Las carillas dentales son una solución estética que sirve para mejorar la apariencia de los dientes. Son la solución estética ideal para muchos problemas dentales. Las carillas dentales permiten solucionar las pequeñas imperfecciones que afectan al color, la forma, el tamaño y la posición de tus dientes. Permiten obtener una sonrisa más saludable, juvenil y armónica.
En esta guía, te proporcionaremos toda la información necesaria sobre los tipos de carillas dentales y precios, para que tomes decisiones informadas y ajustadas a tu presupuesto y expectativas estéticas. En Clínica Ferrus & Bratos, entendemos que elegir un procedimiento de estética dental es una elección relevante. Por ello, hemos preparado esta guía detallada sobre los tipos de carillas dentales y sus precios, con el fin de ayudarte a decidir según tus necesidades estéticas y capacidad presupuestaria.

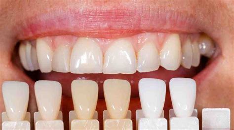
Transforma tu sonrisa con carillas dentales.
¿Qué son las Carillas Dentales?
Las carillas dentales son unas finas láminas que se adhieren a la superficie frontal (visible) de los dientes con el objetivo de mejorar su apariencia. Estas láminas pueden estar hechas de diferentes materiales, como la porcelana, el composite o el disilicato de litio, y se diseñan a medida de cada paciente. Las carillas son ultrafinas e individuales para cada diente.
En la Clínica Dental Dobleese, los precios de las carillas dentales varían según el tipo de material y la complejidad del tratamiento. Ofrecemos opciones de financiación del tratamiento dental para facilitar su acceso. Si tiene alguna pregunta o desea agendar una consulta, no dudes en ponerte en contacto con nosotros.
¿Para qué sirven las carillas dentales?
Las carillas dentales sirven para corregir pequeños defectos que afectan al color, el tamaño, la forma o la posición de los dientes. Entre las imperfecciones que pueden solucionar podemos destacar las siguientes:
- Dientes amarillos o con manchas
- Desgastes en el esmalte
- Diastemas (espacios entre los dientes)
- Leves malposiciones dentales
- Fisuras o fracturas
En cualquiera de los casos anteriores es necesario que el odontólogo realice una valoración del paciente para determinar si las alteraciones de sus dientes pueden ser corregidas con carillas.
¿Cuándo es recomendable ponerse carillas en los dientes?
A continuación, te detallamos los casos concretos en los que puede resultar recomendable ponerse carillas para mejorar la apariencia de la sonrisa:
- Dientes amarillos o con manchas: las carillas se pueden utilizar en pacientes que presentan dientes amarillos, decolorados o con manchas. Esto puede deberse a distintas circunstancias (alimentación, tabaco, envejecimiento, fluorosis, consumo de tetraciclinas…).
- Resistencia al blanqueamiento dental: las carillas son un excelente complemento al blanqueamiento. Cuando las tinciones son muy severas, el blanqueamiento puede no ser capaz de eliminarlas por completo. Por tanto, en muchos casos resulta recomendable ponerse carillas en los dientes después del blanqueamiento.
- Dientes desalineados: las carillas también pueden ofrecer un buen resultado estético a los pacientes que tienen ligeras malposiciones dentales, ya que en ocasiones permiten disimularlas. Eso sí, hay que tener en cuenta que para corregir la mayoría de las maloclusiones dentales es necesario recurrir a la ortodoncia.
- Dientes con formas o tamaños irregulares: las carillas se utilizan para corregir pequeños defectos que afectan a la forma de los dientes. Por ejemplo: unos caninos (colmillos) demasiado puntiagudos, un diente más pequeño de lo normal, etc.
- Diastemas: las carillas también están recomendadas para disimular los diastemas o espacios entre los dientes.
- Dientes desgastados: las carillas se pueden colocar en dientes que presentan desgastes en el esmalte. Esto puede tener su origen en una mordida inadecuada o en el bruxismo. Sin embargo, en estos casos suele ser necesario utilizar ortodoncia o colocar una férula de descarga previamente, dependiendo del caso. De no hacerlo, los desgastes volverán a aparecer.
- Dientes fisurados o fracturados: las carillas también pueden estar indicadas en determinados casos de fisuras o fracturas leves en los dientes.
Tipos de Carillas Dentales
Cuando se trata de transformar una sonrisa, es fundamental identificar qué clase de carillas dentales están disponibles. Existen diferentes tipos de carillas, pueden ser de porcelana/ceramica o de composite, cada material tiene sus pros y sus contras, y antes de elegir el material es importante saber cual es la base de la que se parte y hasta donde quieres llegar.
Dado que las carillas dentales más utilizadas son las de porcelana (e.max y Lumineers) y las de composite, vamos a detallar los beneficios e inconvenientes que presentan cada una de ellas.
Carillas de Porcelana

Carillas de porcelana: durabilidad y estética natural.
Las carillas de porcelana son conocidas por su durabilidad y apariencia natural. A las carillas de porcelana tambien se les llama carillas de ceramica, son lo mismo. Las carillas de porcelana son ideales para quienes desean un acabado más natural y de larga duración. Su proceso de fabricación incluye la selección de tonalidades, simulaciones digitales y un tallado preciso, garantizando un resultado estético superior.
Dentro de el material porcelanico hay marcas como Lumineers® que son una marca de carillas originarias de California, las Lumineers® tienen diferentes parametros dentro de los que puedes elegir, pero no estan 100% personalizadas a tus dientes. Las carillas pueden ser de porcelana feldespatica o de disilicato de litio. Las carillas Emax están hechas de disilicato de litio, un material altamente estético y duradero.
Las carillas de porcelana son una finas laminas que se adhieren sobre tu diente pulido o minimamente rebajado de su forma original. Que no te mientan, son muy pocos los casos en que es posible colocar una carilla sin esta preparacion previa, aunque sea minimamente (por ej.: 0,02 mm) el esmalte del diente se debe rebajar un poco, de lo contrario la carilla se nota abultada, sobresale y no se unifica bien con la encia. Las carillas de porcelana para tu mayor comodidad se colocan con anestesia local (solo se duerme la zona a tratar de tu boca) y dependiendo de la cantidad de carillas a colocar el tratamiento puede durar de 45 min.
Ventajas:
- Duración mayor que las de composite, pudiendo resistir en perfectas condiciones hasta 15 años.
- No pierden su color ni se tiñen.
- Resistencia y similitud con el diente natural.
Carillas de Composite

Carillas de composite: una opción económica y rápida.
Las carillas de composite, o de resina sintética, son una opción más económica que las de porcelana. El composite es una pasta facilmente moldeable que se aplica directamente sobre tu diente y despues se le aplica una luz azul que endurece (polimeriza) el material manteniendo sus cualidades de color y translucidez. Si has tenido una caries, ya sabes lo que es el composite! esta resina compuesta es exactamente el mismo material que se usa para los empastes o restauraciones que vuelven a dar forma a tus dientes despues de una caries.
Las carillas de composite se colocan sin anestesia y en muy pocos casos se necesita rebajar el diente, y si es necesario sera lo minimo posible para que la capa de material logre mimetizarse con tu diente natural y no se note la union de donde empieza la carilla o restauracion. Las carillas de composite son recomendadas para quienes buscan una alternativa rápida, económica y con buenos resultados visuales. Su ventaja principal es que se colocan en una sola sesión y permiten mejorar pequeñas imperfecciones sin modificar en exceso el diente original. Son particularmente útiles en casos donde se busca una transformación notable pero asequible.
Ventajas:
- Alternativa demandada entre nuestros pacientes en Madrid.
- Se colocan en una sola sesión.
- Permiten mejorar pequeñas imperfecciones sin modificar en exceso el diente original.
- Coste reducido en comparación con otras opciones.
Desventajas:
- La duración de las carillas dentales de composite es de un máximo de cinco años aproximadamente.
- Es necesario acudir a revisiones de mantenimiento y que el dentista realice el pulido de las carillas dentales.
- Será más fácil que las carillas dentales duren cinco años en buen estado si el paciente sigue unos buenos hábitos en cuanto a higiene y dieta.
¿Qué tipo de carillas dentales son las más recomendadas?
En el caso de las carillas no hay mejor ni peor, la eleccion del tipo de carilla que te conviene depende de la complejidad y extension del problema a tratar. En general podemos decir que las carillas de composite son geniales para casos sencillos de cambio de forma en pocos dientes, si el cambio que necesitas es en varios dientes o tu caso es complejo, las carillas de porcelana son tu solucion. Si lo que deseas es un cambio radical de tu sonrisa, digamos que quieres modificar los 6/8 dientes que se ven mas al sonreir, es probable que tu carilla sea la de porcelana.
Modificar el color de los dientes y que el resultado sea natural, es una de las tareas mas complicadas que hay, si esta es tu situacion probablemente tu opcion a elegir sean carillas de porcelana. En realidad, no hay una única “mejor” alternativa, sino la que mejor se adapte a tu situación particular. En Ferrus & Bratos te orientamos con claridad y profesionalismo para que elijas con seguridad. Depende de tus necesidades.
Proceso de Colocación de las Carillas Dentales

Pasos del proceso de colocación de carillas dentales.
Dado que existen distintos tipos de carillas dentales, cada una de ellas sigue un protocolo de colocación específico. Sin embargo, todas comparten los principales pasos del proceso:
- Estudio bucodental completo: consta de una exploración oral y la realización de radiografías (panorámicas y periapicales) y fotografías (intraorales y extraorales).
- Preparación de los dientes: con algunas carillas hay que realizar una mínima reducción del esmalte dental. Este paso suele ser necesario en las carillas de porcelana, pero no en las de composite.
- Toma de impresiones: tras preparar los dientes, en el caso de que haya que hacerlo, se toman medidas de los mismos para confeccionar las carillas de manera personalizada.
- Fabricación de las carillas: la confección puede realizarse directamente en la clínica dental (en el caso de las de composite) o encargarse al laboratorio (en el caso de las de disilicato de litio).
- Colocación de las carillas: en función del proceso de confección, la técnica de colocación también varía. Las carillas de composite se crean directamente sobre el diente, en una sesión en la clínica dental. En cambio, las carillas mínimamente invasivas (disilicato de litio) se fabrican en el laboratorio y posteriormente se colocan en la clínica dental.
Este es el paso mas importante porque es al que le dedicamos mas tiempo para lograr responder a todas tus dudas y hablar de tus expectativas. Se crea una maqueta/diseno personalizado (con resina bis acrilica) para que veas como van a quedar tus dientes. Se realiza la prueba en tu boca directamente, para que puedas ver un ejemplo muy proximo al resultado final. Tallado. Toma de medida. Dientes provisionales.
¿Cuánto cuestan las carillas dentales?
El coste de las carillas dentales en Madrid puede variar significativamente dependiendo del material, la cantidad de piezas y la técnica empleada. En nuestra clínica, ofrecemos una relación calidad-precio clara que asegura resultados sobresalientes. Oscila entre 250 € y 1200 € por unidad. El presupuesto total dependerá del número de carillas requeridas (normalmente entre 8 y 10 por arcada) y del material elegido.
Tipos de Diseños de Sonrisa 🦷 ¿Solo tengo una opción? 🤔 - Odontología Láser.
Precios de las carillas dentales
¿Quieres saber cuánto cuestan las carillas dentales? El precio de las carillas puede variar en función del material, la cantidad de dientes tratados y la complejidad del caso. Además, contamos con planes de financiación para facilitar el acceso a los tratamientos.
| Número de carillas | Pago único | Financiación |
|---|---|---|
| 6 carillas | 1.107€ | Importe mínimo: 432 € |
| 8 carillas | 1.396€ | Importe mínimo: 576 € |
| 10 carillas | 1.671€ | Importe mínimo: 720€ |
Precios de carillas dentales y opciones de financiación.
Algunos valores de referencia, teniendo en cuenta el precio de una carilla por diente, son:
- Carillas de porcelana: 400 - 1.000€
- Carillas composite: 150 - 400€
- Carillas zirconio: 500 - 1.000€
¿En qué casos no están recomendadas las carillas dentales?
A pesar de que las carillas están recomendadas en una gran cantidad de situaciones, lo cierto es que también presentan alguna contraindicación. Las más relevantes son las siguientes:
- Mordida borde a borde
- Bruxismo que no recibe tratamiento
- Coloraciones muy intensas
- Hábitos que dañan tus dientes
- Enfermedades gingivales y periodontales
- Ausencia o esmalte pobre o dañado (hipoplasia)
- Apiñamientos moderados y grandes
- Relaciones intermaxilares desfavorables
- Pacientes con mal estado general, enfermedades crónicas avanzadas, malignas o descompensadas
Recuerda que debes tomar en cuenta que hay casos en los que esta contraindicado poner carillas, como por ejemplo en casos de bruxismo, maloclusiones que requieran de ortodoncia previa o mala higiene dental.
Alternativas a las carillas dentales
Dependiendo del resultado que estemos buscando, o el tratamiento que necesitemos, existen algunas alternativas a las carillas:
- Empaste dental: útil para corregir imperfecciones. Es menos invasivo y más económico que las carillas.
- Coronas dentales: cubren el diente entero y se utilizan en casos de caries severas o daño considerable.
- Blanqueamiento dental: puede ser una solución efectiva para mejorar el color de los dientes sin intervenciones invasivas.
- Tratamientos de ortodoncia: incluye ortodoncia invisible o brackets para corregir casos estéticos más complejos, como apiñamientos dentales.
tags: #carillas #dentales #ultima #generacion