Si estás buscando una clínica especializada en carillas dentales en Alicante, en Marhuenda Dental te ayudamos a redescubrir tu sonrisa con seguridad y profesionalidad. Las carillas dentales son una de las posibles soluciones para restaurar la estética de tu sonrisa, ya que están diseñadas para imitar la apariencia natural de tus dientes. ¿Has pensado, o te han recomendado ponértelas? Descubre qué son, los distintos tipos que existen y cómo se colocan.
Carillas Dentales | ¿Qué son y Cuánto cuestan? | Precios actuales
¿Qué son las carillas dentales y para qué sirven?
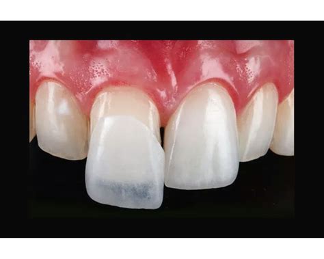
Las carillas dentales son finas láminas, generalmente de porcelana o resina compuesta, que se colocan sobre la superficie frontal de los dientes para mejorar su apariencia estética. Se fabrican a medida para adaptarse a cada paciente y se adhieren al esmalte del diente. Son una opción popular para quienes buscan hacer cambios superficiales en su sonrisa, como mejorar el tamaño, forma o color de sus dientes, ya que proporcionan una solución duradera y estética. Las carillas dentales reflejan la luz de manera similar al esmalte dental natural, proporcionando un aspecto realista y estético.

¿Cuándo es recomendable ponerse carillas?
Algunos casos comunes en los que es recomendable el uso de carillas dentales son:
- Desgaste dental: principalmente para dientes que han sufrido desgaste por bruxismo.
- Daño o roturas: para restaurar la apariencia de dientes que están astillados, fracturados o tienen imperfecciones menores.
- Desalineación leve y pequeños espacios: como alternativa a la ortodoncia en casos de desalineaciones leves o para cerrar pequeños huecos entre los dientes.
- Manchas o decoloración: ideal para dientes que han cambiado de color o tienen machas profundas y no responden bien a técnicas de blanqueamiento dental.
- Mejora estética general: para aquellos que desean tener una sonrisa más uniforme y atractiva.
En todos estos casos, es fundamental la evaluación por parte de un profesional dental, quien podrá determinar si las carillas son la opción más adecuada según las necesidades y condiciones específicas del paciente.
Tipos de carillas dentales
Existen diferentes tipos de carillas, cada una diseñada para satisfacer necesidades estéticas específicas y adaptarse a diferentes condiciones dentales. Las más destacadas son:
Carillas de porcelana
Esta tipología es la opción más popular debido a su aspecto natural y a su resistencia a las manchas. Aunque suelen tener un precio superior al de otras alternativas, destacan por su durabilidad y habilidad para corregir defectos como dientes astillados o desgastados. Este tipo de carillas dentales puede requerir múltiples visitas al dentista para su colocación, debido a que previamente es posible que haya que realizar un tallado de los dientes.
Las carillas de porcelana de alta estética ofrecen máxima durabilidad y estética. Las carillas de porcelana o disilicato no se manchan fácilmente.
¿Cuánto duran? La vida útil de las carillas de porcelana es de entre 10 a 15 años.
Carillas de resina compuesta o composite
Las carillas de composite son una opción efectiva y más económica que no compromete demasiado las piezas dentales. Están hechas de un material de resina compuesta que se adapta al color natural del diente. Son ideales para corregir pequeñas imperfecciones, como dientes ligeramente torcidos o manchados. A diferencia de las carillas de porcelana, las de composite pueden aplicarse en una sola visita al dentista, ofreciendo una solución más rápida y menos invasiva, aunque requieren más mantenimiento. Las de composite, en cambio, pueden pigmentarse con alimentos o bebidas como café o vino.
¿Cuánto duran? La vida útil de las carillas dentales de composite es de entre 5 a 7 años.
Carillas de zirconio
Están fabricadas con óxido de zirconio, un material cerámico resistente y no poroso, que imita perfectamente el esmalte natural del diente y resiste la decoloración y las manchas. Son ideales para quienes buscan resultados óptimos sin comprometer la funcionalidad de la sonrisa.
¿Cuánto duran? La vida útil de las carillas de zirconio es de entre 10 y 15 años.
Aquí tienes una tabla comparativa de los diferentes tipos de carillas:
| Tipo de Carilla | Material | Duración | Ventajas | Desventajas |
|---|---|---|---|---|
| Porcelana | Porcelana o disilicato de litio | 10-15 años | Aspecto natural, resistente a manchas, durabilidad | Precio más alto, puede requerir tallado |
| Composite | Resina compuesta | 5-7 años | Más económica, aplicación rápida | Menos duradera, propensa a manchas |
| Zirconio | Óxido de zirconio | 10-15 años | Material cerámico resistente y no poroso, imita el esmalte natural del diente y resiste la decoloración y las manchas | Precio más alto |
¿Cómo se colocan las carillas dentales?
El proceso de colocación de las carillas comienza con una consulta inicial donde el dentista evalúa el caso del paciente. Si se considera apto, los siguientes pasos suelen ser:
- Preparación del diente: para algunas carillas de porcelana esto puede incluir el tallado de una pequeña cantidad del diente para asegurar un ajuste adecuado. En muchos casos sí, pero es un tallado mínimo y superficial que no compromete la salud del diente.
- Escaneo intraoral 3D o toma de impresiones: este escáner realiza una captura detallada y rápida de los dientes del paciente, creando un modelo exacto que se envía a un laboratorio para la fabricación de las carillas.
- Aplicación: una vez que las carillas están listas, se adhieren a los dientes utilizando un adhesivo especial y se tratan con luz para solidificar el pegamento. Cementamos todas las restauraciones en un solo paso, eliminando así, cualquier inconveniente asociado a las técnicas de cementación convencionales.

Carillas dentales: ventajas
Las ventajas de las carillas dentales son numerosas para aquellos que desean mejorar su sonrisa. Algunas son:
- Mejora significativa en la apariencia de los dientes.
- Las carillas, especialmente las de porcelana y zirconio, destacan por su resistencia a las manchas y durabilidad, requiriendo poco mantenimiento más allá de una buena higiene bucal.
- Tratamiento de estética dental poco invasivo: su colocación es realmente sencilla y generalmente indolora. No, es un procedimiento indoloro. En caso de necesitar tallado, se realiza con anestesia local.
Carillas dentales: desventajas
- Precio relativamente alto, especialmente para las de porcelana y zirconio.
- Proceso irreversible en algunos casos de carillas de porcelana que requieren tallado previo de los dientes.
- No son una solución para problemas dentales más complejos como dientes muy desalineados o problemas de maloclusión.
¿Cuánto cuestan las carillas dentales?
Los precios de las carillas dentales dependen principalmente del material del que están hechas, el caso específico del paciente o la clínica dental. Algunos valores de referencia, teniendo en cuenta el precio de una carilla por diente, son:
- Carillas de porcelana: 400 - 1.000€
- Carillas composite: 150 - 400€
- Carillas zirconio: 500 - 1.000€
Es importante tener en cuenta que el seguro dental no suele cubrir el coste de las carillas dentales.
Alternativas a las carillas dentales
Dependiendo del resultado que estemos buscando, o el tratamiento que necesitemos, existen algunas alternativas a las carillas:
- Empaste dental: útil para corregir imperfecciones. Es menos invasivo y más económico que las carillas.
- Coronas dentales: cubren el diente entero y se utilizan en casos de caries severas o daño considerable. Si tienes coronas, se pueden reemplazar por nuevas con mejor estética.
- Blanqueamiento dental: puede ser una solución efectiva para mejorar el color de los dientes sin intervenciones invasivas.
- Tratamientos de ortodoncia: incluye ortodoncia invisible o brackets para corregir casos estéticos más complejos, como apiñamientos dentales.