Las caries dentales son uno de los problemas más comunes de salud oral a nivel mundial, afectando a personas de todas las edades. Este trastorno se caracteriza por la aparición de perforaciones o daños en la estructura de los dientes, lo que puede llevar a complicaciones más graves si no se trata a tiempo. Las caries son pequeñas perforaciones en la superficie de los dientes que, en su etapa inicial, pueden ser imperceptibles.

¿Qué es la Caries Dental?
La caries dental es una enfermedad infecciosa que destruye progresivamente los tejidos duros del diente. Está causada por los ácidos que generan las bacterias presentes en la boca al descomponer los azúcares de los alimentos. La caries dental es una de las enfermedades bucodentales más habituales tanto en niños como en adultos. La caries es una enfermedad bucodental de origen bacteriano.
La caries es una enfermedad en la que la placa dental acumulada sobre el diente genera ácidos que desmineralizan la superficie dental, llegando a destruir las capas superficiales y creando pequeñas cavidades. Son el resultado de la acción de bacterias presentes en la boca que transforman los alimentos, especialmente los azúcares y almidones, en ácidos.
Caries en niños: cómo evitarla y tratamiento
Causas de las Caries
El proceso de formación de caries comienza con la acumulación de placa en los dientes. La placa dental es una sustancia pegajosa compuesta por bacterias, ácidos, restos de alimentos y saliva. Las bacterias en la placa descomponen los carbohidratos, como los azúcares y los almidones, generando ácidos que atacan el esmalte dental.
El sarro, además de favorecer la inflamación de las encías, sigue acumulando bacterias y ácidos que deterioran aún más el esmalte dental, creando orificios conocidos como caries. La caries es una enfermedad multifactorial, es decir, que se origina por una combinación de varios factores, como las bacterias presentes en la boca, el consumo de determinados alimentos o bebidas ricos en azúcares o carbohidratos, y una higiene bucodental incompleta o insuficiente.

Las caries se forman cuando las bacterias, presentes de manera natural en la boca, se juntan con los restos de alimentos que se quedan en la cavidad oral después de las comidas, creando ácidos que dañan el esmalte. Por lo tanto, la placa bacteriana es la principal responsable de la aparición de la caries.
Factores de Riesgo Adicionales
- Higiene dental insuficiente: La caries se debe principalmente a una higiene dental insuficiente.
- Acidez de la saliva: Algunas personas tienen más tendencia a desarrollar caries que otras. Esto se debe a que todos tenemos un nivel de acidez (pH) de la saliva diferente.
- Flujo de saliva reducido: Nuestra saliva ayuda a proteger los dientes de la caries. Por eso, las personas con bajo flujo de saliva corren más riesgo de tener agujeros en los dientes.
- Esmalte dental defectuoso: Sólo un esmalte dental intacto y duro constituye una barrera eficaz contra las bacterias causantes de la caries. Los investigadores han descubierto que un esmalte débil o defectuoso puede estar causado por genes mutados.
- Embarazo: Durante el embarazo , las futuras madres corren especial riesgo de desarrollar caries o enfermedades de las encías. Esto suele deberse a cambios hormonales.
Tipos de Caries
La caries puede tener muchos nombres, dependiendo de dónde se produzca:
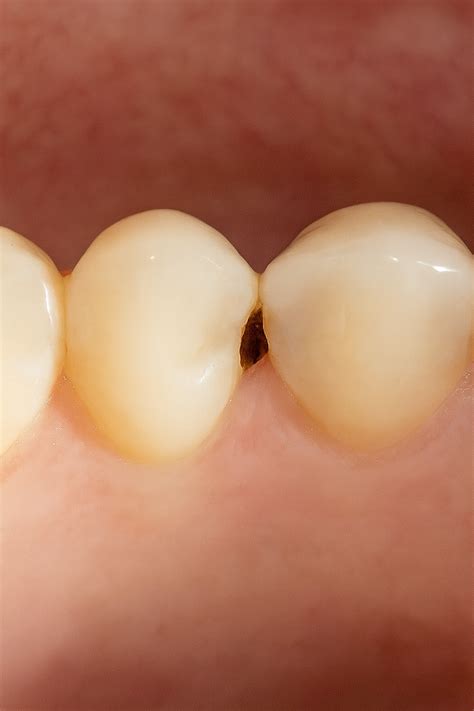
- Caries interproximal: Este término se refiere a la caries que se forma entre los dientes; es decir, en las superficies de contacto de dos dientes adyacentes. Estas zonas son especialmente susceptibles porque a menudo se olvidan durante el cepillado.
- Caries oclusal: Se trata de la caries que se forma en el diente, es decir, en las superficies masticatorias de los molares.
- Caries cervical: La caries dental del cuello se produce cuando los cuellos de los dientes están expuestos y se forma caries en ellos. Esto ocurre con más frecuencia en las personas mayores, que son más propensas a tener encías retraídas y cuellos dentales expuestos.
- Caries secundaria: La caries secundaria describe la formación de caries en zonas que ya han sido tratadas. Así, esta nueva caries se desarrolla en la zona de empastes y coronas; también bajo un empaste o corona. Esta nueva formación de caries se denomina recidiva de caries. Suele ser el resultado de un tratamiento inicial deficiente.
Síntomas de las Caries
Los síntomas de la caries varían según su tamaño, la fase en la que se encuentren y la ubicación. En sus primeras etapas, las caries iniciales raramente causan dolor. En sus primeras etapas, las caries dentales no suelen causar dolor o molestias. La mayoría de las caries se descubren durante los exámenes dentales de rutina.

Una posible explicación es que las caries suelen ser asintomáticas en el estadio inicial, es decir, al principio no provocan dolor ni inflamación u otros síntomas perceptibles, por lo que la persona no suele darse cuenta de que tiene caries. Por eso son importantes las revisiones regulares, ya que el dentista sí que detecta las caries en una etapa inicial, cuando son más fáciles de tratar, y nos puede aconsejar cómo prevenirlas.
A medida que avanza, podemos notar un dolor repentino en los dientes o muelas sin causa aparente o al morder. A medida que la caries se acerque la pulpa dental, el dolor se irá volviendo más intenso porque las bacterias se aproximan al nervio dental. En una fase más avanzada, se observa un borde amarillo, marrón o negro a nivel de la zona cariada.
Signos Tempranos de Caries
- Cambio de color en el diente que se vuelve blanquecino y sin brillo.
- Sensibilidad repentina a alimentos calientes o fríos.
- Reacción desagradable a los alimentos dulces.
Tratamiento de las Caries
El tratamiento para la caries depende de la fase en la que se encuentra. Cuanto más profunda sea la caries, más minucioso y complejo deberá ser el tratamiento a realizar por el odontólogo. El tratamiento de las caries es esencial para evitar el daño adicional a los dientes.

- Remineralización dental: En las caries muy pequeñas o detectadas en etapas iniciales, se puede llevar a cabo un tratamiento de remineralización con flúor. En esta fase temprana de la enfermedad, no es necesario utilizar un taladro. Es probable que el dentista recomiende el uso de un dentífrico altamente concentrado en flúor para remineralizar el diente. También se puede considerar como terapia la aplicación de varias aplicaciones de flúor por el propio dentista.
- Rellenos dentales: Si la caries es pequeña, el dentista puede eliminar la parte afectada del diente utilizando una fresa dental y luego rellenar el hueco con materiales como resina compuesta, ionómero de vidrio o amalgama. Si la caries ya ha alcanzado la dentina, a menudo hay que recurrir a la fresa. Con este aparato se elimina la caries de la zona afectada. Por supuesto, la "cavidad" que se crea allí debe rellenarse de nuevo.
- Coronas dentales: Si la caries es extensa y ha debilitado significativamente el diente, es posible que se requiera una corona.
- Tratamiento de conductos: Si la caries ha avanzado lo suficiente como para afectar el nervio del diente o si se ha desarrollado un absceso dental, el dentista puede recomendar un tratamiento de conductos. Si la caries ha avanzado y ha afectado a la pulpa dental, puede que sea necesaria una endodoncia, es decir, desvitalizar el nervio.
Prevención de las Caries
La prevención de las caries es posible a través de una buena higiene bucal y hábitos saludables. No cabe la menor duda de que, si hablamos de caries, el mejor tratamiento es una buena prevención. La mejor forma de evitarlas siempre será la prevención, mediante una correcta alimentación y sobre todo cuidando los hábitos de higiene dental: el cepillado dental tres veces al día y el uso de hilo dental o de cepillos interdentales una vez al día serán tus grandes aliados para prevenir las caries interproximales.

En la Clínica Ahoa aplicamos un plan de prevención en los pacientes con un alto riesgo en caries. El primer paso será hacer un correcto diagnóstico de los factores que predisponen. Para ello hacemos un análisis de la calidad y cantidad de saliva y un análisis de la concentración de cepas de bacterias provocadoras de la caries. De esta manera establecemos el riesgo para sufrir la enfermedad, es decir, la caries.
- Cepillado regular: Es importante cepillarse los dientes al menos dos veces al día durante tres minutos con una pasta dental con flúor. Asegúrate de cepillarte los dientes al menos dos veces al día durante tres minutos.
- Uso de hilo dental: El hilo dental elimina la placa y los restos de comida entre los dientes, áreas que a menudo se pasan por alto solo con el cepillado. Para prevenir la caries en los espacios interdentales, es importante limpiarlos con regularidad. Con los cepillos interdentales, podrá llegar fácilmente incluso a los nichos más finos y estrechos.
- Uso de flúor: El flúor ayuda a fortalecer el esmalte dental y a proteger los dientes contra las caries.
- Aplicación de sellantes dentales: Los sellantes son recubrimientos plásticos que se aplican sobre las superficies de masticación de los molares para prevenir la acumulación de placa en los surcos profundos. Para prevenir futuras caries, especialmente en las áreas de difícil acceso como los molares, podemos aplicar selladores dentales.
- Dieta saludable: Limitar el consumo de alimentos y bebidas azucaradas y optar por alimentos más saludables puede reducir el riesgo de caries. Evitar el consumo de alimentos y bebidas con un alto contenido de azúcar o hidratos de carbono.
- Visitas periódicas al dentista: Por otro lado, es altamente recomendable realizar visitas periódicas al odontólogo pediátrico, normalmente antes del primer año de edad o una vez erupcionan las muelas de leche. Las revisiones dentales son muy importantes para detectar las primeras fases de la caries. Los exámenes dentales preventivos deben realizarse aproximadamente cada tres a doce meses; los intervalos de tres meses son ya muy próximos y se recomiendan sobre todo para las personas que tienen dientes muy susceptibles. Por regla general, lo habitual es un intervalo de doce meses. A los niños se les suele ver cada seis meses.
- Enjuague bucal: Seguir una correcta rutina de higiene bucodental, que incluya cepillado, enjuague bucal e hilo dental, especialmente antes de irnos a dormir.
Caries en Niños
La caries infantil es quizás una de las enfermedades más comunes en la clínica dental. En las edades más tempranas (desde los 6 meses hasta los 5 años de edad, aproximadamente) debido a la ingesta frecuente de azúcares, la falta de higiene bucodental, la hipoplasia dental y sobre todo al hábito de dormir con el biberón dentro de la boca. Por último cabe destacar que es importante cuidar y conservar los dientes de leche, tal y como se hace con los dientes definitivos.

Hablando de caries infantil, el tratamiento puede ser muy variado ya que dependerá de la afección o no de la dentición definitiva, la edad del niño y la evolución de la caries. Las caries infantiles son con diferencia la patología más común en la dentadura de los niños.