Las carillas dentales son una solución eficaz para lograr una sonrisa perfecta y radiante cuando el color, la forma o el tamaño de los dientes no son los adecuados. Las carillas dentales son láminas delgadas, de porcelana o resina compuesta, que se adhieren a la parte frontal de tus dientes naturales.

¿Es Necesario Desgastar los Dientes para Colocar Carillas?
Una de las preguntas más frecuentes es si es necesario tallar o limar los dientes antes de colocar carillas dentales. Afortunadamente, hoy en día ya no siempre es así. Sin embargo, la necesidad de limar los dientes depende de varios factores.
El Tallado Dental
El tallado dental es una práctica habitual en Odontología. En el caso de las carillas, este limado es mínimo, ya que las carillas que se colocan son muy finas. Por tanto, simplemente se retira la cantidad de esmalte justa para que, al colocar la carilla sobre el diente, el resultado sea natural. Dicho esto, también se recurre al tallado en otros tratamientos, como los de coronas o puentes dentales.
Ventajas de No Limar los Dientes
El no tener que limar los dientes para colocar unas carillas supone importantes ventajas para los pacientes. En el caso de que, con el paso de los años, la persona quiera dejar de llevar carillas, podrá hacerlo sin ningún tipo de preocupación. Su esmalte dental estará, prácticamente, intacto.
Esto se debe a que se habrá sometido, únicamente, a un proceso de asperización del esmalte y grabado ácido, por lo que la superficie se ve afectada solo a nivel microscópico. En segundo lugar, la colocación de carillas sin tallado es mucho más rápida. Al no tener que limar los dientes, la cita en el dentista dura menos tiempo.
Además, al no tener que limar los dientes se le suman otras ventajas muy atractivas para los pacientes. Por ejemplo, son mucho más económicas que las de porcelana y se pueden reparar fácilmente en la propia clínica dental.
Tipos de Carillas y la Necesidad de Tallado
Carillas de Porcelana vs. Composite
Por lo general, la colocación de carillas de porcelana sí exige un limado o tallado previo. En cambio, las carillas de composite se confeccionan en la clínica dental, directamente sobre los dientes del paciente.
A día de hoy las carillas dentales se componen básicamente por dos materiales: Porcelana y composite. El tallado dental la preparación de los dientes para la colocación de carillas está indicado ante la necesidad de lograr un cambio morfológico, mal posicionamiento, malformación o rotación de alguna pieza dental.
CARILLAS SIN TALLAR LOS DIENTES PARA UNA SONRISA PERFECTA
Microcarillas: Una Opción Sin Tallado
Las carillas sin tallar el diente, también conocidas como carillas ultrafinas o lentes de contacto, son una técnica reciente de la estética dental que permite mejorar la apariencia de los dientes sin necesidad de tallar o limarlos.
A diferencia de las carillas tradicionales, que requieren que el dentista lima y talla el diente para crear espacio para la carilla, las carillas sin tallar el diente se colocan directamente sobre el diente natural sin necesidad de limar o tallar. Esto significa que se preserva la mayor cantidad posible de la estructura natural del diente, lo que puede ser beneficioso para la salud dental a largo plazo.
Las carillas sin tallar el diente son una excelente opción para personas que buscan mejorar la apariencia de sus dientes sin someterse a un procedimiento invasivo y doloroso. Son ideales para corregir problemas estéticos menores, como manchas, decoloración, grietas, astillas o ligeras desalineaciones dentales.

Microcarillas de Porcelana
En Dental Care Barcelona nos encontramos que algunos de nuestros pacientes no conocen este tipo de tratamientos con microcarillas. Las microcarillas dentales siempre deben ser realizadas por un odontólogo especializado en estética dental.
Para poder iniciar un tratamiento estética dental con microcarillas dentales en Barcelona, es necesario realizar una historia clínica detallada y completa de cada paciente. Esta debe incluir una exploración extraoral e intraoral junto con unas fotografías. De este modo, se podrá realizar un correcto diagnóstico y un plan de tratamiento individualizado y personalizado.
En la primera visita del paciente haremos un estudio para poder valorar el tipo de carilla que es mejor en relación a sus facciones, tamaño del rostro, forma de su boca e incluso como cierra la boca, si enseña los dientes con los labios en reposo y el color al que le gustaría llegar al paciente.
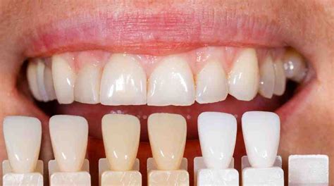
En la segunda visita probaremos al paciente un Mock-up, de esta manera puede tener una visión de cómo serán sus carillas una vez colocadas en boca, hacer rectificaciones previas a las carillas definitivas y escoger el tono de la cerámica.
Las microcarillas dentales en Barcelona son confeccionadas con una porcelana extremadamente resistente y de alta calidad. Se colocan en las piezas dentales que requiera el paciente.
El Proceso de Limado Dental para Carillas
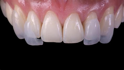
El limado dental es un paso fundamental en el proceso de colocación de carillas. El limado dental permite la creación de espacio para colocar las carillas sin que sobresalgan de manera poco natural. El limado dental permite modificar el tamaño y la forma de los dientes para lograr una apariencia más estética. El limado dental también se utiliza para corregir imperfecciones en los dientes, como pequeñas irregularidades en la superficie o bordes desiguales.
Pasos del Proceso
- Evaluación y Planificación: El dentista evaluará la condición de tus dientes y discutirá contigo tus objetivos estéticos. Se realizarán radiografías y se tomarán fotografías para tener una visión completa de tu dentadura.
- Limado del Esmalte Dental: Se procederá a limar una fina capa de esmalte dental de los dientes que recibirán las carillas. El dentista utilizará herramientas especializadas para garantizar una precisión adecuada.
- Impresiones Dentales: Después del limado dental, se tomarán impresiones de tus dientes para crear un molde exacto de la estructura dental preparada.
- Carillas Provisionales: Mientras esperas que las carillas definitivas se fabriquen, es posible que se coloquen carillas provisionales en tus dientes.
- Colocación de Carillas Permanentes: Una vez que las carillas definitivas estén listas, se retirarán las carillas temporales y se colocarán las carillas permanentes. El dentista se asegurará de que las carillas encajen correctamente y cumplan con tus expectativas estéticas.
Cuidados Posteriores y Durabilidad
Después de la colocación de las carillas, es importante mantener una buena higiene bucal y asistir a los controles dentales regulares. Cepillar los dientes dos veces al día, usar hilo dental y enjuague bucal ayudará a mantener la salud de tus dientes y carillas. Además, se recomienda evitar alimentos y hábitos que puedan dañar las carillas, como morder objetos duros o morderse las uñas.
Las carillas pueden durar muchos años si se mantienen adecuadamente. La durabilidad depende de varios factores, como el cuidado bucal, la calidad de las carillas y los hábitos alimenticios.
Ventajas y Desventajas de las Carillas de Porcelana
Las carillas de porcelana son un tratamiento restaurador que ha probado su bondad después de muchos años de uso clínico, especialmente en el sector anterior por sus implicaciones estéticas, con porcentajes de éxito próximos al 95% a los 15 años.
Ventajas
- Técnica de dificultad media.
- Preparación dentaria muy conservadora.
- Estética muy elevada.
- Resistencia elevada a las fuerzas.
- Biocompatibilidad local y general.
- Resistencia al desgaste.
- Resistencia a la tinción.
- Resistencia al ataque químico.
- Radiopacidad.
- Costo aceptable.
Desventajas
- Técnica clínica más compleja que para las carillas de composite.
- Técnica de laboratorio compleja.
- Fragilidad relativa.
- Dificultad para la reparación.
- Técnica adhesiva compleja.
- Tratamiento irreversible.
- Imposibilidad de cambiar el color una vez cementada la carilla.
Indicaciones y Contraindicaciones
Indicaciones
- Estéticas: Cambios de coloración dentaria, cambios de posición dentaria, cambios en la textura superficial dentaria, cierre de diastemas.
- Anatómicas: Anomalías de forma, tamaño o volumen dentario, tanto congénitos como adquiridos.
- Funcionales: Restauración de las guías anterior y canina.
- Otras indicaciones: Restauración de problemas derivados de la porcelana de una corona metal-cerámica.
Contraindicaciones
- Estéticas: Alteraciones muy importantes del color dentario.
- Funcionales: Situaciones de carga excesiva sobre las carillas de porcelana o sobre los dientes soporte de las mismas (bruxismo, hábitos parafuncionales).
- Otras: Hábitos inadecuados, higiene insuficiente o elevado índice de caries.
Alternativas al Limado Dental
Si el limado dental para carillas no es una opción para ti, existen alternativas que pueden lograr resultados similares.
Conclusión
Las carillas dentales son una excelente opción para mejorar la estética de tus dientes. La decisión de limar o no los dientes depende de tus necesidades individuales y la evaluación de tu dentista. Explora todas las opciones y elige el tratamiento que mejor se adapte a ti.
| Tipo de Carilla | Necesidad de Tallado | Material | Durabilidad |
|---|---|---|---|
| Porcelana | Generalmente Sí | Porcelana | 10-15 años |
| Composite | No siempre | Resina compuesta | 5-7 años |
| Microcarillas | No | Porcelana ultrafina | 10-15 años |