Si estás buscando una forma rápida y efectiva de mejorar la apariencia de tus dientes, las carillas dentales pueden ser una excelente opción. Una carilla dental es un tipo de lámina fina que se coloca en la superficie del diente con el fin de mejorar su estética. Hablar de estética dental es, sin duda, hablar de carillas dentales. Es uno de los tratamientos con mayor demanda dentro de la especialidad de Odontología estética por su capacidad para resolver problemas funcionales al tiempo que mejoran y renuevan la sonrisa con un acabado perfecto.

¿Qué son las Carillas Dentales?
Las carillas son finas láminas hechas con materiales como son la porcelana o composite. A día de hoy las carillas dentales se componen básicamente por dos materiales: Porcelana y composite. Las carillas dentales son finas láminas fabricadas principalmente de porcelana o composite, un material de resina ampliamente utilizado en odontología para reparar dientes dañados y mejorar la estética dental. Estas láminas se adhieren cuidadosamente a la superficie frontal de los dientes, proporcionando una solución eficaz y duradera para corregir diversas imperfecciones.
Tipos de Carillas Dentales
Existen dos tipos principales de carillas: carillas de composite y carillas de porcelana.
Carillas de Composite
La colocación de las carillas de composite es un proceso menos invasivo ya que se adhieren directamente al diente sin necesidad de tallarlo previamente. En este caso se utiliza una resina que se aplica sobre el diente en varias capas y que luego se va tallando hasta conseguir la forma y tamaño deseados. Este tipo de carillas requieren menos mantenimiento y son más económicas que las carillas de porcelana. Carillas estéticas de composite: este tipo de carillas están hechas de una resina estética muy parecida a la que se utiliza para realizar empastes y se suelen recomendar cuando el paciente requiere modificaciones leves. Para colocarlas hay que realizar previamente un ligero pulido del diente.
Carillas de Porcelana
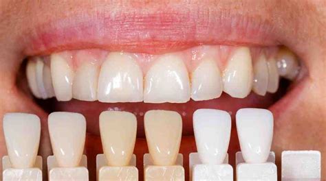
Son laminas delgadas de cerámica que se adhieren a la superficie de los dientes para mejorar su apariencia. Son realizadas de material más resistente elaborado en un laboratorio dental, no es poroso y no pierden su brillo. Carillas de porcelana: una vez definida la forma, el tamaño y color, la carilla se fabrica en laboratorio y se adhiere a la superficie dental. Son carillas de un grosor mínimo, en el caso de Lumineers, apenas 0,3 mm. En comparación con las carillas de composite, las carillas de porcelana son más duraderas y resistentes a las manchas. Además de ser naturales y resistentes, conservan el brillo y el color de los dientes durante mucho tiempo. Visualmente, las carillas de porcelana, presentan un color y apariencia más natural y parecida al esmalte y son altamente resistentes.

¿Para Qué Sirven las Carillas Dentales?
Las carillas dentales sirven para solucionar los desperfectos que puedan dañar la parte exterior de la pieza dental como por ejemplo, fracturas o variaciones de la coloración y forma dental, al tiempo que consiguen proporcionar una sonrisa sana, y bonita con un acabado muy natural. Por tanto, su objetivo no es el de mejorar la funcionalidad de las piezas dentales, sino el de darles un aspecto más armónico, bonito y natural. Se utilizan para mejorar el color, la forma o la alineación aparente de las piezas dentales. Gracias a su capacidad para mimetizarse con el color natural de los dientes, ofrecen resultados estéticos muy naturales y, al mismo tiempo, refuerzan la estructura dental subyacente. Este tratamiento no solo mejora la apariencia de la sonrisa, sino que también contribuye a aumentar la confianza y la autoestima del paciente.
- Enderezar dientes torcidos: Las carillas son una forma eficaz y no invasiva de corregir los dientes que están ligeramente torcidos.
- Reparación de dientes astillados o rotos: Si tienes dientes rotos o astillados, puedes utilizar carillas para repararlos.
- Cubrir manchas antiestéticas y decoloración: Las carillas pueden ser una gran opción si tienes manchas antiestéticas en los dientes o decoloración que deseas cubrir.
- Alargar o ensanchar los dientes: Las carillas pueden utilizarse para alargar o ensanchar los dientes.
Además, las carillas dentales son una excelente opción para cerrar pequeños espacios interdentales sin necesidad de someterse a procedimientos ortodónticos más invasivos.
¿Dientes Torcidos? ¿La ortodoncia es la Solución Final?🤷
Carillas Dentales para Dientes Torcidos o Montados
Cuando hablamos de dientes montados (conocidos coloquialmente como apiñados), nos referimos a toda condición dental en la que los dientes están desalineados o mal posicionados. La posición de cada pieza dental influye directamente en la estética dental y es uno de los aspectos esenciales de una sonrisa bonita. Una sonrisa alineada transmite salud y confianza, pero no todas las personas tienen los dientes perfectamente rectos. Sí, las carillas pueden ser una solución eficaz para mejorar la apariencia de los dientes torcidos, siempre que la malposición sea leve o moderada.
En algunos casos leves de dientes montados, las carillas dentales pueden ser una opción adecuada. Los dientes montados pueden corregirse efectivamente con la ayuda de la tecnología moderna y de las técnicas avanzadas de ortodoncia. En Raga Ortodoncia vamos a analizar si es posible usar carillas dentales para corregir dientes torcidos y en qué casos son una solución viable.
¿Cuándo es Posible Usar Carillas Dentales para Dientes Torcidos?
Si tus dientes están ligeramente torcidos o desalineados, las carillas dentales pueden ser una opción viable. Estas láminas pueden ocultar las imperfecciones y dar la apariencia de dientes perfectamente alineados. Este enfoque es ideal para aquellos que desean una mejora estética sin someterse a tratamientos ortodónticos prolongados. Las carillas dentales también son útiles para cerrar pequeños espacios entre los dientes, como diastemas. Si tienes un espacio visible entre tus dientes frontales y prefieres evitar los brackets y alambres de los aparatos ortodónticos, las carillas pueden ser una solución eficaz. A veces, los dientes torcidos pueden estar desgastados o tener irregularidades en el esmalte debido a bruxismo u otros factores. Las carillas dentales pueden cubrir estas imperfecciones y restaurar la apariencia natural de los dientes.
¿Cuándo No es Posible el Uso de Carillas Dentales?
Es importante tener en cuenta que las carillas dentales no son una solución adecuada para casos de maloclusión severa o problemas ortodónticos graves. Si tienes una mordida incorrecta o una alineación dental significativamente desviada, es probable que necesites tratamientos ortodónticos, como la ortodoncia estética o la ortodoncia invisible, para corregir tu problema dental de manera efectiva. Es esencial que consultes a un dentista o un especialista en estética dental. En Raga Ortodoncia evaluaremos tu situación dental específica y te proporcionaremos una serie de recomendaciones basadas en tus necesidades individuales.
Ventajas de las Carillas Dentales
Tomar la decisión de ponerse carillas con dientes torcidos cuando sea posible tiene grandes ventajas. La primera de ellas es, precisamente, la rapidez en obtener resultados. Otra de las ventajas es un resultado totalmente natural. Gracias a los nuevos materiales y técnicas de laboratorio, es posible fabricar carillas del mismo tono que tienen los dientes del paciente. A ello, hay que unir que esos mismos materiales permiten fabricar carillas ultrafinas con las que apenas es necesario tallar el diente para su colocación.
- Rapidez en obtener resultados.
- Resultado totalmente natural.
- Materiales ultrafinos que requieren poco tallado dental.
Preparación y Colocación de las Carillas Dentales
Durante la preparación de las carillas dentales, los dentistas suelen desgastar o limar la capa superficial de los dientes. El tallado dental la preparación de los dientes para la colocación de carillas está indicado ante la necesidad de lograr un cambio morfológico, mal posicionamiento, malformación o rotación de alguna pieza dental. El proceso de colocación de las carillas dentales implica varias visitas al dentista. En la primera consulta, se realiza un molde detallado de los dientes, que servirá como base para la fabricación de las carillas. Durante esta etapa también se seleccionan las características específicas de las carillas, como el nivel de brillo y el color, asegurando que se integren de manera natural con el resto de la dentadura. Una vez que las carillas dentales están listas, se procede a su colocación. El odontólogo las fija a la superficie de los dientes utilizando un pegamento especial, elaborado con cemento de resina, que garantiza una adhesión duradera y resistente.
Consideraciones Adicionales
Es recomendable hacer una revisión anual con el dentista para evaluar el estado de las carillas de composite y realizar un pulido si es necesario. Las carillas dentales suelen estar elaboradas de materiales biocompatibles. Las carillas estéticas son muy resistentes y duraderas, ya que los materiales con los que se fabrican garantizan que se mantengan en perfecto estado durante muchos años. Si los daños son pequeños, pueden repararse y modificarse. Pero en caso de existir un gran daño, lo aconsejable es cambiar la carilla dental. Como hemos mencionado antes, las carillas de porcelana son más resistentes que las carillas de composite y requieren menos mantenimiento.
Tabla Comparativa de Tipos de Carillas
| Característica | Carillas de Composite | Carillas de Porcelana |
|---|---|---|
| Material | Resina compuesta | Cerámica |
| Durabilidad | Menor | Mayor |
| Resistencia a manchas | Menor | Mayor |
| Costo | Más económicas | Más caras |
| Mantenimiento | Mayor | Menor |
| Proceso | Menos invasivo | Requiere más preparación dental |