La visita al dentista suele destapar la mayoría de las caries. Una forma de detectar la caries interproximal es cuando, al pasar el hilo dental, notamos que se engancha y provoca dolor. Son muy importantes las revisiones periódicas en el dentista para poder detectar las caries interproximales de forma precoz. Será el especialista quien, mediante una radiografía, pueda hacer un diagnóstico y aplicar el tratamiento para las caries interproximales más adecuado.
Muchos pacientes se dan cuenta de que tienen una caries interproximal cuando ya sienten síntomas de dolor y sensibilidad dental, momento en que la caries ya ha erosionado parte de la estructura dental. La prueba diagnóstica más adecuada para las caries interproximales será una radiografía oral y una exhaustiva exploración dental.
Tratamientos para Caries en Incisivos Laterales Superiores
En sus fases iniciales, el tratamiento puede ayudar a impedir que el daño en el diente sea mayor. En el caso de que exista dolor, se recetan analgésicos para aliviarlo. Los especialistas en maxilofacial aconsejan tratarse la caries lo antes posible. Por tanto, independientemente de que sean incisivos, caninos o molares, es fundamental tratar la caries lo antes posible. De no ser así, podría derivar en la pérdida de la pieza dental. ¡Estaremos encantados de poder atenderte y ayudarte en todo lo que necesites!
Remineralización Dental
En las caries muy pequeñas o detectadas en etapas iniciales, se puede llevar a cabo un tratamiento de remineralización con flúor. Caries en la superficie lisa: esta caries se forma cuando la placa se acumula y las bacterias no se eliminan en la superficie plana de los dientes. Se puede tratar con flúor.
Extracción de la Caries y Empaste
Cuando la caries es más avanzada, habrá que extirpar la zona del diente afectada y reconstruir la pieza dental con un empaste. Para empezar, debes saber que un empaste es un tratamiento de odontología conservadora muy sencillo, que se lleva a cabo en tan solo 45 minutos aproximadamente. Para evitar cualquier tipo de molestia, se administra anestesia local. Después, el odontólogo procede a eliminar el tejido del diente dañado por la caries; esta parte que ha quedado hueca se rellena con composite y endurece el material con una luz especial. Por último, pule el empaste y realiza una prueba de mordida.
Antiguamente, este tipo de tratamiento se hacía con amalgama de plata, un material antiestético que alteraba el aspecto de la sonrisa y que no pasaba desapercibido al llevar a cabo acciones tan cotidianas como comer, hablar o sonreír.
Un empaste dental es la solución más habitual si la caries no es muy extensa. También se le llama obturación o «relleno». Consiste en remover toda la parte del diente picada (el tejido cariado) con instrumental rotatorio (el famoso torno bajo anestesia local para que no sientas dolor) y luego rellenar el hueco con un material. Los materiales más usados hoy son la resina compuesta (que se ve del color del diente) o amalgama en algunos casos. En mi caso, el empaste fue con resina compuesta y apenas se nota.

Empaste dental.
Endodoncia
Si la caries lateral ha llegado muy profundo y ha afectado la pulpa dental (es decir, el nervio de la muela), es probable que necesites una endodoncia. Popularmente se le dice «matar el nervio». El procedimiento implica abrir un acceso en el diente, retirar la pulpa infectada, desinfectar los conductos radiculares y luego rellenarlos con un material sellador.
La endodoncia es un tratamiento para dientes infectados o descompuestos gravemente cuya causa parte del nervio del diente. El tratamiento consiste en reparar y salvar los dientes eliminando la pulpa dental, para después limpiar y sellar el interior del diente. Realizar un tratamiento de endodoncia en dientes en este estado subsana los dientes se infectados y con abscesos, que son infecciones caracterizadas por inflamación y acumulación de pus. También es necesario cuando los dientes ya han llegado a este punto.
La pulpa es necesaria durante el crecimiento y desarrollo de los dientes. Una vez que el diente ya es maduro, puede sobrevivir sin ella, gracias a los tejidos que la rodean.
Fases de la endodoncia:
- Radiografía y diagnóstico.
- Anestesia local.
- Extracción pulpar.
- Sellado radicular.
- Restauración del diente.
Corona Dental
Cuando una muela pierde mucha estructura por la caries (sea tras un empaste muy grande o después de una endodoncia), el dentista puede recomendarte una corona. La corona es una «fundita» a medida, hecha de porcelana, zirconio u otro material, que cubre todo el diente. Actúa como un casco protegiendo lo que queda de la muela. En caries laterales amplias, a veces la pared lateral del diente queda muy delgada tras limpiar la caries, y una corona evita que se fracture al morder.
Extracción Dental e Implantes
Este es el último recurso y espero que no sea tu caso. Si la muela picada está totalmente destruida o tiene una infección severa incontrolable, quizá no se pueda salvar y haya que extraer la muela. Perder una pieza dental es lo que todos queremos evitar, pero a veces es la opción más segura (por ejemplo, caries muy profundas bajo la encía, muela partida por la mitad, absceso que ha dañado el hueso). Tras la extracción, para que no te quedes sin muela, la solución más moderna es un implante dental: un tornillo de titanio que se coloca en el hueso a modo de raíz artificial, sobre el cual luego se atornilla una corona que imita al diente. También existen los puentes dentales como alternativa.
Reconstrucciones Dentales y Ortodoncia
Al combinar tratamientos de ortodoncia con reconstrucciones dentales no solo transformamos tu sonrisa, sino que también reforzamos la salud y funcionalidad de tus dientes. Las reconstrucciones dentales son procedimientos especializados que empleamos para restaurar dientes que han sufrido daños debido a caries, fracturas, desgaste o malformaciones congénitas.
Las reconstrucciones dentales cumplen un papel crucial al preparar la boca para el éxito del tratamiento de ortodoncia. Antes de colocar los brackets o los alineadores invisibles, es vital que todos los dientes estén en buen estado. Un diente reconstruido adecuadamente contribuirá de manera más efectiva al proceso de alineación dental.
Al corregir problemas como dientes fracturados o desgastados antes de iniciar el tratamiento de ortodoncia con brackets u ortodoncia invisible, se reduce el riesgo de complicaciones adicionales durante y después del proceso de ortodoncia.
- Dientes con esmalte hipoplásico.
- Dientes fracturados.
- Desgaste dental excesivo.
- Microdoncia.
Dientes Conoides
Los dientes conoides obtienen su nombre de su forma cónica, como puedes imaginar. También pueden desarrollarse como resultado de factores ambientales como la exposición al fluoruro. Si bien estos dientes por sí solos no causan ningún problema más allá de la apariencia de una sonrisa, en ocasiones contribuyen a problemas dentales más serios.
Las piezas próximas a los dientes cónicos se desplazan con frecuencia para rellenar huecos provocados por diastemas. Las carillas dentales son una fina lámina de porcelana o composite que se pega a la superficie de los dientes. Las coronas dentales también se pueden utilizar para proteger y restaurar la estética de piezas conoidales al colocarse debajo de fundas o coronas dentales. Es hora de restaurar el equilibrio de su sonrisa tras una revisión con nuestros dentistas y la evaluación de tu caso.
¿Cómo Identificar una Muela Picada por el Lateral?
Cuando hablamos de «muela picada por el lateral», nos referimos a una caries dental que se ha desarrollado en el costado de una muela. En términos odontológicos, suele tratarse de una caries interproximal (entre dos dientes) o de una caries en la cara lateral externa o interna de la pieza. Popularmente a cualquier diente con caries le decimos «diente picado» o «muela picada». No importa el lugar exacto: significa que las bacterias de la placa han destruido parte del esmalte y la dentina, formando un agujero.
Signos de una muela picada:
- Sensibilidad al comer o beber.
- Dolor localizado.
- Mancha u orificio visible.
- Mal aliento o sabor desagradable.
- Inflamación de encía cercana.
¿Qué Hacer Ante una Muela Picada?
Mi recomendación profesional y personal es acudir al dentista cuanto antes. No esperes a que empeore: Una caries nunca se detiene por sí sola. Cuanto más esperes, más profundo cavará el agujero la bacteria. Puedes tomar un analgésico de venta libre (como ibuprofeno o paracetamol) siguiendo las indicaciones del prospecto, para controlar el dolor. Un enjuague bucal de agua tibia con sal varias veces al día me ayudó a disminuir la inflamación y a mantener la zona limpia temporalmente. Algunos pacientes utilizan clavo de olor (que contiene eugenol, un anestésico natural) colocándolo cerca de la muela para adormecer un poco la zona; es un remedio casero que puede brindar alivio momentáneo.
Es crucial que sigas limpiando tus dientes, aunque con cuidado. Cepilla suavemente alrededor de la muela picada después de cada comida, y usa hilo dental con delicadeza para eliminar restos en esa área. Muchos piensan que por dolerles, es mejor no tocar la muela; al contrario, mantenerla libre de restos de comida ayuda a que el dolor no se agrave por presión de partículas atascadas o infecciones en la encía.
Por experiencia te digo que conviene masticar del lado contrario a la muela afectada y evitar alimentos muy fríos, calientes o azucarados hasta resolver el problema.
Cambios en los Hábitos Después del Tratamiento
Después de pasar por esta experiencia, cambié algunos hábitos para evitar que se repita.
- Higiene interdental diaria.
- Cepillado con fluoruro.
- Dieta baja en azúcar y ácido.
- Visitas regulares al dentista.
- Sellantes y flúor tópico.
Preguntas Frecuentes
¿Debo ir al dentista si tengo una muela picada, aunque no me duela mucho?
Sí. Aunque no tengas mucho dolor ahora, una muela picada no se cura sola y eventualmente empezará a doler. Acudir pronto al dentista evita que la caries avance.
¿Cómo sé si tengo una caries en el lateral de una muela?
Si notas sensibilidad o dolor al morder en un punto específico, o ves una mancha oscura en el costado de la muela, son indicios. Pasar hilo dental puede ayudarte a detectar caries interdentales: si el hilo se rompe, sale con mal olor o con manchas marrones, puede haber caries entre esas piezas. De todos modos, la forma más segura es visitar al dentista para una evaluación con examen clínico y radiografías.
¿Puedo curar una muela picada en casa?
No. Las caries, una vez que han creado un agujero en el diente, no pueden revertirse con remedios caseros ni pasta de dientes. Lo único que puede eliminar la caries es el instrumental del dentista, limpiando la zona afectada y rellenando el hueco.
¿Duele arreglar una muela picada?
¡Por fortuna, no tiene por qué doler! Los procedimientos como el empaste o la endodoncia se realizan con anestesia local, así que no sentirás dolor durante el tratamiento. Puede haber un poco de molestia o sensibilidad después, cuando pasa la anestesia, especialmente si se trató el nervio o si la zona estaba inflamada.
¿Qué pasa si ignoro una muela picada?
Ignorar una muela picada puede llevarte a problemas serios. La caries avanzará hasta el nervio causando un dolor intenso (pulpitis) y luego el nervio puede morir. Tras eso, las bacterias siguen propagándose y pueden formar un absceso dental, que es una infección con pus muy dolorosa y peligrosa (puede hinchar la cara e incluso derivar en un problema de salud general si la infección se disemina). Además, podrías perder la muela si la destruye por completo o si la infección daña el hueso de soporte.
Estadísticas de Caries
Las caries afectan actualmente al 21% de la población (según datos del Instituto Nacional de Estadística), siendo una de las patologías dentales más comunes.
Tabla Resumen de Tratamientos
| Tratamiento | Descripción | Indicación |
|---|---|---|
| Remineralización con flúor | Aplicación de flúor para fortalecer el esmalte. | Caries en etapas iniciales. |
| Empaste | Extracción del tejido cariado y relleno con composite o amalgama. | Caries no muy extensas. |
| Endodoncia | Eliminación de la pulpa infectada y sellado de los conductos. | Caries que han afectado la pulpa dental. |
| Corona dental | Colocación de una funda protectora sobre el diente. | Dientes con gran pérdida de estructura. |
| Extracción e implante | Remoción del diente y reemplazo con un implante. | Dientes destruidos o con infecciones severas. |