¿Has notado manchas negras en tus dientes? Es una preocupación común. Muchos pacientes llegan preocupados por tener los dientes manchados de negro o con puntitos oscuros. En esta guía te explicaré qué son estas manchas negras, por qué aparecen, cómo eliminarlas de forma segura y, sobre todo, cómo prevenirlas. Hablaremos, como si estuviéramos en la consulta, respaldando cada consejo con experiencia profesional y evidencia científica.
Las manchas en los dientes son una preocupación dental común que puede afectar tanto la estética como la salud bucodental. Estas manchas pueden aparecer por diversas razones: comer alimentos ricos en colorantes, deficiencia en la higiene bucal, por envejecimiento natural… Dependiendo también de la causa por la que aparezcan ciertas manchas dentales, pueden eliminarse de manera más rápida o no. Es vital entender los diferentes tipos de manchas y sus causas para poder abordarlas eficazmente. Si te miras al espejo y ves tonos amarillos, marrones o puntos blancos, necesitas entender tipos de manchas en los dientes y qué hacer con cada una.

Tipos de Manchas en los Dientes
Dado que las manchas pueden tener distintos orígenes, también existen diferentes tipos. Los tipos de manchas en los dientes se dividen en:
- Extrínsecas: Superficie por café/tabaco.
- Intrínsecas: Dentro del esmalte/dentina.
- De desarrollo: Fluorosis/hipoplasias.
- Por caries.
Comúnmente las manchas dentales son de carácter extrínseco o intrínseco.
Manchas Dentales Extrínsecas
Son manchas que se encuentran en la superficie dental y suelen aparecer por la acumulación de alguna sustancias concretas. Son aquellas que se forman en la superficie externa del esmalte dental. Generalmente, son causadas por el contacto con sustancias que pueden teñir o manchar los dientes. Al ser manchas que se localizan en la superficie del diente, son fáciles de eliminar. Normalmente, con una higiene bucal diaria, las manchas desaparecen de manera progresiva en poco tiempo. Este tipo de manchas suelen ser marrones o blancas y su tamaño pueden ser variables.
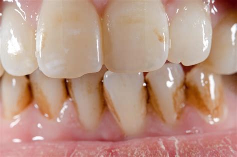
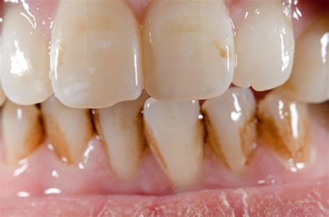
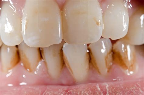
Las manchas negras en los dientes son decoloraciones oscuras (marrón oscuro o negras) que se adhieren al esmalte dental. Visualmente pueden verse como líneas cercanas a la encía, puntitos negros en la superficie o zonas oscurecidas en alguna pieza dental. En mi experiencia, estas pigmentaciones pueden tener diferentes causas. Algunas son simples tinciones externas por nuestros hábitos (como fumar o tomar café), y otras pueden indicar afecciones internas del diente (como una caries dental iniciándose).
Manchas Dentales Intrínsecas
Las manchas intrínsecas, por otro lado, afectan la estructura interna del diente, la dentina. Este tipo de manchas son más complejas ya que aparecen en el esmalte dental o incluso, se forma en la capa de marfil que tenemos en los dientes. Estas manchas aparecen como consecuencia de algún problema en la estructura dental por la ingesta de determinados medicamentos, por enfermedades concretas…
El tratamiento de las manchas intrínsecas puede variar según la causa y la gravedad. Puede incluir opciones como blanqueamiento dental, carillas o tratamientos de restauración dental.
Causas Comunes de las Manchas en los Dientes
Las manchas dentales pueden ser ocasionadas por distintos factores externos o internos y normalmente, son un aviso de la aparición de posibles caries. Por lo que es recomendable que no pierdas de vista tu salud dental.

Pigmentos de Tabaco y Alimentos/Bebidas
El tabaquismo y el consumo habitual de ciertas bebidas oscuras son de las causas más comunes de manchas. Fumar cigarrillos deposita alquitrán y nicotina en el esmalte, generando pigmentaciones amarillas que con el tiempo pueden volverse marrón oscuro o negras. El tabaco es una de las principales causas de manchas intrínsecas y extrínsecas en los dientes. Los químicos presentes en el tabaco pueden amarillear los dientes y dejar manchas difíciles de eliminar. Del mismo modo, bebidas como café, té negro, vino tinto o refrescos de cola contienen taninos y cromógenos que tiñen la superficie dental. Una alimentación rica en pigmentos y ácidos puede tener un impacto significativo en la apariencia de tus dientes. Algunos alimentos y bebidas que merece la pena mencionar incluyen el café, el té, el vino tinto, los refrescos oscuros, los alimentos con colorantes artificiales y los cítricos. Si los consumes a diario y no llevas una higiene rigurosa, es normal que aparezcan manchas oscuras extrínsecas en los dientes.
Abuso de Enjuagues Bucales con Clorhexidina
Los colutorios antisépticos a base de clorhexidina son muy útiles tras cirugías o para tratar infecciones de encías. Sin embargo, un uso prolongado o indiscriminado de la clorhexidina puede teñir los dientes. Este es un efecto secundario bien conocido: las sales de clorhexidina interactúan con compuestos de la dieta (como taninos de té, café, vino) y producen decoloraciones marrones-negruzcas sobre el esmalte. Hay algunos medicamentos que pueden alterar el esmalte dental. La clorhexidina es una sustancia antiséptica que se encuentra en algunos enjuagues y colutorios bucales. Los odontólogos la pautan tras realizar determinados tratamientos dentales, como los raspados y alisados radiculares (curetajes) o las cirugías de implantes. Por eso, solo debemos usar enjuagues de clorhexidina bajo indicación profesional y por el tiempo recomendado. Sin embargo, su uso no controlado da lugar a antiestéticas tinciones y manchas marrones en los dientes.
Suplementos de Hierro
¿Tomas suplementos de hierro líquidos? Tanto en niños como en adultos, el hierro en forma líquida puede causar manchas oscuras en los dientes. Esto ocurre por una reacción química: el hierro se combina con compuestos de la saliva y se deposita en el esmalte, formando una pigmentación negra. Suele verse especialmente en bebés o niños que toman gotas de hierro para la anemia - a veces los padres notan los dientes de leche con una tonalidad gris oscura. La buena noticia es que estas manchas por hierro no dañan el diente y suelen ser removibles. Cepillar los dientes con pasta fluorada puede atenuarlas; incluso se recomienda usar bicarbonato de sodio suavemente para ayudar a quitarlas.
Desgaste o Daños en el Esmalte
El esmalte dental es la capa más externa del diente, dura y de color blanco translúcido. Si el esmalte se desgasta o agrieta, puede exponer la dentina subyacente (que es más oscura) o crear rugosidades donde se fijan pigmentos. ¿Qué puede dañar el esmalte? Consumir alimentos muy ácidos con frecuencia (cítricos, vinagre, refrescos) puede erosionarlo lentamente. El bruxismo (rechinar los dientes) también lo desgasta, al igual que cepillarse con demasiada fuerza o usar pastas abrasivas. Cuando el esmalte está debilitado, es más fácil que se tiña de negro por los alimentos o la placa bacteriana. Incluso pequeños defectos del esmalte desde la formación del diente pueden manifestarse luego como manchas oscuras. Estas causas son menos evidentes a simple vista, pero un dentista las puede diagnosticar.
Caries Dental Incipiente
Una caries dental es la destrucción del tejido del diente por bacterias. En etapas iniciales puede lucir como una mancha blanquecina opaca en el esmalte, pero conforme avanza suele oscurecerse. Caries incipiente: la caries comienza con una ligera descalcificación del esmalte. Muchas veces, lo que parece una “manchita negra” en realidad es una caries en desarrollo debajo del esmalte. Especialmente si la mancha negra aparece en la unión entre el diente y la encía, o en las fisuras de una muela, debemos sospechar. Otros signos de caries incluyen sensibilidad al frío o calor, dolor espontáneo, mal aliento o notar un pequeño agujero en el diente. Es crucial detectar la caries a tiempo: al menor indicio se debe tratar (limpiando la zona y colocando un empaste) antes de que siga avanzando. Más adelante te explico cómo diferenciar una mancha superficial de una caries. Pero ten en cuenta que no todas las manchas negras son caries, ni todas las caries se ven negras - a veces hay caries de color marrón claro o incluso blanquecinas.
Acumulación de Sarro
La placa bacteriana que no se elimina adecuadamente con la higiene diaria se endurece formando sarro (cálculo dental). El sarro inicialmente es amarillo o marrón claro, pero con el tiempo puede volverse muy oscuro. Los dientes con sarro tienen una apariencia amarillenta que se manifiesta, sobre todo, en sus bordes. En algunos pacientes vemos un borde negro en la base de los dientes, justo donde tocan la encía: esa es la placa calcificada con pigmentos de alimentos y sangre. De hecho, el sarro subgingival (bajo la encía) suele tomar un color negro por absorber pigmentos sanguíneos en esa zona. Si notas manchas negras entre los dientes y la encía, es muy probable que sea sarro antiguo. Aunque tengas buena higiene, a veces hay zonas de difícil acceso donde el sarro se acumula. La solución es una tartrectomía, es decir, una limpieza dental profesional para eliminar todo ese cálculo. Recuerda: el sarro no se quita con cepillo en casa, solo con instrumental especializado en la clínica. El no cepillar los dientes después de cada comida provoca que los restos de alimentos se conviertan en placa bacteriana y, posteriormente, en sarro.
Bacterias Cromógenas (Manchas Negras en Niños)
Quiero mencionar un caso especial: la “mancha negra del niño” o melanodoncia. Es común que padres se asusten porque sus hijos pequeños presentan una línea negra en los dientes de leche, a pesar de cepillarlos bien. Paradójicamente, estas manchas negras infantiles no se deben a mala higiene, sino a la acción de ciertas bacterias cromógenas en la boca. Estas bacterias producen compuestos de hierro y azufre que se depositan como una línea oscura alrededor del diente. Lo curioso es que varios estudios han observado que los niños con este tipo de manchas suelen tener menos caries que el promedio, posiblemente porque la placa con esas bacterias es menos agresiva. En todo caso, la melanodoncia no es peligrosa ni cariosa, pero sí antiestética. Suele desaparecer espontáneamente al crecer, pero mientras tanto, se puede remover con limpiezas periódicas en el dentista. Si tu hijo tiene estas manchas negras, no te alarmes en exceso: acude a la consulta para confirmar que realmente es la mancha negra cromógena y no otra cosa, y el higienista podrá pulirlas en cada visita.
Traumatismos
Los golpes en la boca también son una de las principales causas por las que aparecen manchas. La pulpa es la parte más interna del diente y la que alberga, a su vez, los vasos sanguíneos y las terminaciones nerviosas. Por ello, si el golpe alcanza la pulpa se produce una necrosis pulpar. Es decir, el nervio muere y, como consecuencia, el diente cambia su color y se vuelve más oscuro.
Hipoplasia del esmalte
Hipoplasia del esmalte: se trata de una malformación del esmalte que tiene lugar durante la niñez. Se trata de un defecto en el desarrollo del esmalte dental que puede aparecer por diversas causas, como la falta de calcio o flúor durante la infancia. Las manchas de hipoplasia suelen ser de color blanco o marrón claro y tienen una superficie lisa.
Fluorosis
La fluorosis es una condición que se produce por el consumo excesivo de flúor, especialmente durante la infancia.
¿Mancha Negra o Caries?
Una pregunta frecuente de mis pacientes es: “¿Cómo saber si esta mancha negra es una caries?”. La confusión es normal, porque a simple vista pueden ser parecidas. Mi consejo: no esperes a estar seguro por tu cuenta; pide una revisión.
- Localización: Las manchas extrínsecas por café/tabaco suelen aparecer como velos o líneas en varios dientes (por ejemplo, todos los frontales manchados cerca de la encía). En cambio, una caries suele afectar un diente en particular.
- Textura: Si al pasar la uña la mancha no se quita pero la superficie se siente lisa, podría ser sarro muy adherido o mancha superficial. En una caries ya avanzada suele haber una cavidad rugosa o un pequeño hueco en el diente. (¡Ojo!: No intentes raspar fuerte, podrías lastimarte.
- Síntomas: Una mancha por pigmento generalmente no duele ni causa molestias. Una caries en cambio puede dar sensibilidad al tomar algo frío, caliente o dulce, dolor espontáneo o mal aliento persistente.
- Color: Aunque hablamos de “manchas negras”, las caries no siempre son negras intensas; algunas son marrones o blancas opacas. Sin embargo, cuando la lesión de caries avanza y pigmenta, sí puede verse oscura.
En cualquier caso, la confirmación la hará el dentista mediante examen clínico y, si es necesario, una radiografía. Mi recomendación sincera: ante una manchita nueva que no desaparece con el cepillado, no esperes a que duela. Es mejor descartar caries temprano. Si resulta ser solo una mancha superficial, saldrás de dudas y podremos limpiarla fácilmente.
Tratamientos para Eliminar las Manchas en los Dientes
El tratamiento para eliminar las manchas negras dependerá de la causa que las origina. El tratamiento para eliminar las manchas de los dientes dependerá del tipo de mancha y de su causa. En algunos casos, será suficiente con una limpieza dental profesional. Sin embargo, en otros casos puede ser necesario realizar un tratamiento más avanzado, como un blanqueamiento dental láser o la colocación de carillas dentales de composite o de porcelana. En nuestra clínica, siempre hacemos primero una evaluación para determinar el motivo: no es lo mismo tratar una mancha de café que una caries o un diente oscurecido por un golpe.

Limpieza Dental Profesional
Para la mayoría de las manchas extrínsecas (pigmentos de tabaco, café, sarro superficial, manchas por suplementos), la solución inicial es una limpieza dental profesional. En la limpieza, el odontólogo o higienista utiliza ultrasonidos y pastas de pulido para remover placa, sarro y manchas externas. Es un procedimiento sencillo, indoloro y que deja los dientes limpios y más claros. Si tus dientes están manchados pero estructuralmente sanos, con una o dos sesiones de higiene profesional al año lograrás mantener a raya esas pigmentaciones. En Clínicas Cleardent recomendamos una profilaxis anual o semestral según cada caso, ¡es la mejor forma de mantener tus dientes brillantes y prevenir problemas!
Empastes Dentales (Obturación)
Si determinamos que la mancha negra era una caries, entonces hay que tratar la caries cuanto antes. El tratamiento estándar es realizar un empaste dental (obturación). Consiste en limpiar cuidadosamente la zona cariada - eliminando la parte del diente infectada por bacterias - y luego rellenarla con un material de resina compuesto del color del diente. De este modo, se detiene la progresión de la caries y el diente recupera su aspecto sano (sin puntos negros). Un empaste dental es un procedimiento común y rápido, generalmente se realiza con anestesia local y en una sola cita. Tras el empaste, es importante mantener una buena higiene para que no aparezcan nuevas caries ni manchas alrededor.
Si la caries estaba muy avanzada (por ejemplo, había afectado el nervio y el diente se puso oscuro desde el interior), es posible que se necesite un tratamiento más extenso como una endodoncia (desvitalización del diente) o incluso la colocación de una corona. Pero esos son casos más extremos.
Blanqueamiento Dental Profesional
Cuando los dientes presentan manchas generalizadas o un tono amarillento/marrón oscuro debido a hábitos, un blanqueamiento dental profesional puede ser la solución ideal. El blanqueamiento dental es una opción efectiva para eliminar manchas extrínsecas y recuperar la luminosidad de tus dientes. Este procedimiento seguro y probado puede llevarse a cabo en la comodidad de nuestra clínica dental. Durante el tratamiento, se utiliza un gel especial que elimina las manchas y decoloraciones superficiales sin dañar el esmalte dental. El blanqueamiento es un tratamiento estético en el que aplicamos un gel de peróxido sobre el esmalte y lo activamos con luz para aclarar varios tonos el color del diente. Es efectivo tanto para manchas extrínsecas (tabaco, café) como para pigmentaciones intrínsecas leves. Quiero ser claro: el blanqueamiento no sustituye a la limpieza; primero debemos limpiar sarro y manchas superficiales. Pero tras la limpieza, si el diente sigue teniendo un color oscuro no deseado, blanquear puede eliminar esas pigmentaciones profundas y uniformar el tono. En Cleardent ofrecemos tanto blanqueamiento en clínica con lámpara como tratamientos combinados (clínica + casa) según lo que necesites. El resultado son dientes más blancos y brillantes, eliminando esas sombras negras antiestéticas. Recuerda seguir las indicaciones profesionales durante un blanqueamiento (no automedicarse con productos caseros, para evitar sensibilidad o daños).
Blanqueamiento Dental LED: Cómo Funciona, Ventajas y Lo Que Debes Saber
Carillas Dentales
Las carillas son finas láminas de porcelana o composite que se pegan en la cara visible del diente para mejorar su apariencia. No tratan la causa de la mancha, pero sí cubren la mancha de forma permanente dando al diente un aspecto blanco perfecto. En casos donde el diente tiene manchas intrínsecas difíciles (por ejemplo, una mancha oscura por fluorosis, por un golpe antiguo o simplemente manchas resistentes a la limpieza y blanqueamiento), las carillas son una opción excelente. Funcionan así: se talla mínimamente la superficie del diente y se adhiere la carilla confeccionada a medida, que tiene el color y forma deseados. El resultado es inmediato: adiós manchas, hola diente nuevo. Suelo recomendar carillas dentales a pacientes con dientes que, aparte de las manchas, quizás tienen irregularidades de forma o tamaño que también quieren corregir. Eso sí, es un tratamiento irreversible (implica modificar el esmalte), por lo que se reserva para casos justificados.
Tratamiento de Endodoncia
¿Y si el diente se ha oscurecido por dentro? Antes mencioné que un golpe o una infección del nervio puede hacer que un diente entero se ponga grisáceo o negro desde dentro. Si ese es el caso (el diente cambió de color por una necrosis pulpar), el enfoque es diferente: primero hay que realizar una endodoncia (tratamiento de conducto) para eliminar el nervio muerto y limpiar el interior del diente. Después, para mejorar el color del diente tratado, existen técnicas de blanqueamiento interno o se puede optar por restauraciones estéticas (una carilla o una corona). Este escenario es menos común para quienes buscan “manchas negras en los dientes”, pero quería mencionarlo por completitud. En resumen: cuando la mancha proviene del interior del diente, debemos tratar médicamente la causa interna (infección/necrosis) y luego arreglar la estética.
Prevención de Manchas en los Dientes
Como profesional, siempre digo que la prevención es el mejor tratamiento.

- Higiene oral estricta diaria: Cepíllate los dientes al menos dos veces al día (lo ideal, después de cada comida principal) usando una buena técnica. Una higiene dental inadecuada es una de las principales razones detrás de la formación de manchas en los dientes. No olvides limpiar entre dientes con hilo dental o cepillos interdentales, ya que allí se acumula placa que luego forma sarro oscuro.
- Limpieza dental profesional periódica: Aunque tengas buena higiene en casa, siempre queda algo de sarro con el tiempo. Agenda una limpieza con tu dentista cada 6-12 meses. Esa “puesta a punto” eliminará pigmentos antes de que se oscurezcan más y mantendrá tu sonrisa brillante.
- Modera o evita los agentes que manchan: Reduce el consumo de tabaco (lo ideal es dejar de fumar, por tu salud en general) y limita bebidas muy pigmentadas. No es necesario que renuncies al café o té si te gustan, pero toma medidas: por ejemplo, enjuaga tu boca con agua después de tomarlos, o usa pajita para bebidas oscuras cuando se pueda, así haces menos contacto con los dientes. Para evitar que los dientes se vuelvan amarillos por este motivo, es recomendable moderar la frecuencia con la que se consumen alimentos y bebidas con mucha pigmentación. O, en su defecto, cepillarse los dientes 20 minutos después de comer.
- Cuidado con los enjuagues y medicamentos: Como vimos, los colutorios de clorhexidina solo úsalos el tiempo indicado por el dentista (usualmente 1-2 semanas, no meses).
- Dieta equilibrada y protectora: Llevar una dieta baja en azúcares ayuda a prevenir caries (menos riesgo de esas manchas negras...). Una alimentación equilibrada rica en frutas, verduras y productos lácteos puede fortalecer tus dientes y prevenir manchas.
Para evitar la aparición de manchas, lo primero que hay que hacer es llevar una correcta higiene oral en casa.