La odontología ha avanzado significativamente, buscando ser mínimamente invasiva y ofreciendo resultados superiores a la odontología tradicional. Dentro de los tratamientos estéticos y rehabilitadores, las carillas dentales se han convertido en una de las opciones más solicitadas para mejorar la estética dental.

¿Qué son las Carillas Dentales?
Las carillas dentales son unas finas láminas que se adhieren a la superficie frontal de los dientes con el objetivo de mejorar su apariencia. Este tratamiento es perfecto para dientes afectados por pequeñas imperfecciones como desalineaciones, apiñamiento, manchas o pequeñas fracturas.
Estas láminas se diseñan a medida de cada paciente y pueden estar hechas de diferentes materiales, como porcelana, composite o disilicato de litio.
¿Para qué sirven las Carillas Dentales?
Las carillas dentales sirven para corregir pequeños defectos que afectan al color, el tamaño, la forma o la posición de los dientes. Entre las imperfecciones que pueden solucionar destacan:
- Dientes amarillos o con manchas
- Desgastes en el esmalte
- Diastemas (espacios entre los dientes)
- Leves malposiciones dentales
- Fisuras o fracturas
En cualquiera de los casos anteriores es necesario que el odontólogo realice una valoración del paciente para determinar si las alteraciones de sus dientes pueden ser corregidas con carillas.

Tipos de Carillas Dentales
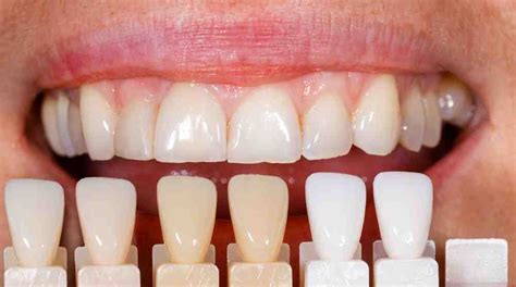
Existen diferentes tipos de carillas dentales en función del material y la técnica empleados en su confección. Cada una de ellas tiene sus ventajas, y la elección dependerá del caso concreto y las necesidades del paciente.
Carillas de Porcelana
La porcelana es un tipo de cerámica altamente resistente a cualquier tipo de daño. Se realizan mediante una cerámica específica dándole la naturalidad y translucidez del esmalte, consiguiendo así un efecto muy estético y natural.
- Ventajas: Alta calidad, resistencia y naturalidad. Son especialmente resistentes ante manchas o decoloraciones. Ofrecen un acabado más realista y duradero.
- Técnica: Indirecta, a través del trabajo de laboratorio.
Carillas de Composite
Estas carillas están confeccionadas con composite, un tipo de resina que cuenta con tres cualidades: se adhiere al diente, es moldeable y permite imitar una infinidad de tonos.
- Ventajas: Proceso de colocación sencillo, no requieren tallar los dientes y su precio. Para colocarse requiere menos desgaste del esmalte que la cerámica.
- Técnica: Directa, se aplican directamente sobre el diente, normalmente en una única sesión.
Carillas Mínimamente Invasivas (Disilicato de Litio)
Estas carillas están fabricadas con disilicato de litio, un material que se caracteriza por su alta calidad, resistencia y naturalidad. El principal beneficio de las carillas de mínima invasión es que su proceso de planificación, diseño y fabricación es guiado y 100% digital.
- Ventajas: Requieren muy poca o ninguna preparación del diente antes de su colocación.
- Técnica: El tallado del esmalte es mínimo (similar al grosor de un cabello).
¿Cuándo es recomendable ponerse carillas en los dientes?
A continuación, te detallamos los casos concretos en los que puede resultar recomendable ponerse carillas para mejorar la apariencia de la sonrisa:
- Dientes amarillos o con manchas: las carillas se pueden utilizar en pacientes que presentan dientes amarillos, decolorados o con manchas.
- Resistencia al blanqueamiento dental: las carillas son un excelente complemento al blanqueamiento.
- Dientes desalineados: las carillas también pueden ofrecer un buen resultado estético a los pacientes que tienen ligeras malposiciones dentales.
- Dientes con formas o tamaños irregulares: las carillas se utilizan para corregir pequeños defectos que afectan a la forma de los dientes.
- Diastemas: las carillas también están recomendadas para disimular los diastemas o espacios entre los dientes.
- Dientes desgastados: las carillas se pueden colocar en dientes que presentan desgastes en el esmalte.
- Dientes fisurados o fracturados: las carillas también pueden estar indicadas en determinados casos de fisuras o fracturas leves en los dientes.
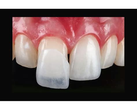
Carillas Dentales sin Tallado o Microcarillas
Las carillas dentales sin tallado, se realizan mediante una técnica mínimamente invasiva que requiere poco o ningún tipo de preparación en el diente. Éstas se realizarán en casos en los que existan:
- Dientes pequeños o cortos.
- Cambios definitivos de color.
- Dientes inclinados/mal posicionados.
En lugar de cubrir todo el diente, como ocurre con la carilla dental, lo que se hace es colocar solo el fragmento necesario. El resultado es sumamente natural, sin tallar ni causar otro tipo de agresiones hacia la superficie dental.
Casos recomendables para microcarillas dentales sin tallado:
- Fractura de un diente frontal por traumatismo (golpe o caída).
- Bordes de los dientes irregulares, desiguales o con tamaño inadecuado.

Procedimiento con microcarillas dentales sin tallado:
- Primera visita: Escaneado oral 3D de tus dientes.
- Segunda visita: Realización de un mockup, una prueba en un material de resina que asemejará a lo que queremos realizar para que tengas una idea previa de lo que podremos obtener. Revisión de la coloración de tus dientes para que las microcarillas dentales sin tallado sean exactamente de ese tono.
- Tercera visita: Colocación de las microcarillas dentales, sin tallar, sin pinchazos dolorosos ni incomodidad.
¿Qué opinan los pacientes de las carillas dentales?
La gran mayoría de pacientes que llevan carillas dentales se muestran muy satisfechos con su elección. Las opiniones sobre las carillas dentales destacan por el alto nivel de satisfacción y los resultados naturales.
Ventajas destacadas por los pacientes:
- Son muy duraderas en el tiempo (aproximadamente 10 años).
- Mejoran la estética y la confianza al sonreír.
Algunos testimonios de pacientes:
- "Una sonrisa te da la vida. Estoy mucho más segura y contenta." - María Isabel
- "La verdad que se lo recomiendo a todo el mundo, tanto por el trato como por el resultado." - Lucía
- "Muy contento con el resultado de las carillas, son muy naturales... Gracias por el trabajo realizado. Muchas gracias Fátima por el trato tan agradable." - María Monserrat Casanovas
Precios de las Carillas Dentales
El precio de las carillas puede variar en función del material, la cantidad de dientes tratados y la complejidad del caso. A continuación, puedes ver los precios de las carillas dentales:
| Número de Carillas | Pago Único |
|---|---|
| 6 carillas | 1.107€ |
| 8 carillas | 1.396€ |
| 10 carillas | 1.671€ |
Además, existen planes de financiación para facilitar el acceso a los tratamientos.
Mantenimiento de las carillas dentales
El mantenimiento de las carillas es fácil y sencillo, y se refiere a una rutina de higiene oral común, haciendo uso del cepillo de dientes y la seda dental. Algunas recomendaciones son:
- Cuidarlas como debes hacer con tus dientes originales, con un cepillado 3 veces al día y utilizando hilo dental.
- Evitar morder cosas duras por esa zona.
- Cepillarse los dientes una cantidad mínima de dos veces al día, una hora después de haber comido.
- Acudir al dentista debe realizar un chequeo periódico del estado de sus carillas, para llevar un control de las mismas y de su deterioro, ya que estas se van desgastando a través del uso.
Casos en los que no están recomendadas las carillas dentales
A pesar de que las carillas están recomendadas en una gran cantidad de situaciones, lo cierto es que también presentan alguna contraindicación. Las más relevantes son las siguientes:
- Mordida borde a borde: en este tipo de mordida, los dientes superiores chocan directamente contra los inferiores cuando la persona cierra la boca.
- Bruxismo que no recibe tratamiento: algo parecido sucede con el hábito de apretar y/o rechinar los dientes.
Unilaser Paso a paso Diseño de Sonrisa Combinado
tags: #carillas #dentales #opiniones #forocoches