Las carillas dentales se han convertido en uno de los tratamientos estéticos más populares para mejorar la sonrisa. Estas finas láminas se colocan en la superficie frontal de los dientes para corregir imperfecciones de color, forma, tamaño o posición. Su popularidad se debe a su sencillez y a los excelentes resultados que ofrecen. En este artículo, exploraremos los diferentes tipos de carillas dentales y los materiales con los que están fabricadas.

¿Qué son las Carillas Dentales?
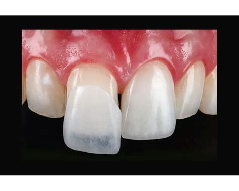
Las carillas dentales son láminas muy finas, generalmente inferiores a un milímetro de espesor, que se fijan sobre la parte visible de uno o varios dientes. Su objetivo principal es mejorar el aspecto de los dientes, ya sea para modificar su tamaño, color, forma o posición. Este tratamiento tiene una finalidad puramente estética y puede solucionar problemas como fracturas leves, cambios de color o incluso patologías originadas por caries.
¿Para qué sirven las carillas dentales y cuándo ponerlas?
Las carillas dentales sirven para modificar el color, la forma, el brillo o las dimensiones de los dientes, en casos de dientes ligeramente torcidos o con apiñamiento muy leve, dientes rotos, diastemas o problemas de tinción o de desgaste. Algunos de estos problemas en casos más severos necesitarían ortodoncia, pero en casos leves pueden disimularse usando carillas dentales.
Las carillas dentales son un tratamiento puramente estético, así que se recomienda poner carillas dentales cuando el problema a solucionar no afecta a la salud bucodental del paciente o a su funcionalidad. Es decir, las carillas, por ejemplo, no pueden solucionar problemas de mordida.

Situaciones comunes en las que se utilizan las carillas dentales
- Carillas dentales para dientes desgastados: En casos de dientes desgastados por la edad, erosión por bruxismo o abrasión, las carillas dentales pueden disimular el deterioro, dando más resistencia al diente afectado y devolviéndole su aspecto original, en caso de que éste se haya visto afectado.
- Carillas dentales para dientes apiñados: Se pueden poner carillas dentales cuando el apiñamiento dental es leve. En este caso, las carillas son una solución rápida y eficaz que permite actuar sobre los dientes afectados. Para aplicar carillas dentales sobre los dientes apiñados es necesario un contorneado estético, es decir, modificar ligeramente el esmalte dental original (sin tocar la dentina) para corregir la alineación de los dientes.
- Carillas dentales para dientes separados: Las carillas dentales pueden ser una solución para rellenar espacios pequeños entre dientes separados. Para estos casos, las carillas se pueden usar para modificar el tamaño de los dientes rellenando los huecos existentes y resultando en una sonrisa homogénea.
- Carillas dentales en casos de dientes torcidos: Las carillas dentales son una solución óptima para disimular casos leves de dientes torcidos. En casos más severos, las carillas no son una solución, ya que no pueden solucionar los problemas de funcionalidad que la malposición dental puede ocasionar.
Tipos de Carillas Dentales según su Forma
La forma de las carillas dentales es un factor importante a considerar, ya que determinará el resultado final de la sonrisa. Los tipos más comunes según su forma son:
- Naturales: Los incisivos tienen un acabado ligeramente redondeado y los laterales están un poco más bajos que los centrales. Los caninos son puntiagudos, siendo un poco más largos que los incisivos. Esta opción es ideal para quienes buscan una sonrisa natural.
- Ovaladas: Los incisivos y los caninos tienen una forma más redondeada, dando un acabado desenfadado a la sonrisa.
- Hollywood: Sonrisa con los incisivos centrales cuadrados y los incisivos laterales cuadrados ligeramente, más cortos que los centrales.
Carillas Dentales Vs Diseño de Sonrisa | Lo que tienes que saber antes de decidir
Tipos de Carillas Dentales según el Material
El material de fabricación es otro factor crucial que influye en el precio, la duración y el resultado final de las carillas dentales. Los materiales más comunes son:
Carillas de Composite
Las carillas de composite están hechas de una resina acrílica moldeable a partir de fibras de carbono, vidrio y boro. Estas carillas se colocan en una sola sesión y son útiles para corregir pequeñas imperfecciones. Además, son reversibles, lo que significa que no necesitan un contorneado del diente y se pueden retirar fácilmente.
- Ventajas: Más económicas, reversibles.
- Desventajas: Menos duraderas, menos resistentes a la tinción.
Carillas de Porcelana o Cerámica
Las carillas de porcelana o cerámica están fabricadas con materiales cerámicos. Son las más comunes debido a su alta durabilidad, resistencia y naturalidad. Son altamente personalizables y resistentes a la tinción, lo que justifica su precio más elevado.
Existen tres tipos principales de carillas de porcelana o cerámica:
- De disilicato de litio: Material de alta calidad, resistencia y naturalidad. El proceso de planificación, diseño y fabricación es guiado y 100% digital, disminuyendo el tiempo total de tratamiento y reduciendo el margen de error humano.
- De zirconio: Material altamente resistente, ideal para pacientes con problemas de desgaste dental severo o bruxismo. Ofrecen una estética similar a la porcelana, pero con una mayor variedad de tonalidades.
- Ultrafinas: Permiten modificar la sonrisa sin necesidad de desgastar el diente natural.

Otros tipos de carillas
Además de las carillas de composite y porcelana, existen otros materiales y tecnologías utilizados en la fabricación de carillas dentales:
- Lumineers: Carillas de porcelana ultra-delgadas que se adhieren al diente prácticamente sin modificarlo.
- Resinas compuestas condensables: Consistencia densa para llenar cavidades y proporcionar alta resistencia al desgaste.
- Resina fluida: Se adapta a la forma del diente, conservando la apariencia natural.
- Resinas compuestas microhíbridas: Combinación de partículas de relleno de diferentes tamaños.
- Carillas con resinas nanotecnológicas: Materiales de resina compuesta con propiedades mejoradas gracias a la nanotecnología.
- Carillas de cerámicas feldespáticas: Cerámica de alta calidad con translucidez similar al esmalte natural.
- Carillas vitrocerámicas: Contienen elementos cerámicos y de vidrio para lograr una apariencia similar al esmalte dental natural.
Procedimiento para Colocar las Carillas Dentales
El procedimiento para colocar las carillas dentales generalmente consta de dos o más visitas a la clínica dental. Los pasos a seguir son:
- Primera visita: Diagnóstico del problema y evaluación de la salud bucodental del paciente. Toma de medidas de los dientes para realizar las carillas de manera individualizada.
- Preparación del diente: Limpieza, pulido y grabado del diente para una mejor adhesión.
- Colocación de las carillas: El profesional coloca las carillas sobre los dientes preparados.
El número de visitas puede variar según el tipo de carilla y la complejidad del caso.
Ventajas y Desventajas de las Carillas Dentales
Las carillas dentales ofrecen numerosas ventajas, pero también presentan algunos inconvenientes:
Ventajas
- Solución rápida y efectiva para disimular imperfecciones dentales.
- Tratamiento poco invasivo, rápido, sencillo e indoloro.
- Duraderas, con una duración de varios años con el mantenimiento adecuado.
- Resultado natural, adaptado a la dentadura original del paciente.
Desventajas
- El coste puede ser superior al de otros tratamientos como la ortodoncia invisible para casos de malposición dental.
- Requieren un buen mantenimiento para evitar problemas de tinción o deterioro.
- Pueden causar sensibilidad dental debido a la eliminación de parte del esmalte.
Duración de las Carillas Dentales
La duración de las carillas dentales depende de factores como el tipo de carilla, el mantenimiento y la higiene bucodental del paciente. En general, pueden durar entre 5 y 15 años con los cuidados adecuados.
Precios de las Carillas Dentales
El precio de las carillas puede variar en función del material, la cantidad de dientes tratados y la complejidad del caso. Además, muchas clínicas ofrecen planes de financiación para facilitar el acceso a los tratamientos. A continuación, puedes ver los precios de las carillas dentales:
| Número de Carillas | Pago Único | Financiación (Ejemplo) |
|---|---|---|
| 6 Carillas | 1.107€ | Importe mínimo: 432 €. Ejemplo de financiación para un importe de 1.107.00 € en 36 meses. Comisión de formalización del 2,0%: 22,14 € a pagar en la primera cuota. Primera cuota de 56,55 €. 34 cuotas de 34,41 € y una última cuota de 34,35 €. TIN 7,45% TAE 9,18%. Total intereses: 131,70€. Coste total del crédito: 153,84€. Importe total adeudado y precio total a plazos: 1.260,84€. Precio de adquisición al contado: 1.107,00€. Sistema de amortización francés. Financiación ofrecida por Banco Cetelem S.A.U. válida hasta el 31/12/2025. |
| 8 Carillas | 1.396€ | Importe mínimo: 576 €. Ejemplo de financiación para un importe de 1.396,00€ en 48 meses. Comisión de formalización del 2,00%: 27,92€ a pagar en la primera cuota. Importe financiado: 1.396,00€. Primera cuota de 61,64€. 46 cuotas de 33,72€ y una última cuota de 33,81€. TIN 7,45% TAE 8,83%. Total intereses: 222,65€. Coste total del crédito: 250,57€. Importe total adeudado y precio total a plazos: 1.646,57€. Precio de adquisición al contado: 1.396,00€. Sistema de amortización francés. Financiación ofrecida por Banco Cetelem S.A.U. válida hasta el 31/12/2025. |
| 10 Carillas | 1.671€ | Importe mínimo: 720€. Ejemplo de financiación para un importe de 1.671,00€ en 60 meses. Comisión de formalización del 2,00%: 33,42€ a pagar en la primera cuota. Importe financiado: 1.671,00€. Primera cuota de 66,86€. 58 cuotas de 33,44€ y una última cuota de 33,73€. TIN 7,45% TAE 8,62%. Total intereses: 335,69€. Coste total del crédito: 369,11€. Importe total adeudado y precio total a plazos: 2.040,11€. Precio de adquisición al contado: 1.671,00€. Sistema de amortización francés. Financiación ofrecida por Banco Cetelem S.A.U. válida hasta el 31/12/2025. |
tags: #carillas #dentales #moldeables