Las carillas dentales son una solución estética popular y efectiva para mejorar la apariencia de los dientes. Este tratamiento consiste en colocar unas láminas de porcelana o composite en la cara frontal de los dientes, mejorando su aspecto estético en color y forma.
Las personas que habitualmente optan por un tratamiento de carillas son aquellas que quieren mejorar su imagen estética, especialmente el color, la forma y la posición de los dientes. Sin embargo, no todas las personas son aptas para este tipo de tratamiento. Habitualmente, los pacientes que pueden someterse a un tratamiento de carillas son aquellos con una buena salud bucal en general. Es importante tener unos dientes y encías saludables, y tener suficiente esmalte dental.

Tipos de Carillas Dentales
Ahora que sabes qué son las carillas dentales, has de conocer los tipos de carillas que existen y sus principales características:
Carillas de Porcelana
Son las más populares debido a su durabilidad y apariencia natural. La porcelana es un material resistente a las manchas y capaz de imitar la translucidez de los dientes naturales, lo que proporciona un resultado estético mejor. Además, las carillas de porcelana pueden corregir problemas como el desgaste de los dientes, así como cubrir piezas astilladas o rotas. Al utilizar este material, cuentan con la ventaja de que resisten muy bien a las manchas y tiene un aspecto muy similar al de los dientes naturales cuando estos están sanos y blancos.
Carillas de Resina Compuesta (Composite)
Estas carillas son más económicas y se pueden colocar en una sola visita al dentista. Aunque no son tan duraderas como las carillas de porcelana, las carillas de resina compuesta pueden repararse fácilmente en caso de daño. El trabajo previo con los dientes es mínimo, por lo que no los altera de forma permanente. Sin embargo, no imitan tan bien el esmalte de los dientes como las de porcelana. Además, al ser la resina un material poroso, pueden mancharse y son susceptibles de sufrir astillados o fracturas.
La elección entre carillas de porcelana y carillas de resina compuesta dependerá de factores como el presupuesto, el tiempo disponible para el tratamiento y las necesidades específicas de cada paciente.
5 grandes diferencias entre Carillas de Porcelana y Composite 👩🏼⚕️🦷
Ventajas de las Carillas de Composite
Las carillas de composite están hechas de un material orgánico polimérico que actúa como matriz y otro inorgánico que actúa como material de relleno. El tratamiento con carillas tiene, principalmente, fines estéticos. Sin embargo, las carillas de composite también pueden solucionar y corregir varios aspectos dentales del paciente que tendrán consecuencias positivas en su salud bucodental.
- Recuperar la forma original de los dientes: Gracias a las carillas de composite se pueden corregir pequeñas imperfecciones en los dientes ocasionadas por accidentes o por el desgaste natural de estos.
- Un tratamiento, varias soluciones: Además de mejorar la apariencia de los dientes, las carillas de composite permiten corregir varios problemas dentales con un solo tratamiento.
- Procedimiento no invasivo: Gracias a las características técnicas de sus materiales, para aplicar las carillas de composite en los dientes no se necesita demasiado trabajo ni preparación previa del esmalte dental.
- Reversibilidad del tratamiento: Frente al tratamiento dental con carillas de porcelana, la mayor ventaja de las carillas de composite es su reversibilidad y versatilidad. Las carillas de porcelana requieren cierto trabajo previo en los dientes naturales.

Proceso de Colocación de Carillas Dentales
Pero ¿cómo se ponen las carillas? Aquí te explicamos el proceso paso a paso:
- Evaluación inicial: el primer paso es una consulta con tu dentista, quien evaluará si eres un buen candidato para las carillas estéticas. Se examinará la salud de tus dientes y encías, y se discutirá el resultado deseado. Durante este proceso, el odontólogo examinará los dientes del paciente para asegurarse de que es apto para recibir el tratamiento y si es más adecuado realizarlo con carillas de porcelana o composite. En primer lugar, para realizar un tratamiento con carillas de composite, el dentista debe realizar un diagnóstico de los problemas del paciente. Posteriormente se llevará a cabo una planificación del tratamiento para corregir y solucionar estos problemas.
- Preparación del diente: una vez decidido que las carillas dentales son la mejor opción, hay que preparar los dientes. Esto implica que el dentista elimine una pequeña cantidad de esmalte de la superficie frontal del diente, aproximadamente del mismo grosor que la carilla que se colocará. En segundo lugar, se preparará el diente a tratar. Esta preparación consiste en eliminar de la superficie del diente parte del esmalte. El segundo paso es preparar los dientes a tratar. Este trabajo consiste en eliminar parte del esmalte de la superficie del diente en el que se aplicará la carilla, debido a que la parte tratada deberá coincidir con el espesor de la carilla que se añadirá.
- Toma de impresiones: tras preparar los dientes, el dentista tomará impresiones o moldes de tus dientes. En tercer lugar, se tomarán las impresiones.
- Colocación provisional: en algunos casos, se pueden colocar carillas provisionales mientras se fabrican las definitivas.
- Colocación final: una vez que las carillas estén listas, el dentista las colocará en tus dientes para verificar el ajuste y la forma. El cuarto paso consiste en colocar las impresiones de las carillas ya terminadas. Para poder hacerlo, hay que preparar el diente, en un proceso que consiste en limpiar, pulir y grabar la pieza dental. El siguiente paso es la adhesión de las carillas a los dientes por parte del especialista.
- Ajuste final: El quinto y último paso será ajustar esta colocación. Para ello, se eliminará cualquier exceso del cemento especial utilizado.
Durabilidad de las Carillas Dentales
Una de las preguntas más frecuentes sobre los tratamientos estéticos dentales es cuánto duran las carillas dentales. La durabilidad de las carillas depende de varios factores, incluyendo el tipo de material utilizado y los hábitos de cuidado dental del paciente. Las carillas dentales de porcelana son especialmente resistentes a largo plazo y son varios los estudios que avalan su duración al cabo de los años.
Para prolongar la vida de las carillas, es crucial mantener una buena higiene bucal, evitar morder objetos duros y acudir regularmente al dentista para chequeos y limpiezas profesionales. Al igual que en la mayoría de tratamientos dentales, es imprescindible que el paciente mantenga una buena higiene dental.
Requisitos para Poner Carillas Dentales
Es importante conocer los requisitos para poner carillas dentales para asegurar que este tratamiento estético sea adecuado para ti y que pueda proporcionar los resultados deseados:
- Salud bucal adecuada: es fundamental que no existan problemas graves de salud dental, como caries activas, enfermedades periodontales o infecciones.
- No sustituyen dientes perdidos: Las carillas son ideales para mejorar la apariencia de los dientes existentes, pero no sustituyen los dientes perdidos.
Precio de las Carillas Dentales
¿Quieres saber el precio de las carillas estéticas? El precio de las carillas dentales estéticas puede parecer dispar si comparas entre diferentes opciones. Como hemos comentado anteriormente, podemos elegir entre el composite y la porcelana para confeccionar las carillas. Sin embargo, la calidad y beneficios del segundo material supera con creces al composite.
El precio de las carillas dentales en nuestra clínica de Badalona varía según el material con que las elaboremos. El coste de este tratamiento oscila entre los 290 € y los 430€ por carilla.
En caso de querer carillas dentales de porcelana de canino a canino superior (incluido el mock up), el precio es desde 2.930€.
Para tener una idea más precisa del precio de las carillas dentales en toda la boca, te recomendamos que nos contactes directamente para obtener más información sobre y los diferentes planes de financiación que tenemos disponibles.
Cada clínica dental ofrece unas garantías y materiales diferentes, dos aspectos que influyen en el presupuesto final. Somos conscientes de que las carillas dentales suponen un desembolso importante, pero es el tratamiento estético que te dará la sonrisa que siempre has querido.
Como has podido comprobar, en el precio de las carillas dentales influyen varios factores. Lo importante es buscar especialistas en Estética Dental para asegurar resultados naturales y duraderos.
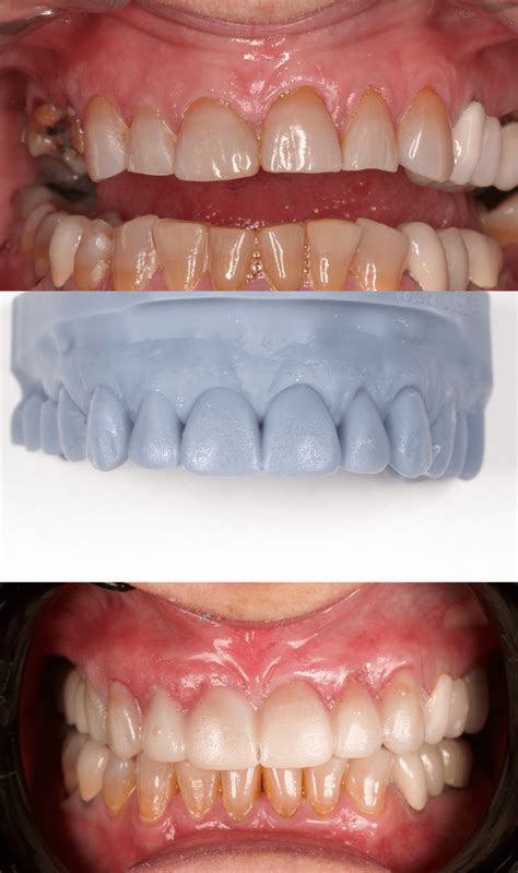
Mock Up: Simulación del Resultado Final
El mock up es una simulación realizada en la boca del paciente. Una simulación real con carillas provisionales en la que no solo puede ver cómo quedará su sonrisa tras el tratamiento, sino que también podrá “sentirla”. Es un proceso que se realiza en un par de sesiones. Además, en la visita de mock up podrás ver una simulación de cómo quedará tu sonrisa.

Adeslas Dental Funcionario
Modulo dental contratable, para clientes Funcionarios con Póliza Adeslas, ya sea Muface , Mugeju o Isfas. Podrán darse de alta asegurados que pertenezcan a un mismo núcleo familiar con mismo domicilio.
Adeslas Dental Funcionario, es un seguro dental que tiene cobertura para todos los tratamientos odontológicos disponibles en las clínicas Adeslas Dental.
Incluye:
- Limpieza de boca
- Fluorizaciones
- Mantenimiento anual Implantológico
- Blanqueamiento dental combinado
- Frenillo lingual o labial
- Otras piezas dentarias incluidas (Cordal no incluido).
En Clínica Provenza Apostamos por la Excelencia Dental
Sabemos que no todxs lxs dentistas pueden realizar la totalidad de tratamientos con igual acierto. Y es por este motivo que contamos con la Dra. Páez especializada en Estética Dental que únicamente realiza tratamientos orientados a mejorar el aspecto de la sonrisa. Con el fin de obtener el mejor resultado, en nuestra clínica siempre utilizamos equipamiento y tecnologías de última generación.
Si quieres una primera valoración gratis, pide tu cita en nuestra clínica dental de Badalona. También realizamos otros tratamientos similares como los implantes dentales en Badalona.