Una sonrisa deslumbrante es una de las mejores cartas de presentación que podemos tener. Las carillas dentales se han convertido en la solución estrella para conseguirla, pero… ¿sabías que no todas son iguales? Si estás pensando en transformar tu sonrisa con carillas pero te sientes perdido entre «composite» y «porcelana», sigue leyendo.
Las carillas dentales son láminas extremadamente finas que se adhieren a la parte frontal de los dientes para mejorar su apariencia. Se utilizan en odontología estética para corregir diversos problemas, como el color, la forma, el tamaño de los dientes, los espacios entre ellos y fracturas menores. Recordemos que este tratamiento estético consiste en la colocación de láminas realizadas a medida para fijarse en la parte más externa de los dientes anteriores, proporcionando un aspecto natural y atractivo.
En este artículo, exploraremos detalladamente las ventajas e inconvenientes de las carillas dentales, con el objetivo de ayudarte a valorar si es la opción más adecuada para ti. No sólo hablaremos de los beneficios y ventajas de realizarse este tratamiento de estética dental, sino que también exploramos con detalle las desventajas e inconvenientes de las carillas dentales.

Para corregir dientes fracturados, manchados, desalineados, desgastados o con una separación anormal, normalmente recurrimos a las carillas dentales estéticas. Este tratamiento estético consiste en adherir unas finas láminas a la parte frontal de los dientes y que se confeccionan a medida de cada paciente.
Tipos de Carillas Dentales: Porcelana vs. Composite
El material de estas láminas puede ser de porcelana y composite, pero cuáles son las ventajas e inconvenientes de estas carillas dentales. Los dos tipos principales son las carillas de composite y las carillas de porcelana.
Carillas de Composite
Las carillas de composite están fabricadas con una resina similar a la que utilizamos para los empastes estéticos modernos. Las carillas de composite se fabrican por el odontólogo en el consultorio directamente en boca y se utiliza resina muy estética para su confección. Se recomienda para modificaciones leves. Por ejemplo, cuando se trata de un solo diente o es necesario retocar alguna pequeña parte del diente. Las carillas de composite se aplican directamente sobre el diente en capas en una sola visita. El dentista las esculpe y les da forma.
Ventajas de las Carillas de Composite
- Tratamiento más rápido: El tratamiento es más rápido ya que se puede realizar en una única visita al odontólogo.
- El coste más bajo: Su coste es menor que las carillas de porcelana ya que no se tienen que enviar al laboratorio para su elaboración.
- Fácil reparación: Este tipo de carillas se pueden corregir o moldear de nuevo y restaurar en caso de fractura.
- Alta estética: Se conserva el esmalte del diente y tienen un gran resultado estético.
- Invasión mínima: No es un tratamiento agresivo. Se conserva el esmalte del diente y tienen un gran resultado estético.
- Aspecto natural: El composite se puede moldear y colorear para que coincida perfectamente con el tono y la forma de los dientes circundantes.
- Corrección de imperfecciones: Son ideales para corregir dientes descoloridos, manchas, pequeñas anomalías de forma, espacios entre los dientes y otros problemas estéticos.
Desventajas de las Carillas de Composite
- Menor durabilidad: Las carillas de composite son menos duraderas que otro tipo de carillas. Las carillas de composite son menos duraderas que las de cerámica.
- Menor resistencia a la tinción: Este tipo de carillas con el paso del tiempo pierden brillo o pueden oscurecer, sobre todo en personas fumadoras o si se toma bastante café o vino.
- Uso limitado: No se recomiendan para tratamientos grandes o en caso de bruxismo, o hábitos como morderse las uñas u objetos.
- Posibles limitaciones en términos de durabilidad: En promedio, pueden durar de 5 a 10 años, dependiendo de factores como los hábitos de cuidado oral del paciente y su estilo de vida.
- Cambio de color con el tiempo y susceptibilidad a manchas: Con el tiempo pueden experimentar un cambio de color leve. Esto puede deberse a la exposición a alimentos y bebidas con pigmentos fuertes, como café, té o vino tinto.
- Mayor propensión a astillarse o romperse en comparación con porcelana: Las actividades como morder objetos duros o abrir envases con los dientes pueden aumentar el riesgo de daños en las carillas de composite.
- Necesidad de mantenimiento y reemplazo eventual: A medida que pasa el tiempo, es probable que las carillas de composite requieran mantenimiento y eventual reemplazo.
Carillas de Porcelana

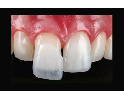
Las carillas de porcelana representan el estándar dorado en estética dental. Las carillas de porcelana son fabricadas por un técnico de laboratorio de prótesis dental y después se adhieren a los dientes mediante adhesivos muy estables. En el momento en el que se unen a los dientes, se vuelven resistentes a las fracturas. El proceso de colocación requiere varias visitas. En la primera cita, se realiza un tallado mínimo del diente para crear espacio para la carilla. Posteriormente, se toman impresiones precisas que se envían al laboratorio, donde técnicos especializados crearán tus carillas a medida.
Ventajas de las Carillas de Porcelana
- Estética muy elevada: La cerámica empleada permite una transmisión óptima de la luz. El resultado estético de las carillas de porcelana es mayor que las de composite. La cerámica tiene un color natural y a largo plazo, ya que las carillas de cerámica no se tiñen con el paso del tiempo.
- Corrige múltiples defectos: Las carillas de porcelana pueden mejorar la forma, el tamaño y el alineamiento de los dientes, mejorar el color, cerrar diastemas, etc.
- Preparación dentaria muy conservadora: Es una técnica mínimamente invasiva que conserve la substancia dental.
- Fortalece los dientes y devuelve funcionalidad: Ayudan a fortalecer los dientes fracturados y restaurar la función normal. Además se pueden utilizar para restaurar dentición desgastada por el bruxismo. Se usan para corregir deficiencias oclusales o para restablecer una guía correcta durante movimientos masticatorios.
- Aumento de la autoestima: Una bonita sonrisa es muy importante en el día a día de cualquier persona.
- Poco tiempo de recuperación: Las carillas de porcelana se fijan a los dientes y su tiempo de recuperación es casi inmediato.
- Resistencia a la tinción: La porcelana resiste las manchas clásicas del café, el té, el tabaco y las bebidas no alcohólicas. La superficie glaseada no permite la incrustación de tinciones, al no presentar microporosidad. Este glaseado permite el mantenimiento del brillo superficial durante todo el tiempo de vida de las carillas.
- Biocompatibilidad local y general: De todos los materiales de recubrimiento dental que poseemos, la cerámica es junto con el oro, el que menos reacciones biológicas desencadena.
- Resistencia al ataque químico: Diferentes sustancias químicas, como ácidos (cítrico y otros), disolventes (alcohol), medicaciones (antibióticos) y cosméticos (colutorios) pueden producir alteraciones tanto en el esmalte dentario como en las carillas de composite.
- Mayor duración que las carillas de composite: Otra ventaja de este tipo de carillas es que tienen una duración o vida útil mayor que las de composite.
- Aptas para múltiples defectos: En este caso las carillas de porcelana se pueden utilizar para mejorar el alineamiento de los dientes, mejorar el color, para igualar el tamaño de los dientes, mejorar dientes desgastados o fracturados.
Desventajas de las Carillas de Porcelana
- El coste elevado: Este tipo de carillas son más caras que las de composite.
- Posible sensibilidad dental: Es posible. Como se trabaja directamente sobre el esmalte, puede haber sensibilidad al frío o al calor, especialmente los primeros días.
- El número de sesiones: El número de sesiones es mayor porque las carillas se fabrican en laboratorio dental. Además, antes de colocar las carillas definitivas es necesario colocar las carillas provisionales.
- Tratamiento irreversible: El color o la forma no se pueden alterar una vez que han sido cementado en su lugar. En algunos casos, resulta necesario tallar el diente antes de colocar una carilla de porcelana.
- No permite retoques posteriores: Al contrario que las carillas de composite, las carillas de porcelana no pueden modificarse de color o forma una vez puestas.
- No se pueden reparar: Las carillas de porcelana suelen durar muchos años. Sin embargo, también pueden experimentar alguna fractura, especialmente si el paciente no sigue los cuidados de alimentación recomendados (evitar los alimentos muy duros, no comer bocadillos o manzanas a mordiscos…). Ante una rotura, es necesario retirar la carilla y que el laboratorio fabrique una nueva.
Factores a Considerar al Elegir Carillas Dentales
La respuesta honesta es que no existe una opción universalmente superior. Lo importante es descubrir qué es mejor para tu caso particular. Si buscas una solución rápida y económica para mejoras menores, las carillas de composite pueden ser tu aliada perfecta. La clave está en una evaluación profesional personalizada.
No hay una opción universalmente «mejor». La elección ideal depende de factores personales como tu presupuesto, expectativas estéticas, el estado actual de tus dientes, tus hábitos (consumo de café, tabaco) y la durabilidad que deseas.
A la hora de elegir un tipo de carillas u otro es necesario acudir a la clínica dental y que sea el odontólogo quien aconseje el tipo de carilla más conveniente, en función de las necesidades de cada paciente. El precio de las carillas varía según el material elegido.
Es importante aclarar que el resultado final no da la sensación de que los dientes hayan sido limados. Las carillas se adaptan al diente sin necesidad de desgastar excesivamente el esmalte y son capaces de simular un diente natural sin signos de intervención.
Carillas de Resina y Porcelana: Pros, Contras y Mi Experiencia.
Cuidados Posteriores y Durabilidad
Después de colocar carillas dentales, es fundamental seguir algunos cuidados para mantener su apariencia y durabilidad. Primero, continúa con tu rutina diaria de higiene oral, cepillándote los dientes al menos dos veces al día y usando hilo dental. Es recomendable utilizar un cepillo de dientes suave y pasta dental no abrasiva para evitar dañar las carillas. Además, evita morder alimentos duros como hielo o nueces, y no uses los dientes para abrir envases. También es importante reducir el consumo de alimentos y bebidas que puedan manchar las carillas, como el café, el té y el vino tinto. No olvides visitar a tu dentista regularmente para chequeos y limpiezas profesionales, asegurándote de que tus carillas se mantengan en perfecto estado y tu salud oral sea óptima.
La duración de las carillas dentales está determinada por diversos factores, como los cuidados que siga el paciente en cuanto a higiene oral, alimentación, tabaco, hábitos, revisiones con el dentista, etc. Adicionalmente, la durabilidad del tratamiento también depende del material con el que están fabricadas las carillas y de la técnica de colocación (directa o indirecta). Por ello, no resulta posible determinar de antemano cuánto tiempo duran las carillas dentales. Lo que sí podemos decirte es que, con unos cuidados y unos mantenimientos adecuados, son un tratamiento pensado para durar a largo plazo.
Depende del material y del cuidado. Las carillas de porcelana suelen tener una duración de entre 10 y 15 años, mientras que las de composite entre 5 y 7 años. La durabilidad de las carillas de porcelana depende, fundamentalmente, de los cuidados que siga el paciente. Este tipo de carillas pueden durar entre uno y diez años. Dicho plazo tan amplio se debe a que la duración de las carillas está estrechamente relacionada con los cuidados mantenidos por el paciente (higiene, alimentación, uso de férula nocturna, revisiones con el odontólogo…).
Según el estudio «tasa de supervivencia clínica y fracaso de laboratorio de las carillas dentales» publicado en PubMed, la base de datos que aúna las principales publicaciones biomédicas y de ciencias de la vida en la Biblioteca Nacional de los Institutos Nacionales de Salud de EE.UU, confirmó que la durabilidad puede optimizarse usando un material de calidad como las carillas de porcelana E-max y gracias a una preparación mínimamente invasiva del diente.
| Tipo de Carilla | Duración Estimada |
|---|---|
| Composite | 5-7 años |
| Porcelana | 10-15 años o más |
¿Son las Carillas Dentales Adecuadas para Ti?
Las carillas dentales pueden ser una excelente opción para muchas personas, pero no son adecuadas para todos. Son ideales para quienes tienen dientes descoloridos, desgastados, astillados, desalineados o con espacios irregulares y desean mejorar su apariencia. Sin embargo, no son la mejor opción para quienes tienen problemas graves de salud dental, como caries, enfermedades de las encías o debilitamiento severo del esmalte dental. Es importante consultar con un dentista para evaluar tu salud dental y determinar si las carillas dentales son la mejor opción para ti.
Si existe enfermedad de las encías (periodontitis) es necesario controlarla antes de ponerse carillas ya que podría poner en riesgo la correcta adhesión de las carillas e incluso podría agravar la inflamación en las encías. Cuando el esmalte está muy dañado debido a caries, fracturas o erosión, las carillas pueden no tener una buena superficie de adhesión y ser más propensas a romperse o desprenderse.
Riesgos y Consideraciones Adicionales
Aunque existen riesgos asociados con este tratamiento, se pueden evitar siempre y cuando consultes con un especialista cualificado. En algunos casos, cuando no se realiza bajo la supervisión de un odontólogo especializado en estética dental, sí. Para colocar carillas, normalmente es necesario preparar el diente y esto puede incidir ligeramente el esmalte dental. Esto es irreversible y puede debilitar el diente si no se realiza adecuadamente.
El bruxismo puede dañar o fracturar las carillas. Si están bien colocadas, no. Pero si están mal adaptadas, pueden causar inflamación, sangrado o recesión gingival.
El Consejo General de Dentistas ha lanzado recientemente un comunicado alertando a los ciudadanos de una peligrosa tendencia que se está extendiendo en las redes sociales. Muchos de estos tratamientos se hacen en apenas unas horas, siendo imposible dedicar el tiempo suficiente a realizar un diagnóstico completo o una planificación personalizada para cada paciente. “Todo tratamiento conlleva unos riesgos, y si no se evalúa correctamente el estado bucodental de cada persona, pueden surgir inconvenientes a corto y largo plazo, como sensibilidad dental, problemas en las encías e, incluso, la pérdida dental. Viajar a otro país para someterse a un proceso sanitario no es una aventura, es una temeridad”, sentencia el Dr.