Las carillas dentales se colocan en la superficie frontal de los dientes con la finalidad de mejorar su aspecto. Son uno de los tratamientos dentales estéticos más demandados actualmente, tanto por su sencillez como por su precio.

¿Qué son las carillas dentales?
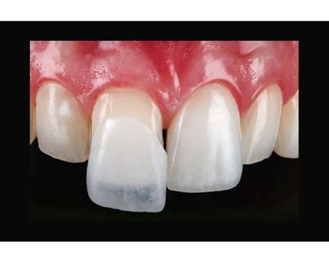
Las carillas dentales son unas láminas muy finas -generalmente inferiores a un milímetro de espesor- que se fijan sobre la parte visible de uno o varios dientes. Su principal objetivo es mejorar el aspecto de los dientes, ya sea para modificar su tamaño, color, forma o posición. Por tanto, tienen una finalidad puramente estética.
Su objetivo es corregir problemas estéticos (fracturas leves, cambios de color…) o patológicos (originados por caries). Pueden estar hechas de diferentes materiales, pero suelen ser de porcelana o composite. Por lo general, estas últimas suelen confeccionarse en la propia clínica dental con un material fotocurable, igual que el que se usa para hacer los empastes.
¿Quién puede llevar carillas dentales y cuándo se recomiendan?
Las carillas dentales son una opción muy recomendable para pacientes:
- Con fracturas o irregularidades.
- Con dientes muy manchados o muy oscuros.
- Con diastemas o grandes espacios interdentales.
- Con dientes erosionados o con el esmalte dañado.
Es importante que los dientes estén adecuadamente alineados y no presenten desgaste excesivo. No son una opción adecuada en todos los casos.
Una de las situaciones en las que no se deben colocar carillas es cuando el paciente sufre de bruxismo o rechina los dientes de forma excesiva. El constante desgaste provocado por el rechinamiento puede dañar las carillas, haciendo que se astillen o se rompan.
Otro caso en el que no se deben poner carillas es cuando existen problemas graves de alineación dental. Si los dientes están muy desalineados o apiñados, puede ser necesario primero optar por tratamientos de ortodoncia antes de considerar las carillas, ya que estas no corregirán problemas de alineación, solo mejorarán la estética superficial de los dientes.
Tipos de carillas dentales
El procedimiento de colocación depende del tipo de carillas que vaya a llevar el paciente (porcelana, composite, disilicato de litio…). A la hora de elegir un tipo de carillas u otro es necesario acudir a la clínica dental y que sea el odontólogo quien aconseje el tipo de carilla más conveniente, en función de las necesidades de cada paciente.
Carilla Dental de Composite
La Carilla Dental de Composite mejora la estética de la sonrisa cambiando la forma y diseño del diente mediante capas Composite que se aplican en la superficie externa del mismo. Es un procedimiento poco invasivo que permite mantener los dientes propios y que, además de conseguir un acabado perfecto, tiene una gran durabilidad.
Se moldean directamente sobre el diente, permitiendo corregir imperfecciones como manchas o fracturas. Aunque son menos duraderas que las de cerámica, su mantenimiento es sencillo y su colocación no requiere tallado excesivo.
Carilla Dental de Porcelana
La Carilla Dental de Porcelana de alta estética consiste en una fina lámina de porcelana creada a medida que se cementa con resinas especiales sobre la superficie del diente para cambiar alteraciones de forma, posición y color. Este tratamiento requiere un alto grado de experiencia y conocimientos estéticos del profesional ya que, una vez realizado, no es reversible.
Ofrecen una solución más resistente y estética gracias a su acabado translúcido que imita al esmalte natural. Su colocación requiere tallar ligeramente el diente y tomar medidas para su fabricación en laboratorio, pero su durabilidad y resistencia a manchas son superiores al composite.
Además de las carillas de composite inyectadas, ofrecemos otras alternativas de calidad, en función de las necesidades y el motivo de consulta del paciente, como pueden ser las carillas de disilicato de litio o las carillas de zirconio. Todas ellas ofrecen unos resultados óptimos, por lo que valoraremos la opción que mejor se adapte a cada paciente tras un completo estudio.

Carillas de disilicato de litio
Ventajas de las carillas dentales de composite inyectadas
- Procedimiento muy rápido.
- Corregimos problemas estéticos.
- Tratamiento mínimamente invasivo.
- Más económicas que otras carillas.
- Indoloro, sin necesidad de anestesia.
- Mejoramos la autoestima del paciente.
- Tratamiento reversible, podemos retirar las carillas de forma sencilla e indolora.
De los últimos avances en Odontología han surgido alternativas como las carillas inyectadas de composite. Estas se adhieren directamente a la superficie del diente mediante una resina fabricada en composite, por lo que no sería necesario tallar el diente. Por un lado, podemos completar el proceso de colocación en un solo día, por lo que el paciente podrá lucir sonrisa nueva en pocas horas. Por otra parte, esta reducción de los tiempos, se traduce en un menor coste económico para el paciente.
Antes de colocarlas realizamos un completo estudio previo. En este estudio analizamos la morfología facial del paciente para diseñar una sonrisa armónica, adecuada a su rostro y que cumpla sus expectativas.
Durabilidad de las carillas dentales
Las carillas dentales son una solución duradera y eficaz para mejorar la estética dental, pero, como cualquier tratamiento, tienen una vida útil que depende de varios factores. La duración de las carillas dentales está determinada por diversos factores, como los cuidados que siga el paciente en cuanto a higiene oral, alimentación, tabaco, hábitos, revisiones con el dentista, etc. Adicionalmente, la durabilidad del tratamiento también depende del material con el que están fabricadas las carillas y de la técnica de colocación (directa o indirecta).
Por ello, no resulta posible determinar de antemano cuánto tiempo duran las carillas dentales. Lo que sí podemos decirte es que, con unos cuidados y unos mantenimientos adecuados, son un tratamiento pensado para durar a largo plazo.
Las carillas de porcelana pueden durar entre 10 y 15 años si se cuidan adecuadamente. Después de este tiempo, pueden necesitar un reemplazo. Es importante destacar que el cambio de carillas dentales no suele realizarse de manera rutinaria; generalmente, se hace cuando es necesario debido a desgaste, daño o cambios en la estética dental.
Con los cuidados adecuados, las carillas de composite son una solución muy duradera. Recomendamos realizar revisiones e higienes periódicas para mejorar su conservación.
Cuidados de las carillas dentales
Las carillas dentales no requieren ningún tipo de tratamiento específico. Las carillas dentales cubren el diente y se mantienen en perfecto estado con una higiene bucal correcta.
Como las carillas cubren la parte más expuesta de los dientes, éstas podrían ocultar enfermedades incipientes como las caries. Ninguno para la salud de los dientes siempre que acudas a revisiones periódicas.
Carillas Dentales Vs Diseño de Sonrisa | Lo que tienes que saber antes de decidir
Carillas Dentales en Huelva: Encuentra tu clínica ideal
Si buscas una clínica dental en Huelva especializada en carillas dentales, en Face Clinic te ofrecemos una solución a medida para transformar tu sonrisa. En FACE CLINIC, somos expertos en carillas dentales en Huelva, ofreciendo tratamientos personalizados para mejorar la estética de tu sonrisa. Empleamos técnicas innovadoras y seguras para diseñar sonrisas armoniosas y funcionales.
En Aire Estudio Dental contamos con un especializado equipo en alta estética dental en Huelva. Ofrecemos un excelente tratamiento de carillas dentales en Huelva. En Aire Estudio Dental, especialistas en estética dental en Huelva, realizamos un estudio detallado de la boca con el fin de ofrecerte los mejores tratamientos para mejorar tu estética. Nos comprometemos a ofrecer soluciones estéticas de calidad según las necesidades de cada uno de nuestros pacientes.
En Clínica Boccio contamos con distintas opciones de carillas dentales en Huelva, de acuerdo a tus necesidades. ¿Cuántas razones necesitas para convertir a Clínica Boccio en tu clínica dental de confianza?
En CAS Dental nos situamos a la vanguardia en Estética Dental para poder ofrecer a nuestros pacientes las técnicas más novedosas, como son las carillas de composite inyectadas o las de disilicato de litio o de zirconio.
Si quieres mejorar tu sonrisa con carillas dentales en Huelva, en Face Clinic te ofrecemos una consulta de valoración personalizada. Nuestro especialista en carillas dentales evaluará tus necesidades y expectativas, explicándote las diferentes opciones disponibles, sus beneficios y el procedimiento paso a paso.