Las carillas dentales son una solución estética que sirve para mejorar la apariencia de los dientes. Esta guía te proporcionará toda la información necesaria sobre los tipos de carillas dentales y precios, para que tomes decisiones informadas y ajustadas a tu presupuesto y expectativas estéticas. En Clínica Ferrus & Bratos, entendemos que elegir un procedimiento de estética dental es una elección relevante. Por ello, hemos preparado esta guía detallada sobre los tipos de carillas dentales y sus precios, con el fin de ayudarte a decidir según tus necesidades estéticas y capacidad presupuestaria.

¿Qué son las Carillas Dentales?
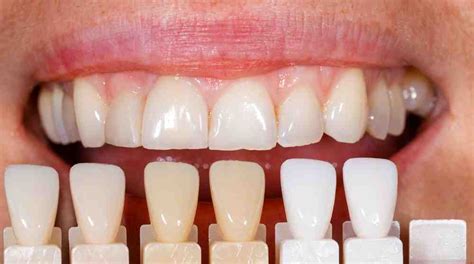
Las carillas son un tratamiento para mejorar la apariencia de los dientes. Consiste en colocar unas láminas de porcelana en la cara frontal de los dientes, mejorando su aspecto estético. Las carillas dan un mejor aspecto en color y forma a los dientes.
¿Quiénes son Candidatos para las Carillas Dentales?
Las personas que habitualmente optan por un tratamiento de carillas son aquellas que quieren mejorar su imagen estética, especialmente el color, la forma y la posición de los dientes. Sin embargo, no todas las personas son aptas para este tipo de tratamiento. Habitualmente, los pacientes que pueden someterse a un tratamiento de carillas son aquellos con una buena salud bucal en general. Es importante tener unos dientes y encías saludables. También es importante tener suficiente esmalte dental.
Tipos de Carillas Dentales
Cuando se trata de transformar una sonrisa, es fundamental identificar qué clase de carillas dentales están disponibles.
- Carillas de composite: recomendadas para quienes buscan una alternativa rápida, económica y con buenos resultados visuales.
- Carillas de porcelana: ideales para quienes desean un acabado más natural y de larga duración.
Ambas opciones se utilizan en función de las condiciones clínicas de cada paciente, siempre tras la evaluación individualizada de nuestros expertos. Dado que las carillas dentales más utilizadas -y las que colocamos con mayor frecuencia en nuestra clínica dental de Madrid- son las de porcelana (e.max y Lumineers) y las de composite, vamos a detallar los beneficios e inconvenientes que presentan cada una de ellas.
Carillas de Composite
Las carillas de composite son una alternativa demandada entre nuestros pacientes en Madrid. Su ventaja principal es que se colocan en una sola sesión y permiten mejorar pequeñas imperfecciones sin modificar en exceso el diente original. Además, su coste reducido en comparación con otras opciones las convierte en una elección popular entre quienes buscan optimizar su sonrisa sin un gran desembolso. Son particularmente útiles en casos donde se busca una transformación notable pero asequible. Las carillas de composite, un material fabricado con varias resinas compuestas, tienen la ventaja de que son reversibles. El trabajo previo con los dientes es mínimo, por lo que no los altera de forma permanente. Por otra parte, tienen la desventaja de que no imitan tan bien el esmalte de los dientes como las de porcelana. Además, al ser la resina un material poroso, pueden mancharse y son susceptibles de sufrir astillados o fracturas.
Carillas de Porcelana
Las carillas de porcelana simbolizan la excelencia en estética dental. En nuestra clínica colaboramos con laboratorios de prestigio para diseñar piezas totalmente individualizadas. Su resistencia y similitud con el diente natural las convierten en la opción ideal para quienes desean una sonrisa armónica y de larga duración. Su proceso de fabricación incluye la selección de tonalidades, simulaciones digitales y un tallado preciso, garantizando un resultado estético superior. Aunque su inversión es mayor, su durabilidad y naturalidad respaldan el coste. Las carillas de porcelana son conocidas por su durabilidad y apariencia natural. Las carillas de porcelana no se manchan ni se tiñen. Además, la porcelana tiene un aspecto muy similar al de los dientes naturales cuando estos están sanos y blancos. Además, las carillas de porcelana pueden corregir problemas como el desgaste de los dientes, así como cubrir piezas astilladas o rotas.
Carillas Emax
Las carillas Emax están hechas de disilicato de litio, un material altamente estético y duradero. La mayoría de las carillas estéticas que colocamos en nuestra clínica dental de Madrid son E-max o Lumineers. Esto quiere decir que tienen un grosor mínimo y que, además, son translúcidas para aportar naturalidad.

Duración de las Carillas
Las carillas dentales de porcelana tienen una duración mayor que las de composite, pudiendo resistir en perfectas condiciones hasta 15 años, y además no pierden su color ni se tiñen. Esta duración depende en gran medida de que el paciente siga las instrucciones de su odontólogo relativas a mantenimiento y cuidados. En contraposición, la duración de las carillas dentales de composite es de un máximo de cinco años aproximadamente. Para llegar a este plazo, es necesario acudir a revisiones de mantenimiento y que el dentista realice el pulido de las carillas dentales. Además, será más fácil que las carillas dentales duren cinco años en buen estado si el paciente sigue unos buenos hábitos en cuanto a higiene y dieta.
Proceso de Colocación de Carillas
Las carillas dentales se colocan sobre la cara visible del diente a través del uso de un material adhesivo específico que permite que la funda se adhiera de forma permanente al diente. Antes de ello, se analiza el estado del diente para asegurarse de que esté sano. Si vamos a colocar varias carillas, debemos elaborar un diseño personalizado de toda la boca, idealmente con una simulación virtual que permita al paciente hacerse una idea de cuál será el resultado final.
El proceso de colocación de las carillas dentales es una técnica mínimamente invasiva cuyos resultados confieren, en la mayoría de los casos, un aumento en la autoestima del paciente.
- Durante este proceso, el odontólogo examinará los dientes del paciente para asegurarse de que es apto para recibir el tratamiento y si es más adecuado realizarlo con carillas de porcelana o composite.
- En segundo lugar, se preparará el diente a tratar. Esta preparación consiste en eliminar de la superficie del diente parte del esmalte.
- En tercer lugar, se tomarán las impresiones.
- El cuarto paso consiste en colocar las impresiones de las carillas ya terminadas. Para poder hacerlo, hay que preparar el diente, en un proceso que consiste en limpiar, pulir y grabar la pieza dental.
- El quinto y último paso será ajustar esta colocación. Para ello, se eliminará cualquier exceso del cemento especial utilizado.
Precios de las Carillas Dentales
El coste de las carillas dentales en Madrid puede variar significativamente dependiendo del material, la cantidad de piezas y la técnica empleada. En nuestra clínica, ofrecemos una relación calidad-precio clara que asegura resultados sobresalientes. El coste de las carillas dentales puede ser significativo. Por ello, ofrecemos opciones de financiación del tratamiento dental para facilitar su acceso. Como habrás podido comprobar, en el precio de las carillas dentales influyen varios factores. El coste de las carillas dentales en Madrid puede variar significativamente dependiendo del material, la cantidad de piezas y la técnica empleada. En nuestra clínica, ofrecemos una relación calidad-precio clara que asegura resultados sobresalientes.
El presupuesto total dependerá del número de carillas requeridas (normalmente entre 8 y 10 por arcada) y del material elegido. En Ferrus & Bratos, cada procedimiento es único. Nuestros tratamientos incluyen una planificación detallada y simulaciones digitales estéticas.
En España, el precio de un tratamiento con carillas dentales parte de unos 1.120 euros. Sin embargo, hay que tener en cuenta que el precio del tratamiento varía en función del número de carillas que se necesiten. En este punto, tenemos buenas noticias para tu bolsillo, ya que las carillas no se colocan en todos los dientes de la boca, sino únicamente en el frente estético. Normalmente, se ponen en los seis dientes delanteros superiores, que son los más visibles al sonreír: dos incisivos centrales, dos incisivos laterales y dos colmillos. No obstante, en algunos casos se pueden llegar a colocar carillas en los premolares, por lo que habría que poner diez carillas en total en la arcada superior.
En cuanto al precio de las carillas de resina normalmente son más económicas, entre 150-200 euros cada una. Aunque en ocasiones no es necesaria la cobertura completa de toda la cara expuesta por lo que el precio podría ser inferior. En cuanto a las carillas de porcelana o cerámica su precio unitario el algo más elevado, pudiendo costar cada carilla entorno a los 600 euros.
Oscila entre 250 € y 1200 € por unidad.
| Tipo de Carilla | Precio Estimado por Unidad |
|---|---|
| Composite | 150 - 200 € |
| Porcelana/Cerámica | 600 € |
| Rango General | 250 - 1200 € |
Mantenimiento y Cuidados
Al igual que en la mayoría de tratamientos dentales, es imprescindible que el paciente mantenga una buena higiene dental. No contar con una adecuada higiene bucodental no solamente es perjudicial para la salud dental, sino también para usar carillas dentales. La acumulación de sarro conlleva la aparición de inflamaciones en las encías o filtraciones.
Dichas indicaciones se centran en cepillarse los dientes después de cada comida, usar la seda dental, evitar el tabaco, utilizar una férula protectora por las noches y acudir al dentista con la regularidad establecida por este (normalmente, entre una y dos veces al año). Adicionalmente, es aconsejable tener ciertas precauciones al comer alimentos muy duros, disminuir el consumo de comidas o bebidas con mucha coloración y tener cuidado con ciertos movimientos al masticar.
Consideraciones Adicionales
Si aun crees que las carillas están contraindicadas o pueden resultar un problema para ti, lo más adecuado es que acudas a un dentista especializado en Estética Dental avanzada. De esta manera, podrás saber con certeza cuál es el tratamiento que más se adapta a tus necesidades.
Hay personas que están interesados en llevar carillas dentales para mejorar su sonrisa pero tienen malposiciones muy severas. Esto hace que los profesionales recomienden al paciente la posibilidad de llevar ortodoncia. Cuando el paciente no tiene una buena mordida (clase II, clase III, mordida cruzada…) las carillas dentales también pueden estar contraindicadas porque hay riesgo de rotura. Aunque en muchas ocasiones el hecho de padecer bruxismo se presente como una contraindicación, lo cierto es que en Ferrus&Bratos tratamos a pacientes que tienen este hábito y llevan carillas estéticas.
Las carillas son un tratamiento que principalmente tiene fines estéticos. Sin embargo, hay que tener en cuenta que no pueden solucionar todos. Según el objetivo, puede que sea necesario recurrir a tratamientos como el blanqueamiento o la ortodoncia.
Hoy en día, podemos decir que, gracias a los avances y a las últimas tecnologías en Odontología Estética, las carillas dentales no dañan los dientes. Tradicionalmente, las carillas dentales de composite siempre han exigido tallar menos el diente que las de porcelana. Dicho esto, la necesidad de realizar el tallado depende de dos factores: la posición y el color. Si ambos aspectos son adecuados, no será necesario hacerlo. En cambio, si el diente se encuentra excesivamente adelantado o tiene un color muy amarillo sí que es necesario “tocar” la pieza dental. En estos casos, se llevará a cabo un tallado dental bajo anestesia local.
No, las carillas dentales no se pueden blanquear. Por ello, antes de colocarse una carilla es necesario asegurarse de que el color es el adecuado. Esto se consigue mediante las pruebas que realiza el odontólogo al paciente, en las que se determina cuáles son el color, la forma, el tamaño o la posición más adecuados. Además, a la hora de pensar en el color también es importante tener en cuenta el grosor de la carilla. Por tanto, si el color de nuestros dientes es amarillo y colocamos la carilla encima, este tono se transparentará y la sonrisa tendrá un aspecto amarillento.
Beneficios de las Carillas Dentales
El tratamiento de carillas dentales ofrece una serie de beneficios que hemos ido desgranando en este artículo. A grandes rasgos, podemos decir que lo mejor de las carillas es que ofrecen una mejora estética de la sonrisa a corto plazo.
- Sonrisa más blanca.
- Recupera la apariencia natural de tus dientes.
- Recupera la forma de tus dientes.
- Tratamiento mínimamente invasivo.
- Un único tratamiento para varios problemas.
- Las carillas permiten solucionar varios problemas coexistentes.
La forma más sencilla de saber si este es el tratamiento indicado para ti es conociendo la opinión de nuestros pacientes con carillas dentales. Una de las dudas más comunes que recibimos es: ¿cuánto cuesta colocar carillas en todos los dientes visibles?
Esta es otra consulta frecuente entre nuestros pacientes. En realidad, no hay una única “mejor” alternativa, sino la que mejor se adapte a tu situación particular. En Ferrus & Bratos te orientamos con claridad y profesionalismo para que elijas con seguridad. ¿Qué tipo de carillas dentales son las más recomendadas? Depende de tus necesidades.
Unilaser Paso a paso Diseño de Sonrisa Combinado
