Las carillas dentales son una solución estética popular para quienes desean mejorar el aspecto de su sonrisa. Estas láminas finas, que se colocan sobre los dientes, pueden transformar tu dentadura al cubrir imperfecciones y anomalías.

¿Qué son las carillas dentales?
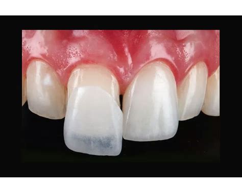
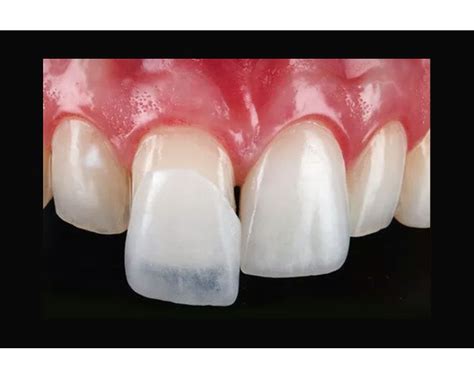
Las carillas dentales son finas láminas de porcelana o composite que se adhieren a la parte frontal de los dientes para mejorar su apariencia. Están diseñadas para cubrir imperfecciones y mejorar la estética dental de manera significativa. Son muy versátiles y pueden adaptarse a las necesidades individuales de cada paciente en términos de forma, tamaño y color.
Materiales de las Carillas Dentales
Principalmente, el precio de las carillas dentales dependerá de su material, por ejemplo, si son de composite, porcelana o Lumineers. Existen varios tipos de carillas dentales, pudiendo destacar especialmente las carillas de porcelana y las carillas de composite.
- Carillas de composite: Hechas de una resina especial, las carillas de composite son más económicas y su implementación lleva menos tiempo. Este tipo de carillas dentales se realizan directamente sobre el esmalte dental con una resina especial para darle la forma deseada al diente. Las carillas de composite utilizan un material parecido al que se usa en la colocación de empastes. Resultan ser las carillas dentales más económicas y sencillas de colocar puesto que se pueden realizar en solo una cita. Por lo tanto, no supone una gran inversión en tiempo y dinero, aunque si suelen requerir más revisiones, para pulir, que las que necesitan las de cerámica.
- Carillas de porcelana: Fabricadas en un material resistente y de aspecto natural, las carillas de porcelana destacan por su durabilidad y su capacidad para imitar el brillo del esmalte dental. Con las carillas de cerámica, el diente obtiene un grosor de 0,5 y 0,8 mm.
- Carillas de zirconio: Reconocidas por su excepcional resistencia y durabilidad, las carillas de zirconio son ideales para pacientes que tienen problemas como el bruxismo, ya que el zirconio es un material que soporta mayor presión que la porcelana. Además, es hipoalergénico y ofrece un acabado de aspecto totalmente natural.
El tipo de carilla a elegir dependerá de tus necesidades estéticas, funcionales y presupuestarias.
Ventajas de las Carillas Dentales
Optar por carillas dentales para recuperar la mejor sonrisa trae múltiples beneficios, entre los que destacan:
- Resultados estéticos inmediatos y duraderos: Ya que con el cuidado adecuado, las carillas pueden mantenerse en perfecto estado durante años.
- Amplia variedad de tonalidades disponibles: Lo que permite igualar el color de las carillas con el de los dientes naturales.
- Estética natural: El resultado que aporta las carillas dentales es sumamente natural, adaptándose al color y forma de los dientes naturales.
Aunque están diseñadas principalmente para fines estéticos, en algunos casos pueden contribuir a mejorar la funcionalidad dental.
Carillas Dentales Vs Diseño de Sonrisa | Lo que tienes que saber antes de decidir
Duración de las Carillas Dentales
Con un cuidado adecuado, las carillas de porcelana pueden durar entre 10 y 15 años, mientras que las de composite tienen una vida útil promedio de 5 a 7 años. La duración de las carillas dentales dependerá del tipo de materiales utilizados para las mismas. Por supuesto, la duración también dependerá del correcto desarrollo del tratamiento.
¿Dónde se colocan las carillas dentales?
Las carillas dentales suelen colocarse en los dientes frontales, como los incisivos y caninos, ya que son las piezas más visibles al sonreír. Sin embargo, en algunos casos específicos, pueden aplicarse en premolares para garantizar una estética armónica.

Proceso de Colocación de Carillas Dentales
El proceso de colocación de carillas dentales es rápido, seguro y prácticamente indoloro. El tratamiento suele requerir al menos dos visitas a la clínica, dependiendo del tipo de carilla elegido.
Para la colocación de carillas de alta estética se requieren visitas previas a la colocación para realizar todas las pruebas necesarias y mandarlas al laboratorio. Una vez el laboratorio mande las carillas definitivas, el especialista procederá a instalarlas en el paciente. Esto se hace con el fin de eliminar cualquier tipo de molestia o dolor que pueda resultar en el paciente, durante el proceso.
En líneas generales, las carillas dentales se adhieren a la superficie natural de cada una de las piezas dentales para mejorar su estética.
Precios de las Carillas Dentales en Pontevedra
El precio de las carillas dentales en Vigo varía según el material elegido, la complejidad del caso y el número de dientes a tratar. El precio de este tratamiento es orientativo, basado en el promedio publicado por los especialistas en Multiestetica.com.
Otro factor importante que puede hacer incrementar el presupuesto será si la técnica necesaria para colocarlas será directa o indirecta. Por último, los honorarios del doctor y de la clínica también pueden hacer que el precio final se incremente.
Factores que influyen en el precio:
- Material: Composite, porcelana o zirconio.
- Técnica: Directa o indirecta.
- Honorarios: Del doctor y de la clínica.
¿Dónde Encontrar Clínicas Dentales y Ofertas en Pontevedra?
En Multiestetica.com contamos con las mejores clínicas para el tratamiento de Carillas dentales. Para que encuentres el mejor precio ponemos a tu alcance la mayor selección de ofertas.
Si estás buscando un tratamiento de carillas dentales en Vigo o Baiona, en Clínicas Dentales Francisco Hernández Vallejo, llevaremos a cabo un diagnóstico gratuito de tu situación.
Consideraciones Adicionales
- Primera Cita: Es necesaria para ver el estado de salud bucal del paciente y si esta técnica es la mejor para mejorar el aspecto de su sonrisa.
- Financiación: La mayoría de clínicas dentales ofrecen la opción de financiar el tratamiento de carillas dentales o de pagar mediante tarjeta de crédito.
- Salud Dental: Siempre hay que tener en cuenta que las carillas no sirven para corregir problemas de salud dental, como por ejemplo una carie. Su utilidad es fundamentalmente estética.
- Revisión Previa: Si estás pensando en recurrir a las carillas dentales como método de estética dental, en Clínicas Dentales Francisco Hernández Vallejo siempre realizamos una revisión previa del estado de las piezas dentales. Estas no deben de tener fracturas graves, ya que esto supondría realizar otro tipo de tratamiento.

tags: #carillas #dentales #pontevedra