
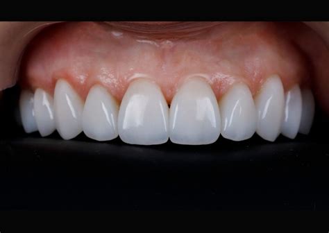
¿Qué son las carillas dentales?
Las carillas dentales son unas láminas muy finas -generalmente inferiores a un milímetro de espesor- que se fijan sobre la parte visible de uno o varios dientes. Estas láminas pueden estar hechas de diferentes materiales, como la porcelana, el composite o el disilicato de litio, y se diseñan a medida de cada paciente. Su objetivo es corregir problemas estéticos (fracturas leves, cambios de color…) o patológicos (originados por caries). Pueden estar hechas de diferentes materiales, pero suelen ser de porcelana o composite. Por lo general, estas últimas suelen confeccionarse en la propia clínica dental con un material fotocurable, igual que el que se usa para hacer los empastes.¿Para qué sirven las carillas dentales?
Las carillas dentales sirven para corregir pequeños defectos que afectan al color, el tamaño, la forma o la posición de los dientes.Entre las imperfecciones que pueden solucionar podemos destacar las siguientes:* Dientes amarillos o con manchas* Desgastes en el esmalte* Diastemas (espacios entre los dientes)* Leves malposiciones dentales* Fisuras o fracturasEn cualquiera de los casos anteriores es necesario que el odontólogo realice una valoración del paciente para determinar si las alteraciones de sus dientes pueden ser corregidas con carillas.¿Cuándo es recomendable ponerse carillas en los dientes?
A continuación, te detallamos los casos concretos en los que puede resultar recomendable ponerse carillas para mejorar la apariencia de la sonrisa:* Dientes amarillos o con manchas: las carillas se pueden utilizar en pacientes que presentan dientes amarillos, decolorados o con manchas. Esto puede deberse a distintas circunstancias (alimentación, tabaco, envejecimiento, fluorosis, consumo de tetraciclinas…).* Resistencia al blanqueamiento dental: las carillas son un excelente complemento al blanqueamiento. Cuando las tinciones son muy severas, el blanqueamiento puede no ser capaz de eliminarlas por completo. Por tanto, en muchos casos resulta recomendable ponerse carillas en los dientes después del blanqueamiento.* Dientes desalineados: las carillas también pueden ofrecer un buen resultado estético a los pacientes que tienen ligeras malposiciones dentales, ya que en ocasiones permiten disimularlas. Eso sí, hay que tener en cuenta que para corregir la mayoría de las maloclusiones dentales es necesario recurrir a la ortodoncia.* Dientes con formas o tamaños irregulares: las carillas se utilizan para corregir pequeños defectos que afectan a la forma de los dientes. Por ejemplo: unos caninos (colmillos) demasiado puntiagudos, un diente más pequeño de lo normal, etc.* Diastemas: las carillas también están recomendadas para disimular los diastemas o espacios entre los dientes.* Dientes desgastados: las carillas se pueden colocar en dientes que presentan desgastes en el esmalte. Esto puede tener su origen en una mordida inadecuada o en el bruxismo. Sin embargo, en estos casos suele ser necesario utilizar ortodoncia o colocar una férula de descarga previamente, dependiendo del caso. De no hacerlo, los desgastes volverán a aparecer.* Dientes fisurados o fracturados: las carillas también pueden estar indicadas en determinados casos de fisuras o fracturas leves en los dientes.Tipos de carillas dentales
Existen diferentes tipos de carillas dentales en función del material y la técnica empleados en su confección. Cada una de ellas tiene sus ventajas, y la elección dependerá del caso concreto y las necesidades del paciente.Tipos de Carillas Dentales | Lo que nadie te cuenta | Composite, Porcelana y Zirconio 🦷✨"
Carillas de porcelana
Esta tipología es la opción más popular debido a su aspecto natural y a su resistencia a las manchas. Aunque suelen tener un precio superior al de otras alternativas, destacan por su durabilidad y habilidad para corregir defectos como dientes astillados o desgastados. Este tipo de carillas dentales puede requerir múltiples visitas al dentista para su colocación, debido a que previamente es posible que haya que realizar un tallado de los dientes.* Duración: La vida útil de las carillas de porcelana es de entre 10 a 15 años.* Ventajas: Aspecto natural, alta resistencia a las manchas, durabilidad.* Desventajas: Precio más elevado, puede requerir tallado del diente.
Carillas de resina compuesta o composite
Las carillas de composite son una opción efectiva y más económica que no compromete demasiado las piezas dentales. Están hechas de un material de resina compuesta que se adapta al color natural del diente. Son ideales para corregir pequeñas imperfecciones, como dientes ligeramente torcidos o manchados. A diferencia de las carillas de porcelana, las de composite pueden aplicarse en una sola visita al dentista, ofreciendo una solución más rápida y menos invasiva, aunque requieren más mantenimiento.* Duración: La vida útil de las carillas dentales de composite es de entre 5 a 7 años.* Ventajas: Proceso de colocación sencillo, no requieren tallar los dientes, precio más económico.* Desventajas: Menor durabilidad, pueden mancharse, no imitan tan bien el esmalte dental.
Carillas de zirconio
Están fabricadas con óxido de zirconio, un material cerámico resistente y no poroso, que imita perfectamente el esmalte natural del diente y resiste la decoloración y las manchas. Son ideales para quienes buscan resultados óptimos sin comprometer la funcionalidad de la sonrisa.* Duración: La vida útil de las carillas de zirconio es de entre 10 y 15 años.* Ventajas: Alta resistencia, no porosas, imitan el esmalte natural, resistentes a la decoloración.* Desventajas: Precio elevado.
Tabla comparativa de tipos de carillas
| Carillas | Material | Duración Estimada | Ventajas | Desventajas || :-------------- | :------------------- | :---------------- | :------------------------------------------------------------------------------------------ | :--------------------------------------------------------------------------- || Porcelana | Cerámica | 10-15 años | Aspecto natural, alta resistencia a manchas, durabilidad | Precio elevado, puede requerir tallado || Composite | Resina compuesta | 5-7 años | Precio más económico, colocación rápida, no requiere tallado | Menor durabilidad, pueden mancharse, no imitan tan bien el esmalte dental || Zirconio | Óxido de zirconio | 10-15 años | Alta resistencia, no porosas, imitan el esmalte natural, resistentes a la decoloración | Precio elevado || Disilicato de Litio | Cerámica vítrea | 10-15 años | Alta estética, resistencia, naturalidad, proceso de fabricación digital | Requiere laboratorio para su fabricación |¿Cómo se colocan las carillas dentales?
El proceso de colocación de las carillas comienza con una consulta inicial donde el dentista evalúa el caso del paciente. Si se considera apto, los siguientes pasos suelen ser:1. Estudio bucodental completo: consta de una exploración oral y la realización de radiografías (panorámicas y periapicales) y fotografías (intraorales y extraorales).2. Preparación del diente: para algunas carillas de porcelana esto puede incluir el tallado de una pequeña cantidad del diente para asegurar un ajuste adecuado.3. Escaneo intraoral 3D o toma de impresiones: este escáner realiza una captura detallada y rápida de los dientes del paciente, creando un modelo exacto que se envía a un laboratorio para la fabricación de las carillas.4. Fabricación de las carillas: la confección puede realizarse directamente en la clínica dental (en el caso de las de composite) o encargarse al laboratorio (en el caso de las de disilicato de litio).5. Aplicación: una vez que las carillas están listas, se adhieren a los dientes utilizando un adhesivo especial y se tratan con luz para solidificar el pegamento.6. Colocación de las carillas: en función del proceso de confección, la técnica de colocación también varía. Las carillas de composite se crean directamente sobre el diente, en una sesión en la clínica dental. En cambio, las carillas mínimamente invasivas (disilicato de litio) se fabrican en el laboratorio y posteriormente se colocan en la clínica dental.7. Ajuste y pulido: Una vez colocadas las carillas, el dentista las ajustará para asegurarse de que encajen correctamente y se sientan cómodas en la boca.¿Cuánto cuestan las carillas dentales?
Los precios de las carillas dentales dependen principalmente del material del que están hechas, el caso específico del paciente o la clínica dental. El precio de las carillas puede variar en función del material, la cantidad de dientes tratados y la complejidad del caso.Algunos valores de referencia, teniendo en cuenta el precio de una carilla por diente, son:* Carillas de porcelana: 400 - 1.000€* Carillas composite: 150 - 400€* Carillas zirconio: 500 - 1.000€Es importante tener en cuenta que el seguro dental no suele cubrir el coste de las carillas dentales.En España, el precio de un tratamiento con carillas dentales parte de unos 1.120 euros. Sin embargo, hay que tener en cuenta que el precio del tratamiento varía en función del número de carillas que se necesiten. Normalmente, se ponen en los seis dientes delanteros superiores, que son los más visibles al sonreír: dos incisivos centrales, dos incisivos laterales y dos colmillos. No obstante, en algunos casos se pueden llegar a colocar carillas en los premolares, por lo que habría que poner diez carillas en total en la arcada superior.A continuación, se muestran algunos ejemplos de precios para tratamientos con carillas:* 6 carillas: Pago único 1.107€* 8 carillas: Pago único 1.396€* 10 carillas: Pago único 1.671€
Ejemplo de financiación
* Importe mínimo: 432 €. Ejemplo de financiación para un importe de 1.107.00 € en 36 meses. Comisión de formalización del 2,0%: 22,14 € a pagar en la primera cuota. Primera cuota de 56,55 €. 34 cuotas de 34,41 € y una última cuota de 34,35 €. TIN 7,45% TAE 9,18%. Total intereses: 131,70€. Coste total del crédito: 153,84€. Importe total adeudado y precio total a plazos: 1.260,84€. Precio de adquisición al contado: 1.107,00€. Sistema de amortización francés. Financiación ofrecida por Banco Cetelem S.A.U. válida hasta el 31/12/2025.Es crucial consultar con un profesional dental para obtener un presupuesto personalizado y evaluar las opciones de financiación disponibles.Ventajas de las carillas dentales
Las principales ventajas de las carillas dentales son las siguientes:* Versatilidad: Las carillas son muy versátiles ya que permiten corregir múltiples problemas que afectan al aspecto estético de los dientes.* Mejora de la estética: Al corregir los pequeños defectos de los dientes, las carillas dentales aportan a la sonrisa un aspecto más saludable, juvenil, cuidado y armónico.* Mínimamente invasivas: Este es uno de los grandes beneficios que ofrecen algunas carillas actuales. Por ejemplo, las de composite no necesitan tallado.* Mantenimiento sencillo: En términos generales, podemos decir que las carillas dentales no requieren cuidados difíciles o especiales. Es necesario mantener una buena higiene oral, tener precauciones al comer alimentos duros y acudir al dentista entre una y dos veces al año.Adicionalmente, en la mayoría de los casos será necesario usar una férula de descarga para dormir. Esto ayudará a proteger las carillas de los desgastes y contribuirá a que duren más tiempo.Desventajas de las carillas dentales
Entre las desventajas de las carillas dentales se encuentran:* Precio relativamente alto, especialmente para las de porcelana y zirconio.* Proceso irreversible en algunos casos de carillas de porcelana que requieren tallado previo de los dientes.* No son una solución para problemas dentales más complejos como dientes muy desalineados o problemas de maloclusión.¿En qué casos no están recomendadas las carillas dentales?
A pesar de que las carillas están recomendadas en una gran cantidad de situaciones, lo cierto es que también presentan alguna contraindicación. Las más relevantes son las siguientes:* Mordida borde a borde: en este tipo de mordida, los dientes superiores chocan directamente contra los inferiores cuando la persona cierra la boca. Es decir, los dientes superiores no quedan por delante de los inferiores, como ocurre en una oclusión correcta. La mordida borde a borde, por tanto, provoca que las carillas se rompan y se caigan. En estas situaciones, al igual que en otros casos de maloclusión, será necesario recurrir a la ortodoncia antes de colocar las carillas.* Bruxismo que no recibe tratamiento: algo parecido sucede con el hábito de apretar y/o rechinar los dientes. Los pacientes con bruxismo tienden a presentar grandes desgastes en sus piezas dentales, lo que las debilita y hace más propensas a fracturas. Por ello, una persona que p...¿Cuáles son las garantías de las carillas dentales?
La duración de las carillas dentales está determinada por diversos factores, como los cuidados que siga el paciente en cuanto a higiene oral, alimentación, tabaco, hábitos, revisiones con el dentista, etc. Adicionalmente, la durabilidad del tratamiento también depende del material con el que están fabricadas las carillas y de la técnica de colocación (directa o indirecta).Lo que sí podemos decirte es que, con unos cuidados y unos mantenimientos adecuados, son un tratamiento pensado para durar a largo plazo.Dichas indicaciones se centran en cepillarse los dientes después de cada comida, usar la seda dental, evitar el tabaco, utilizar una férula protectora por las noches y acudir al dentista con la regularidad establecida por este (normalmente, entre una y dos veces al año). Adicionalmente, es aconsejable tener ciertas precauciones al comer alimentos muy duros, disminuir el consumo de comidas o bebidas con mucha coloración y tener cuidado con ciertos movimientos al masticar.En caso de que la carilla esté intacta, se vuelve a adherir. Si se ha roto, sencillamente se vuelve a hacer otra en pocos días.
tags: #carillas #dentales #desechables