Las carillas dentales son una excelente opción para mejorar tu sonrisa. En la era de las redes sociales y las videollamadas, tener una sonrisa atractiva se ha convertido en una prioridad para muchas personas. Este tratamiento entra dentro de la especialidad de estética dental, y consiste en un revestimiento de la parte visible del diente, de porcelana o composite. Si estás considerando este tratamiento, es fundamental que conozcas todos los detalles: desde los precios actuales hasta los factores que influyen en el coste, pasando por los diferentes tipos de carillas disponibles y qué esperar del procedimiento.
Si vives en Granada y estás buscando una buena clínica dental para mejorar tu sonrisa, estás en el lugar correcto.

¿Qué son las Carillas Dentales?
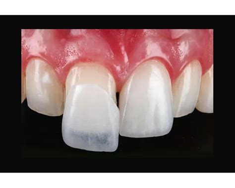
Las carillas dentales son finas láminas de material restaurador que se adhieren a la superficie frontal de los dientes para mejorar su apariencia estética. Las carillas dentales son láminas muy finas que se colocan sobre los dientes para mejorar el aspecto de la dentadura y cubrir anomalías.
Gracias a ellas podemos modificar tanto la forma como el color y apariencia de nuestros dientes. Gracias a su grosor menor a 1mm, se colocan sobre los dientes sin que se note. Su aspecto es muy natural y son imperceptibles a primera vista.
En nuestra Clínica dental ByJ, utilizamos las carillas dentales para dar un aspecto diferente a tu sonrisa, mejorando la resistencia de tus dientes al protegerlos mejor. Las carillas dentales son láminas que se “pegan” al diente para protegerlo de la acción externa, aumentar el tamaño, igualar el color y mejorar la sonrisa.
Podemos encontrarnos con distintos tipos de carillas dentales.
Tipos de Carillas Dentales
Existen diferentes tipos de carillas dentales, cada una con sus propias características y precios:
- Carillas de Composite: Son la opción más económica y accesible. Estas ofrecen un resultado increíble y son las que más se utilizan sobre todo para pacientes jóvenes y correcciones sencillas. Generalmente no hay que limar nunca los dientes, quizás como mucho un ligero contorno. Este tipo de carillas se confeccionan en una única cita. El material con el que se crean proviene de la resina. Este se debe moldear y colocar sobre el diente. El tratamiento es totalmente indoloro ya que apenas se toca el diente.
- Carillas de Porcelana: Las carillas de porcelana representan el estándar de oro en odontología estética. Las carillas de porcelana son creadas con un material más resistente que el composite, por lo que su duración es mayor. Para su elaboración se requieren un par de sesiones de dentista. A diferencia de las carillas dentales de composite, las creadas con porcelana no alteran su color y para su mantenimiento solo es necesario una buena higiene dental. Las carillas dentales de porcelana, son de un material cerámico muy fuerte y resistente. Cada pieza se crea y diseña de forma personalizada y se hacen en un laboratorio dental. La porcelana resiste a las manchas del café, té y tabaco.
- Carillas de Porcelana Ultrafinas: Ofrece una alta duración y calidad. Posee una gran resistencia debido a la porcelana inyectada y pueden tener un grosor de aproximadamente entre 0,3 y 1 milímetro (el grosor de una cartulina).
- Carillas de Zirconio: El zirconio representa la tecnología más avanzada en carillas dentales. Su grosor es mayor y son más opacas que las ultrafinas. Las carillas de porcelana y zirconio son altamente resistentes a las manchas gracias a su superficie lisa y no porosa. No se tiñen con café, té, vino tinto ni tabaco como los dientes naturales. Las carillas de zirconio son las más resistentes a fracturas, seguidas por las de porcelana.

Beneficios de las Carillas Dentales
Existen diferentes beneficios que tienen las carillas dentales:
- Sonrisa natural: Consigue una sonrisa perfecta y natural en poco tiempo con nuestro tratamiento de carillas dentales en Granada.
- Corrección de imperfecciones: Las carillas son utilizadas por muchos clientes para solucionar muchos tipos distintos de problemas. Dientes torcidos o separación. Las carillas sirven para corregir la posición de los dientes. Dientes partidos, rotos o desgastados.
- Resultados inmediatos: Consigue resultados inmediatos. Este tratamiento se lleva a cabo únicamente de 1 a 3 citas en el dentista.
- Gran duración: Las carillas de porcelana son las que ofrecen una mayor durabilidad. Esto es debido a que con el material cerámico con el que están elaboradas, tienen una gran resistencia.
Las carillas dentales nos dan la posibilidad de lucir una sonrisa perfecta y bonita en muy poco tiempo.
¿Cuándo No se Recomiendan las Carillas Dentales?
También podemos tratar casos en los que no recomendamos al paciente ponerse carillas dentales:
- Dientes muy mal colocados.
- Problemas de maloclusión.
- Si el paciente padece bruxismo.
Si tenéis más dudas sobre las carillas dentales no dudes escribirnos en los comentarios, por redes sociales o por correo electrónico.
Proceso de Colocación de Carillas Dentales
El proceso de colocación de carillas es irreversible porque requiere tallar el esmalte dental. El tallado es fundamental para que las carillas se integren naturalmente sin parecer voluminosas. Una vez colocadas, los dientes siempre necesitarán algún tipo de restauración (nuevas carillas o coronas).
No, el procedimiento de colocación de carillas no es doloroso. Se realiza bajo anestesia local, por lo que no sentirás molestias durante el tallado ni la cementación. Después del tratamiento, puede haber sensibilidad dental leve durante los primeros días, especialmente a temperaturas frías o calientes, pero esta sensibilidad suele desaparecer en una o dos semanas.
¿Qué son las Carillas Dentales? - Colocación de Carillas Dentales paso a paso
¿Qué pasa si una Carilla se Daña?
No necesariamente. Si una carilla se daña, solo esa pieza necesita ser reemplazada.
Precio de las Carillas Dentales en Granada
El precio depende del tipo de carilla dental que se quiera utilizar. El precio de las carillas dentales es una de las preguntas que más nos hacen a menudo. No obstante, el precio de las carillas cerámicas es más elevado que el de las carillas dentales de composite.
En cuanto al precio de las carillas dentales, suele variar según el trabajo que se realice previamente antes de su colocación.
Principalmente, el precio de las carillas dentales dependerá de su material, por ejemplo, si son de composite, porcelana o Lumineers. Otro factor importante que puede hacer incrementar el presupuesto será si la técnica necesaria para colocarlas será directa o indirecta. Por último, los honorarios del doctor y de la clínica también pueden hacer que el precio final se incremente.
| Tipo de Carilla | Precio Estimado por Pieza |
|---|---|
| Composite | €200 - €400 |
| Porcelana | €400 - €800 |
| Zirconio | €600 - €1000 |
Recuerda que el precio no debe ser el único factor a tener en cuenta antes de realizarte un tratamiento de este tipo.
Te animamos a que preguntes cómo te quedaría este tratamiento y qué precio tendría en tu caso.
Dónde Encontrar las Mejores Clínicas Dentales en Granada
Después de comprender toda la información sobre precios, tipos de carillas, procesos y consideraciones, es fundamental elegir la clínica dental adecuada para tu tratamiento. En multiestetica.com contamos con las mejores clínicas para el tratamiento de Carillas dentales. Para que encuentres el mejor precio ponemos a tu alcance la mayor selección de ofertas.
En la clínica De Vicente Ortodoncia siempre trabajamos las últimas técnicas en Odontología, utilizando la mejor calidad de material y la tecnología más avanzada. En la clínica De Vicente Ortodoncia, nuestros expertos en estética dental te ayudarán a decidir el material que mejor se adapte a sus necesidades.
¿Qué buscar en una clínica dental?
- Diseño Digital de Sonrisa (DSD): Utilizamos software especializado que permite visualizar tu nueva sonrisa antes de iniciar el tratamiento.
- Escáneres intraorales 3D: Olvidate de las incómodas impresiones tradicionales con pasta.
- Equipo especializado: Nuestro equipo está formado por odontólogos con formación específica y actualizada en estética dental.
- Experiencia demostrable: Contamos con un extenso portfolio de casos reales que puedes consultar durante tu primera visita.
- Enfoque personalizado: Entendemos que cada sonrisa es única.
Financiación
La mayoría de clínicas dentales ofrecen la opción de financiar el tratamiento de carillas dentales o de pagar mediante tarjeta de crédito.