La sonrisa es una de nuestras cartas de presentación más importantes. En la era de las redes sociales y las videollamadas, tener una sonrisa atractiva se ha convertido en una prioridad para muchas personas. Las carillas dentales son una solución estética que sirve para mejorar la apariencia de los dientes. Si estás considerando este tratamiento, es fundamental que conozcas todos los detalles: desde los precios actuales hasta los factores que influyen en el coste, pasando por los diferentes tipos de carillas disponibles y qué esperar del procedimiento.
En Clínica Dental Dobleese, entendemos que el costo de las carillas dentales puede ser significativo. Por ello, ofrecemos opciones de financiación del tratamiento dental para facilitar su acceso. Si tiene alguna pregunta o desea agendar una consulta, no dudes en ponerte en contacto con nosotros.
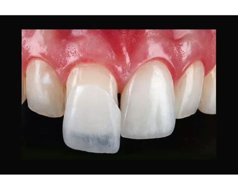
ANTES DE PONERTE CARILLAS DENTALES ¡DEBES VER ESTE VÍDEO!
¿Qué son las Carillas Dentales?
Las carillas dentales son finas láminas de material restaurador que se adhieren a la superficie frontal de los dientes para mejorar su apariencia estética. Su principal objetivo es mejorar el aspecto de los dientes, ya sea para modificar su tamaño, color, forma o posición. Por tanto, tienen una finalidad puramente estética.

Las personas que habitualmente optan por un tratamiento de carillas son aquellas que quieren mejorar su imagen estética, especialmente el color, la forma y la posición de los dientes. Sin embargo, no todas las personas son aptas para este tipo de tratamiento. Habitualmente, los pacientes que pueden someterse a un tratamiento de carillas son aquellos con una buena salud bucal en general. Es importante tener unos dientes y encías saludables. También es importante tener suficiente esmalte dental.
Beneficios de las Carillas Dentales
- Sonrisa más blanca.
- Recupera la apariencia natural de tus dientes.
- Recupera la forma de tus dientes.
- Tratamiento mínimamente invasivo.
- Un único tratamiento para varios problemas.
- Las carillas permiten solucionar varios problemas coexistentes.
Tipos de Carillas Dentales y Materiales
Cuando se trata de transformar una sonrisa, es fundamental identificar qué clase de carillas dentales están disponibles. Existen varios tipos de fundas dentales que se clasifican según el material utilizado en su fabricación.
Carillas de Composite

Las carillas de composite, o de resina sintética, son una opción más económica que las de porcelana. Las microcarillas de composite son más delgadas que las carillas tradicionales. Las carillas de composite son la opción más económica y accesible. Las carillas de composite son una alternativa demandada entre nuestros pacientes en Madrid. Su ventaja principal es que se colocan en una sola sesión y permiten mejorar pequeñas imperfecciones sin modificar en exceso el diente original. Además, su coste reducido en comparación con otras opciones las convierte en una elección popular entre quienes buscan optimizar su sonrisa sin un gran desembolso.
Las carillas de composite las utilizamos para arreglar pequeñas imperfecciones. Suele ser restauraciones de piezas anteriores que son menos visibles. El composite es uno de los materiales más usados en odontología ya que permite imitar muy fielmente el tono real de los dientes. La colocación de las carillas dentales de composite se realiza en una sola sesión en caso de optar por la técnica directa. Mediante esta técnica, el/la dentista diseña la fina lámina directamente sobre la pieza del paciente.
Las carillas de composite, un material fabricado con varias resinas compuestas, tienen la ventaja de que son reversibles. El trabajo previo con los dientes es mínimo, por lo que no los altera de forma permanente. Por otra parte, tienen la desventaja de que no imitan tan bien el esmalte de los dientes como las de porcelana. Además, al ser la resina un material poroso, pueden mancharse y son susceptibles de sufrir astillados o fracturas.
Las carillas de resina o composite son una opción popular ya que se pueden aplicar directamente en la clínica dental en una sola sesión. Son más económicas que las de porcelana, pero pueden ser menos duraderas y tienden a mancharse con el tiempo.Para hacerlas resistentes, se someten a una luz alógena potente. Entre las ventajas de las carillas de composite, destaca que son fáciles de restaurar si se rompen o fracturan, lo que significa que el dentista puede hacerlo en el consultorio sin necesidad de enviarlas a un laboratorio. Entre los inconvenientes, destaca que con el tiempo, el color y brillo de las carillas de composite pueden ir perdiéndose.
Carillas de Porcelana

Las carillas de porcelana son conocidas por su durabilidad y apariencia natural. Las carillas de porcelana requieren solo dos citas una vez el diseño de sonrisa y estudio están definidos. Las carillas de porcelana representan el estándar de oro en odontología estética. Las carillas Emax están hechas de disilicato de litio, un material altamente estético y duradero. Las carillas de porcelana simbolizan la excelencia en estética dental. En nuestra clínica colaboramos con laboratorios de prestigio para diseñar piezas totalmente individualizadas. Su resistencia y similitud con el diente natural las convierten en la opción ideal para quienes desean una sonrisa armónica y de larga duración. Su proceso de fabricación incluye la selección de tonalidades, simulaciones digitales y un tallado preciso, garantizando un resultado estético superior.
Las carillas de porcelana, al utilizar este material, cuentan con la ventaja de que resisten muy bien a las manchas. Además, la porcelana tiene un aspecto muy similar al de los dientes naturales cuando estos están sanos y blancos. Además, las carillas de porcelana pueden corregir problemas como el desgaste de los dientes, así como cubrir piezas astilladas o rotas.
Las láminas dentales conocidas como carillas de porcelana toman su nombre del material del cual están hechas. En los últimos años, las carillas de porcelana han ganado popularidad debido a su capacidad para imitar el esmalte dental de manera efectiva. Las carillas de porcelana ultrafinas son las de mayor calidad y ofrecen la mejor apariencia estética. Por otro lado, las carillas de porcelana de zirconio son fundas dentales más gruesas que brindan una gran resistencia. Sin embargo, su uso solo está indicado en casos específicos y debe ser evaluado por un dentista profesional. Finalmente, las carillas de porcelana de disilicato de litio son construidas con una combinación de cerámica y vidrio, lo que garantiza una vida útil tres veces mayor que otros materiales similares.
En determinados casos, incluso es posible colocar este tipo de carillas sin tallado dental. Las carillas están pensadas para dar un gran cambio estético a la sonrisa, por lo que únicamente se colocan en los dientes que enseñamos al sonreír. Las carillas dentales de porcelana tienen una duración mayor que las de composite, pudiendo resistir en perfectas condiciones hasta 15 años, y además no pierden su color ni se tiñen. Esta duración depende en gran medida de que el paciente siga las instrucciones de su odontólogo relativas a mantenimiento y cuidados.
Otros Materiales
El zirconio representa la tecnología más avanzada en carillas dentales.
Proceso de Colocación de Carillas Dentales
El procedimiento de colocación depende del tipo de carillas que vaya a llevar el paciente (porcelana, composite, disilicato de litio…).
- Durante este proceso, el odontólogo examinará los dientes del paciente para asegurarse de que es apto para recibir el tratamiento y si es más adecuado realizarlo con carillas de porcelana o composite.
- En segundo lugar, se preparará el diente a tratar. Esta preparación consiste en eliminar de la superficie del diente parte del esmalte.
- En tercer lugar, se tomarán las impresiones.
- El cuarto paso consiste en colocar las impresiones de las carillas ya terminadas. Para poder hacerlo, hay que preparar el diente, en un proceso que consiste en limpiar, pulir y grabar la pieza dental.
- El quinto y último paso será ajustar esta colocación. Para ello, se eliminará cualquier exceso del cemento especial utilizado.

¿Cuánto Cuesta Ponerse Carillas? Precios de las Carillas Dentales
En la Clínica Dental Dobleese, los precios de las carillas dentales varían según el tipo de material y la complejidad del tratamiento. El coste de las carillas dentales en Madrid puede variar significativamente dependiendo del material, la cantidad de piezas y la técnica empleada. Como habrás podido comprobar, en el precio de las carillas dentales influyen varios factores.
El precio de las carillas dentales estéticas puede parecer dispar si comparas entre diferentes opciones. Como hemos comentado anteriormente, podemos elegir entre el composite y la porcelana para confeccionar las carillas. Sin embargo, la calidad y beneficios del segundo material supera con creces al composite.
Si deseas conocer el precio de las carillas dentales, es importante que tengas en cuenta que existen distintos tipos disponibles. Esto no solo se debe a los materiales utilizados en su elaboración, sino que también dependerá de las necesidades específicas del paciente en términos de salud bucal.
A la hora de elegir un tipo de carillas u otro es necesario acudir a la clínica dental y que sea el odontólogo quien aconseje el tipo de carilla más conveniente, en función de las necesidades de cada paciente. El precio de las carillas varía según el material elegido.
Una de las dudas más comunes que recibimos es: cuesta colocar carillas en todos los dientes visibles? El presupuesto total dependerá del número de carillas requeridas (normalmente entre 8 y 10 por arcada) y del material elegido. Oscila entre 250 € y 1200 € por unidad.
Es importante tener en cuenta que el coste está relacionado con la calidad del tratamiento y que se deben realizar consultas con el dentista para elegir la carilla adecuada y recibir una evaluación del precio, suele variar entre 420€ y 750€ cada carilla.
Los importes indicados han sido calculados de forma estimativa en base a un tratamiento completo de acuerdo a los parámetros indicados en la tabla. Incluye; estudio, tratamiento y revisiones durante el tratamiento, por lo que es orientativo teniendo carácter meramente informativo y no contractual. El tratamiento personalizado será estudiado bajo prescripción médica. Los precios pueden incrementarse en el caso de que existan costes adicionales derivados de las peticiones que realice cada cliente.
En la siguiente tabla se muestran los precios orientativos de las carillas dentales:
| Tipo de Carilla | Precio Estimado por Unidad (€) |
|---|---|
| Carillas de Composite | 100 - 150 |
| Carillas de Porcelana | 420 - 750 |
| Carillas de Porcelana (Emax o Lumineers) | 2930 (de canino a canino superior, incluido mock up) |
*Incluye carilla sobre diente de disilicato de litio. Revisión y seguimiento. **Importe mínimo: 144€. Ejemplo de financiación para un importe de 604,00€ en 12 meses. Comisión de formalización del 2,00%: 12,08€ a pagar en la primera cuota. Importe financiado: 604,00€. Primera cuota de 64,47€. 10 cuotas de 52,39€ y una última cuota de 52,35€. TIN 7,45% TAE 11,82%. Total intereses: 24,64€. Coste total del crédito: 36,72€. Importe total adeudado y precio total a plazos: 640,72€. Precio de adquisición al contado: 604,00€. Sistema de amortización francés. Financiación ofrecida por Banco Cetelem S.A.U.
Consideraciones Adicionales
¿Duele el Tratamiento?
No, el procedimiento de colocación de carillas no es doloroso. Se realiza bajo anestesia local, por lo que no sentirás molestias durante el tallado ni la cementación. Después del tratamiento, puede haber sensibilidad dental leve durante los primeros días, especialmente a temperaturas frías o calientes, pero esta sensibilidad suele desaparecer en una o dos semanas.
Mantenimiento y Duración
Es imprescindible que el paciente mantenga una buena higiene dental. La duración de las carillas dentales está determinada por diversos factores, como los cuidados que siga el paciente en cuanto a higiene oral, alimentación, tabaco, hábitos, revisiones con el dentista, etc. Adicionalmente, la durabilidad del tratamiento también depende del material con el que están fabricadas las carillas y de la técnica de colocación (directa o indirecta). Por ello, no resulta posible determinar de antemano cuánto tiempo duran las carillas dentales. Lo que sí podemos decirte es que, con unos cuidados y unos mantenimientos adecuados, son un tratamiento pensado para durar a largo plazo.
Las carillas de porcelana y zirconio son altamente resistentes a las manchas gracias a su superficie lisa y no porosa. No se tiñen con café, té, vino tinto ni tabaco como los dientes naturales. Aunque las carillas son resistentes, no son indestructibles. Las carillas de zirconio son las más resistentes a fracturas, seguidas por las de porcelana.
Si una carilla se daña, solo esa pieza necesita ser reemplazada. El proceso de colocación de carillas es irreversible porque requiere tallar el esmalte dental. Una vez colocadas, los dientes siempre necesitarán algún tipo de restauración (nuevas carillas o coronas).
¿Se Pueden Blanquear las Carillas?
No, las carillas dentales no se pueden blanquear. Por ello, antes de colocarse una carilla es necesario asegurarse de que el color es el adecuado. Esto se consigue mediante las pruebas que realiza el odontólogo al paciente, en las que se determina cuáles son el color, la forma, el tamaño o la posición más adecuados. Además, a la hora de pensar en el color también es importante tener en cuenta el grosor de la carilla.
Contraindicaciones
Hay personas que están interesados en llevar carillas dentales para mejorar su sonrisa pero tienen malposiciones muy severas. Esto hace que los profesionales recomienden al paciente la posibilidad de llevar ortodoncia. Cuando el paciente no tiene una buena mordida (clase II, clase III, mordida cruzada…) las carillas dentales también pueden estar contraindicadas porque hay riesgo de rotura. Aunque en muchas ocasiones el hecho de padecer bruxismo se presente como una contraindicación, lo cierto es que en Ferrus&Bratos tratamos a pacientes que tienen este hábito y llevan carillas estéticas.No contar con una adecuada higiene bucodental no solamente es perjudicial para la salud dental, sino también para usar carillas dentales. La acumulación de sarro conlleva la aparición de inflamaciones en las encías o filtraciones.
¿Cómo Elegir la Clínica Dental Adecuada?
Después de comprender toda la información sobre precios, tipos de carillas, procesos y consideraciones, es fundamental elegir la clínica dental adecuada para tu tratamiento.
- Diseño Digital de Sonrisa (DSD): Utilizamos software especializado que permite visualizar tu nueva sonrisa antes de iniciar el tratamiento.
- Escáneres intraorales 3D: Olvidate de las incómodas impresiones tradicionales con pasta.
- Nuestro equipo está formado por odontólogos con formación específica y actualizada en estética dental.
- Experiencia demostrable: Contamos con un extenso portfolio de casos reales que puedes consultar durante tu primera visita.
- Enfoque personalizado: Entendemos que cada sonrisa es única.
En Clínica Ferrus & Bratos, entendemos que elegir un procedimiento de estética dental es una elección relevante. Por ello, hemos preparado esta guía detallada sobre los tipos de carillas dentales y sus precios, con el fin de ayudarte a decidir según tus necesidades estéticas y capacidad presupuestaria.
tags: #carillas #dentales #individuales