En los últimos años, ya sea por la influencia de las redes sociales, la televisión o las revistas, cada vez más personas quieren lucir una sonrisa perfecta. Por ello, no es de extrañar que las carillas dentales sean uno de los tratamientos estéticos más demandados. En este artículo, te brindaremos una guía completa sobre los diferentes tipos y materiales de carillas dentales.
Las carillas dentales son unas láminas muy finas que sirven para reconstruir la pieza dental y mejorar su imagen externa. Las carillas dentales son unas láminas muy finas -generalmente inferiores a un milímetro de espesor- que se fijan sobre la parte visible de uno o varios dientes. Su objetivo es corregir problemas estéticos (fracturas leves, cambios de color…) o patológicos (originados por caries). Su principal objetivo es mejorar el aspecto de los dientes, ya sea para modificar su tamaño, color, forma o posición. Por tanto, tienen una finalidad puramente estética.
Estas láminas están diseñadas para cubrir imperfecciones y crear una sonrisa más brillante y atractiva. Las carillas dentales se colocan en la superficie frontal de los dientes con la finalidad de mejorar su aspecto. Se adhieren al esmalte gracias a una resina especial, con lo que se respeta al máximo el diente original. El gran beneficio de este tratamiento es que permite cambiar la forma y el color de tus dientes de manera muy sencilla, indolora y poco invasiva.

Las carillas estéticas pueden incluso ser una alternativa a la ortodoncia en casos leves en los que la persona quiera cambiar la apariencia de sus dientes.
¿De qué materiales están hechas?
Existen diferentes tipos de carillas dentales, pero de manera general las clasificaremos según el material del que están hechas: carillas de composite y carillas de cerámica o porcelana. Los dos tipos de tratamientos persiguen el mismo objetivo: mejorar la estética de la sonrisa. Cada uno tiene sus características y aplicaciones, será el dentista quien tras conocer tu caso te asesorará sobre qué tipo de carilla es la más adecuada para ti. Ten en cuenta que son elementos que se crean a medida de cada paciente.
Con el fin de conseguir la mejor sonrisa y la mayor naturalidad posible es muy importante estudiar cada caso y diseñar las carillas de forma totalmente personalizada. Las carillas son traslúcidas por lo que deben tener un grosor adecuado así como realizar un tallado del diente pilar suficiente para que lograr controlar el tono subyacente. Dicho tallado dental ronda entre 0.3 y 1mm para lograr un completo control de la exposición del color.
Tipos de Carillas Dentales
- Carillas de porcelana: Reconocidas por su apariencia natural y durabilidad excepcional. Están fabricadas a partir de un material cerámico de alta resistencia que imita de manera natural la translucidez y el brillo de los dientes. Este tipo de carillas se engloba dentro de las fabricadas en cerámica, son una mejora de las carillas tradicionales de cerámica al estar hechas de un material altamente resistente que combina cerámica y vidrio. Ofrecen una durabilidad de más de 20 años. Fabricadas a medida en un laboratorio dental, estas carillas se adhieren permanentemente a la superficie dental. La porcelana imita la apariencia de los dientes naturales y ofrece una resistencia superior a las manchas.
- Carillas de composite: Están hechas de una resina compuesta que se aplica directamente sobre el diente. Opción más asequible y menos invasiva en comparación con las carillas de porcelana. Estas carillas se aplican directamente sobre los dientes y se moldean y esculpen en el consultorio dental. Las carillas de composite están fabricadas en base a una mezcla de resina y cerámica. Este último compuesto las hace más duras y resistentes. Las carillas se colocan en el diente, se les da forma para darle el tamaño perfecto y se endurecen mediante luces ultravioleta.
- Carillas sin preparación o mínimamente invasivas: Estas carillas son ideales para aquellos que desean conservar la mayor cantidad posible de estructura dental natural. Son carillas ultrafinas (de apenas 0,3 mm) que no requieren tallado dental. Son una opción no invasiva para aquellos que buscan mejorar la estética sin comprometer el diente original. Las carillas sin preparación o mínimamente invasivas, también conocidas como carillas de lente de contacto dental, son ultrafinas y se adhieren directamente a la superficie de los dientes existentes sin la necesidad de tallar o reducir el esmalte dental.
- Carillas de zirconio: Opción de alta gama para aquellos que buscan la máxima estética y resistencia. El zirconio es un material cerámico extremadamente duradero y translúcido, que imita la apariencia de los dientes naturales de manera excepcional. Estas carillas son altamente resistentes a las manchas y ofrecen resultados duraderos.

¿Cuándo es recomendable el uso de carillas estéticas ?
Las carillas solucionan números problemas estéticos. El área de aplicación más usado es el sector anterior, de canino a canino, ya que es la parte de la sonrisa que más se muestra y donde mayor impacto van a tener las carillas dentales. Algunos de los usos más comunes:
- Restaurar dientes con pequeñas fracturas.
- Mejorar dientes amarillentos o pigmentados.
- Corregir ligeras maloclusiones.
- Casos leves de apiñamiento o dientes torcidos.
- Diastemas (dientes separados).
- Dientes manchados o decolorados: Si tienes dientes que están manchados o tienen decoloración que no responde bien a los tratamientos de blanqueamiento dental convencionales, las carillas dentales pueden ser una excelente opción.
- Dientes desgastados o astillados: Los dientes desgastados o astillados pueden afectar tanto la apariencia estética como la funcionalidad de tu sonrisa.
- Espacios entre los dientes: Si tienes espacios o brechas entre tus dientes, las carillas pueden cerrar esos espacios y mejorar la apariencia de tu sonrisa.
- Forma y tamaño de los dientes: Si tienes dientes que son demasiado pequeños, desproporcionados o con formas irregulares, las carillas dentales pueden ayudar a mejorar su apariencia.
🚩 Carillas dentales: ¿Negocio o Salud?
¿Cómo se colocan las carillas dentales?
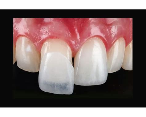
Es un tratamiento altamente conservador con el diente original. El procedimiento para colocar carillas dentales se lleva a cabo en varias etapas clave que aseguran un ajuste perfecto y resultados estéticos duraderos.
- Antes de empezar a poner carillas dentales, ya sean de porcelana o composite, es necesario hacer una revisión previa para conocer el estado bucodental del paciente. Si el resultado es favorable, se procederá al estudio estético de la boca.
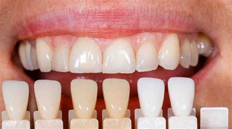
- En una primera sesión: Se realizará un diseño digital para definir el tamaño, la forma y el color que más se ajusta a las características y fisonomía del paciente. El especialista indicará qué material es el más idóneo a usar en cada caso. Es muy importante este paso para lograr una sonrisa natural y acorde a las expectativas del paciente. El éxito de todo tratamiento recae en el tiempo de estudio y diagnóstico que se le dedique. En este debemos realizar un análisis sobre la anatomía y la fonética (como pronuncia las letras “S”,”R” y “F”). El estudio fotográfico también resulta de vital importancia ya que con el mismo seremos capaces de analizar la posición en reposo y en función que ocupan los dientes con respecto a los labios. La forma de los dientes se mostrará previamente al paciente ya bien sea mediante un mockup o por un diseño 3D hecho a ordenador.
- También es más que recomendable una prueba en vivo para que el paciente pueda comprobar cómo se verá con las carillas definitivas y así dar el visto bueno con más seguridad antes de proceder a su colocación. En una segunda sesión: Se realizará la prueba en vivo, llamada mock up, donde podremos observar una simulación de cómo quedarán las carillas en boca, centrándonos en la anatomía de cada una de ellas y el conjunto con el labio y rostro del paciente. Acerca de las carillas de composite el diseño se hace normalmente directamente sobre el diente. Existen casos donde también puede ser un laboratorio externo que las prepare.
- En el caso de las carillas de porcelana necesitaríamos una última visita al dentista. En esta última sesión se colocarán una a una las carillas definitivas, suele ser pasados unos diez días aproximadamente desde la prueba mock up. El conjunto diente-carilla adquiere una resistencia a la fractura comparable a la que tiene un diente intacto.
- Consulta inicial y evaluación: En la primera visita, el dentista evalúa el estado de tus dientes y escucha tus expectativas para determinar si las carillas son la mejor opción. Se toman fotografías e impresiones de tu boca para un análisis detallado.
- Diseño de la sonrisa: Utilizando herramientas digitales, el dentista puede planificar y previsualizar el resultado final. Este paso es crucial para personalizar la forma, el color y la posición de las carillas según tus rasgos faciales y preferencias estéticas.
- Preparación de los dientes: Si los dientes no están colocados en una posición óptima, hay que colocarlos bien para evitar tener que limar el diente demasiado y crear el espacio adecuado entre dientes. Normalmente esto se hará con un proceso de ortodoncia por un corto periodo de pocas semanas. Hay algunos profesionales que tallan el diente demasiado para evitar este proceso de colocación de ortodoncia, pero no es lo adecuado para mantener una correcta salud dental.
- Toma de impresiones: Con los dientes preparados, se toman impresiones detalladas que serán enviadas al laboratorio para fabricar las carillas definitivas. Estas impresiones aseguran que las carillas encajen de manera precisa.
- Colocación temporal: Mientras se fabrican las carillas permanentes, se colocan unas temporales para proteger los dientes y darte una idea de cómo se verán las definitivas.
- Prueba de las carillas definitivas: Una vez que las carillas definitivas están listas, el dentista las prueba para verificar el ajuste, el color y la forma. Si es necesario, se realizan ajustes antes de la fijación final.
- Colocación final: El último paso es la adhesión de las carillas con un cemento especial, endurecido con una luz especial.

Ventajas del uso de carillas dentales
- Proporcionan un aspecto natural y muy estético.
- Corrigen de manera muy rápida alteraciones de color, tamaño o forma de los dientes.
- Están fabricadas con material biocompatible: Esto significa que son materiales tolerados muy bien por los tejidos de nuestra boca.
- Son muy resistentes.
- Son muy cómodas, los pacientes no alteran ninguno de sus hábitos tras la colocación de las carillas.
- Las carillas están hechas con capas muy finas que darán un bonito aspecto a tu dentadura y resultará prácticamente imperceptible que llevas una reconstrucción.
- Gracias a la porcelana, tu sonrisa lucirá luminosa porque le da mucho brillo. Verte con este aspecto ayudará a tu autoestima porque te sentirás bien con lo que ves, sobre todo, tratándose de un elemento tan comunicador como es la sonrisa.
- Por otra parte, no debes preocuparte por los materiales con los que están fabricadas. Son los llamados biocompatibles, los cuales toleran muy bien los tejidos dentales y los no dentales (encías), además de ser bastante resistentes.
- Las carillas dentales cambian mucho la imagen externa de tu dentadura, blanquea tus dientes, mejoran su tamaño e, incluso, pueden utilizarse como una alternativa a la ortodoncia cuando la posición del diente está mal colocada, pero de una manera leve y tan solo con esa capita fina, mejora mucho.
- Mejora estética: Las carillas estéticas son una solución efectiva para corregir una amplia gama de problemas estéticos, como dientes manchados, descoloridos, fracturados, astillados o desalineados.
- Conservación de la estructura dental: A diferencia de otros tratamientos cosméticos, como las coronas dentales, las carillas estéticas requieren una mínima cantidad de eliminación de la estructura dental natural.
- Durabilidad: Las carillas estéticas están hechas de materiales resistentes, como porcelana o resina compuesta de alta calidad.
- Resultados duraderos: Las carillas dentales son de larga duración y pueden durar años, incluso décadas.
- Mejora de la autoestima: Una mala salud bucal puede tener un efecto negativo en su autoestima.
- Cuidado preventivo: Una carilla dental puede ayudar a prevenir futuros problemas dentales.
- Mejor salud bucal: Una vez que hayas arreglado tus dientes, puedes ser más diligente con tu salud bucal y la prevención.
Desventajas del uso de carillas dentales
- Son ínfimas.
- En caso de rotura, desgaste o deterioro pueden repararse y modificarse.
- Al principio, tus dientes van a estar un poco más sensibles porque el odontólogo los ha tocado para prepararlos para que las carillas se fijen en la pieza. Esto lo convierte en un proceso irreversible. Así que una vez hecho, no se podrá modificar.
- El principal problema de dichas carillas es que no quedan igual de estéticas por dos motivos: su poca traslucidez y la dificultad para modificarlas de tamaño o forma en la parte del proceso donde se pretende ajustar a las necesidades del paciente.
Mantenimiento y cuidados de las carillas dentales
Para asegurar la durabilidad y el aspecto de tus carillas dentales, es fundamental seguir una serie de recomendaciones:
- Revisiones y mantenimiento regular con su dentista al menos una vez al año para realizar las limpiezas y pulidos necesarios con el objetivo de mantener el brillo en su máximo nivel.
- Correcta higiene bucal para preservar la salud gingival evitando así posibles recesiones y por supuesto la aparición de caries.
- Evitas morder alimentos u objetos duros, o usar los dientes como herramienta para romper o rasgar algún objeto o elemento.
- Limitar consumo de tabaco y bebidas con colorantes (especialmente los portadores de carillas de composite al resultar más porosas y por lo tanto más fáciles de teñir o manchar).
- Uso de férulas de descarga al practicar deportes con contacto o al dormir sobretodo en pacientes con bruxismo.
¿Son dolorosas las carillas dentales?
La colocación de carillas dentales no suele ser dolorosa, ya que el dentista aplica anestesia local para asegurar que el paciente no sienta molestias durante el procedimiento. Sin embargo, algunos pacientes pueden experimentar una ligera sensibilidad o incomodidad después de que la anestesia desaparece, especialmente en las primeras horas tras la intervención. Esta sensibilidad es más común con las carillas de porcelana o disilicato de litio, ya que requieren el desgaste de una pequeña parte del esmalte dental para colocarlas correctamente.
Durabilidad de las carillas dentales
La durabilidad de las carillas depende del material utilizado. Las carillas de porcelana y disilicato de litio son altamente resistentes, con una vida útil de 10 a 20 años si se cuidan adecuadamente. Son más resistentes a las manchas y a la decoloración en comparación con las carillas de composite, que duran entre 5 y 7 años.
Precio de las carillas dentales
El precio de las carillas dentales puede variar significativamente según el material y la clínica dental.
| Tipo de Carilla | Precio por Diente (aproximado) | Durabilidad |
|---|---|---|
| Carillas de Composite | 150 - 300 euros | 5 - 7 años |
| Carillas de Cerámica | 400 - 700 euros | Más de 10 años |
| Carillas de Zirconio | Más elevado (consultar) | Larga duración |
Es importante tener en cuenta que estos precios pueden variar según la experiencia del dentista, la tecnología utilizada en la clínica y el número de dientes que se vayan a tratar.
Las carillas dentales pueden ser la solución para lucir una sonrisa perfecta y natural. En Dental Care Barcelona somos especialistas en estética dental y aconsejamos siempre a nuestros pacientes con el tipo de carillas que mejor les convenga.