Las carillas dentales son una de las soluciones de estética dental más demandadas actualmente, y un tratamiento muy frecuente en odontología estética. Unos dientes bien posicionados, armónicos, blancos, brillantes,… todo ello es posible sin utilizar filtros de cámara o el photoshop. Gracias a las carillas dentales se pueden corregir los dientes fracturados, dientes manchados, desgastados o desiguales. Estas pequeñas prótesis que se ponen en las piezas dentales, nos permiten alcanzar resultados espectaculares para mejorar el aspecto estético de nuestros dientes y de la sonrisa. En este artículo hablaremos más de las carillas dentales, los tipos de carillas que existen y los beneficios e inconvenientes de cada tipo.

Indicaciones de las Carillas Dentales
Las indicaciones para las carillas dentales en Barcelona o Madrid en Propdental son varias y las detallaremos a continuación:
- Alteraciones de color de uno o más dientes: en general, el blanqueamiento dental previo puede ser indicado, con el objetivo de optimizar el resultado estético final.
- Restablecer guías de desoclusión: en esos casos, es recomendado el tallado de parte de la cara palatina.
- Esmalte sin soporte de dentina: en dientes tratados endodóncicamente que perdieron dentina interna (incluso sin restauraciones clase III), pueden presentar esmalte sin soporte, y después del tallado dental, la estructura dental puede volverse más susceptible a la fractura.
Tipos de Alteraciones de Color en los Dientes
- Extrínsecas: Son aquellas que afectan a la superficie dental, al esmalte, y tienen un color marrón o blanquecino.
- Intrínsecas: Estas afectan no solo al esmalte dental sino que también a la dentina y no son eliminables.
- Iatrogénicas: Las carillas dentales tienen una durabilidad aproximada de unos diez años (como todas las prótesis fijas).
Beneficios de las Carillas Dentales
Si quieres recuperar una bonita sonrisa, tener unos dientes cuidados y sentirte mejor contigo mismo, las carillas dentales son una buena opción y muy frecuente en la estética dental. Estos son algunos de sus beneficios:
- Disimulan las imperfecciones: Gracias a las carillas dentales se mejora la mala coloración de los dientes, posibles huecos interdentales, fisuras, el desgaste del esmalte o pequeñas fracturas.
- Es un tratamiento poco invasivo: Uno de los grandes beneficios de las carillas dentales es que es un tratamiento muy efectivo y poco invasivo ya que no supone una agresión para el diente. Su colocación es rápida, sencilla y completamente indolora y debajo de la carilla se mantiene la pieza dental sin alteración. Este tratamiento de estética dental tampoco supone ninguna agresión para la encía.
- Son muy duraderas: Los materiales con los que se fabrican las carillas dentales garantizan se mantengan en perfectas condiciones durante muchos años. Solo es importante llevar una buena higiene oral, evitar el tabaco (ya que puede teñirlas de un color amarillento) o eliminar hábitos como abrir cosas con los dientes. Estas son de gran resistencia lo que permitirá tener una vida normal con ellas colocadas.
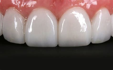
- Resultado natural: Gracias a los materiales que se utilizan en las carillas dentales, el resultado es totalmente natural ya que se puede reproducir tanto la forma como el color de los dientes originales. De esta forma no se aprecia la diferencia entre las piezas que llevan carillas y las que no.
Tipos de Carillas Dentales: Ventajas y Desventajas
La elección de un tipo de carillas dentales u otras depende, en gran parte, del tipo de dentadura y la salud dental de cada persona. Los dos tipos más frecuentes de carillas dentales son las carillas de composite y las de cerámica. Cada una de ellas tiene sus ventajas y desventajas.
Carillas de Composite
Las carillas de composite se fabrican por el odontólogo y se utiliza resina muy estética. Esta recomendado sobre todo para modificaciones leves como retoques o cuando solo es un diente. Las carillas de composite son unas láminas dentales delgadas que se personalizan para cada paciente y que están hechas de un material compuesto de resina de alta calidad. Cuando hablamos de «composite» nos referimos a la mezcla de resina de plástico y partículas de cerámica que se utiliza en su fabricación. El propósito principal de las carillas de composite es mejorar la estética dental.
Beneficios de las Carillas de Composite
- Las carillas de composite pueden reconstruirse fácilmente en la clínica dental.
- El tratamiento es más rápido ya que se puede realizar en una única visita al odontólogo.
- Su coste es menor que las carillas de porcelana ya que no se tienen que enviar al laboratorio para su elaboración.
- Se reparan fácilmente: Este tipo de carillas se pueden corregir o moldear de nuevo y restaurar en caso de fractura.
- No son agresivas ni invasivas: Se conserva el esmalte del diente y tienen un gran resultado estético.
- Aspecto natural: El composite se puede moldear y colorear para que coincida perfectamente con el tono y la forma de los dientes circundantes.
- Corrección de imperfecciones: Son ideales para corregir dientes descoloridos, manchas, pequeñas anomalías de forma, espacios entre los dientes y otros problemas estéticos.
- Durabilidad y resistencia del composite: A pesar de ser más delgadas en comparación con otros tipos de carillas, las carillas de composite son sorprendentemente duraderas y resistentes. El composite utilizado en su fabricación es robusto y puede soportar el desgaste diario sin problemas.
- Proceso de aplicación menos invasivo que otras opciones: En comparación con otras alternativas, como las carillas de porcelana, el proceso de aplicación de las carillas de composite es menos invasivo. Requiere menos eliminación de esmalte dental natural, lo que significa que se conserva más de la estructura dental original.
- Opción más económica: Una de las ventajas más evidentes de las carillas de composite es su costo relativamente menor en comparación con las carillas de porcelana u otros procedimientos estéticos más complejos.
- Personalización: El paciente puede elegir distintas variables de las carillas como la forma e incluso el color.
- Rapidez: Como se ha mencionado anteriormente, el tratamiento de estética dental con carillas de composite es muy rápido. Al no tener que realizarse un tratamiento previo en el laboratorio, las carillas se pueden poner en una sola sesión.
- Tratamiento reversible: Las carillas dentales pueden aplicarse y, posteriormente, ser quitadas.
Desventajas de las Carillas de Composite
- Las carillas de composite son menos duraderas que las de cerámica.
- Resisten menos la tinción: Este tipo de carillas con el paso del tiempo pierden brillo o pueden oscurecer, sobre todo en personas fumadoras o si se toma bastante café o vino.
- No se recomiendan para tratamientos grandes o en caso de bruxismo, o hábitos como morderse las uñas u objetos.
- Posibles limitaciones en términos de durabilidad: A pesar de su durabilidad y resistencia, las carillas de composite pueden tener limitaciones en cuanto a su longevidad en comparación con algunas alternativas. En promedio, pueden durar de 5 a 10 años, dependiendo de factores como los hábitos de cuidado oral del paciente y su estilo de vida.
- Cambio de color con el tiempo y susceptibilidad a manchas: Aunque las carillas de composite son resistentes a las manchas y la decoloración en cierta medida, con el tiempo pueden experimentar un cambio de color leve. Esto puede deberse a la exposición a alimentos y bebidas con pigmentos fuertes, como café, té o vino tinto.
- Mayor propensión a astillarse o romperse en comparación con porcelana: Aunque el composite utilizado en las carillas es resistente, es importante destacar que son más propensas a astillarse o romperse en comparación con las carillas de porcelana, que son más duras y menos porosas. Las actividades como morder objetos duros o abrir envases con los dientes pueden aumentar el riesgo de daños en las carillas de composite.
- Necesidad de mantenimiento y reemplazo eventual: A medida que pasa el tiempo, es probable que las carillas de composite requieran mantenimiento y eventual reemplazo. Esto se debe a su exposición continua a la tensión diaria y al desgaste normal. Además, si experimentas algún daño o cambio significativo en tu salud dental, es posible que necesites reemplazar las carillas para mantener una apariencia estética óptima.
Carillas de Porcelana o Cerámica
Este tipo de carillas dentales son fabricadas en un laboratorio dental y posteriormente se colocan en los dientes mediante un adhesivo muy estable. En el momento en el que se unen a los dientes, se vuelven resistentes a las fracturas. Las carillas de porcelana se confeccionan en un laboratorio autorizado a raíz del molde de nuestros dientes. Las carillas de porcelana son unas finas láminas de cerámica que se adhieren a la parte frontal de los dientes para mejorar su apariencia.
Probando la "Sonrisa Instantánea" comprada en Amazon ¡ Por pesos! | Dentistas Reaccionan
Ventajas de las Carillas de Porcelana o Cerámica
- Estética dental muy elevada y resistencia a la tinción: El resultado estético de las carillas de porcelana es mayor que las de composite. La cerámica tiene un color natural y a largo plazo, ya que las carillas de cerámica no se tiñen con el paso del tiempo. La cerámica empleada permite una transmisión óptima de la luz.
- Aptas para múltiples defectos: En este caso las carillas de porcelana se pueden utilizar para mejorar el alineamiento de los dientes, mejorar el color, para igualar el tamaño de los dientes, mejorar dientes desgastados o fracturados. Las carillas de porcelana pueden mejorar la forma, el tamaño y el alineamiento de los dientes, mejorar el color, cerrar diastemas, etc.
- Ayuda a fortalecer los dientes: Las carillas de cerámica ayudan a fortalecer dientes fracturados y restaurar su función normal. Además se pueden utilizar para restaurar dentición desgastada por el bruxismo. Ayudan a fortalecer los dientes fracturados y restaurar la función normal. Se usan para corregir deficiencias oclusales o para restablecer una guía correcta durante movimientos masticatorios.
- Tratamiento rápido y poco tiempo de recuperación: Las carillas de porcelana se fijan a los dientes y su tiempo de recuperación es casi inmediato.
- Mayor duración que las carillas de composite: Otra ventaja de este tipo de carillas es que tienen una duración o vida útil mayor que las de composite.
- Preparación dentaria muy conservadora: Es una técnica mínimamente invasiva que conserve la substancia dental.
- Aumento de la autoestima: Una bonita sonrisa es muy importante en el día a día de cualquier persona.
- Resistencia a la tinción: La porcelana resiste las manchas clásicas del café, el té, el tabaco y las bebidas no alcohólicas. La superficie glaseada no permite la incrustación de tinciones, al no presentar microporosidad. Este glaseado permite el mantenimiento del brillo superficial durante todo el tiempo de vida de las carillas. La porcelana es altamente resistente a las manchas (alimentos, bebidas, tabaco…).
- Biocompatibilidad local y general: De todos los materiales de recubrimiento dental que poseemos, la cerámica es junto con el oro, el que menos reacciones biológicas desencadena.
- Resistencia al ataque químico: Diferentes sustancias químicas, como ácidos (cítrico y otros), disolventes (alcohol), medicaciones (antibióticos) y cosméticos (colutorios) pueden producir alteraciones tanto en el esmalte dentario como en las carillas de composite.
Desventajas de las Carillas de Porcelana
- Coste elevado: Este tipo de carillas son más caras que las de composite. Las carillas de porcelana presentan un precio más elevado que las de composite. Esta diferencia de precio se hace especialmente patente cuando el paciente necesita un número alto de carillas.
- Mayor número de sesiones: Debido a que las carillas de porcelana se fabrican en el laboratorio dental, el número de visitas al odontólogo es mayor que con las carillas de composite. El número de sesiones es mayor porque las carillas se fabrican en laboratorio dental. Además, antes de colocar las carillas definitivas es necesario colocar las carillas provisionales.
- No permite retoques posteriores: Al contrario que las carillas de composite, las carillas de porcelana no pueden modificarse de color o forma una vez puestas. El color o la forma no se pueden alterar una vez que han sido cementado en su lugar.
- Posible sensibilidad dental.
- Tratamiento irreversible: en algunos casos, resulta necesario tallar el diente antes de colocar una carilla de porcelana. Para colocar las carillas adecuadamente hay que preparar el diente a través de un contorneado estético que facilite su adhesión. Esto es irreversible y puede debilitar el diente si no se realiza adecuadamente. Las carillas no son reversibles si se ha tratado el esmalte dental. Quitar una carilla sin reemplazarla dejaría el diente expuesto y estéticamente comprometido.
- No se pueden reparar: las carillas de porcelana suelen durar muchos años. Sin embargo, también pueden experimentar alguna fractura, especialmente si el paciente no sigue los cuidados de alimentación recomendados (evitar los alimentos muy duros, no comer bocadillos o manzanas a mordiscos…). Ante una rotura, es necesario retirar la carilla y que el laboratorio fabrique una nueva.

Consideraciones Adicionales
- Durabilidad: Las carillas dentales tienen una durabilidad aproximada de unos diez años (como todas las prótesis fijas). Las carillas de porcelana suelen tener una duración de entre 10 y 15 años, mientras que las de composite entre 5 y 7 años. La durabilidad de las carillas de porcelana depende, fundamentalmente, de los cuidados que siga el paciente. Este tipo de carillas pueden durar entre uno y diez años. Dicho plazo tan amplio se debe a que la duración de las carillas está estrechamente relacionada con los cuidados mantenidos por el paciente (higiene, alimentación, uso de férula nocturna, revisiones con el odontólogo…).
- Bruxismo: El bruxismo puede dañar o fracturar las carillas. Por lo tanto, las personas bruxistas deben llevar una férula de descarga por las noches.
- Enfermedad de las encías: Si existe enfermedad de las encías (periodontitis) es necesario controlarla antes de ponerse carillas ya que podría poner en riesgo la correcta adhesión de las carillas e incluso podría agravar la inflamación en las encías.
- Esmalte dañado: Cuando el esmalte está muy dañado debido a caries, fracturas o erosión, las carillas pueden no tener una buena superficie de adhesión y ser más propensas a romperse o desprenderse.
- Sensibilidad dental: Como se trabaja directamente sobre el esmalte, puede haber sensibilidad al frío o al calor, especialmente los primeros días.
- Mantenimiento: El mantenimiento de las carillas es fácil y sencillo, y se refiere a una rutina de higiene oral común, haciendo uso del cepillo de dientes y la seda dental. Cuidarlas como debes hacer con tus dientes originales, con un cepillado 3 veces al día y utilizando hilo dental.
Proceso de Colocación de Carillas de Porcelana
El proceso de colocación de las carillas de porcelana consta de varias fases, las cuales pueden variar según las necesidades de cada paciente.
- El odontólogo trata con el paciente sus expectativas respecto al tratamiento (defectos que pretende corregir, resultados que desea conseguir…).
- En la siguiente visita, el dentista prepara los dientes para la posterior colocación de las carillas de porcelana. Normalmente, el laboratorio dental tarda entre una y dos semanas en confeccionar las carillas.
- Una vez que las carillas de porcelana han sido fabricadas, el paciente acude de nuevo a la consulta para que el odontólogo proceda a su colocación.
En general, el proceso completo de colocación de las carillas de porcelana dura varias semanas y requiere entre tres y cuatro visitas al dentista.
Pasos Detallados de la Colocación
- Hacer modelos de estudio: tomando unas medidas previas de tu boca, sobre los modelos se realiza en cera un modelo de cómo será el resultado de tu tratamiento.
- Tallado: debemos reducir mediante un tallado tus piezas dentales, para conseguir el espacio adecuado para colocar encima la carilla dental. Se debe hacer una reducción por la parte externa del diente, de uno 0.5mm y una reducción por los lados del diente, al igual que de altura, por el borde incisal del diente. Esto se realiza en la clínica mediante unas fresas especializadas.
- Cementado: una vez tenemos las carillas de porcelana definitivas mandadas por el laboratorio, tenemos que pegarlas a los dientes ya tallados mediante un cemento especial. Una vez colocadas las carillas de porcelana no se deben despegar, pero si debes recordar que debes tener cuidado ya que como hemos comentado son frágiles. Por ello debes seguir unas recomendaciones, como son seguir una correcta higiene oral y evitar morder cosas duras por esa zona.
Tipos de Carillas Dentales Según su Fabricación
Existen diferentes tipos de carillas dentales, siguiendo siempre las necesidades de cada paciente:
- Directas: son aquellas que después de realizar la preparación del diente, se colocan directamente en boca en la clínica, sin tener que hacer una fase intermedia de laboratorio.
- Indirectas: son aquellas que después de realizar la preparación de la pieza, se toman medidas para mandar al laboratorio y ellos realizan unas carillas dentales de porcelana o de composite a medida.
¿Las Carillas de Porcelana Dañan los Dientes?
Si se realiza el procedimiento de tallado y colocación correctamente y se respeta la estructura del diente, las carillas de porcelana no dañan los dientes.
¿Las Carillas Cambian de Color con el Blanqueamiento Dental?
No. La porcelana no cambia de color con los tratamientos de blanqueamiento dental. Por ello, antes de colocarlas es fundamental estudiar el caso de cada persona de manera minuciosa y realizar una planificación muy detallada. De esa forma, se puede contemplar cualquier tratamiento que necesite el paciente (blanqueamiento, coronas…) de manera previa para lograr un resultado final óptimo.

tags: #carillas #dentales #beneficios #y #contraindicaciones