Las carillas dentales son una solución estética avanzada que transforma tu sonrisa de forma rápida y efectiva. Este tratamiento permite mejorar la apariencia de los dientes de forma sencilla, ofreciendo un acabado natural y armonioso.

¿Qué son las Carillas Dentales?
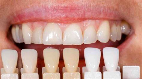
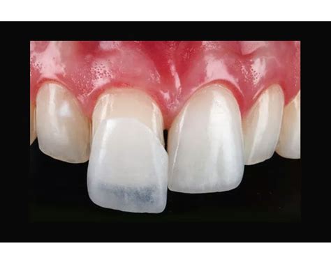
Las carillas dentales son finas láminas de diferentes materiales, como porcelana, cerámica o composite, que se adhieren a la superficie del diente. Son ultrafinas y en muchos casos no requieren desgaste del esmalte natural. Se adhieren directamente al diente, conservando su estructura original. Fabricadas con materiales de alta calidad, son resistentes y duraderas. Ofrecen un aspecto muy natural gracias a su translucidez, imitando perfectamente el esmalte dental.
Tipos de Carillas Dentales
Existen principalmente dos tipos de carillas dentales profesionales:
- Carillas de porcelana: Son extremadamente estéticas y duraderas. Son finísimas, parecen la capa de una lenteja en grosor, pero muy resistentes. Mantienen su color con el tiempo y pueden durar entre 10 y 15 años con buenos cuidados.
- Carillas de composite (resina): Se construyen directamente sobre el diente aplicando capas de resina del color adecuado. Son más económicas que las de porcelana y se pueden realizar en una sola visita.
Ambas opciones transforman la sonrisa de forma significativa.

Carillas Dentales Vs Diseño de Sonrisa | Lo que tienes que saber antes de decidir
Carillas Dentales Removibles: ¿Una Opción Viable?
Llegamos al meollo del asunto: ¿Es posible comprar carillas dentales en una farmacia? La respuesta corta es sí, en algunas farmacias y tiendas online se comercializan carillas dentales de uso doméstico. Básicamente, son carillas dentales temporales, removibles y prefabricadas. No tienen nada que ver con las carillas profesionales de porcelana o composite que describí antes, sino que son más bien prótesis estéticas de quita y pon. Su finalidad es meramente cosmética y temporal, algo así como “ponte un smile postizo para una ocasión especial”.
Tipos de Carillas Removibles
- Férula completa tipo “snap-on”: Es una placa delgada de resina o plástico que viene con la forma de una hilera de dientes (generalmente para la arcada superior, que es la más visible al sonreír). Esta férula se encaja sobre tus dientes cubriendolos por delante. Un ejemplo muy conocido es el producto comercial Perfect Smile, que se hizo popular en anuncios de TV e internet.
- Carillas adhesivas individuales: Menos frecuentes, pero también existen kits con láminas adhesivas que se pegan sobre cada diente frontal. Vienen en un color blanco/porcelana estándar y traen un pegamento dental o se auto-adheren con la humedad.
Limitaciones y Riesgos de las Carillas Removibles
Es importante conocer las limitaciones y riesgos de estas carillas antes de usarlas:
- No corrigen problemas dentales reales: Estas carillas temporales solo camuflan visualmente defectos estéticos leves, pero no solucionan la causa de fondo.
- Ajuste deficiente y comodidad cuestionable: Al ser productos prefabricados de talla única o limitada, es muy difícil que calcen perfectamente en la dentadura de todas las personas.
- Estética poco natural: Paradójicamente, algo diseñado para embellecer la sonrisa puede terminar viéndose falso.
- Fragilidad y poca duración: Estas carillas temporales no están hechas de materiales de alta resistencia.
- No puedes comer con total normalidad: No es recomendable masticar alimentos con ellas, especialmente comidas duras o pegajosas.
- Riesgo de caries y problemas gingivales: Una carilla mal ajustada puede crear espacios donde se acumula placa bacteriana entre la carilla y el diente.
- Adhesivos peligrosos: Si el kit que compras implica usar un pegamento dental para fijar la carilla, hay que extremar precauciones.
- Falsa seguridad y retraso de tratamientos adecuados: Si alguien usa diariamente estas carillas removibles, puede caer en la tentación de postergar visitas al dentista porque “total, mis dientes feos no se ven”.
Carillas Profesionales vs. Carillas de Farmacia: Una Comparación
Es comprensible que muchas personas comparen mentalmente: “¿Por qué pagar un dineral al dentista si puedo obtener algo similar por unos cuantos euros en la farmacia?”. La respuesta está en el famoso “lo barato sale caro”.
| Característica | Carillas Profesionales | Carillas de Farmacia |
|---|---|---|
| Material y calidad | Porcelana de alta calidad o resina compuesta | Plásticos más blandos o resinas acrílicas baratas |
| Personalización | 100% personalizadas a la medida de cada diente | Estándar, en uno o pocos tamaños y tonos genéricos |
| Procedimiento de colocación | Realizado por un dentista con preparación dental | Colocadas por el propio usuario en casa |
| Permanencia | Permanentes o a muy largo plazo | Removibles y de uso temporal |
| Durabilidad | 10-15 años (porcelana), 5-7 años (composite) | Pocos meses de uso frecuente |
| Resultados estéticos | Prácticamente indistinguibles de un diente natural | Mejora estética evidente pero con cierto "filtro Instagram" |
| Seguridad y salud oral | Seguro, con supervisión profesional y materiales aprobados | Riesgos de dañar esmalte, caries, reacciones alérgicas |
| Coste económico | Más elevado (300€-600€ por carilla de porcelana) | Más económico (20€-50€ por carilla removible) |
Alternativas a la Cirugía para un Contorno Mandibular Definido
El contorno mandibular es uno de los aspectos que más inciden en la forma y definición del óvalo facial. Para corregir la forma, posición y tamaño de la mandíbula existen varias técnicas, dependerá de cada paciente y de los resultados que se quieran conseguir.
Existe una alternativa a la cirugía, como lo es el ácido hialurónico, para aportar la elasticidad y resistencia necesaria para mejorar el perfil mandibular y el mentón. La técnica Chin Wing es el último procedimiento que existe tanto para mentón como para contorno mandibular. Permite aumentar la proyección del mentón a la vez que conseguimos aumentar los ángulos de la mandíbula para conseguir un rostro con más fuerza y personalidad, una intervención perfecta para los tratamientos de masculinización facial y conseguir la fuerza y personalidad deseada.
La mandíbula del Capitán América es un tratamiento pionero que ofrece como resultado una mandíbula marcada o lo que se conoce como mandíbula perfecta. La técnica Chin Wing es la mejor solución para aquellas personas con falta de proyección de mentón y quieren aumentar sus ángulos mandibulares.