El bruxismo es un fenómeno complejo que ha sido objeto de estudio en la literatura dental durante más de un siglo. Inicialmente introducido como bruxomanía por Marie y Pietkiewkz en 1907, el término evolucionó para describir el hábito de rechinar los dientes. Frohman introdujo el término bruxismo en 1931, y en 1936 Miller propuso diferenciar entre bruxomanía para el rechinamiento diurno y bruxismo para el nocturno.
Es fundamental distinguir entre el bruxismo diurno y el nocturno, ya que existen diferencias fisiológicas y psicológicas significativas entre ambos. Reding sugirió esta distinción para comprender mejor las particularidades de cada uno.
Tipos de Bruxismo
Bruxismo Diurno
El bruxismo diurno se refiere al apretamiento consciente o inconsciente de los dientes, generalmente durante el día. Puede incluir parafunciones como mordisquear lápices, uñas, mejillas o los labios. A diferencia del bruxismo nocturno, este tipo suele ser silencioso, excepto en pacientes con enfermedades mentales orgánicas.
Bruxismo Nocturno
Por el contrario, el bruxismo nocturno se refiere al rechinamiento inconsciente de los dientes caracterizado por patrones rítmicos de actividad electromiográfica de los maseteros y sonidos audibles que no se suelen producir en estado consciente. Este tipo de bruxismo se realiza a un nivel inconsciente reflejo. No existe evidencia de que los bruxistas nocturnos sean también diurnos.
Todo sobre BRUXISMO - Síntomas, tratamientos y consecuencias de APRETAR los dientes | Dentalk! ©
Incidencia del Bruxismo
La incidencia del bruxismo en niños varía ampliamente entre el 7-88% según los estudios, que es comparable al 15-88% encontrado en adultos. La mayoría de los estudios se realizaron preguntando al paciente o a los padres y por un examen clínico del paciente. Tanto el método del interrogatorio como el examen clínico pueden llevar a resultados erróneos.
Niños excesivamente colaboradores pueden señalar síntomas que no existen y también los padres pueden no estar al corriente que sus hijos rechinan o no están presentes cuando ocurre. Kuch, Lindqvist y otros autores comprobaron que estos errores se producían bastante frecuentemente, al comparar datos de anamnesis paterna con la exploración clínica. El bruxismo “actual” debe demostrarse por otros medios.
Además, como la dentición temporal se exfolia en la etapa de dentición mixta, erupcionan los permanentes ocupando su lugar. No actúa el tiempo suficiente como para producir facetas de desgaste.

Relación con la Disfunción Craneomandibular
Los síntomas de disfunción craneomandibular son mayores que la incidencia de bruxismo. Egermark-Eriksson, Ingervall, Lindqvist y Wigdorowicz-Makowerowa encontraron una correlación positiva entre el bruxismo y los síntomas de disfunción de ATM.
Puede comenzar con la erupción de la dentición primaria en la lactancia. Arnold vio que lactantes que les acababan de erupcionar algún diente laceraban la encía de la arcada antagonista, todavía edéntula.
El bruxismo ocurre de por vida, aunque como ya vimos, la mayoría de los investigadores coinciden en que aumenta durante la dentición mixta y luego disminuye con la edad.
Características del Bruxismo Nocturno
El bruxismo nocturno ocurre durante el sueño y se caracteriza por fuertes contracciones rítmicas musculares que ocluyen los dientes y producen clics o rechinamiento audible. Takahama señaló que el bruxismo nocturno suele ocurrir durante el sueño ligero y se acompaña de respiración irregular y aumento de la frecuencia cardiaca. Sugirió que está relacionado con el Sistema Nervioso Autónomo.
Powell observó contacto dental durante la fase REM del sueño, encontrando asociación entre la fase REM y el bruxismo. Clark et al. encontraron que la frecuencia media es de cinco episodios de bruxismo por noche, y que duran aproximadamente ocho segundos cada episodio, con un tiempo total de bruxismo de 42 segundos.
Como ya dijimos, se producen sonidos audibles de rechinamiento o clics en el bruxismo nocturno. Estos sonidos son prácticamente imposibles de reproducir de forma consciente por el paciente. Arnold sugiere que este fenómeno es ilustrativo de la ausencia del reflejo protector del aparato masticatorio en el bruxismo nocturno. Reding afirma que hay una inhibición cortical que previene al paciente de ejercer la fuerza masticatoria máxima en estado consciente, por lo que es incapaz de reproducir estos sonidos.
Síntomas del Bruxismo
Al revisar la literatura sobre los síntomas del bruxismo nos encontramos con varios problemas, como que casi todos los estudios están hechos en adultos y no en niños. Algunos autores predican que los síntomas son idénticos en niños que en adultos, sin embargo otros autores cuestionan que esto sea del todo cierto. Además, muchos de estos estudios combinan el bruxismo con otros componentes del Síndrome de Disfunción de ATM en busca de síntomas subjetivos.
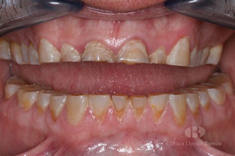
Aunque los síntomas del bruxismo en adultos también pueden aparecer en niños, la frecuencia de síntomas subjetivos es mucho menor. La atricción y/o producción de facetas de desgaste atípicas ha sido considerado el signo más adecuado de bruxismo a nivel dental. Un 90% de los bruxistas tienen facetas atípicas que pueden ser incisales, oclusales o interproximales.
Para Ingerslev, el borde incisal de los incisivos inferiores es el más afectado. Rickets ha especulado que durante la dentición mixta no hay disoclusión durante los movimientos extrusivos de la mandíbula, lo que favorecería que se produzcan las facetas de desgaste. Ingervall demostró que los contactos más frecuentes en dentición mixta temprana se producen entre los primeros molares; en adultos, los contactos más frecuentes se producen entre caninos.
El dolor muscular es el síntoma más frecuente de bruxismo . En niños, sin embargo, se observa a la palpación y no se manifiesta como síntoma. El dolor y disfunción de la ATM pueden relacionarse muchas veces con bruxismo. El dolor puede ser en la propia articulación o en los músculos y nervios que la rodean.
Múltiples estudios han investigado esta relación entre ATM y bruxismo, pero sólo unos pocos lo hacen específicamente. La posible relación entre el bruxismo y el dolor de cabeza es obvia. Nuevamente, muchos estudios relacionan los dolores de cabeza con la disfunción temporomandibular, pero muy pocos lo hacen específicamente con el bruxismo.
Etiología del Bruxismo
Según Marie y Pietwiekwicz, la etiología de la bruxomanía estaba en ciertas lesiones corticales definidas. Además, distinguían entre rechinamiento y bruxomanía, ya que este término incluía el trismus que se definía como una contracción espasmódica de los elevadores de la mandíbula que no podía ser modificada ni de forma voluntaria ni con ninguna ayuda externa. Desde entonces, se han dado muchos factores etiológicos de bruxismo. Según algunos autores, la etiología es la misma que en adultos.

Factores Psicológicos
Ya desde tiempos bíblicos se reconoce la tendencia a apretar y rechinar los dientes con sentimientos de enfado o agresividad. Tishler en 1928 ya postuló la probable relación entre la neurosis y el bruxismo. Muchos estudios han propuesto una etiología psicológica en el bruxismo. La mayoría de los investigadores afirman que es sólo uno de múltiples hábitos producidos por la tensión emocional.
Shapiro y Vernallis relacionan el bruxismo con la agresividad reprimida, con la expresión inconsciente de gratificación oral y con la ansiedad consciente e inconsciente. Para Wisder es una respuesta exagerada a problemas irresolubles. Para Campbell y Almansi es una manifestación de la falta de habilidad para expresar emociones como ansiedad, rabia, odio, agresión, sadismo y deseos libidinosos, entre otros.
Lindqvist encontró en un estudio en niños de 12 años que el estrés y desórdenes nerviosos eran más frecuentes en niños con facetas de desgaste atípicas. Hicks, Conti y Bragg afirmaron que el aumento de bruxismo nocturno en estudiantes universitarios es debido al estrés. Vanderas y cols. estudiaron la relación de catecolaminas urinarias y bruxismo, y encontraron que los niveles de dopamina y adrenalina se relacionaban con gran significación estadística con el bruxismo, lo que apoyaría la teoría de que el estrés emocional es un factor prominente en el desarrollo del bruxismo.
Interferencias Oclusales
Tishler observó que existe relación entre las interferencias oclusales y el bruxismo. Ramfjor provocó experimentalmente bruxismo en monos rhesus añadiendo amalgama a los primeros molares inferiores. En estos monos, el bruxismo comenzaba inmediatamente y continuaba intensamente hasta que se desgastaba o fracturaba el exceso de amalgama, y entonces cesaba.
Varios autores concluyen que es un mecanismo inconsciente para eliminar interferencias y obtener el máximo contacto oclusal. Las anormalidades oclusales que impiden una oclusión estable pueden causar bruxismo. El mecanismo sería una alteración de determinados impulsos aferentes procedentes del ligamento periodontal o a una disminución del umbral de excitación.
Para Ramfjord, las disarmonías oclusales actúan como factores desencadenantes de bruxismo. Nilner encontró en estudios en niños correlación entre mordida profunda y facetas frontales. Según Lindqvist, la frecuencia de interferencias oclusales es significativamente superior en bruxistas, y estas interferencias participarían activamente en le patogenia del bruxismo.
Factores Neurológicos y Genéticos
Como ya sabemos, para Marie y Pietkiewiez, que fueron los primeros en hablar de bruxomanía, la causa era una lesión en el SNC. Otros autores también consideran que es un problema neurológico a nivel central con poca o nula relación con la condición dental. Pacientes infantiles con parálisis cerebral presentan una alta incidencia de bruxismo.
También se ha documentado bruxismo en pacientes comatosos y con daño cerebral, que apoyan la teoría de la relación con el SNC. Varios estudios muestran también que el bruxismo puede tener un componente genético. Abe y Shimakawa comprobaron que hijos de padres bruxistas tienen una mayor incidencia de bruxismo. Reding encontró relación significativa entre estudiantes de 3-17 años con parientes bruxistas o que fueron bruxistas.
Otros Factores
Han sido reconocidos como potenciales factores etiológicos de bruxismo de considerable importancia. Lehvila indicó el déficit de magnesio como causa etiológica de bruxismo, e incluso consiguió solucionar muchos casos con suplementos terapeúticos de magnesio. Marks afirmó que alteraciones gastrointestinales desde alergias alimenticias, disbalances enzimáticos en la digestión que causan distrés abdominal crónico, y disfunciones urológicas crónicas persistentes podían producir bruxismo nocturno.
Según Miller y Brauer los déficits nutricionales y vitamínicos pueden ser causa potencial de bruxismo. Marks señaló la mayor frecuencia de bruxismo en niños alérgicos que en no alérgicos. Postulaba que el bruxismo nocturno puede iniciarse reflejamente por un aumento de la presión negativa en la cavidad timpánica debido a que en la mucosa de la trompa de Eustaquio se produciría un edema alérgico intermitente.
Broughton sugiere que el bruxismo, al igual que el sonambulismo, la enuresis nocturna, o los terrores nocturnos es un síntoma de alguna fase de despertar parcial del sueño. Weiedeman y cols. encontraron relación significativa con calambres musculares nocturnos, enuresis, dolores cólicos, babeo mientras se está dormido y hablar dormido.
La disfunción cervical de la columna se caracteriza por una restricción de la movilidad de la columna cervical, posición anómala de la cabeza sobre el cuello y un aumento de la tensión muscular del complejo craneomandibular. La posición adelantada de la cabeza es una manifestación frecuente de esta disfunción. Kendall describe la posición adelantada de la cabeza como una hipercifosis torácica e hiperextensión cervical, manteniéndose los ojos nivelados. Posselt y Schwartz comprobaron que los contactos dentales varían según se altera la posición de la cabeza.
Según Mc-Bride, la respiración bucal y por tanto, la boca seca pueden producir bruxismo. Para Lehvila, una educación estricta por parte de los padres puede provocar bruxismo en los niños. Hart afirma que es un remanente de un comportamiento primitivo de rechinar los dientes que se reafirma durante el sueño. Del mismo modo, Meklas propone que está relacionado con la época prehistórica en que los dientes se usaban como armas, y en épocas de estrés alguna gente recupera este comportamiento.
Etiología Multifactorial
Ya en 1928 Tishler sugirió una etiología combinada de interferencias oclusales y neurosismo para el bruxismo. Observó que en individuos neuróticos, el rechinamiento podía ser desencadenado por casos de trauma oclusal leves o defectos oclusales mínimos como una cúspide demasiado aguda.
Nadler clasificó los factores etiológicos como locales, sistémicos, psicológicos y ocupacionales. Para Molin y Levi, los componentes etiológicos eran factores somatogénicos, psicogénicos y mixtos. Para Ramfjord y Ashe hay tres mecanismo que combinados desencadenan el bruxismo: tensiones emocionales, dolor o disconfort y mal ajuste oclusal.
Genon los clasifica como psíquicos, profesionales, genéticos, factores locales y alteraciones orgánicas. Según Arnold, para que ocurra el bruxismo tienen que darse 3 factores: psicológicos, musculares y dentales. Para Mejias, la etiología del bruxismo consta de 2 factores principales: oclusales, como restauraciones altas o incorrectas, prematuridades o maloclusiones de origen natural y psicogénicos, como síntomas neuróticos, y respuestas agresivas o de estrés reprimidas.
Tratamientos para el Bruxismo
En pacientes bruxistas se han empleado multitud de métodos terapeúticos. Un examen médico y dental completo y pormenorizado debe preceder el inicio de cualquier terapia. Debido a la naturaleza oscura del bruxismo, debemos tratar cualquier otra enfermedad o deficiencia que esté presente. Forgione ha desarrollado un dispositivo que permite monitorizar y comprobar los resultados pretratamiento y postratamiento del bruxismo nocturno cuantitativamente.