En la búsqueda de una sonrisa ideal, las carillas dentales se presentan como una solución estética y funcional. Estas finísimas láminas, adheridas a la parte frontal del diente mediante técnicas adhesivas, permiten perfeccionar la sonrisa de forma sencilla y cómoda, sin intervenciones quirúrgicas ni molestias. En CML Odontólogos en A Coruña, encontrarás especialistas que te ayudarán a recuperar tu mejor sonrisa con tratamientos personalizados.

¿Qué son las carillas dentales?
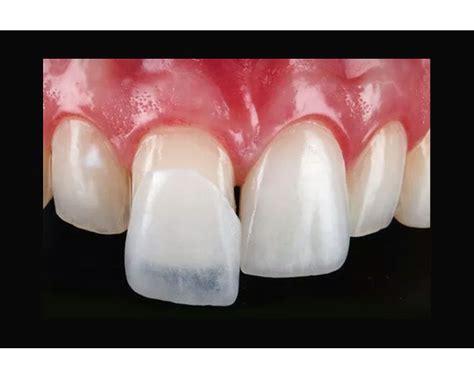
Las carillas dentales son láminas delgadas de porcelana o composite que se colocan sobre la superficie de los dientes para mejorar su apariencia estética y corregir ciertos problemas dentales. Permiten mejorar la alineación, hacer los dientes más uniformes, reducir espacios, aumentar el tamaño de los dientes pequeños y ocultar defectos como dientes rotos o mellados. Son una solución muy habitual para conseguir el diseño de sonrisa deseado, ya que pueden cambiar el color, forma, tamaño y posición de los dientes de manera rápida, duradera y segura.
🚩 Carillas dentales: ¿Negocio o Salud?
Tipos de carillas dentales
Pueden estar hechas de diferentes materiales. Puedes elegir el material que prefieras en función del resultado que quieras obtener y tu presupuesto:
- Carillas de composite: Se utiliza un material similar al utilizado en los empastes. Están hechas de composite, un material fabricado con varias resinas y son reversibles, es decir, se pueden quitar y reemplazar fácilmente. Eso sí, tienen la desventaja que no son tan parecidas a los dientes naturales como las carillas de porcelana. Además, al ser un material más poroso, se manchan y se rompen con más facilidad. La ventaja de las carillas de composite es que es un tratamiento mucho más rápido, de mejor precio y menos invasivo.
- Carillas de cerámica o porcelana: Son restauraciones cerámicas en las cuales hacemos un tallado del diente mínimo. Las carillas de porcelana son altamente resistentes a las manchas, mucho más que los dientes naturales. Las más novedosas aparecidas recientemente, son las microcarillas dentales, que son unas láminas aún más finas y que en casos especiales se pueden usar sin preparación del diente. Las carillas cerámicas o de porcelana son especialmente útiles para:
- Corregir problemas de desgaste de los dientes
- Cubrir piezas astilladas o rotas
- Recubrir dientes reconstruidos con resina que se hayan decolorado

¿En qué casos se utilizan las carillas dentales?
Las carillas dentales son elementos que se utilizan para mejorar la apariencia de la sonrisa. Aunque parezca que solo tienen una finalidad estética, las carillas dentales también pueden utilizarse para solventar problemas de la dentadura. Un ejemplo de su uso puede verse en dientes que se hayan partido o astillado en las puntas, así como en dientes demasiado separados, o en aquellos cuya coloración está demasiado manchada.
Algunos casos comunes en los que es recomendable el uso de carillas dentales son:
- Desgaste dental: principalmente para dientes que han sufrido desgaste por bruxismo.
- Daño o roturas: para restaurar la apariencia de dientes que están astillados, fracturados o tienen imperfecciones menores.
- Desalineación leve y pequeños espacios: como alternativa a la ortodoncia en casos de desalineaciones leves o para cerrar pequeños huecos entre los dientes.
- Manchas o decoloración: ideal para dientes que han cambiado de color o tienen machas profundas y no responden bien a técnicas de blanqueamiento dental.
- Mejora estética general: para aquellos que desean tener una sonrisa más uniforme y atractiva.
Ventajas de las carillas dentales
Si lo que más te preocupa es la estética, las carillas dentales son tu tratamiento ideal. Eso sí, no son infalibles ni tampoco solucionan todos los problemas. Es posible que tengas que recurrir a otros tratamientos como el blanqueamiento dental o la ortodoncia invisible para tener el resultado que esperas:
- Mejora el color de tus dientes
- Ocultarán tus dientes manchados, algo posible incluso si el blanqueamiento no es eficaz en tu caso.
- Recupera la forma y apariencia natural de tus dientes
- Podrán ocultar imperfecciones en tus dientes, como grietas, fracturas o roturas.
- Consigue una sonrisa más blanca y estética
- En el caso de las carillas de porcelana, los dientes recuperan el color original y el reflejo de la luz es prácticamente igual a un diente natural.
¿Cuál es el proceso para colocar carillas dentales?
El proceso de colocación de las carillas comienza con una consulta inicial donde el dentista evalúa el caso del paciente. Si se considera apto, los siguientes pasos suelen ser:
- Se traza y explica al paciente un plan de tratamiento en una primera cita.
- Se prepara un diseño de sonrisa al paciente y en una segunda cita se prueba el diseño.
- Una vez que el diseño esta perfecto, se preparan los dientes y en caso de ser necesario se toma la medida final.
¿Cuánto cuestan las carillas dentales en Coruña?
El coste de las carillas dentales depende de diversos factores, como el material utilizado y la complejidad del tratamiento. Las carillas de porcelana tienen un precio mayor, ya que simulan a la perfección los dientes naturales y son muy resistentes, mientras que las carillas de composite son más baratas pero pueden no tener una estética tan realista.
En España, el precio de un tratamiento con carillas dentales parte de unos 1.120 euros. Sin embargo, hay que tener en cuenta que el precio del tratamiento varía en función del número de carillas que se necesiten.
Algunos valores de referencia, teniendo en cuenta el precio de una carilla por diente, son:
- Carillas de porcelana: 400 - 1.000€
- Carillas composite: 150 - 400€
- Carillas zirconio: 500 - 1.000€
En CML Odontólogos te ofrecemos un presupuesto de carillas dentales completamente personalizado a tus necesidades y preferencias. Además, ofrecemos financiación de todos nuestros tratamientos, para que el precio nunca sea un impedimento para conseguir la sonrisa que te mereces.
Cuidados posteriores a la colocación de carillas
Para asegurar la durabilidad de las carillas dentales, es fundamental seguir una serie de recomendaciones:
- Se recomienda seguir una buena higiene bucal, incluyendo cepillado y uso de hilo dental diariamente.
- Es importante mantener una buena higiene oral y evitar morder objetos duros o alimentos pegajosos para prolongar la vida útil de las carillas.
- Dichas indicaciones se centran en cepillarse los dientes después de cada comida, usar la seda dental, evitar el tabaco, utilizar una férula protectora por las noches y acudir al dentista con la regularidad establecida por este (normalmente, entre una y dos veces al año).
- Adicionalmente, es aconsejable tener ciertas precauciones al comer alimentos muy duros, disminuir el consumo de comidas o bebidas con mucha coloración y tener cuidado con ciertos movimientos al masticar.

Preguntas frecuentes
- ¿Es doloroso el procedimiento de carillas dentales? La colocación de carillas suele ser un procedimiento poco invasivo.
- ¿Las carillas dentales se pueden manchar? Las carillas de porcelana son altamente resistentes a las manchas, mucho más que los dientes naturales. Sin embargo, las carillas de composite pueden ser más susceptibles a mancharse con el tiempo.
- ¿Puedo elegir el color de mis carillas? Sí, puedes elegir el color de tus carillas. El objetivo es mejorar tu sonrisa de forma natural, por lo que se seleccionará un color que se mimetice con tus dientes y este en armonía con el patrón facial de cada paciente.
- ¿Qué sucede si se rompe o despega una carilla? Si una carilla se rompe o despega, es importante contactar a tu dentista de inmediato.
- ¿Todos son candidatos para carillas dentales? No todos son candidatos ideales para carillas dentales.